|
Figure 1: Retinoblastoma 1 and retinoblastoma-like 1 CRISPR/Cas9 injected Xenopus tropicalis develop retinoblastoma. (aâc) Development of unilateral retinoblastoma can be externally observed in tadpoles injected with rb1 and rbl1 gRNAs, when comparing the eye on the uninjected side with the eye on the injected side in this tadpole. Leukocoria and ectopia lentis are apparent. (d) Unilateral retinoblastoma in a froglet. (e) Externally visible tumor-associated neovasculature. |
|
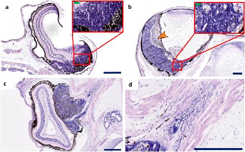
Figure 2: Histopathology of retinoblastomas.(aâd) Examples of retinoblastomas observed in tadpoles and froglets injected with rb1 and rbl1 gRNAs. Under low magnification, retinoblastoma appears as a large basophilic mass with pink and purple foci. These tumor masses arise from and destroy the retina and can either fill part of the vitreous cavity, thus following an endophytic growth pattern (a,b) including necrotic areas (orange arrowhead), or can grow in the outer layers of the retina (exophytic growth pattern) (c). The poorly differentiated neuroblastic cells appear blue because they have intensely basophilic nuclei and scanty cytoplasm (âsmall blue round cell tumorâ) (inset a,b). The poorly differentiated neuroblastic cells show varying degrees of retinal differentiation with formation of (Homer Wright) rosettes. The tumors with exophytic growth can invade in the optic nerve (d). Scale bar sizes as follows; Blue scale bars are 200âμm. Green scale bars are 20âμm. Sections have been cut longitudinal. |
|
Figure 3: Appearance of retinoblastoma.Graph indicating occurrence (and time-point) of retinoblastoma detection. Detection points either correspond to euthanasia of moribund tadpole/froglet with apparent retinoblastoma or with an end-point of the experiment (127 days for rb1cr1/rbl1cr1 and 69 days for rb1cr2/rbl1cr2). Each data point was validated by histopathological validation of the malignancy. |
|
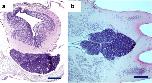
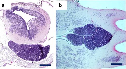
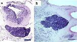
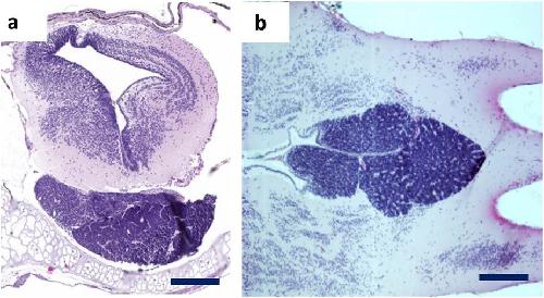
Figure 4: Histopathology of brain tumors. (a,b) Low magnification shows large basophilic poorly differentiated small blue round cell tumors, which are located across the midbrain and cranial midline. Due to the location we believe we show a pinealoblastoma (trilateral retinoblastoma) in (b). Scale bar sizes as follows; Scale bars are 200âμm. Section (a) has been cut longitudinal and section (b) has been cut transversal. |
|
Figure 5: Staining for a proliferation marker demonstrates aggressive growth characteristics of tumor cells in rb1cr1/rbl1cr1 MDKO tadpoles. Hoechst (left panels) and proliferating cell nuclear antigen (PCNA) (middle panels) double staining, with overlay in right panel. (a,b) PCNA staining is detected within the retinoblastoma (red arrowhead) whilst the adjacent normal retina remains quiescent (white arrowhead). In (b), tumor cells invading into the optic nerve (orange arrowhead) and a more distant metastasis (purple arrow) can be distinguished. (c) Higher magnification of the optic nerve clearly reveals PCNA positive tumor cells. (d) PCNA staining is uniformly detected within the brain tumor, whereas the surrounding normal brain tissue remains quiescent, with the exception of the subventricular zone. Scale bars are 200âμM. |
|
|
|
|
|
Fig. S3: Proliferating cell nuclear antigen (PCNA) stain of an optic nerve of an eye on the not-injected side of a tadpole does not show masses of PCNA-positive cells within the nerve. White scale bars corresponds with 200µM |
|
Fig. S4: Proliferating cell nuclear antigen (PCNA) stain of the retinoblastoma and the brain tumor of an rb1cr2/rbl1cr2 injected tadpole. (a) Retinoblastoma shows clear PCNA immunostaining (red arrowhead) whilst the normal retinal layers remain quiescent (white arrowhead). (b) Brain tumor shows clear PCNA immunostaining (orange arrowhead) whilst the surrounding remaining brain tissue remains quiescent, with the exception of the subventricular proliferation zone. White scale bars correspond with 200µM. |
|
Fig. S5: MDKO tadpole from which normal appearing eye and retinoblastoma was dissected for genetic analysis. (a) The left eye appears normal whilst the right eye has developed a retinoblastoma. (b) Dissecting away the skin of this euthanized froglet reveals clear unilateral eye expansion. |
|
|
|
|
|
Fig. S8: Rapid (2 months) and semi high-throughput identification of retinoblastoma therapeutic targets by triple multiplex CRISPR/Cas9. (a) Targeting a modifier, in addition to rb1 and rbl1, might influence the incidence of retinoblastoma or the survival of triple mosaic knockout animals when compared with rb1/rbl1 double mosaic knockout animals. (b) Retinoblastoma developing in triple knockout animals can be (micro)dissected and the modifier gene locus sequenced. If the modifier gene is never mutated within the retinoblastoma, but efficient genome editing of this locus in control tissue has been shown, this provides evidence that the modifier is essential for tumorigenesis. This modifier then represents an attractive drug target for targeted therapy |
|
Figure 1. Retinoblastoma 1 and retinoblastoma-like 1 CRISPR/Cas9 injected Xenopus tropicalis develop retinoblastoma.(a–c) Development of unilateral retinoblastoma can be externally observed in tadpoles injected with rb1 and rbl1 gRNAs, when comparing the eye on the uninjected side with the eye on the injected side in this tadpole. Leukocoria and ectopia lentis are apparent. (d) Unilateral retinoblastoma in a froglet. (e) Externally visible tumor-associated neovasculature. |
|
Figure 2. Histopathology of retinoblastomas.(a–d) Examples of retinoblastomas observed in tadpoles and froglets injected with rb1 and rbl1 gRNAs. Under low magnification, retinoblastoma appears as a large basophilic mass with pink and purple foci. These tumor masses arise from and destroy the retina and can either fill part of the vitreous cavity, thus following an endophytic growth pattern (a,b) including necrotic areas (orange arrowhead), or can grow in the outer layers of the retina (exophytic growth pattern) (c). The poorly differentiated neuroblastic cells appear blue because they have intensely basophilic nuclei and scanty cytoplasm (‘small blue round cell tumor’) (inset a,b). The poorly differentiated neuroblastic cells show varying degrees of retinal differentiation with formation of (Homer Wright) rosettes. The tumors with exophytic growth can invade in the optic nerve (d). Scale bar sizes as follows; Blue scale bars are 200 μm. Green scale bars are 20 μm. Sections have been cut longitudinal. |
|
Figure 3. Appearance of retinoblastoma.Graph indicating occurrence (and time-point) of retinoblastoma detection. Detection points either correspond to euthanasia of moribund tadpole/froglet with apparent retinoblastoma or with an end-point of the experiment (127 days for rb1cr1/rbl1cr1 and 69 days for rb1cr2/rbl1cr2). Each data point was validated by histopathological validation of the malignancy. |
|
Figure 4. Histopathology of brain tumors.(a,b) Low magnification shows large basophilic poorly differentiated small blue round cell tumors, which are located across the midbrain and cranial midline. Due to the location we believe we show a pinealoblastoma (trilateral retinoblastoma) in (b). Scale bar sizes as follows; Scale bars are 200 μm. Section (a) has been cut longitudinal and section (b) has been cut transversal. |
|
Figure 5. Staining for a proliferation marker demonstrates aggressive growth characteristics of tumor cells in rb1cr1/rbl1cr1 MDKO tadpoles.Hoechst (left panels) and proliferating cell nuclear antigen (PCNA) (middle panels) double staining, with overlay in right panel. (a,b) PCNA staining is detected within the retinoblastoma (red arrowhead) whilst the adjacent normal retina remains quiescent (white arrowhead). In (b), tumor cells invading into the optic nerve (orange arrowhead) and a more distant metastasis (purple arrow) can be distinguished. (c) Higher magnification of the optic nerve clearly reveals PCNA positive tumor cells. (d) PCNA staining is uniformly detected within the brain tumor, whereas the surrounding normal brain tissue remains quiescent, with the exception of the subventricular zone. Scale bars are 200 μM. |