XB-ART-52679
Int J Dev Biol
2016 Jan 01;607-8-9:305-314. doi: 10.1387/ijdb.160134jk.
Show Gene links
Show Anatomy links
Flexibility vs. robustness in cell cycle regulation of timing of M-phase entry in Xenopus laevis embryo cell-free extract.
???displayArticle.abstract???
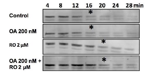
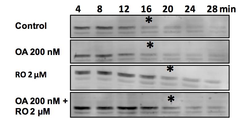
During the cell cycle, cyclin dependent kinase 1 (CDK1) and protein phosphatase 2A (PP2A) play major roles in the regulation of mitosis. CDK1 phosphorylates a series of substrates triggering M-phase entry. Most of these substrates are dephosphorylated by PP2A. To allow phosphorylation of CDK1 substrates, PP2A is progressively inactivated upon M-phase entry. We have shown previously that the interplay between these two activities determines the timing of M-phase entry. Slight diminution of CDK1 activity by the RO3306 inhibitor delays M-phase entry in a dose-dependent manner in Xenopus embryo cell-free extract, while reduction of PP2A activity by OA inhibitor accelerates this process also in a dose-dependent manner. However, when a mixture of RO3306 and OA is added to the extract, an intermediate timing of M-phase entry is observed. Here we use a mathematical model to describe and understand this interplay. Simulations showing acceleration and delay in M-phase entry match previously described experimental data. CDC25 phosphatase is a major activator of CDK1 and acts through CDK1 Tyr15 and Thr14 dephosphorylation. Addition of CDC25 activity to our mathematical model was also consistent with our experimental results. To verify whether our assumption that the dynamics of CDC25 activation used in this model are the same in all experimental variants, we analyzed the dynamics of CDC25 phosphorylation, which reflect its activation. We confirm that these dynamics are indeed very similar in control extracts and when RO3306 and OA are present separately. However, when RO3306 and OA are added simultaneously to the extract, activation of CDC25 is slightly delayed. Integration of this parameter allowed us to improve our model. Furthermore, the pattern of CDK1 dephosphorylation on Tyr15 showed that the real dynamics of CDK1 activation are very similar in all experimental variants. The model presented here accurately describes, in mathematical terms, how the interplay between CDK1, PP2A and CDC25 controls the flexible timing of M-phase entry.
???displayArticle.pubmedLink??? 27759157
???displayArticle.link??? Int J Dev Biol
Species referenced: Xenopus laevis
Genes referenced: cdc25a cdk1 ptpa rasgrf1
???displayArticle.antibodies??? Cdk1 Ab2
???attribute.lit??? ???displayArticles.show???
