Click here to close Hello! We notice that you are using Internet Explorer, which is not supported by Xenbase and may cause the site to display incorrectly. We suggest using a current version of Chrome, FireFox, or Safari.
XB-ART-52872
Gene Expr Patterns 2017 Jan 01;23-24:1-6. doi: 10.1016/j.gep.2016.12.001.
Show Gene links Show Anatomy links

Expression profile of rrbp1 genes during embryonic development and in adult tissues of Xenopus laevis.

Liu GH, Mao CZ, Wu HY, Zhou DC, Xia JB, Kim SK, Cai DQ, Zhao H, Qi XF.


???displayArticle.abstract???
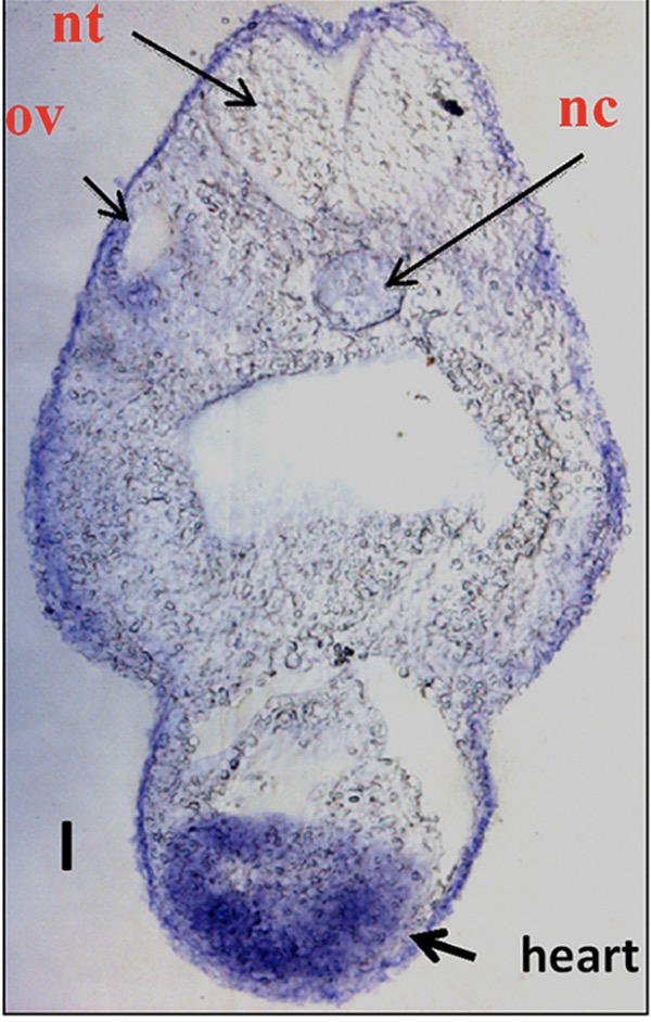
Recent studies suggest that ribosome-binding protein 1 (RRBP1) is involved in multiple diseases such as tumorigenesis and cardiomyopathies. However, its function during embryonic development remains largely unknown. We searched Xenopus laevis database with human RRBP1 protein sequence and identified two cDNA sequences encoding Xenopus orthologs of RRBP1 including rrbp1a (NM_001089623) and rrbp1b (NM_001092468). Both genes were firstly detected at blastula stage 8 with weak signals in animal hemisphere by whole mount in situ hybridization. Evident expression of rrbp1 was mainly detected in cement gland and notochord at neurula and tailbud stages. Heart expression of rrbp1 was detected at stage 36. RT-PCR results indicated that very weak expression of rrbp1a was firstly detected in oocytes, followed by increasing expression until stage 39. Differently, very weak expression of rrbp1b was firstly observed at stage 2, and then maintained at a lower level to stage 17 followed by an intense expression from stages 19-39. Moreover, both expression profiles were also different in adult tissues. This study reports Xenopus rrbp1 expression during early embryonic development and in adult tissues. Our study will facilitate the functional analysis of Rrbp1 family during embryonic development.

???displayArticle.pubmedLink??? 28034797
???displayArticle.link??? Gene Expr Patterns


Species referenced: Xenopus laevis
Genes referenced: iappl odc1 rrbp1


???attribute.lit??? ???displayArticles.show???