|
Figure 1. Mutations in TTC25 Cause PCD
(A) Genome-wide homozygosity SNP studies in individuals OP-1331 II1 and OP-1331II3 revealed a large (50 Mb) homozygous region on chromosome 17, spanning the TTC25 locus (black arrow).
(B) We identified two homozygous loss-of-function mutations in TTC25 in the two unrelated consanguineous PCD-affected families OP-95 and OP-1331. TTC25 encodes a tetratricopeptide (TPR)-domain containing protein.
(C) The homozygous splice-site mutation (c.114+1G>T) disrupts the evolutionarily conserved canonical donor site in OP-95 II2. The homozygous frameshift mutation (c.425_426insT) was identified in the two affected siblings II1 and II3 of family OP-1331. Consistent with autosomal-recessive inheritance, the mutation was detected in the heterozygous state in the mother (OP-1331 I2).
(D) The PCD-affected individual OP-1331 II3 had situs inversus, documented by chest X-ray (upper panel) and computed tomography of the thorax (CT-scan; lower panel). Please also note complete atelectasis of the left-positioned middle lobe, as well as bronchiectasis (white arrow). |
|
Figure 2. Analysis of Ttc25 Mutant Mice and Ttc25 Knockdown in Xenopus
(A) In situ hybridization analyses of wild-type mouse embryos at the age of embryonic day (E) 7.5 revealed strong and restricted expression of Ttc25 at the ventral node (asterisk). A sense probe was used for negative controls, which do not show any signal (right).
(B) Particle image velocimetry (PIV) analysis of the ventral node also revealed differences between wild-type (WT) and mutant embryos. Whereas, at the wild-type node, flow of particles is rapid and directed, for the Ttc25 mutant embryo, only scattered and undirected movement could be observed. Leftward flow is shown in yellow and red and rightward in blue.
(C) Mice carrying the Ttc25 mutation show randomization of left-right body asymmetry. In wild-type mice, the heart apex points to the left side (top left). In mutant mice, shown here, it points to the right side (dextrocardia) (top right). The stomach (st) is localized on the left side in wild-type animals (bottom left), but was found on the right side in Ttc25 mutants (bottom right).
(D) Transmission electron microscopy (TEM) of ciliary cross-sections from the trachea (upper panel) or fallopian tubes (lower panel) of a heterozygous (het) Ttc25 mutant mouse (left column) revealed the presence of ODAs (white arrows) attached to the A tubules. In homozygous Ttc25 mutant mice (right column), the ODAs are lacking.
(E and F) Color-based time coding of time-lapse data from high-speed confocal microscopy reveals robust beating in control multiciliated cells of Xenopus (E), and a failure of beating in Ttc25 morphants (F). Colored bar below indicates the color of each of five frames in the time-lapse movie.
(G–I) ODAs are apparent in TEM of normal axonemes of Xenopus multiciliated cells (G), but are absent in axonemes after Ttc25 knockdown (H). At the stages examined here, Ttc25 knockdown has no effect on cilium length (I).
Scale bars represent 100 μm (ISH) and 5 nm (TEM). |
|
Figure 3. Axonemal Localization of TTC25
(A) In respiratory cells obtained from a healthy control individual, TTC25 (red) localizes throughout the ciliary axoneme, which is marked by acetylated tubulin (green). This co-localization is represented by yellow in the merged image.
(B–D) TTC25 is absent in respiratory cells from individuals harboring recessive loss-of-function TTC25 mutations. Absence of TTC25 protein localization in the affected individuals OP-95 II2 (B), OP-1331 II1 (C), and OP-1331 II3 (D) is consistent with the detected loss-of-function mutations (c.114+1G>T and c.425_426insT) and confirms specificity of the polyclonal anti-TTC25 antibody (Abcam, ab157630, 1:500). The nucleus (blue) was stained with Hoechst33342 (Sigma, 14533-100MG, 1:1000).
Scale bars represent 10 μm. |
|
Figure 4. Mutations in TTC25 Result in Ultrastructural Defects of the ODAs Detectable by TEM and IF Analysis in Ciliated Respiratory Cells
(A) TEM analyses of OP-1331 II1 (not shown) and OP-1331 II3 demonstrate absence of ODAs, which are present in control cilia (green arrows). Interestingly, by comparing TEM cross-sections of OP-1331II1 and OP-1331 II3 with the TEM cross sections of OP-948 II1 carrying loss-of-function mutations in DNAH5, we could observe that the cells of OP-1331 II1 and OP-1331 II3 also lack the tiny projections on the doublet microtubules known to represent the ODA-DC that can still be detected in DNAH5 mutant cilia (white arrows). This indicates that TTC25 mutations lead to a combined ODA and ODA-DC defect.
(B and C) IF analyses confirm absence of the ODA HC DNAH514 (green, OP-95 II2) (B) and absence of the ODA HC DNAH914 (red, OP-95 II2) (C).
(D) The localization of the IDA LC DNALI114 (red) is not altered in mutant respiratory cells (OP-95 II2).
Yellow represents co-localization of DNAH5 (green, B) with GAS8 (Atlas Antibodies, HPA041311, 1:500) (N-DRC component; red, B), DNAH9 (red, C) and DNALI1 (red, D) with acetylated tubulin (green, C and D). Nuclei (blue) were stained with Hoechst33342 (Sigma, 14533-100MG, 1:1,000). Scale bars represent 10 μm. |
|
Figure 5. TTC25 Functions in the Docking of ODAs in Respiratory Ciliary Axonemes
Respiratory epithelial cells from an unaffected control individual and from OP-95 II2, carrying TTC25 mutations, were double-labeled with antibodies directed against acetylated tubulin (green) and the ODA-DC components CCDC151 (Atlas Antibodies, HPA04418, 1:250) (red, A), CCDC114 (Atlas Antibodies, HPA042524, 1:500) (red, B), or ARMC4 (Atlas Antibodies, HPA037829, 1:500) (red, C). Yellow shows co-localization of CCDC151, CCDC114, or ARMC4 with acetylated tubulin in control axonemes (upper panels in A, B, and C). However CCDC151, CCDC114, and ARMC4 are absent from the ciliary axonemes of TTC25 mutant cells (lower panels in A, B, and C). The red signal, which is still visible in ARMC4- and CCDC114-deficient cells, is probably related to the unspecific binding of the polyclonal antibodies to the basal bodies and is probably not related to residual CCDC114 or ARMC4 within the cilia. The nuclei (blue) were stained with Hoechst33342 (Sigma, 14533-100MG, 1:1,000). Scale bars represent 10 μm. |
|
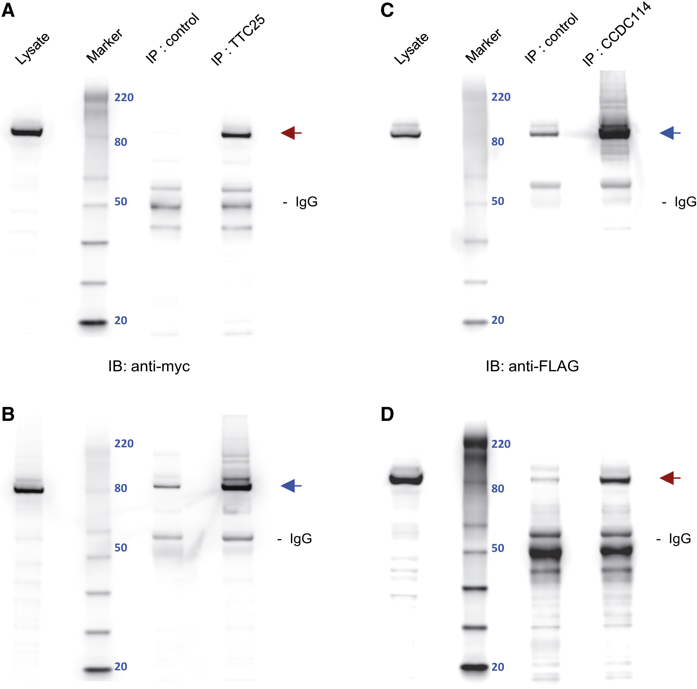
Figure 6. TTC25 Reciprocally Co-immunoprecipitates with the ODA-DC Protein CCDC114
Following co-expression of myc-tagged TTC25 and FLAG-tagged CCDC114 in HEK293 cells, lysates were immunoprecipitated with rabbit control and either rabbit anti-TTC25 or rabbit anti-CCDC114 antibodies.
(A and B) Rabbit anti-TTC25 immunoprecipitates myc-tagged TTC25 (red arrow) and FLAG-tagged CCDC114 (blue arrow), as detected by immunoblotting (IB) with mouse anti-myc (Abcam, ab18185, 1:2000) and anti-FLAG (Sigma, F1804, 1:2000) antibodies.
(C and D) Rabbit anti-CCDC114 immunoprecipitates FLAG-tagged CCDC114 (blue arrow) and myc-tagged TTC25 (red arrow), as detected by immunoblotting with mouse anti-myc and anti-FLAG antibodies. Relative molecular weight in kDa is visualized with a Magic Mark XP protein ladder and indicated by blue numerals (Marker). Lysate equals approximately 25 μg of protein. Immunoprecipitate fractions represent 1/16 lysis volume (33 μl); 16 μl of immunoprecipitate were electrophoresed. Immunoreactive bands in the range of 50 kDa most likely indicate HC IgG. The estimated molecular weights of TTC25 (77 kDa) and CCDC114 (75 kDa) are slightly higher due to additional peptide sequence from myc and FLAG epitopes, respectively. Residual immunoreactivity in control lanes most likely represents non-specific binding of overexpressed proteins to protein agarose A beads. Normal rabbit IgG (Santa Cruz Biotechnology, sc-2027) was used as control for immunoprecipitations. |
|
Figure S1: SNP-Haplotype analysis of OP-95 II1; cM: centimorgan, Allegro LOD score: logarithm
of the odds |
|
Figure S2: Generation of mutant mice by CRISPR/Cas9 system.
Ttc25 mutant mice were generated with the use of the clustered regularly interspersed short
palindromic repeats (CRISPR)/Cas9 system. Two small guide RNAs (sgRNAs) designed to delete
Ttc25 exons 2 and 3 were produced by in vitro transcription (IVT) with the use of a MEGA short
script T7 kit (Ambion, AM1354) essentially as previously described. Capped synthetic mRNA for
Cas9 was transcribed from the Cas9/pSP64T vector with the use of an SP6 mMessage mMachine
Kit (Ambion, AM1340). Cas9 mRNA and the two sgRNAs were injected into C57BL/6 fertilized
eggs as previously described24. The pups were genotyped by polymerase chain reaction (PCR)
and subsequent sequence analysis. The primers used were F: 5’-TGGAAGGATTTGGCAGAAAG
and MT_R: 5'-CAACCTCAGAAAGGCTGGAC. |
|
Figure S3: TTC25 is detectable in ODA-HC and ODA-DC mutant cilia.
Respiratory cilia from control and PCD individual (OP-119 II1) carrying DNAH5 LOF-mutations
were double labeled with antibodies directed against acetylated Tubulin and TTC25. Respiratory
cilia from control and PCD individuals with ODA-DC defects carrying LOF-mutations in CCDC114
(OP-602 II1), CCDC151 (OP-1255) and ARMC4 (OP-38 II1) respectively were double labeled with
antibodies directed against acetylated tubulin and TTC25. Yellow color represents co-localization
of TTC25 and acetylated tubulin. Nuclei (blue) were stained with Hoechst33342. Scale bars
represent 10µm. |
|
Movie S1. High-Speed Video Microscopy of Heterozygous Control Mouse Nodal Cilia. |
|
Movie S2. High-Speed Video Microscopy of TTC25−/− Mouse Nodal Cilia. |
|
Movie S3. High-Speed Video Microscopy of Human Control Respiratory Cilia. |
|
Movie S4. High-Speed Video Microscopy of OP-95 II2 Respiratory Cilia. |
|
Movie S5. High-Speed Video Microscopy of OP-1331 II1 Respiratory Cilia. |
|
Movie S6. High-Speed Video Microscopy of Control Mouse Respiratory Cilia. |
|
Movie S7. High-Speed Video Microscopy of Ttc25−/− Mouse Respiratory Cilia. |