|
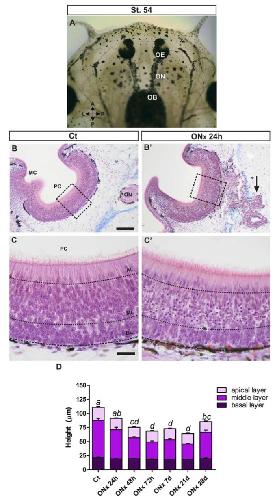
Figure 1 The structural morphology of the olfactory system
is conserved following axotomy. (A) Dorsal view of a
X. laevis larvae (Stage 54), OE, olfactory nerve (ON), olfactory
bulb (OB), anterior (A), posterior (P), right (R), left
(L);(B) longitudinal section of the OE at the level of the PC,
scale bar: 100 mm; (Bâ) longitudinal section of the OE 24 h
after axotomy (ONx), the arrow points to the incision site;
(C) magnification of the dotted box in (B), apical layer (AL),
middle layer (ML), and basal layer (BL), scale bar: 20 mm;
(Câ) magnification of the dotted box in (Bâ), note the presence
of numerous pyknotic nuclei mainly in the ML, staining:
MassonâGoldnerâs trichrome stain; (D) quantification of
the average thickness (mm)6standard error of the mean
from the OE layers at different periods post-axotomy, different
superscripts correspond to total OE height and denote
statistically significant differences between groups, n57 for
each group, ANOVA and Tuckey test, P<0.05. [Color figure
can be viewed at wileyonlinelibrary.com] |
|
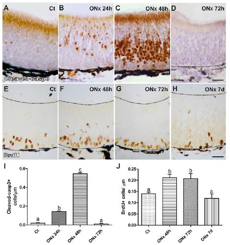
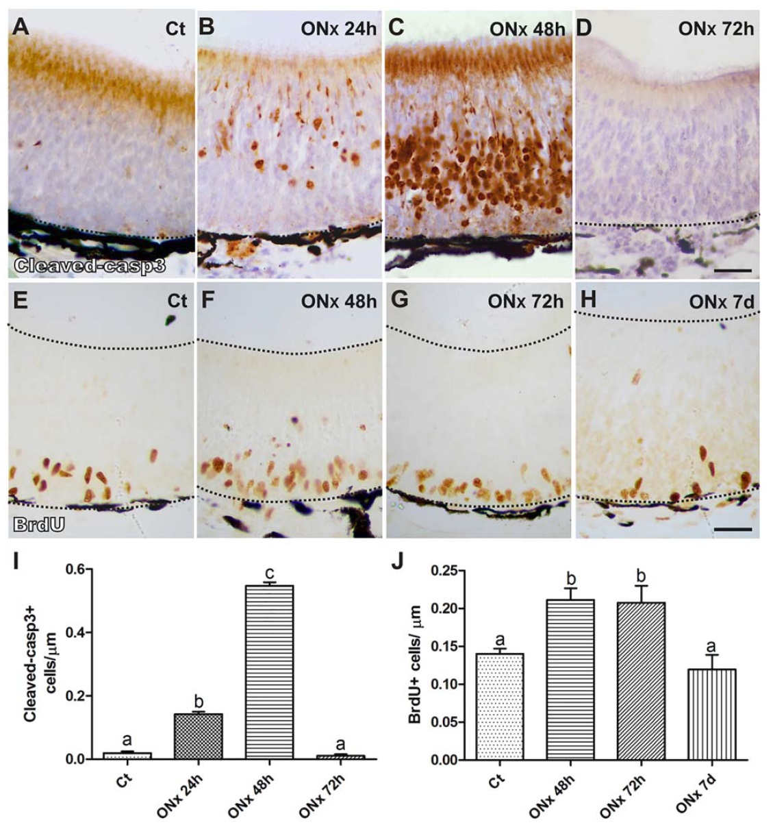
Figure 2 Axotomy triggers apoptosis in the OE and exacerbates proliferation of basal cells.
Apoptotic cells labeled with cleaved-casp3 (cleaved-casp31 cells) in the OE under normal
physiological conditions (A), and after 24 h (B), 48 h (C), and 72 h (D) post-axotomy; proliferating
cells labeled with BrdU (BrdU1 cells) in the OE under normal physiological conditions (E),
and after 48 h (F), 72 h (G) and 7 days (H) post-axotomy, scale bars: 20 mm; quantification of
cleaved-casp31 cells per mm of OE perimeter (I) and BrdU1 cells per mm of OE perimeter (J) in
control and axotomized animals after different recovery periods, different letters indicate statistically
significant differences between groups, n54 for each group, ANOVA and Tuckey test, P<0.05.
[Color figure can be viewed at wileyonlinelibrary.com] |
|
Figure 3 Axotomy causes mature ORN loss in the OE. Immunostaining of mature ORNs with the
specific marker OMP under normal physiological conditions (A), and 24h (B), 48h (C), 72h (D), 7
days (E), 21 days (F) and 28 days (G) post-axotomy, scale bar: 20 mm; (H) quantification of OMP1
cells per mm of OE perimeter in control and axotomized animals following different periods of recovery,
different letters indicate statistically significant differences between groups, n55 for each group,
ANOVA and Tuckey test, P<0.05. [Color figure can be viewed at wileyonlinelibrary.com] |
|
Figure 4 Axotomy promotes differentiation of immature neurons in the OE. Immunostaining
of immature neurons with NCAM-180 (magenta) and GAP-43 (green) in the OE under normal
physiological conditions (A), and 24 h (B), 48 h (C), 72 h (D), 7 days (E), 21 days (F), and 28 days
(G) post-axotomy, scale bar: 50 mm; (H) quantification of the NCAM-1801 area height in control
and axotomized animals after different periods of recovery, the asterisks indicate statistically
significant differences with respect to the control group, n54 for each group, ANOVA and Tuckey
test, P<0.05. [Color figure can be viewed at wileyonlinelibrary.com] |
|
Figure 5 The olfactory function is lost and recovered in
X. laevis larvae following axotomy. Change of buccal
pumping frequency was analyzed in the presence of food
stimulus (see “Frequency of buccal pumping” section) in
control and axotomized animals following different periods
of recovery, different letters indicate statistically significant
differences between groups, n510 for each group,
ANOVA and Tuckey test, P<0.05. |
|
Figure 6 The distribution of BDNF expression in the OE is not altered following axotomy. BDNF
immunolabeling (green) and Cytoketatin II (SC marker, CytkII) (magenta) in the OE under normal
physiological conditions (A), and 48 h (B), 7 days (C), and 28 days (D) post-axotomy, scale bar: 50 mm.
[Color figure can be viewed at wileyonlinelibrary.com] |
|
Figure 7 Dynamic of neuronal degeneration and regeneration in the OE following axotomy. The
dynamic of the regenerative process that takes place in the OE of X. laevis larvae after bilateral
axotomy of the olfactory nerves is summarized in a timeline. The points on the timeline represent
the evaluated recovery periods (24, 48, 72 h, 7, 21, and 28 days). Fuzzy boundaries of the boxes
mean that processes do not necessarily begin or end in the exact time point evaluated. |
|
Fig. S1. Negative controls for immunohistochemistry and immunofluorescence by omitting primary antibodies. Primary antibodies were omitted (Ct(-)) and no specific immunostaining is visible after incubation with the secondary antibodies biotinylated (biot.) coupled with streptavidin- horseradish peroxidase (Str- HRP) or coupled with a fluorophore (rhodamine or Alexa 488). |
|
Fig. S2. Western blot of OMP and GAP-43 from X. laevis larvae olfactory system showing immune reactive bands of the corresponding molecular weight.
|
|
Fig. S3. Structure and organization of the olfactory system of X. laevis larvae. Longitudinal sections of X. laevis larvae at premetamorphosis (stage 50 and 54) and metamorphic climax (stage 60); the top row belongs to a more dorsal section, the middle row to a medial section and the lower row to a more ventral section; principal cavity (PC), middle cavity (MC), vomeronasal organ (VNO), olfactory nerve (ON), olfactory bulb (OB); staining: Masson–Goldner’s trichrome stain, scale bar: 100µm. |