XB-ART-53938
Open Biol
2017 Aug 01;78:. doi: 10.1098/rsob.170122.
Show Gene links
Show Anatomy links
ZC4H2 stabilizes Smads to enhance BMP signalling, which is involved in neural development in Xenopus.
Ma P, Ren B, Yang X, Sun B, Liu X, Kong Q, Li C, Mao B.
???displayArticle.abstract???
Bone morphogenetic proteins (BMPs) play vital roles in regulating stem cell maintenance, differentiation and embryonic development. Intracellularly, BMP signalling is mediated by Smad proteins, which are regulated post-transcriptionally through reversible phosphorylation and ubiquitination. ZC4H2 is a small nuclear protein associated with intellectual disability and neural development in humans. Here, we report that ZC4H2 is highly expressed in the developing neural system and is involved in neural patterning and BMP signalling in Xenopus Knockdown of ZC4H2 led to expansion of the expression of the pan neural plate marker Sox2 in Xenopus embryos. In mammalian cells, ZC4H2 promotes BMP signalling and is involved in BMP regulated myogenic and osteogenic differentiation of mouse myoblast cells. Mechanistically, ZC4H2 binds and stabilizes Smad1 and Smad5 proteins through reducing their association with the Smurf ubiquitin ligases and thus their ubiquitination. We also found that a group of ZC4H2 mutations, which have been isolated in patients with intellectual disorders, showed weaker Smad-stabilizing activity, suggesting that the ZC4H2-Smad interaction might contribute to proper neural development in humans.
???displayArticle.pubmedLink??? 28814648
???displayArticle.pmcLink??? PMC5577449
???displayArticle.link??? Open Biol
Species referenced: Xenopus
Genes referenced: alpl bglap2 id2 kit krt12.4 lgals4.2 myc myf5 myod1 pax3 pdlim3 runx2 smad1 smurf1 smurf2 snai2 sox2 sp7 tgfb1 zc4h2
???displayArticle.morpholinos??? zc4h2 MO1
Phenotypes: Xla Wt + zc4h2 MO(Fig. 1 h.) [+]
Xla Wt + zc4h2 MO(Fig. 1 j)
Xla Wt + zc4h2 MO(Fig. 1 l)
Xla Wt + zc4h2 MO(Fig. 2)
Xla Wt + zc4h2 + zc4h2 MO(Fig. 10 i)
Xla Wt + zc4h2 MO(Fig. 1 l)
Xla Wt + zc4h2 MO(Fig. 2)
Xla Wt + zc4h2 + zc4h2 MO(Fig. 10 i)
???attribute.lit??? ???displayArticles.show???
|
|
Figure 1. ZC4H2 is required for neural development in Xenopus. (a) RT-PCR analysis of the developmental expression of ZC4H2 in Xenopus. H4 is an internal control. NC, negative control without reverse transcriptase in the RT reaction. (bâg) The expression pattern of ZC4H2 revealed by in situ hybridization at cleavage embryos (b,c lateral view), gastrula embryos (d, ventral view), stage 15 (e, dorsal view) and stage 25 (f, lateral view) Xenopus embryos. (g) Paraffin sections of the embryos shown in (e) showed the expression of ZC4H2 at neural tubes. (h) Morphology of tadpoles (stage 42) injected with standard MO (25 ng), ZC4H2 MO (25 ng) and ZC4H2 MO (25 ng) with ZC4H2 mRNA (0.6 ng). Embryos were injected in both blastomeres at the two-cell stage and raised to the indicated tadpole stage. (i) Statistics of the data shown in panel (h). Con., control, Res., rescue. (j) ZC4H2 MO (25 ng) with or without ZC4H2 mRNA (0.6 ng) was injected into one cell of four-cell-stage embryos, and whole-mount in situ hybridization with probes of Sox2 and Slug was processed at stage 14â16. GFP mRNA was co-injected to trace the injected sides (on the right sides). i.s., injected side. (k) Statistics of the data shown in panel (j). (l) RT-PCR analysis in animal cap assay showing the effect of ZC4H2 on the expression of the genes of Pax3, Sox2, Slug and Keratin. Embryos were injected in both blastomeres at the two-cell stage and the animal cap tissues were dissected at stage 8 and then were cultured for 20â24 h before harvesting. RT, negative control with reverse-transcriptase omitted in the RT reaction; embryos, RNA template from whole embryos was used as a positive control. H4 is an internal control. |
|
|
Figure 2. ZC4H2 regulates BMP signalling. (a,b) The effect of ZC4H2 knockdown or overexpression on the expression of the BMP reporter Id1-Luc in Xenopus animal caps. (a) Schematic drawing showing the experimental strategy for reporter assays in Xenopus animal caps. Embryos were injected with the indicated MO/mRNAs/plasmids in both blastomeres at the two-cell stage and the animal cap tissues were dissected at stage 8 and then were cultured for 20â24 h before harvesting. RLU, relative light units. *p < 0.05. (câj) ZC4H2 over-expression enhanced while knockdown reduced rhBMP2-induced expression level of Id1-Luc reporter in Hep3B (câf) and C2C12 cells (gâj). Note that BMP treatment has no effect on either exogenous and endogenous ZC4H2 mRNA levels in both the cell lines (c,e,g,i). Hep3B or C2C12 cells were transfected with the indicated plasmids or siRNAs together with Id1-Luc reporter plasmids and then treated with rhBMP2 for 24 h. Luciferase activity was measured at 48 h after transfection. RLU, relative light units. n.s., not significant. *p < 0.05; **p < 0.01. NC, negative control. (k,l) ZC4H2 knockdown in C2C12 cells decreases mRNA levels of Id1 (k) and Id2 (l) induced by rhBMP2. C2C12 cells were transfected with the indicated siRNAs and treated with rhBMP2 for 24 h before harvesting. Total RNA was extracted for real-time PCR analysis at 72 h after transfection. **p < 0.01. NC, negative control. |
|
|
Figure 3. ZC4H2 inhibits myogenic differentiation of C2C12 cells. (a–c) mRNA levels of ZC4H2, myogenic markers MyHC and Myf5 during myogenic induction in C2C12 cells with ZC4H2 over-expressed. C2C12 cells were firstly transfected with the indicated plasmids 8 h before myogenic induction in DMEM with the addition of 2% horse serum for 2 days. After induction, total RNAs were isolated and analysed by real-time PCR. (d–f) mRNA levels of ZC4H2, myogenic markers MyHC and Myf5 during myogenic induction when ZC4H2 was knocked-down. C2C12 cells were transfected with the indicated siRNAs and then treated with the induction medium for 2 days. The experiments were carried out as described for panel (a–c). n.s., not significant; **p < 0.01. NC, negative control. |
|
|
Figure 4. ZC4H2 overexpression enhanced BMP-induced osteogenesis of C2C12 cells. (a) Real-time PCR assay showed that ZC4H2 mRNA level in different plasmids transfected C2C12 cells during BMP-induced osteogenesis. C2C12 cells were firstly transfected with the indicated plasmids and then treated with 50 ng ml−1 rhBMP2 for 3 day to induce osteogenesis. Then total RNAs were isolated and then real-time PCR assays were carried out. (b–e) ZC4H2 overexpression enhanced the expression levels of BMP-induced osteogenic markers ALP (b), Osteocalcin (c), Osteorix (d) and Type I Collegan (e). The experiments were carried out as described above for panel (a). (f,g) ZC4H2 overexpression increased rhBMP induced ALP activity in C2C12 cells. C2C12 cells were treated for osteogenesis as described in panel (a). After induction, ALP activity was analysed by a ALP fluorometric kit (f) or NBT/BCIP staining (g). n.s., not significant; **p < 0.01. |
|
|
Figure 5. ZC4H2 is required for BMP induced osteogenic differentiation in C2C12 cells. (a) ZC4H2 mRNA level in C2C12 cells with different siRNAs transfected during BMP-induced osteogenic differentiation. C2C12 cells were transfected with negative control or three independent siRNAs targeted for ZC4H2 and then were treated with 50 ng ml−1 rhBMP2 for 3 days to induce osteogenic differentiation. Then total RNAs were isolated and real-time PCRs were carried out. (b–e) ZC4H2 knockdown decreased the expression levels of BMP induced osteogenic markers ALP (b), Osteocalcin (c), Osterix (d) and Type I Collagen (e). The experiments were carried out as described above for panel (a). (f,g) ZC4H2 knockdown reduced rhBMP2-induced ALP activity in C2C12 cells. C2C12 cells were treated for osteogenesis as described above in panel (a) after the indicated siRNAs were transfected. After induction, ALP activity was analysed by an ALP fluorometric kit (f) or NBT/BCIP staining (g). NC, negative control. n.s., not significant; **p < 0.01. |
|
|
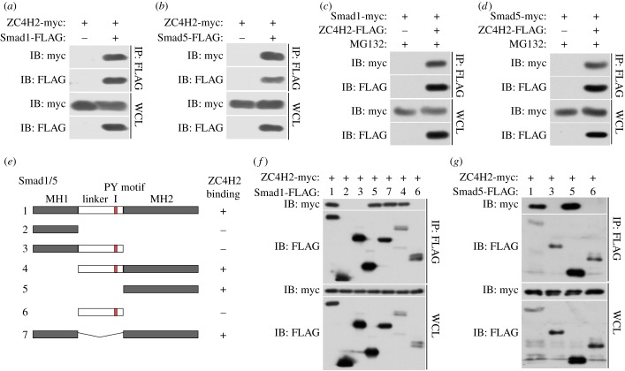
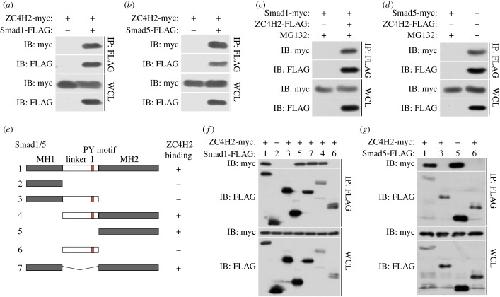
Figure 6. ZC4H2 interacts with Smad1/5. (a,b) ZC4H2 was co-immunoprecipitated with Smad1 (a) or Smad5 (b). (c,d) Smad1 (c) or Smad5 (d) was coimmunoprecipitated with ZC4H2. HEK293 cells were transiently transfected with different combinations of expression vectors of ZC4H2 and Smad1/5, as indicated. Cell lysates were incubated with anti-FLAG beads, washed, and subsequently analysed by western blotting. (e) Schematic of the structures of Smad1/5 truncates. (f,g) The interaction between ZC4H2 and Smad1 (f) or Smad5 (g) different truncations. HEK293 cells were transiently transfected with different combinations of expression vectors of myc-tagged ZC4H2 and FLAG-tagged various Smad1 (e) or Smad5 (f) truncates, as indicated. Cell lysates were incubated with anti-FLAG beads and subsequently analysed by western blotting. WCL, whole-cell lysate; IB, immunoblot; IP, immunoprecipitation. |
|
|
Figure 7. ZC4H2 stabilizes Smad1/5 by attenuating their ubiquitination. (a,b) Smad1 and Smad5, but not Smad1-ΔLinker, were stabilized by ZC4H2 overexpression. FLAG-tagged Smad1, Smad5 or Smad1-ΔLinker and myc-tagged ZC4H2 plasmids were transfected into HEK293 cells as indicated. After 48 h, cell lysates were analysed by western blotting. (c–f) Effects of ZC4H2 overexpression on the stability of Smad1 (c,d) or Smad5 (e,f). HEK293 cells were transiently transfected with the indicated plasmids. At 36 h post-transfection, cycloheximide was added to all samples, and the cells were then harvested at the time points indicated. Levels of Smad1 or Smad5 were determined by western blotting with anti-FLAG antibody. In all cases, α-tubulin was used as a loading control. The relative levels of Smad1 or Smad5 were quantified densitometrically and normalized against α-tubulin (d,f). The data shown in panel (c,e) are the averages of three independent experiments. (g) Schematic diagram of the pGal4-TK-Luc reporter construct. Gal4 BE, Gal4 binding elements. (h) ZC4H2 enhanced the transcriptional activity of Smad1 and Smad5. Gal4-Luc reporter construct was transfected into HEK293 cells together with the combination of myc-tagged ZC4H2 and Gal4 fused Smad1/5 or ZC4H2, as indicated. The luciferase activity was measured at 48 h after transfection. n.s., not significant; **p < 0.01. (i,j) Effects of ZC4H2 overexpression on the polyubiquitination status of Smad1, Smad1-ΔLinker (i) or Smad5 (j) proteins. HEK293 cells were transiently transfected with the indicated plasmids and treated for 8 h with MG132 before harvesting. Smad proteins were coimmunoprecipitated with anti-FLAG antibody and then detected for polyubiquitin chains with the antibody against ubiquitin. WT, wild-type; WCL, whole-cell lysate; IB, immunoblot; IP, immunoprecipitation; CHX, cycloheximide. |
|
|
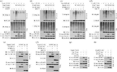
Figure 8. ZC4H2 antagonizes Smurfs activity towards Smads by abolishing the association between Smurfs and Smads. (a–d) Effects of ZC4H2 on the polyubiquitination status of Smads mediated by Smurfs. HEK293 cells were transiently transfected with the indicated plasmids and treated for 8 h with MG132 before harvesting. Smad proteins were coimmunoprecipitated with anti-FLAG antibody and then detected for polyubiquitin chains with the antibody against ubiquitin. (e–h) Effects of ZC4H2 on the association between Smurfs and Smad1, Smad1-ΔLinker (e,f) or Smad5 (g,h) proteins. HEK293 cells were transiently transfected with different combinations of expression vectors of ZC4H2 and Smad1, Smad5 or Smad-ΔLinker, as indicated, and treated for 8 h with MG132 before harvesting. Cell lysates were incubated with anti-FLAG beads, washed, and subsequently analysed by western blotting. WCL, whole-cell lysate; IP, immunoprecipitation; IB, immunoblotting; WT, wild-type; ΔL, Smad1-ΔLinker truncates; CA, the ligase dead mutant for Smurf1; CG, the ligase dead mutant for Smurf2. |
|
|
Figure 9. ZC4H2 stabilizes Smad proteins in vivo. (a,b) ZC4H2 overexpression stabilized Smad proteins in C2C12 (a) and HeCaT (b) cells. C2C12 or HeCaT cells were transiently transfected with the indicated plasmids and treated with rhBMP2 or not for 24 h before harvesting. Cell lysates were analysed by western blotting. (c,d) ZC4H2 knockdown reduced Smad proteins in C2C12 (c) and HeCaT (d) cells. For knockdown of ZC4H2, three independent siRNAs against mouse or human ZC4H2 were transfected into C2C12 or HeCaT cells, respectively. Cells were treated for 24 h with rhBMP2 and harvested at 72 h after transfection. Cell lysates were analysed by western blotting. NC, negative control; IB, immunoblotting. |
|
|
Figure 10. ZC4H2 mutants showed weaker Smad-stabilizing activity and might be involved in neural development in humans. (a,b) The effects of overexpression of various ZC4H2 mutants on the protein level of Smad1 (a) or Smad5 (b) in HEK293 cells. FLAG-tagged Smad1 or Smad5 and myc-tagged various ZC4H2 mutant plasmids were transfected into HEK293 cells as indicated. After 48 h, cell lysates were analysed by western blotting. (c,d) The effects of overexpression of various ZC4H2 mutants on the expression of Id1-Luc reporter induced by rhBMP2 treatment in Hep3B (c) and C2C12 (d) cells. Hep3B or C2C12 cells were transfected with the indicated plasmids together with Id1-Luc reporter plasmids and then treated with rhBMP2 for 24 h. Luciferase activity was measured at 48 h after transfection. RLU, relative light units; n.s., not significant; *p < 0.05 and **p < 0.01. (e,f) The association between Smad1 or Smad5 and various ZC4H2 mutants in co-IP assays in HEK293 cells. HEK293 cells were transiently transfected with different combinations of expression vectors of Smad1 or Smad5 and various ZC4H2 mutants as indicated, and treated for 8 h with MG132 before harvesting. Cell lysates were incubated with anti-FLAG beads, washed and subsequently analysed by western blotting. (g,h) The effects of overexpression of various ZC4H2 mutants on the polyubiquitination status of Smad1 or Smad5 in HEK293 cells. HEK293 cells were transiently transfected with the indicated plasmids and treated for 8 h with MG132 before harvest. Smad proteins were co-immunoprecipitated with anti-FLAG antibody and then detected for polyubiquitin chains with the antibody against ubiquitin. (i,j) In situ hybridization assays showed Sox2 expression in the embryos injected with control MO (25 ng), ZC4H2 MO (25 ng) or ZC4H2 MO (25 ng) together with various ZC4H2 mutant mRNAs (0.6 ng). LacZ mRNA was co-injected to trace the injected sides (stained red on the right sides). (j) Statistics of the data shown in panel (i). WT, wild-type; WCL, whole-cell lysate; IP, immunoprecipitation; IB, immunoblotting. |
|
|
zc4h2 (zinc finger, C4H2 domain containing ) gene expression in Xenopus laevis/tropicalis embryo, assayed via in situ hybridization, NF stage 3 (4-cell), animal view. |
|
|
zc4h2 (zinc finger, C4H2 domain containing) gene expression in Xenopus laevis/tropicalis embryo, assayed via in situ hybridization, NF stage 17/18, dorsal view, anterior left. |
|
|
zc4h2 (zinc finger, C4H2 domain containing) gene expression in Xenopus laevis embryo, assayed via in situ hybridization, NF stage 27, lateral view, anterior right, dorsal u, and the neural tube in transverse section, and level of g, dashed line. |
References [+] :
Balemans,
Extracellular regulation of BMP signaling in vertebrates: a cocktail of modulators.
2002, Pubmed,
Xenbase
Balemans, Extracellular regulation of BMP signaling in vertebrates: a cocktail of modulators. 2002, Pubmed , Xenbase
Bier, EMBRYO DEVELOPMENT. BMP gradients: A paradigm for morphogen-mediated developmental patterning. 2015, Pubmed , Xenbase
Bragdon, Bone morphogenetic proteins: a critical review. 2011, Pubmed
Brazil, BMP signalling: agony and antagony in the family. 2015, Pubmed
Bruce, Phosphatases in SMAD regulation. 2012, Pubmed
Cao, Selective small molecule compounds increase BMP-2 responsiveness by inhibiting Smurf1-mediated Smad1/5 degradation. 2014, Pubmed
Chen, Nuclear Export of Smads by RanBP3L Regulates Bone Morphogenetic Protein Signaling and Mesenchymal Stem Cell Differentiation. 2015, Pubmed
Dai, Nuclear export of Smad2 and Smad3 by RanBP3 facilitates termination of TGF-beta signaling. 2009, Pubmed , Xenbase
Dupont, FAM/USP9x, a deubiquitinating enzyme essential for TGFbeta signaling, controls Smad4 monoubiquitination. 2009, Pubmed , Xenbase
Ebisawa, Smurf1 interacts with transforming growth factor-beta type I receptor through Smad7 and induces receptor degradation. 2001, Pubmed
Gruendler, Proteasomal degradation of Smad1 induced by bone morphogenetic proteins. 2001, Pubmed
Hirata, ZC4H2 mutations are associated with arthrogryposis multiplex congenita and intellectual disability through impairment of central and peripheral synaptic plasticity. 2013, Pubmed
Inui, USP15 is a deubiquitylating enzyme for receptor-activated SMADs. 2011, Pubmed , Xenbase
Izzi, Regulation of the TGFbeta signalling pathway by ubiquitin-mediated degradation. 2004, Pubmed
Karsenty, Reaching a genetic and molecular understanding of skeletal development. 2002, Pubmed
Katagiri, Bone morphogenetic protein-2 inhibits terminal differentiation of myogenic cells by suppressing the transcriptional activity of MyoD and myogenin. 1997, Pubmed
Kavsak, Smad7 binds to Smurf2 to form an E3 ubiquitin ligase that targets the TGF beta receptor for degradation. 2000, Pubmed , Xenbase
Kim, Phospho-Smad1 modulation by nedd4 E3 ligase in BMP/TGF-β signaling. 2011, Pubmed
Komuro, Negative regulation of transforming growth factor-beta (TGF-beta) signaling by WW domain-containing protein 1 (WWP1). 2004, Pubmed
Kong, RNF220, an E3 ubiquitin ligase that targets Sin3B for ubiquitination. 2010, Pubmed
Korchynskyi, Identification and functional characterization of distinct critically important bone morphogenetic protein-specific response elements in the Id1 promoter. 2002, Pubmed
Kuroda, Neural induction in Xenopus: requirement for ectodermal and endomesodermal signals via Chordin, Noggin, beta-Catenin, and Cerberus. 2004, Pubmed , Xenbase
Lin, PPM1A functions as a Smad phosphatase to terminate TGFbeta signaling. 2006, Pubmed
Lin, Smurf2 is a ubiquitin E3 ligase mediating proteasome-dependent degradation of Smad2 in transforming growth factor-beta signaling. 2000, Pubmed
Liu, Trip12 is an E3 ubiquitin ligase for USP7/HAUSP involved in the DNA damage response. 2016, Pubmed
Lönn, Regulating the stability of TGFbeta receptors and Smads. 2009, Pubmed
Ma, Xenopus Dbx2 is involved in primary neurogenesis and early neural plate patterning. 2011, Pubmed , Xenbase
Massagué, Smad transcription factors. 2005, Pubmed
May, ZC4H2, an XLID gene, is required for the generation of a specific subset of CNS interneurons. 2015, Pubmed
Wrana, Regulation of Smad activity. 2000, Pubmed
Wu, Multiplicity of BMP signaling in skeletal development. 2007, Pubmed
Ying, Smurf1 facilitates myogenic differentiation and antagonizes the bone morphogenetic protein-2-induced osteoblast conversion by targeting Smad5 for degradation. 2003, Pubmed
Yoon, Multiple functions of BMPs in chondrogenesis. 2004, Pubmed
Zhang, Selective compounds enhance osteoblastic activity by targeting HECT domain of ubiquitin ligase Smurf1. 2017, Pubmed
Zhang, Regulation of Smad degradation and activity by Smurf2, an E3 ubiquitin ligase. 2001, Pubmed , Xenbase
Zhang, Xenopus Nkx6.3 is a neural plate border specifier required for neural crest development. 2014, Pubmed , Xenbase
Zhang, BMP signaling and stem cell regulation. 2005, Pubmed
Zhao, C-terminal domain (CTD) small phosphatase-like 2 modulates the canonical bone morphogenetic protein (BMP) signaling and mesenchymal differentiation via Smad dephosphorylation. 2014, Pubmed
Zhu, A SMAD ubiquitin ligase targets the BMP pathway and affects embryonic pattern formation. 1999, Pubmed , Xenbase
