|
Fig. 1. The structure of undifferentiated gonad in Xenopus laevis. A. The beginning of the formation of genital ridges (gr) located on both sides of the dorsal mesentery (dm), just under vena cava (vc) at NF48. Primordial germ cells (PGC) during migration through dorsal mesentery towards the genital ridges. Stroma (st) and melanophores (mL) fill the space between vena cava and coelomic epithelium (ce). The genital ridges have a form of folded coelomic epithelium. B. Primordial germ cell (PGC) during migration through both sheets of dorsal mesentery formed by coelomic epithelium (ce). PGC adheres to the extracellular matrix (ECM) and coelomic epithelial cells without specialized cell junctions. C. Scheme of the genital ridge (left gr) before PGC settlement, the genital ridge with PGC (right gr), and PGC during migration through dorsal mesentery. Basal lamina (bl, blue line) disappears under coelomic epithelium in the sites of genital ridge formation. D. Undifferentiated gonads at NF49 are composed of flattened coelomic epithelial cells (gonadal surface epithelium, se) that cover germ cells (g). E, F. EM image and diagram of the germ cells adhering to the gonadal surface epithelium (se). Germ cells form microvilli adhering (a) to the somatic cells without specialized cell junctions. Cell junctions (cj) exist between adjacent somatic cells (tight junctions, TJ, and desmosome-like junctions, D). G. Undifferentiated gonads at NF50. Gonadal mesentery (gm) forms a proximal region of the gonad, and the germ cells are located in the distal region. First cells ingressing from the gonadal surface epithelium inwards the gonads are visible (asterisk). H. EM image of adjacent somatic (sc) and germ cell (g) at NF50. Both cells adhere to each other by electron dense points (arrows); basal lamina is absent. I. Diagram of undifferentiated gonads at NF50. The gonad has a form of monolayer epithelium enclosing germ cell (g) in the distal region; basal lamina (bl) is absent in the sites of contact with germ cell and ingressed somatic cells (asterisk). J. Undifferentiated gonads at NF51. Increase of the number of somatic and germ cells, and accumulation of somatic cells in the gonadal center (between both sheets of the gonad mesentery) (asterisk). K, L. EM images of ingression of cells from the gonadal surface epithelium toward the gonad center. Changes in the location of cell junctions are visible. K. Ingressing cell (ic) is the one of the gonadal surface epithelial cells (se); all cells are joined by cell junctions (arrows). L. Two surface epithelial cells (se) joined to each other above the ingressing cell (ic) which losses its connection with coelomic cavity (cel). Cell junctions (arrows). M. Undifferentiated gonads at NF52. In the center of the gonads the medulla forms a mass of somatic cells. Such undifferentiated gonads are composed of the cortex and medulla (m). All germ cells (g) are located exclusively at the periphery and are all joined to the gonadal surface epithelium. N. EM image of medulla cells forming a cluster of tightly packed cells joined by desmosome-like junctions. O. Diagram of undifferentiated gonads at NF52. Arrows indicate direction of cell ingression from the surface epithelium (se). P. Immunofluorescence of laminin reveals deposition of basal lamina (arrowhead) between the cortex (c) and medulla (m) in the undifferentiated gonads at NF52. Q. EM image of stromal cell (st) present between both sheets of surface epithelium in gonadal mesentery at NF52. R. EM image of stromal cell (st) in the undifferentiated gonad at NF53. The stromal cell is surrounded by abundant extracellular matrix containing mainly collagen fibers (col). Scale bars: A,D,G,J,M,P 20 µm; B,E 5 µm; K,L,N,Q,R 2 µm; H 200 nm.
|
|
Fig. 2. Changes in the somatic and germ cell number during development of testes (A) and ovaries (B). |
|
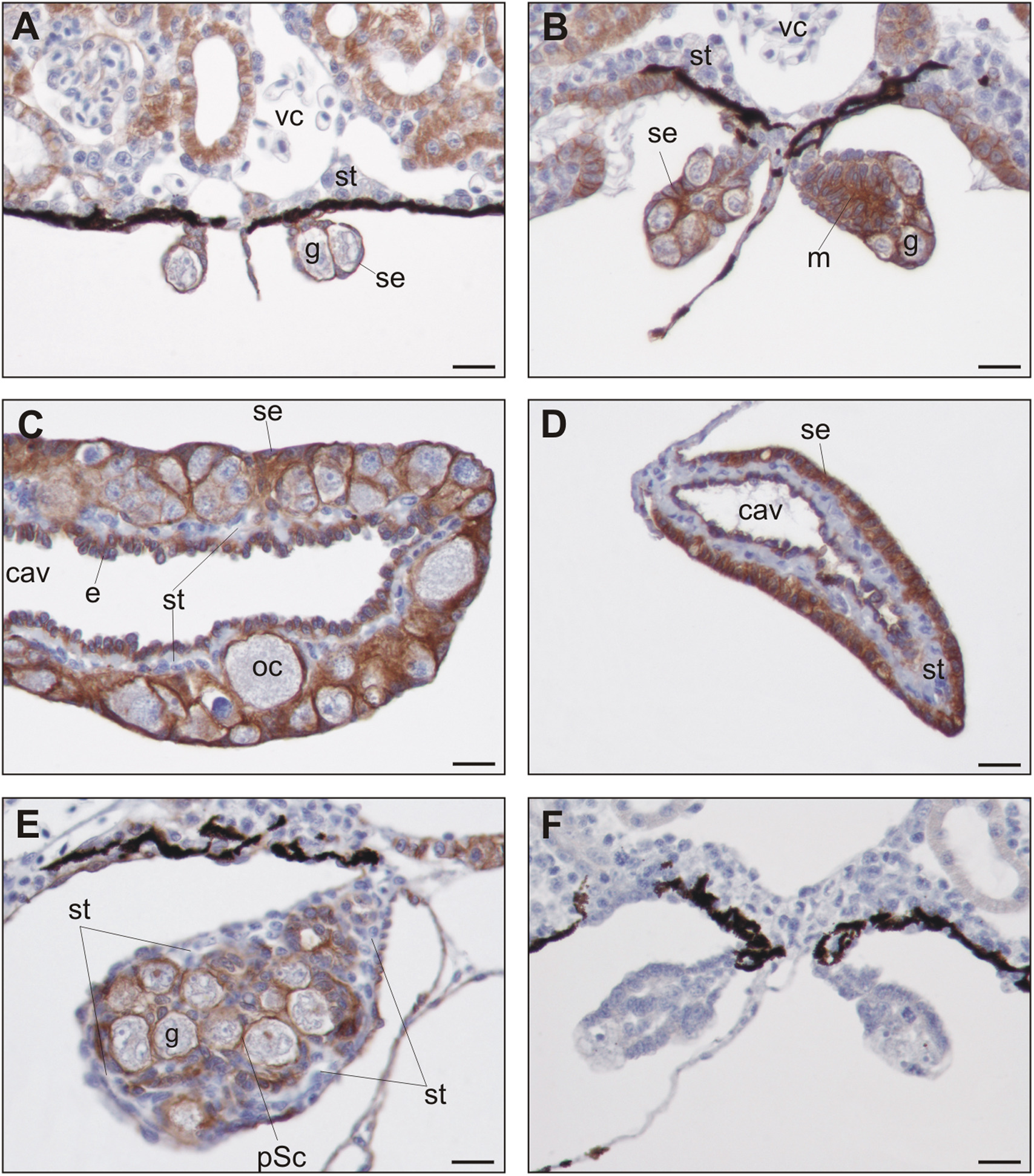
Fig. 3. Immunolocalization of E-cadherin marks somatic cells derived from coelomic epithelium. A. Undifferentiated gonads at NT49; E-cadherin is present in surface epithelium (se) but not in stromal cells (st). B. Undifferentiated gonads at NF52; E-cadherin is present in the gonadal surface epithelium (se) and medulla (m) but not in stroma (st). C. The ovary at NF58; E-cadherin is present in cortex and epithelium (e) lining ovarian secondary cavity (cav) originating from the medulla, E-cadherin is absent in the stroma (st). D. Sterile ovary at NF58 clearly shows that surface epithelium (se) and epithelium lining ovarian secondary cavity are positive for E-cadherin (indicating common origin), and stroma (st) is E-cadherin negative. E. Testes at NF57; E-cadherin is present mainly in the somatic cells enclosing spermatogonia (pre-Sertoli cells, pSc), lower E-cadherin signal is present in surface epithelium, and there is no E-cadherin in the stroma (st). F. Negative control; undifferentiated gonads at NF52. Scale bar 20 µm. |
|
Fig. 4. Cell tracing during gonad development. A. Undifferentiated gonads at NF52; signal is visible in cells located inside the gonads, which indicates the ingression of cells from the surface epithelium inwards the gonads. B. Testes at NF53; signal is visible in cells dispersed in the whole gonads. C. Testes at NF60; only low signal is present at the gonadal surface. D. Ovaries at NF53; signal is present in the cells located inside the gonads. E. Ovaries at NF56; signal is present inside the gonads. F. Control gonads at NF53; signal is present only at the gonadal surface. Scale bar 60 µm. |
|
Fig. 5. Cell proliferation during gonad development assessed by PCNA (A-D) and BrdU (E-H) immunolocalization. A, E. Undifferentiated gonads at NF51; the most intensive signal is visible in the proximal part of the gonads (forming gonadal mesentery, arrows). B, F. Ovaries at NF55; the most intensive signal is visible in the proximal part of the gonads (ovarian mesentery), and in the gonadal medulla (m). C, G. Testes at NF55; proliferating cells are dispersed throughout gonads. D, H. Negative control at NF55. Scale bar 60 µm. |
|
Fig. 6. Changes in gonad structure during sexual differentiation. A. The earliest signs of ovarian differentiation at NF53; Left panel shows the ovary composed of cortex, and medulla (m) with cavity (ovarian secondary cavity); stroma (st) is located between cortex and medulla; all oogonia (g) are attached to the surface epithelium (se); Right panel shows the cross section of the ovary through its internodal region; the medulla is absent and stroma fills the center of the gonad; scale 20 µm. B. The earliest signs of testis differentiation at NF53; there is no division into cortex and medulla; spermatogonia (g) detach from surface epithelium and disperse within whole gonads; scale 20 µm. C. EM image of ovarian cortex at NF54; oogonium (g) is directly attached to the surface epithelial cell (se) and completely enclosed by it; basal lamina is present (arrows) under the somatic cell (se) and separate the cortex from underlying stroma where stromal cells (st) are surrounded by extracellular matrix (ECM). D. EM image of testis surface at NF54; spermatogonium (g) is enclosed by pre-Sertoli cell (pSc) and does not contact surface epithelium (se); thin sheets of extracellular matric (arrows) separate somatic cells and underlie sterile surface epithelium. E. Numerous desmosome-like cell junctions (arrows) are present between somatic cells of the ovarian cortex; there are no cell junctions between somatic and germ cell. F. In developing testis, cell junctions (arrows) are limited only to surface region; stromal cell (st) is easily distinguishable due to dark cytoplasm. G. Immunolocalization of laminin in developing ovary, indicating location of two basal laminae: under cortex (arrow) and around medulla (arrowhead). H. Immunolocalization of laminin in developing testis, indicating location of many branches of basal laminae (arrowheads) dispersed in the gonad and located also under thin surface epithelium. I. Scheme of early ovary; ingressing stroma locates between the cortex (containing oogonia) and sterile medulla (m), two basal laminae (arrows) separate stroma (st) from the cortex and medulla; all germ cells are connected to surface epithelium. J. Scheme of early testis; ingressing stroma separates spermatogonia and somatic cells (pre-Sertoli cells, pSc) from sterile surface epithelium. Scale bars: A,B,G,H 20 µm; C-F 2 µm. |
|
Fig. 7. Structure of developing ovaries. A. Early ovary at NF55; all oogonia (og) are attached to the surface epithelium in the ovarian cortex, cells of the ovarian medulla transform into monolayer epithelium lining the secondary ovarian cavity (asterisk); 2 basal laminae (arrows) separate stroma from the cortex and medulla. B. Developing ovary at NF56; in the thickening cortex. The primary oogonia (arrow) enclosed individually by somatic cells and ovarian cysts containing groups of secondary oogonia (arrowhead) are present. C. EM image of ovarian cyst containing secondary oogonia (ogII) surrounded by flattened pre-follicular cells (pfc) in contact with surface epithelium (se); arrowheads indicate numerous cell junctions between somatic cells. D. First meiotic cells (zygotene stage, Z) are present in the ovary at NF57 (cross section through internodal region â no medulla or cavity is present); melanophores (black cells) are present in the stroma. E. First diplotene oocytes (oc) appear at NF58 near the ovarian cavity (asterisk). F. Thick ovarian cortex contains numerous germ cells; all oogonia (og) are present just under surface epithelium (se), diplotene oocytes are located near the ovarian cavity (asterisk), cysts containing zygotene oocytes are located in the middle; blood vessels (bv) and melanophores (black cells) are scattered between ovarian cysts. G. EM image showing surface layers of the ovary: surface epithelium (se), basal lamina (arrow), stroma (st), basal lamina (arrow), follicular cells (fc), diplotene oocyte (oc). H. EM image of layers enclosing diplotene oocyte (oc): follicular cell (fc), basal lamina (arrow), stroma (st), basal lamina (arrow), epithelium (e) lining ovarian cavity (asterisk). I. Scheme of the ovarian wall. Scale bars: A,B,D-F 20 µm; C,G-J 3 µm. |
|
Fig. 8. Structure of developing testes. A. Early testes at NF55; all spermatogonia (g) are dispersed among somatic cells with small, dark nuclei, and do not contact surface epithelium. B. First signs of groups of spermatogonia (outlined) are discernible at NF56. C. Formation of the testis cords at NF58. D, E. The testis cords (outlined) during completion of metamorphosis (NF66); each cord becomes enclosed by basal lamina (arrow); a small cluster of somatic cells that will give rise to the rete testis is visible in the testis center. F. EM image of testis cord; spermatogonia (g) and pre-Sertoli cells (pSc) are enclosed by basal lamina (arrow). G, H. Dark cells ingress (ic) inside the gonad from the superficial epithelium (se) at NF56. Scale bars: A-E 20 µm; F-H 3 µm. |
|
Fig. 9. Structure of developing gonads in longitudinal sections. A. Longitudinal section through the undifferentiated gonad (gr, genital ridge) at NF51. B. Longitudinal section through the undifferentiated gonads at NF52; cluster of medulla cells (m) and cortex (c) located peripherally are visible. C, D. Longitudinal section of the ovary at NG59; gonad is composed of gonomeres (g) divided by internodal regions (in) containing stroma (st), in each gonomere a secondary ovarian cavity is visible (asterisk), cortex (c) is present throughout the gonad. E, F. Longitudinal section of testis at NG59; there is no division into gonomeres, cortex and medulla is present, forming testis cords (rimmed) are visible in the gonads. Scale bar 50 µm. |
|
Fig. S1. Western blotting assessment of antibodies specificity. Molecular weights of detected proteins (+/- 34 kDa for PCNA; +/- 140 kDa for E-cadherin; above 450 kDa for laminin) are consistent with the predicted molecular weights. |
|
Fig. S2. Diagram of the cell junctions during gonad development in Xenopus. A. The genital ridge contains three types of cell junctions; cells of surface epithelium (se) are joined by tight junctions (TJ pink) located apically, and desmosome-like junctions (D blue) located more basally. A third type of cell junctions (CJ black) has a form of electron-dense areas of the membranes between the germ and somatic cells. B. The undifferentiated gonads also contain these three types of cell junctions. In addition, a centrally located medulla cells (m) are joined by desmosome-like junctions. C. In the differentiating ovaries, cells of surface epithelium and cells enclosing oogonia are joined by numerous desmosome-like junctions; medulla cells arrange in a form of monolayer epithelium (epi), which lines ovarian secondary cavity (asterisk), and has desmosome-like junctions located exclusively at lateral region of the cells; two basal laminae (bl) limit the stroma (blue). D. In the ovary, cells of surface epithelium and cells enclosing oogonia are joined by numerous desmosome-like junctions. E. In the differentiating testes, visible cell junctions are present only between surface epithelial cells at the gonad surface, and between somatic and germ cells. F. In the developing testis the stroma (blue) invades underneath the surface epithelium that becomes sterile. |
|
lama1 (laminin subunit alpha 1) gene expression in the basil lamina of the developing ovary (G) and testis (H) of Xenopus laevis embryo, NF stage 53, assayed via immunohistochemistry. |