|
Graphical Abstract |
|
Fig. 1. Activin-induced cardiac explants as cardiogenic assay to screen for genes specifically regulated by cardiogenic gata genes. Activin-injected animal caps from myl2-GFP reporter Xenopus laevis transgenic line were cultured until stage 45 and photographed in bright field (A) or with GFP filter (B) allowing visualisation of myl2-expressing cells throughout the beating explant. Total RNA was extracted from stage 32 wild-type Xenopus laevis explants injected with either Activin (Act) alone or together with gata4, 5 or 6 morpholinos (MOs) for real-time RT-PCR monitoring of myl2 (C) or tnni3 (D) expression. Following validation, samples were subjected to high-throughput sequencing where (E) represents schematic pipeline of RNA-seq bioinformatics analysis and (F, H) Venn diagrams of numbers of genes that are differentially expressed compared to Activin-injected control with at least a two-fold reduction in expression and an adjusted p value of<0.05. (G, I) Heatmaps of fold changes for differentially expressed genes (increased or decreased expression without any fold-change threshold applied) highlighting sub-clusters that are specifically regulated by gata4. Abbreviations: control, uninjected explant; G4MO, G5MO, G6MO and 456MOs representing respectively gata4, gata5, gata6 and all three combined morpholinos. Genes in sub-clusters 1 and 2 are listed in Fig. S1B, C. |
|
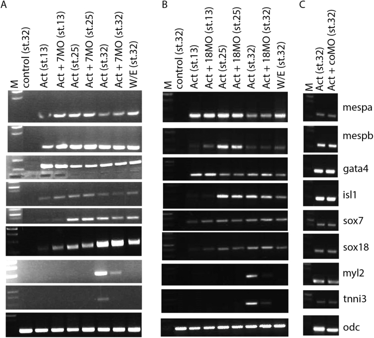
Fig. 2. sox7 and sox18 are required for Activin-induced cardiac differentiation. Semi-quantitative RT-PCR assay monitoring cardiogenic gene expression (as indicated) in animal cap explants injected with Activin alone or in combination with sox7 and sox18 MOs, analysed at control stages 13, 25 and 32. Note that pronounced sox7 and sox18 expression starts after expression of cardiac progenitor markers mespa, mespb, and the early cardiac marker gata4. Note also that MO-mediated knockdown of sox7 or sox18 affect cardiac differentiation, as monitored by induction of cardiac differentiation markers myl2 and tnni3. M, Molecular size marker; control, uninjected explant; CoMO, control MO; 7MO, sox7 MO; 18MO, sox18MO; W/E, whole embryo; odc, ornithine decarboxylase (internal loading control). |
|
Fig. 3. sox7 and sox18 are required downstream of gata4 for cardiac differentiation. Semi-quantitative (A, B, D, F and H) and quantitative RT-PCR (C, E, G and I) assay monitoring cardiac differentiation marker gene expression in control stage 32 explants. Explants injected with 1000 pg of mRNA encoding dexamethasone-inducible gata4 (G4GR), gata5 (G5GR) and gata6 (G6GR) (A, B and C); or Activin-induced cardiac explants in the presence of control, sox7, sox18 or both SoxF MOs with mRNA encoding dexamethasone-inducible gata4, 5, 6 (D to I). Note that gata4, 5 and 6 induce cardiac differentiation to a different extent (A). Note also that both sox7 and sox18 MOs result in reduced induction of cardiac differentiation markers (myl2, tnni3) (B to I and that this cannot be recovered by overexpression of either gata4 or the other paralogs gata5 or 6 (D to I)). Note further that simultaneous knock down of sox7 and sox18 essentially abolishes expression of cardiac differentiation markers (B, C, F and G) and that neither sox7 nor sox18 is required for their own or each other's expression (D, F). CoMO, control MO; 718MOs, sox7 and sox18 MOs; Dex, Dexamethasone added at control stage 8 apart H and I as indicated at stages 8 and 13. Other abbreviations are as in Fig. 2. |
|
Fig. 4. sox7 and sox18 are essential downstream mediators of gata4 during cardiomyogenesis. Activin-induced cardiac explants injected with control, gata4 or gata5 MOs together with mRNA encoding inducible sox7 (7GR), sox18 (18GR) or gata proteins (G4GR, G5GR and G6GR), as indicated, which were activated before gastrulation (8, stage 8) (A to C) and during late gastrula (13, stage 13), as indicated (D and E). Semi-quantitative (A, C and D) and quantitative (B and E) RT-PCR assay monitoring indicated markers analysed at control stage 32. Note the partial recovery (A, B) of the effect of gata4 inhibition on cardiac differentiation by experimentally activated SoxF proteins (7GR and 18GR). Note also that only gata4 knock down affects sox7 and sox18 expression and that only gata4 when reinstated can recover sox7 and sox18 expression. Note further the stage-dependent different intrinsic cardiac inducing properties of the three cardiogenic gata paralogs (as revealed by expression of cardiac differentiation markers myl2 and tnni3). Abbreviations are same as in previous figures. 200 pg and 1000 pg of mRNA were injected for overexpression of sox and gata proteins respectively. |
|
Fig. 5. sox7 and sox18 are required for endogenous cardiac differentiation in vivo. Semi-quantitative (A) and quantitative (B) RT-PCR analyses of cardiac differentiation (myl2 expression) in Xenopus stage 32 dorsal marginal zone (DMZ) explants injected with sox7 MO together with 200Â pg of mRNAs encoding dexamethasone-inducible gata proteins, as indicated. Note considerable requirement of sox7 function for cardiac differentiation (myl2 expression) and the ability of experimentally activated gata4, 5 or 6 to cause only a partial recovery of cardiac differentiation in a sox7 knockdown (compare with Activin-induced cardiomyogenesis, see Fig. 3H and I). (C - G) Whole-mount in situ hybridisation analysis of tnni3 expression of stage 32 embryos which are either uninjected (C) or had been injected at the four-cell stage in the two dorsal blastomeres with sox7 MO (D), sox7 MO plus gata4GR mRNA (E), sox18 MO (F) or sox18 MO plus gata4GR mRNA (G). Dexamethasone was added at stage13 to activate the inducible gata4 protein (in E and G). Note that embryos with depleted sox7 and sox18 have reduced tnni3 expression compared to wild type (C) ranging from weak to complete reduction (D and F), which cannot be recovered with activated gata4 proteins (E and G). (H) Quantified data of tnni3 expression in each condition. |
|
Fig. 6. Sox7 is required during mouse ES cell differentiation into cardiomyocytes (A) RT-qPCR analysis of Gata4 expression at day 5 (D5) of cardiomyocyte differentiation. Gata4 expression was significantly decreased in cells transfected with Gata4 shRNA compared to control cells. (B) Tnnt2 expression was decreased at D10 in Gata4 knockdown cells compared to untransfected controls. (C) Sox7 expression during cardiomyocyte differentiation. At D5, Sox7 expression was reduced in cells transfected with Gata4 shRNA compared to controls, though at subsequent stages expression was increased. (D) Sox18 expression was also reduced at D5 in cells transfected with Gata4 shRNA compared to untransfected controls, whereas expression was increased during later stages of differentiation. (E) RT-qPCR analysis of Sox7 expression in inducible Gata4 (iGata4) mouse ES cells. Following doxycycline (+dox) induction at D4, Sox7 was rapidly upregulated at D5 compared to control (-dox). (F and G) RT-qPCR analysis of Sox7 expression in iGata5 and iGata6 cells. Sox7 expression was only moderately increased at D5 in induced cells compared to iGata4 (E). Sox7 expression was later increased at D7 and D10 compared to controls. (H) RT-qPCR analysis of Sox18 in iGata4 cells. Sox18 expression was only slightly increased at D5 following doxycycline induction at D4, compared to uninduced controls. (I and J) RT-qPCR analysis of Sox18 expression in iGata5 and iGata6 cells. Sox18 expression was increased at D5 following doxycycline induction at D4 in iGata5 and iGata6 cells, compared to uninduced controls. |
|
Fig. 7. Proposed model to depict the functional differences between cardiogenic gata paralogs during cardiomyogenesis. The SoxF paralogs sox7 and sox18 mediate gata4 but not gata5 and gata6 function during cardiomyogenesis. All cardiogenic gata function after induction of early cardiac transcription factors where sox7 and sox18 act downstream to mediate only some of gata4 but not gata5 and gata6 function during cardiomyogenesis (for details, see text in Discussion Sections). ×1? and ×2? indicate yet unidentified intermediary factors. |
|
Still for Movie 1. Beating tissue from Activin-induced cardiac explants. Beating heart muscle tissue at control stage 45 derived from animal cap explant expressing activin β B from mRNA injected at one cell stage embryo. Note the rhythmic movement and the heart-like shape of the explant. One example shown from 45 cardiac explants used with n = 3 independent experiments.
See journal site for supplementary movies. |
|
|