XB-ART-54381
Dev Dyn
2018 Apr 01;2474:660-671. doi: 10.1002/dvdy.24615.
Show Gene links
Show Anatomy links
RNA helicase Mov10 is essential for gastrulation and central nervous system development.
Skariah G, Perry KJ, Drnevich J, Henry JJ, Ceman S.
???displayArticle.abstract???
BACKGROUND: Mov10 is an RNA helicase that modulates access of Argonaute 2 to microRNA recognition elements in mRNAs. We examined the role of Mov10 in Xenopus laevis development and show a critical role for Mov10 in gastrulation and in the development of the central nervous system (CNS). RESULTS: Knockdown of maternal Mov10 in Xenopus embryos using a translation blocking morpholino led to defects in gastrulation and the development of notochord and paraxial mesoderm, and a failure to neurulate. RNA sequencing of the Mov10 knockdown embryos showed significant upregulation of many mRNAs when compared with controls at stage 10.5 (including those related to the cytoskeleton, adhesion, and extracellular matrix, which are involved in those morphogenetic processes). Additionally, the degradation of the miR-427 target mRNA, cyclin A1, was delayed in the Mov10 knockdowns. These defects suggest that Mov10's role in miRNA-mediated regulation of the maternal to zygotic transition could lead to pleiotropic effects that cause the gastrulation defects. Additionally, the knockdown of zygotic Mov10 showed that it was necessary for normal head, eye, and brain development in Xenopus consistent with a recent study in the mouse. CONCLUSIONS: Mov10 is essential for gastrulation and normal CNS development. Developmental Dynamics 247:660-671, 2018. © 2017 Wiley Periodicals, Inc.
???displayArticle.pubmedLink??? 29266590
???displayArticle.pmcLink??? PMC5892831
???displayArticle.link??? Dev Dyn
???displayArticle.grants??? [+]
R01 EY023979 NEI NIH HHS , R01 MH093661 NIMH NIH HHS
Species referenced: Xenopus laevis
Genes referenced: ccna1 mov10 myt1 odc1 sox3
GO keywords: gastrulation [+]
???displayArticle.antibodies??? Notochord Ab1 Somite Ab1
???displayArticle.morpholinos??? mov10 MO1 mov10 MO2
???displayArticle.gses??? GSE86382: Xenbase, NCBI
???attribute.lit??? ???displayArticles.show???
|
|
Fig. 1. Maternal Mov10 is required for gastrulation and neural tube formation. A–F: Successive time-lapse images of whole-mount control embryo undergoing normal gastrulation. G–L: Successive time-lapse images of whole-mount maternal Mov10 knockdown (m-MO) embryo that fails to complete gastrulation. Dorsal–ventral and anterior–posterior axes are as labeled. White arrowheads in K and L point to yolky debris and loose cells of the blastopore and dorsal lip. M–P: Dorsal, whole-mount images from Con and m-MO injected embryos. M: dorsal view of stage 21 control embryo. N: Dorsal view of sibling m-MO injected embryo. Note large opening with exposed yolky mass of cells on the dorsal surface. The loose yolky debris has washed away from this hatched embryo. O: Lateral view of a Con embryo like that shown in M. P: Dorsal view from anterior end of m-MO injected embryo showing the boat-shaped phenotype. The dotted lines in M and N show the plane of sections for Q and R, respectively. Q: Section through a stage 21 control embryo showing a single notochord and two rows of somites united along the dorsal midline. Antibody to Tor70 recognizes notochord cells (in red); Antibody 12/101 recognizes somitic mesoderm (in green); DAPI in blue. R: Section through a typical m-MO embryo showing failure to complete gastrulation and neurulation. This embryo has two separated files of notochord and somitic mesoderm. The dorsal side is located toward the top in Q and R. a, anterior; bl, blastopore lip; cg, cement gland; d, dorsal; nt, neural tube; nc, notochord; nt, neural tube; p, posterior; sm, somite; v, ventral; yc, yolk cells. Scale bar in R equals 120 mm (for A–L), 450 mm (for M,N), 440 mm (for O,P), and 80 mm (for Q,R). |
|
|
Fig. 2. mRNA rescue and MO effects on convergent extension. A: Partial rescue of m-MO phenotype by introduction of Mov10 mRNA. Error bars represent SEM, **P<0.01 (Studentâs t-test, two-tailed). Mov10 mRNA rescued cases that underwent gastrulation also formed a neural plate, but those cases typically disintegrate a few hours later so they are unable to complete neurulation and form a neural tube. B,C: X. laevis stage 10 sagittal sections stained with Hematoxylin and Eosin. Dorsal (D) and ventral (V) sides are as noted. B: Representative section of a Con embryo, showing Brachetâs cleft (white arrowheads), which separates the outer ectoderm from the underlying mesendoderm. C: Representative section of a sibling m-MO injected embryo, which lacks a visible delineation between ectodermal and mesendodermal layers (Brachetâs cleft). Note that cells along the dorsal and ventral sides of the blastopore and yolk plug, denoted with black arrowheads, appear to be thicker, having mainly undergone convergent thickening (compare B to C). D: Whole-mount image of representative stage 13â 14 Con embryo with closed blastopore. E: Representative sibling m- MO embryo with unclosed blastopore. F: Rescued embryo co-injected with m-MO and Mov10 mRNA (250 pg) with closed blastopore. GâJ: Development of stage 10 dorsal (dmz) and ventral marginal zone (vmz) explants harvested from the region shown in the inset included in G and I, respectively. G: Control dmz explants eventually form mesoderm that undergoes convergent extension, as revealed by the formation of elongated projections. H: dmz explants from m-MO injected embryos also show signs of convergent extension and elongation. Note, however, that the pigmented ectoderm does not cover the mesodermal tissue as completely as seen in control explants (compare with G). I: vmz explants harvested from stage 10 control embryos do not exhibit signs of elongation and form spherical embryoids. J: Likewise, m-MO injected embryos also form spherical embryoids. Note that the pigmented ectoderm has not covered the surface of these explants. bl, lip of blastopore; np, neural plate; yp, yolk plug. Scale bar=180 mm in J (applies in B,C: 250 mm for DâF, 850 mm for GâJ. |
|
|
Fig. 3. Mov10 regulates MZT through RISC. A: Schematic of developmental time periods and the HU assay. The MZT spans between stage 1 and stage 10. The MBT lies between stages 8 to 9. EGT occurs between stage 9 to 9.5. HU treatments lasted from the two-cell stage to stage 9.5. At the two-cell stage one of the blastomeres was injected with fluorescein-tagged morpholinos and the embryos were treated with HU until stage 9.5. BâD: Images of stage 9.5 embryos, where one cell had been injected with morpholino, targeting a positive regulator of MZT (B56e) at the 20-cell stage. A total of 22 embryos were injected, and 21 of those showed the expected phenotype. Green arrows point to the live progeny of the injected cell in one of the cases shown. White arrowheads point to the dead progeny of the uninjected cell. EâG: Images of stage 9.5 embryos, where only one cell was injected with m-MO. A total of 22 embryos were injected and all of them showed the expected phenotype. H: qRT-PCR of cyclin A1 levels in control and m-MO embryos at indicated stages. Error bars represent SEM. NS- Not significant, *P<0.05 (Studentâs t-test, two-tailed). I: Differential expression results for maternal Mov10 morpholino (m-MO) injected (Mov10) vs. control embryos (C), X-axisaverage expression value (TMM-normalized Counts Per Million, log2 scale) of each X. laevis gene and y-axis is log2 (Mov10/C). Each point is a single gene: groups of genes colored red or blue had significantly greater than or less than 1.5 FC difference (unlogged), respectively. Groups of genes colored pink or light blue also had significantly greater than or less than 10 FC difference (unlogged), respectively. The numbers of genes listed at the +/- 1.5 FC level include the genes with610 FC. Scale bar in G equals 100 mm for A an 300 mm for BâG. Gene identities and statistical analysis are in Supplementary Table S2 (accessible through NCBI GEO accession number GSE86382) |
|
|
Fig. 4. GO of significantly changed RNAs between mMO injected and control embryos. A: Heat maps of –log10 (P-values) showing the comparison of all significantly changed (both), up- or down-regulated gene sets from X. laevis for BP category. Due to the larger number of BP terms, only those with raw P-values<0.0001 in any gene set were included in the heat map. B: Heat maps of –log10 (P-values) showing the comparison of all (both), up or down gene sets from X. laevis for MF category. GO terms with raw P-values<0.001 in any gene set were included for MF. |
|
|
Fig. 5. Knockdown of zygotic Mov10 causes decreases in eye and body size. A: Whole-mount images of Con injected tadpoles at stage 36. A total of 46 tadpoles were analyzed, all of which exhibited this normal phenotype. B: Whole-mount images of zygotic Mov10 knockdown (z-MO) tadpoles at stage 36. A total of 48 tadpoles were analyzed and 45 of them showed a small eye phenotype. C,D: Fluorescein images of the tadpoles from A and B, respectively, showing the distribution of the fluorescein-tagged morpholinos. E: RT-PCR using Mov10 primers for control and z-MO injected embryo cDNA showing effective splicing blocking and absence of Mov10 splice junction (PCR product expected size is 197 nt,+ reaction included cDNA, - reactions did not include cDNA). As a positive control, ODC (Ornithine Decarboxylase) was found to be present in both samples (PCR product expected size is 221 nt). F: Graph showing eye diameter in mm from Con injected and z-MO injected embryos measured at stage 36. A total of 67 tadpoles were analyzed. G: Graph showing overall AP length in mm from control morpholino injected and z-MO injected embryos measured at stage 36. A total of 67 tadpoles were analyzed. Error bars represent SEM, **P<0.01 (Studentâs t-test, two-tailed). Scale bar = 800 um in D. |
|
|
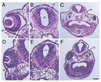
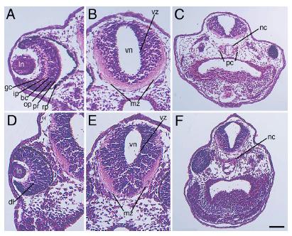
Fig. 6. Knockout of zygotic Mov10 leads to defects in the eye and brain structure. AâC: Hematoxylin and eosin staining of control morpholino injected embryos, as labeled. A: Representative section of a control eye showing distinct, well-organized layers of the retina in a control embryo, as labeled. B: Forebrain region displaying a well-developed ventricular zone and marginal zone. Note large mass of axonal fibers within the ventral marginal zone. C: Lower magnification image showing the notochord and parachordal cartilage. DâF: Hematoxylin and eosin stain of z-MO injected embryos. D: Section reveals a smaller eye with disorganized retinal layers. E: Section of the brain with a reduced marginal zone area. Note a reduced mass of axonal fibers within the ventral marginal zone. F: Lower magnification image revealing an enlarged notochord and no distinguishable parachordal cartilage. Dorsal is located toward the top of these images. bc, bipolar cell layer; dl, disorganized layers; gc, ganglion cell layer; ip, inner plexiform layer; mz, marginal zone; nc, notochord; op, outer plexiform layer; pc, parachordal cartilage; pr, photoreceptor; rp, retinal pigment epithelium; vz, ventricular zone. Scale bar in F equals 100 um (for A,B and D,E), and 170 um (for C) |
|
|
Fig. 7. Knockout of zygotic Mov10 shows abnormal staining of neuronal precursors in the ventricular zone. A: A stage 36 tadpole showing the plane of sectioning for B through P. B: Representative fluorescence image of control embryo shows the forebrain region with Sox3 positive precursors (in red) surrounding the lumen of the ventricle. Note the expanded dorsal Sox3 labeling in the ventricular zone, denoted by white arrowheads. C: DAPI staining (in blue) of the same section shown in B. D: Merged images from B and C. EâG: Representative fluorescence images from a similar region, as shown in B, from representative z-MO injected tadpoles. E: Sox3 positive neuronal precursor cells are located in the ventricular zone. F: DAPI staining of the same section shown in E. G: Merged images from E and F. Notice the enhanced overall staining of Sox3, including in the more ventral regions of the ventricular zone, denoted by white arrowheads (compare with the control embryo shown in B). HâJ: More posterior section from the forebrain region of a z-MO injected tadpole. H: Sox3 neuronal precursors. Note the expanded ventral labeling denoted by arrowheads. I: Corresponding DAPI staining for H. J: Merge of Sox3 and DAPI stains. KâM: MyT1 staining for differentiated neurons in a control embryo. K: MyT1 positive differentiated neurons. Note expanded dorsal area devoid of MyT1 expression within the ventricular zone (denoted by white arrowheads). L: DAPI staining of the same section shown in K. M: Merged images from K and L. NâP: Representative sections from a z-MO injected tadpoles. N: Wide distribution of MyT1 positive differentiated neurons. Note uniform MyT1 staining in the dorsal ventricular zone (compare with K). O: DAPI staining of the same section shown in N. P: Merged images from N and O. fp, floor plate; mz, marginal zone; rp, roof plate; vn, ventricle. Scale bar = 40 mm in P. |
References [+] :
Bellefroid,
X-MyT1, a Xenopus C2HC-type zinc finger protein with a regulatory function in neuronal differentiation.
1996, Pubmed,
Xenbase
Bellefroid, X-MyT1, a Xenopus C2HC-type zinc finger protein with a regulatory function in neuronal differentiation. 1996, Pubmed , Xenbase
Bernstein, Dicer is essential for mouse development. 2003, Pubmed
Burdick, P body-associated protein Mov10 inhibits HIV-1 replication at multiple stages. 2010, Pubmed
Chen, From reads to genes to pathways: differential expression analysis of RNA-Seq experiments using Rsubread and the edgeR quasi-likelihood pipeline. 2016, Pubmed
Chen, From reads to genes to pathways: differential expression analysis of RNA-Seq experiments using Rsubread and the edgeR quasi-likelihood pipeline. 2016, Pubmed
Davidson, Neural tube closure in Xenopus laevis involves medial migration, directed protrusive activity, cell intercalation and convergent extension. 1999, Pubmed , Xenbase
Dehay, Cell-cycle control and cortical development. 2007, Pubmed
Ding, Genome-wide analysis of dorsal and ventral transcriptomes of the Xenopus laevis gastrula. 2017, Pubmed , Xenbase
Dobin, STAR: ultrafast universal RNA-seq aligner. 2013, Pubmed
Elkins, Isolation and characterization of a novel gene, xMADML, involved in Xenopus laevis eye development. 2006, Pubmed , Xenbase
Goodier, MOV10 RNA helicase is a potent inhibitor of retrotransposition in cells. 2012, Pubmed
Gregersen, MOV10 Is a 5' to 3' RNA helicase contributing to UPF1 mRNA target degradation by translocation along 3' UTRs. 2014, Pubmed
Howe, Identification of a developmental timer regulating the stability of embryonic cyclin A and a new somatic A-type cyclin at gastrulation. 1995, Pubmed , Xenbase
Huber, Orchestrating high-throughput genomic analysis with Bioconductor. 2015, Pubmed
Jin, PP2A:B56{epsilon}, a substrate of caspase-3, regulates p53-dependent and p53-independent apoptosis during development. 2010, Pubmed , Xenbase
Keller, The function and mechanism of convergent extension during gastrulation of Xenopus laevis. 1985, Pubmed , Xenbase
Kenny, MOV10 and FMRP regulate AGO2 association with microRNA recognition elements. 2014, Pubmed
Koyano, The Xenopus Sox3 gene expressed in oocytes of early stages. 1997, Pubmed , Xenbase
Langley, New insights into the maternal to zygotic transition. 2014, Pubmed , Xenbase
Liu, Argonaute2 is the catalytic engine of mammalian RNAi. 2004, Pubmed
Lun, It's DE-licious: A Recipe for Differential Expression Analyses of RNA-seq Experiments Using Quasi-Likelihood Methods in edgeR. 2016, Pubmed
Lund, Deadenylation of maternal mRNAs mediated by miR-427 in Xenopus laevis embryos. 2009, Pubmed , Xenbase
Lykke-Andersen, Maternal Argonaute 2 is essential for early mouse development at the maternal-zygotic transition. 2008, Pubmed
Macedoni-Luksic, Imitation in fragile X syndrome. Implications for autism. 2009, Pubmed
McBratney-Owen, Development and tissue origins of the mammalian cranial base. 2008, Pubmed
McCarthy, Testing significance relative to a fold-change threshold is a TREAT. 2009, Pubmed
Meister, Identification of novel argonaute-associated proteins. 2005, Pubmed
Morita, One Argonaute family member, Eif2c2 (Ago2), is essential for development and appears not to be involved in DNA methylation. 2007, Pubmed
Nagase, Prediction of the coding sequences of unidentified human genes. XIX. The complete sequences of 100 new cDNA clones from brain which code for large proteins in vitro. 2000, Pubmed
Noctor, Neurons derived from radial glial cells establish radial units in neocortex. 2001, Pubmed
Owens, High-throughput analysis reveals novel maternal germline RNAs crucial for primordial germ cell preservation and proper migration. 2017, Pubmed , Xenbase
Perry, The G-protein-coupled receptor, GPR84, is important for eye development in Xenopus laevis. 2010, Pubmed , Xenbase
Rakic, Evolution of the neocortex: a perspective from developmental biology. 2009, Pubmed
Robinson, A scaling normalization method for differential expression analysis of RNA-seq data. 2010, Pubmed
Sievers, Mixture models and wavelet transforms reveal high confidence RNA-protein interaction sites in MOV10 PAR-CLIP data. 2012, Pubmed
Skariah, Mov10 suppresses retroelements and regulates neuronal development and function in the developing brain. 2017, Pubmed
Stack, Developmentally regulated activation of apoptosis early in Xenopus gastrulation results in cyclin A degradation during interphase of the cell cycle. 1997, Pubmed , Xenbase
Tadros, The maternal-to-zygotic transition: a play in two acts. 2009, Pubmed
Thuret, Analysis of neural progenitors from embryogenesis to juvenile adult in Xenopus laevis reveals biphasic neurogenesis and continuous lengthening of the cell cycle. 2015, Pubmed , Xenbase
Trapnell, Transcript assembly and quantification by RNA-Seq reveals unannotated transcripts and isoform switching during cell differentiation. 2010, Pubmed
Wolfe, Neuronal leucine-rich repeat 6 (XlNLRR-6) is required for late lens and retina development in Xenopus laevis. 2006, Pubmed , Xenbase
Yanai, Mapping gene expression in two Xenopus species: evolutionary constraints and developmental flexibility. 2011, Pubmed , Xenbase
Zhang, Assessing Primary Neurogenesis in Xenopus Embryos Using Immunostaining. 2016, Pubmed , Xenbase
