Click here to close
Hello! We notice that you are using Internet Explorer, which is not supported by Xenbase and may cause the site to display incorrectly.
We suggest using a current version of Chrome,
FireFox, or Safari.
???displayArticle.abstract???
Vertebrate eye development is complex and requires early interactions between neuroectoderm and surface ectoderm during embryogenesis. In the African clawed frog, Xenopus laevis, individual eye tissues such as the retina and lens can undergo regeneration. However, it has been reported that removal of either the specified eye field at the neurula stage or the eye during tadpole stage does not induce replacement. Here we describe a model for investigating Xenopus developmental eye repair. We found that tailbud embryos can readily regrow eyes after surgical removal of over 83% of the specified eye and lens tissues. The regrown eye reached a comparable size to the contralateral control by 5 days and overall animal development was normal. It contained the expected complement of eye cell types (including the pigmented epithelium, retina and lens), and is connected to the brain. Our data also demonstrate that apoptosis, an early mechanism that regulates appendage regeneration, is also required for eye regrowth. Treatment with apoptosis inhibitors (M50054 or NS3694) blocked eye regrowth by inhibiting caspase activation. Together, our findings indicate that frog embryos can undergo successful eye repair after considerable tissue loss and reveals a required role for apoptosis in this process. Furthermore, this Xenopus model allows for rapid comparisons of productive eye repair and developmental pathways. It can also facilitate the molecular dissection of signaling mechanisms necessary for initiating repair.
Fig. 1.
Tailbud embryos regrow eyes after tissue removal. Images showing normal eye development (A-D) and the eye regrowth process (E-H) starting with st. 27â¯at the following timepoints: immediately after surgery (0), 1, 2, and 5 days (dpsâ¯=â¯days post surgery). (A-D) Open arrowheads in the upper panels indicate control, unoperated eyes. (E-H) Closed arrowheads in the bottom panels indicate regrowing eyes. The rate of full eye regrowth (as shown in H and described in Supplemental Fig. 1) was approximately 93% (nâ¯=â¯63). (I) Images are immunostained, transverse sections through the eye plane after surgery. Closed arrowheads indicate surgery site, open arrowheads indicate unoperated eye. Blue color indicates nuclear staining (DAPI). Green color indicates the basal lamina (anti-Laminin), which outlines the optic vesicle. Red color indicates neural tissues (Xen1). (J) Eye tissues removed from a st. 27 embryo were transplanted to its flank at an incision site â¼1/2 from posterior end. By 5 dps, transplanted tissues have a retina and lens similar to the contralateral control eye (not shown) in the same embryo (nâ¯>â¯20). (K) Hematoxylin and eosin stained section of transplanted tissues at 5 dps. (A-H) Upâ¯=â¯dorsal, downâ¯=â¯ventral, leftâ¯=â¯anterior, rightâ¯=â¯posterior. (I) Upâ¯=â¯dorsal, downâ¯=â¯ventral. Scale bars: A-Hâ¯=â¯200â¯Î¼m, Iâ¯=â¯25â¯Î¼m, Jâ¯=â¯200â¯Î¼m, and Kâ¯=â¯50â¯Î¼m.
Fig. 2.
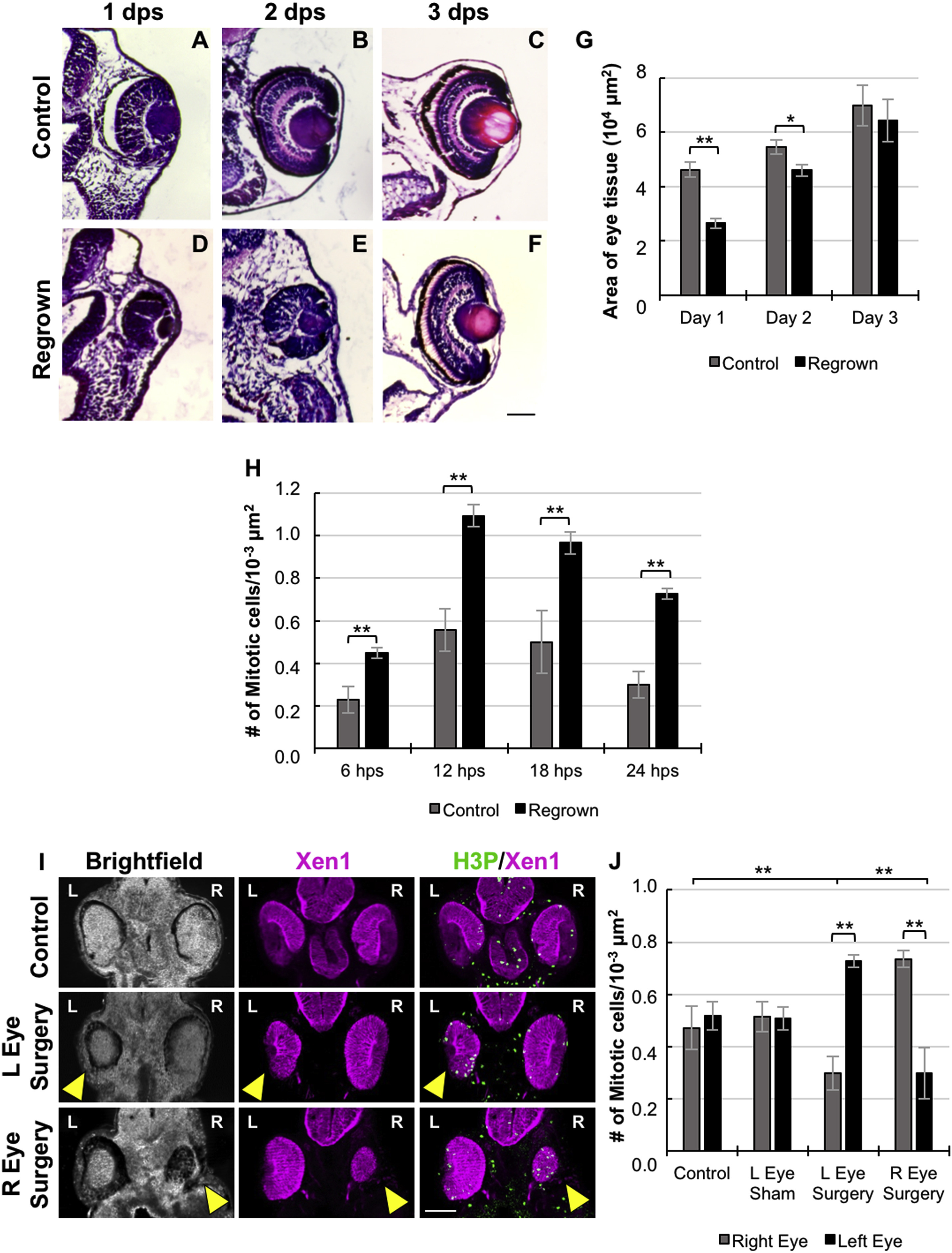
Proliferation accompanies Xenopus eye regrowth. Hematoxylin and eosin stained sections of unoperated eyes (top panels, A-C) compared to age-matched regrowing eyes (bottom panels, D-F). (D) At 1 dps, a small regrowing eye is seen at surgery site. (E) At 2 dps, retinal layer formation is delayed as compared to control (B). (F) By 3 dps, an eye comparable to control is apparent with similar eye organization and size. Representative images are shown. (G) Timecourse of growth rate after surgery as compared to contralateral unoperated eye at day 1 (57.2%, n = 7), day 2 (84.4%, n = 5), day 3 (92.1%, n = 6). * denotes p < 0.05, ** denotes p < 0.01. Data are means ± SEM. (H) Quantification of mitoses in the regrowing eye structure at the following timepoints: 6, 12, 18, and 24 hps (hps = hours post surgery). There is an increase in the number of mitotic cells in regions where tissue removal surgery was performed compared to the contralateral control side. ** denotes p < 0.01 (n>5 per timepoint). Data are means ± SEM. (I and J) Assessment of mitoses in the regrowing eye at 24 hps. (I) Mitotic cells are indicated in green by anti-phospho Histone H3 signal. Xen1 indicated neural tissues. Closed arrowheads in the brightfield panels indicated regrowing eyes. (J) Quantification of mitoses in embryos under different conditions as shown. Mitoses are increased in regions where tissue removal surgery was performed, but not in the control or sham-operated eye. L indicates left side. R indicates right side. (A-F, I) Up = dorsal, down = ventral. Scale bars: A-F, I = 50 μm.
Fig. 3.
Regrown eye contains expected cell types. (A) Hematoxylin and eosin stained section of age-matched control (left panel) and regrown eyes at 5 dps (right panel). Regrown eye contains same eye structures compared to unoperated sibling control. (B-D) Identification of retinal cell types in eye regenerates. Dark pigmented tissue surrounding the retina is the retinal pigmented epithelium (RPE). (B) Eye sections stained with DAPI (DNA), anti-Rhodopsin antibody (rod photoreceptors), and anti-Calbindin-D-28K antibody (cone photoreceptors). (C) Eye sections stained with DAPI, anti-Isl1 antibody (identifies retinal ganglion cells, amacrine cells, bipolar cells, and horizontal cells). (D) Eye sections stained with DAPI, and anti-Glutamine Synthetase (Müller glia). (A-D) Upâ¯=â¯dorsal, downâ¯=â¯ventral. Scale bars: A-Dâ¯=â¯50â¯Î¼m.
Fig. 4.
Regrown eye is connected by an optic nerve. (A) A dorsal view of the tadpolehead showing the locations of the eye, optic nerve, and brain. (B) The optic nerve of regrown eye (yellow arrowhead) innervates to the brain, similar to the contralateral, unoperated side. White arrow shows the optic nerve (green) as detected by the Xen1 antibody. Scale bars: A, Bâ¯=â¯250â¯Î¼m.
Figure S1. Eye Regrowth Assay.
(A) Shows a schematic of the assay. Each eye was scored based on four phenotype categories:
(B) full, regrowth of an eye (with lens) comparable to an unoperated control eye in structure
(C) partial ‰ minor abnormalities including misshapen and reduction in eye size or incomplete closure of the choroid fissure
(D) weak â no lens and severely reduced and/or malformed eye with most tissues missing
(E) none â no regenerated tissues visible.
To compare the quantity and quality of regrowth in operated eyes versus control eyes, we developed a Regrowth Index (RI) similar to one previously described for tail regeneration. Based on the calculation of the percentage of the number of individuals grouped to each category, each category is then multiplied by 3 (full), 2 (partial), 1 (weak), or 0 (none). The resulting number is a value ranging from 0 to 300, constituting the RI. A value of 0 denotes no regeneration in any of the individuals in the group, while a value of 300 denotes full regeneration in 100% of individuals within the tested group.
Figure S2. Mitoses in Normal Eyes.
Comparison of counts of anti-phospho Histone H3 positive cells at different timepoints after st. 27 showed that there is no difference in proliferation between the left and righteyes. p>0.05, n>5 per timepoint.
Figure S3. Visual Preference Assay.
Surgery was performed on st. 27 embryos to remove lefteye tissues. To assay for visual preference only for the regrown eye, the righteye was removed at st. 40 (no regrowth is seen for embryoeye at this stage (Blackiston and Levin, 2013; Sedohara et al., 2003)). Embryos were raised under a 12 hour light:dark schedule. Visual preference for the white versus black colors were performed based on protocol described in (Viczian and Zuber, 2014) and modified as follows: individual swimming tadpoles were transferred to a 15x20 cm container with half white and half black background made using black and white tape. A single tadpole was placed in the black side of the container. Each tadpole was given about eight minutes to acclimate to the new environment. For the assay, the time that tadpoles spent in each colored background was measured within a two-minute timeframe. The same set of tadpoles were retested the following day. The results were the same for both days. For each condition, at least 10 tadpoles from each of three different batches of embryos were assayed.
Tadpoles with one regrown eye display similar white background preference as control tadpoles with one normal eye (n=10 per condition, p>0.5). Blind tadpoles do not show preference for the white background (n=10, * denotes p<0.01 when compared to other conditions).