Click here to close
Hello! We notice that you are using Internet Explorer, which is not supported by Xenbase and may cause the site to display incorrectly.
We suggest using a current version of Chrome,
FireFox, or Safari.
Fig 2
Expression of the regulators of Cdc2 activation during oogenesis. (A) Prophase oocytes at stage IV (750-800 μm), stage V (900-11,000 μm) and stage VI (â¥1200 μm) were incubated or not in the presence of progesterone and collected 18 hours afterwards. Oocyte extracts were western blotted with antibodies against the active phosphorylated form of MAPK (P-MAPK), Mos, MAPK, the Thr161-phosphorylated form of Cdc2 (P-Thr161-Cdc2), Plkk1 and Myt1.
Fig 4
Okadaic acid is unable to induce MPF auto-amplification in stage IV oocyte extracts. Stage IV and stage VI oocyte extracts were incubated in the presence (+) or in the absence (â) of 1 μM okadaic acid (OA) and an ATP-regenerating system for 3 hours. (B) Western blots revealed with antibodies against the active phosphorylated form of MAPK (P-MAPK), Cdc25 and the Tyr15-phosphorylated form of Cdc2 (P-Tyr-Cdc2).
Fig 5
Presence of Plk1 restores MPF auto-amplification induced by cyclins or okadaic acid in stage IV oocyte extracts. (A) Stage IV and stage VI oocyte extracts were incubated in the presence or in the absence of either His-cyclin B1 (B1) or GST-cyclin A (A) and ATP for 3 hours. They were western blotted with antibodies against Cdc25 and the Tyr15-phosphorylated form of Cdc2 (P-Tyr-Cdc2). (B) Stage IV and stage VI oocyte extracts were incubated for 3 hours in the presence of increasing amounts of human His-cyclin B1 and were then assayed for H1 kinase activity of Cdc2. (C) Stage IV oocytes were injected with human Plk1 mRNA. After overnight incubation, oocyte extracts were prepared and supplemented with 1 μM okadaic acid (OA) or His-cyclin B1 (B1) and ATP. Three hours later, extracts were western blotted with antibodies directed against Myc (indicating the presence of the Myc-tagged Plk protein), Cdc25 and the Tyr15-phosphorylated form of Cdc2 (P-Tyr-Cdc2).
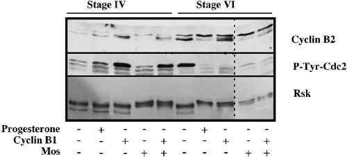
Fig 6
Stage IV and stage VI oocytes were stimulated by progesterone or injected with either GST-cyclin B or Xenopus Mos protein or both GST-cyclin B and Mos. Oocytes were collected and western blotted with antibodies against cyclin B2, the Tyr15-phosphorylated form of Cdc2 (P-Tyr-Cdc2) and Rsk.
Fig 7
n vivo rescue of MPF auto-amplification by Plk1 in stage IV oocytes. (A) Stage IV oocytes were injected or not with Plk1 mRNA. After overnight incubation, they were either incubated in the presence or not of progesterone, or injected with His-cyclin B1. Stage VI oocytes were used as control. Extracts were western blotted with antibodies against Cdc25, the Tyr15-phosphorylated form of Cdc2 (P-Tyr-Cdc2), Myc (indicating the presence of the Myc-tagged Plk protein), Myt1 and the active phosphorylated form of MAPK (P-MAPK). (B) Stage IV oocytes were injected or not with Plk1 mRNA. After overnight incubation, they were either incubated in the presence or not of progesterone (Pg), or injected with okadaic acid (OA). Extracts were western blotted with antibodies against Cdc25 and the Tyr15-phosphorylated form of Cdc2 (P-Tyr-Cdc2).