|
Figure 1. VgRBP71 Binds with High Affinity to the 3â² Half of the VLE
(A) The binding of VgRBP71 to fragments of the VLE was measured using mobility shift assays containing internally radiolabeled RNA (2 nM) and increasing amounts of VgRBP71 (0, 2.5, 5, 7.5, 10, 12.5, 15, and 25 nM). The diagrams at the left of each gel indicate the RNA being tested.
(B) The relative affinities of VgRBP71 for the two halves of the VLE were measured in competition assays. Radiolabeled VLE(229-376) (2 nM) was incubated with VgRBP71 (25 nM) and the indicated amount of unlabeled competitor RNA. The first lanes contain VLE(229-376) only. |
|
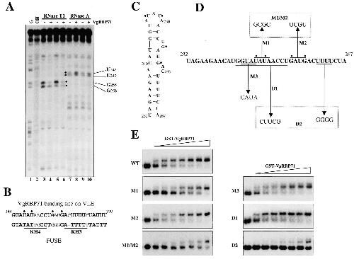
Figure 2. Identification of the Binding Site for VgRBP71
(A) VgRBP71 footprint. VLE(229-376) either in the presence (+) or absence (â) of VgRBP71 was digested with 1.4 à 10â4 (lanes 3 and 4) or 8.4 à 10â5 (lanes 5 and 6) units of RNase T1, or 0.1 (lanes 7 and 8) or 0.06 μg/ml (lanes 9 and 10) RNase A. Lane 1 is a T1 digestion under denaturing conditions, and lane 2 is an alkaline hydrolysate. Closed circles indicate the protected guanosines and hypersensitive uridines.
(B) Comparison of the sequence at the binding site for VgRBP71 in the VLE (top) and the sequence of FUSE (bottom). Closed circles indicate the protected guanosines and hypersensitive uridines in the VLE. Positions of sequence identity are in bold lettering. The sites in FUSE contacted by the KH3 and KH4 domains of human FBP (Braddock et al., 2002) are indicated.
(C) The predicted secondary structure at the binding site for VgRBP71. This structure was generated using mfold version 3.1 (Zuker et al., 1999) and is consistent with ribonuclease digestions under native conditions (our unpublished data).
(D) Summary of substitution and deletion mutants made at the VgRBP71 binding site.
(E) Mobility shift assays for binding of VgRBP71 to mutant RNAs. In each assay, 2 nM of internally labeled RNA was incubated with increasing concentrations (0, 2.5, 5, 7.5, 10, 12.5, 15, and 25 nM) of VgRBP71. |
|
Figure 3. Cleavage at a Polyadenylation Signal in the VLE Correlates with the Levels of VgRBP71 during Oogenesis
(A) The levels of Vg1 protein (5 oocyte equivalents per lane) and VgRBP71 (1 oocyte equivalent per lane) were measured at each stage of oogenesis by Western blot assays. The stage is indicated above each lane. âMâ denotes mature oocytes that were obtained by treating stage VI oocytes with progesterone.
(B) Overexpression of VgRBP71 in stage II oocytes results in translation of Vg1 mRNA. Stage II or stage IV oocytes (lanes 2 and 4) were injected with an expression plasmid encoding VgRBP71 carrying a myc epitope tag and then cultured for 4 days. Whole-cell extract was prepared from each set of oocytes and analyzed in Western blots using antibodies specific for Vg1 protein, the myc epitope, or TFIIIA (loading control). The oocyte equivalents of stage II are twice that of stage IV.
(C) Predicted secondary structure of the 3â² end of the VLE. The binding site for VgRBP71 is indicated by shading. A box encloses the AAUAAA polyadenylation element, and arrows mark the sites of cleavage detected in the in vitro assay. This structure was generated using mfold version 3.1.
(D) In vitro cleavage reactions. Capped, internally radiolabeled VLE(168-376) was incubated in extract prepared from staged oocytes for 90 min. The stage is indicated above each lane. The extract used in the cleavage assays was also used in a Western blot assay for VgRBP71 to demonstrate the correlation between the levels VgRBP71 and cleavage of Vg1 mRNA (lower panel).
(E) Nonspecific cleavage of RNA in extract. A 294 nt capped RNA transcribed from the vector sequence of pCS2 exhibits general degradation in extract prepared from stage VI oocytes. |
|
Figure 4. VgRBP71 Stimulates Cleavage of Vg1 mRNA in Oocyte Extract
(A) The effect of exogenous VgRBP71 on cleavage. Each reaction contained capped, internally radiolabeled VLE(168-376), and lanes 2â6 also contained extract from unstaged oocytes. Lane 1, no extract; lane 2, extract alone; lane 3, 500 ng anti-VgRBP71 antibody; lane 4, 200 ng VgRBP71 plus 500 ng anti-VgRBP71 antibody; lane 5, 200 ng VgRBP71; lane 6, 200 ng VgRBP71(δC). Reactions were initiated by the addition of the RNA substrate. The autoradiograph was scanned with a laser densitometer in order to quantitate the amounts of cleavage, which are presented as bar graphs above each lane.
(B) Cleavage in oocyte extract immunodepleted of VgRBP71. Lane 1, no extract; lane 2, mock-depleted extract; lane 3, VgRBP71-depleted extract; lane 4, depleted extract containing 200 ng VgRBP71; lane 5, depleted extract containing 200 ng VgRBP71(δC). Aliquots of the mock-depleted and immunodepleted extracts were used in a Western blot assay to verify that VgRBP71 had been removed from the latter (lower panel).
(C) Cleavage activity is located in the cytoplasm. Oocytes were manually dissected, and cleavage extract was prepared from germinal vesicles (GV) and cytoplasm. |
|
Figure 5. The Polyadenylation Signal in the VLE Is Used In Vivo
(A) Scheme of the 3â²UTR of Vg1 mRNA indicating the positions of the four AAUAAA polyadenylation signals (closed circles) and the target sites of the PCR primers.
(B) The products of the RT-PCR reaction were analyzed by electrophoresis. One oocyte equivalent of RNA generated two fragments approximately 130 bp in length (lane 2) that were isolated from the gel for sequencing. Control reactions omitting reverse transcriptase (lane 3) or using 100 ng of full-length Vg1 mRNA as template (lane 4) did not generate any comparably sized products.
(C) The DNA sequence of the 137 bp and 124 bp PCR fragments are compared with the sequence of pVLE3â²S, which carries nt 1669â1816 of the Vg1 mRNA 3â²UTR. The poly(A) track in the two PCR products causes smearing in all four sequencing reactions. |
|
Figure 6. VgRBP71 Has RNA Strand-Separation Activity
(A) The predicted secondary structure of the 3â² half of the VLE. The 16 nt oligoribonucleotide used in the unwinding assays base pairs with residues 255â270 of the VLE, indicated in black, that overlap the VgRBP71 binding site.
(B) The 16 nt oligoribonucleotide was radiolabeled with 32P and annealed to VLE(168-376) RNA. This duplex was incubated with 10, 50, 100, 200, or 500 nM VgRBP71, VgRBP71(δC), or single-stranded DNA binding protein (SSB). The products were analyzed by electrophoresis on a 15% nondenaturing polyacrylamide gel. Lane S is the duplex substrate, and lane D is substrate after heat denaturation. |
|
Figure 7. Cleavage of Vg1 mRNA Eliminates the VTE in the Late Stages of Oogenesis
(A) Total RNA was isolated from staged oocytes and used in RNase protection assays with internally radiolabeled probes that spanned either the VLE (top panel) or the VTE (bottom panel). Control reactions contained probe alone or 20 μg of tRNA. After digestion with ribonuclease, the samples were analyzed by electrophoresis.
(B) The autoradiographs were scanned with a laser densitometer to quantitate the amount of probe remaining in each sample. The ratios of the normalized intensity of the VTE to VLE fragments are presented for each stage of oogenesis and are the average of three experiments.
(C) Total RNA from control or stage II oocytes injected with an expression plasmid encoding myc-tagged VgRBP71 was analyzed in an RNase protection assay using the probe for the VTE (upper panel). Aliquots of the two RNA samples were analyzed on a separate gel, and the 28S rRNA was used to verify that the same amount of total RNA was used in the protection assays. A Western blot with anti-myc antibody confirmed expression of VgRBP71 in the injected oocytes (lower panel). |