XB-ART-55322
Elife
2018 Sep 26;7. doi: 10.7554/eLife.37881.
Show Gene links
Show Anatomy links
Par3 interacts with Prickle3 to generate apical PCP complexes in the vertebrate neural plate.
Chuykin I, Ossipova O, Sokol SY.
???displayArticle.abstract???
Vertebrate neural tube formation depends on the coordinated orientation of cells in the tissue known as planar cell polarity (PCP). In the Xenopus neural plate, PCP is marked by the enrichment of the conserved proteins Prickle3 and Vangl2 at anterior cell boundaries. Here we show that the apical determinant Par3 is also planar polarized in the neuroepithelium, suggesting a role for Par3 in PCP. Consistent with this hypothesis, interference with Par3 activity inhibited asymmetric distribution of PCP junctional complexes and caused neural tube defects. Importantly, Par3 physically associated with Prickle3 and promoted its apical localization, whereas overexpression of a Prickle3-binding Par3 fragment disrupted PCP in the neural plate. We also adapted proximity biotinylation assay for use in Xenopus embryos and show that Par3 functions by enhancing the formation of the anterior apical PCP complex. These findings describe a mechanistic link between the apical localization of PCP components and morphogenetic movements underlying neurulation.
???displayArticle.pubmedLink??? 30256191
???displayArticle.pmcLink??? PMC6175575
???displayArticle.link??? Elife
???displayArticle.grants??? [+]
GM122492 National Institutes of Health, NS100759 National Institutes of Health, R01 NS100759 NINDS NIH HHS , R35 GM122492 NIGMS NIH HHS , GM122492 NIH HHS , NS100759 NIH HHS
Species referenced: Xenopus laevis
Genes referenced: ctnnb1 dvl2 myc pard3 pkm prickle3 prkci prkcz tjp1 vangl2
GO keywords: neural tube formation [+]
???displayArticle.antibodies??? Ctnnb1 Ab7 Pard3 Ab1 Prkcz Ab1 Tjp1 Ab1 Tjp1 Ab2 Vangl2 Ab4
???displayArticle.morpholinos??? pard3 MO3 pard3 MO4 vangl2 MO4
???displayArticle.disOnts??? neural tube defect
???attribute.lit??? ???displayArticles.show???
|
|
Figure 1. Planar polarization of Par3 in the Xenopus neural plate. (AâC, E) Representative images show en face view of immunostained neural plate explants prepared from fixed Xenopus embryos at stages (st) 14â15. (A) Neural plate explant with the approximate position of the imaged area (BâE) (boxed). Dashed line indicates the neural midline (M). The anteroposterior (AP) and the mediolateral (ML) axes are shown. (B) Par3 is enriched at AP, horizontal, cell borders (arrows) as compared to ML, vertical, cell borders. (C) ZO1 is equally distributed to all junctions. (D, F) Fluorescence intensity (F.I.). Means ± s. d. represent three different experiments. At least 30 cells from three to four different embryos were analyzed per group. Significance was determined by the two-tailed Studentâs t-test, p<0.001. (EâEâ) Double staining with Par3 and ZO1-specific antibodies reveals planar polarization of Par3 but not ZO1 along the AP axis. (G, Gâ) Validation of the Par3 antibody. Cross-section of a neurula embryo, stage 15, unilaterally injected with Par3MOATG (20 ng, asterisk) and GFP-CAAX, membrane GFP (mGFP) RNA (100 pg) as lineage tracer. Arrow points to apical Par3 at the uninjected side, whereas the neural plate is flat on the injected side; n, notochord; s, somite, M, midline (dashed line). Control MO did not alter Par3 distribution (see Figure 2âfigure supplement 3). Scale bars are 20 µm. |
|
|
A requirement for Par3 in neural plate PCP and neural tube closure. (A–F), Eight-cell embryos were unilaterally injected into two animal blastomeres with control morpholino 1 (CO MO1), 20 ng, or Par3MOATG, 20 ng, as indicated, with GFP RNA, 0.1 ng, as a lineage tracer. Dorsal view is shown, and the anteroposterior (AP) axis of the neural plate and embryonic stage 15 (st 15) are indicated. (A–C) Par3 depletion results in neural tube defects. Arrow points to the open neural fold. (C) Frequencies of neural tube defects were scored by the lack of neural fold formation. Numbers of scored embryos per group are shown above each bar. (C’) Partial rescue of the defect with Par3 RNA, 0.2 ng, is shown. Data are from three different experiments. (D–F), Embryos were injected as described above. Neural plate cells mosaically depleted of Par3 (labeled by GFP) lack Vangl2 enrichment at the anterior border of each cell (asterisks) as compared to control GFP-negative cells (arrows). D', D'', F', F'' are single-channel images corresponding to D and F. CO MO1 injection had no effect on the anterior distribution of Vangl2. Scale bar, 20 µm. (E) Quantification of data from the experiments with Par3MOATG showing mean frequencies ± s. d. of cells with anterior Vangl2. At least 5–10 embryos were examined per each treatment. Numbers of scored cells are shown on top of each bar. Co, uninjected control. (G) Immunoblot analysis of Vangl2 in embryo extracts. Xenopus embryos were injected with the indicated MOs into animal pole blastomeres at the two-cell stage and collected at stage 13 for immunoblotting (IB) with Vangl2 antibodies. Asterisk marks a non-specific band indicating loading. Uni, uninjected. |
|
|
Figure 2âfigure supplement 1 Depletion of Par3 with Par3MO5âUTR causes neural tube closure defects. (A) Four-to eight-cell embryos were injected with Control MO2 (CO MO2) and Par3MO5âUTR into each of the animal blastomeres (10 ng per blastomere). Ectoderm explants (animal caps) were prepared from the injected embryos at midblastula stages. The explants were lysed at the equivalent of stage 14 for immunobloting with anti-Par3 and anti-β-catenin antibodies. The decrease in the intensity of two bands is observed in Par3MO5âUTR but not CO MO2 injected explants (arrowheads); β-catenin is a control for loading. Band intensity ratios of the highest molecular weight Par3 isoform to β-catenin are shown. This ratio is set to one in uninjected explants. (B) Eight-cell embryos were unilaterally injected into two animal blastomeres with CO MO2, 20 ng, or Par3MO5âUTR, 20 ng, as indicated. Dorsal view is shown, and the anteroposterior (AP) axis of the neural plate is indicated. (B, C) Par3 depletion results in neural tube defects. Arrow points to the open neural fold, asterisk indicates the injected side. (C) Frequencies of neural tube defects were scored by the lack of neural fold formation at the injected side. Numbers of scored embryos per group are shown above each bar. Data are representative of two experiments. |
|
|
Figure 2âfigure supplement 2 Par3MOATG inhibits apical accumulation of Vangl2 at the neural plate midline. Sagittal sections of stage 15/16 embryos were immunostained with anti-Vangl2 and anti-GFP antibody. The anteroposterior (AP) axis is indicated. Apical surface is at the top. (A, B) Vangl2 is enriched at the apical corners of cells at the neural midline in uninjected and CO MO1-injected embryos (arrows). (C, Câ) Basolateral localization of Vangl2 at the cell junctions of Par3MOATG-injected embryos (asterisks). (D) Quantification of apical Vangl2 staining in CO MO1 and Par3MOATG-injected tissue. Number of counted cells is shown above the bars. Error bars represent standard deviation. Significance was determined by the two-tailed Studentâs t-test, p<0.001 (asterisks). Scale bar, 20 mm. |
|
|
Figure 2âfigure supplement 3 Par3 depletion does not affect the localization of aPKC, b-catenin and ZO1 in gastrula ectoderm. Early embryos were injected with control morpholino (CO MO1) or Par3MOATG (20 ng each) and GFP RNA (100 pg) as a lineage tracer, cultured until stage 11 or stage 12, sectioned and stained for junctional, polarity markers and GFP as indicated. CO MO1 has no effect on (A) Par3 (arrow), (C) ZO1, (E) aPKC and (G) b-catenin. (B, D, F, H) Par3MOATG reduced levels of (B) Par3 (asterisks), but not (D) ZO1, (F) aPKC or (H) b-catenin. (AâH) merged images showing co-staining with GFP. Scale bar, 20 µm. Apicobasal (AâB) axis is indicated. Images are representative of 3 independent experiments, each containing 15â20 embryos per group. |
|
|
Figure 2âfigure supplement 4 Planar polarity of Par3 is lost in Vangl2-depleted cells in the neural plate. (A, B) En face view of immunostained neural plate explants from fixed Xenopus embryos at stages 15/16. The anteroposterior (AP) axis is shown. (A) Par3 is enriched at the anteroposterior cell borders in untreated cells. (B, Bâ) Polarization of Par3 at the anteroposterior cell borders is no longer detected in Vangl2 MO injected cells (asterisks). (C) Results are shown as means ± s. d., with each group containing ten embryos. At least 15 cells from two embryos were analyzed per group. F.I., Fluorescence intensity. The experiment was repeated two times. Scale bar, 20 µm. |
|
|
Figure 3 Par3 interacts with Pk3 in HEK293T cells and Xenopus embryos. (A–C) Physical interaction of Par3 and Pk3 in transfected HEK293T cells. Myc-Par3 is pulled down from cell lysates with FLAG-Pk3 (A) or FLAG-GFP(FG)-Pk3∆PET (B). FG-Pk3∆PET is pulled down with Myc-Par3 (C). (D, E) Interaction of Par3 and Pk3 in Xenopus embryos assessed by proximity biotinylation. (D) Experimental scheme. Biotin and RNAs encoding FLAG-Biotin Ligase (BL)-Pk3 or FLAG-BL-Vangl2, 0.5 ng each, with or without GFP-Par3 RNA, 0.1 ng, were injected into the animal region of four- to eight- cell embryos. Injected embryos were lysed at stages 12.5–13 for immunodetection of biotinylated proteins. (E) Exogenous (left) and endogenous (right) Par3 is biotinylated by BL-Pk3 but not BL-Vangl2. Three bands that correspond to endogenous Par3 isoforms (bracket) are pulled down and detected by anti-Par3 antibodies, however only the top band corresponds to exogenous GFP-Par3 (arrowheads). Protein levels are shown by immunoblotting with anti-Myc and anti-FLAG antibodies in (A–C) and anti-biotin, anti-Par3, anti-FLAG and anti-GFP antibodies |
|
|
Figure 4 The association of Par3 with the Pk3/Vangl2 complex and the identification of Pk3-interacting domains. (A) HEK293T cells were transfected with Par3, Pk3 or Pk3∆PET (Pk3∆P) and Vangl2 constructs as indicated. Sequential pulldowns of protein complexes containing Myc-Par3, FLAG-GFP(FG)-Pk3 or FG-Pk3∆P and HA-Vangl2 with Myc-Trap and anti-FLAG (M2) beads are shown. Note that Par3 binds Vangl2 only in the presence of Pk3 or Pk3∆P. Asterisks mark nonspecific bands. (B). Schematic showing the Par3 constructs used in these experiments and the summary of Par3 binding. (C) Co-immunoprecipitation of Myc-Par3 constructs with FG-Pk3∆P (see Figure 3 legend). (A sterisk indicates IgG heavy chain. (D) Pulldowns of FG-Pk3∆P or wild type FG-Pk3 with Myc-Par3 or Myc-Par3∆∆. Asterisk shows a nonspecific band. (E) Interaction of Par3 and Pk3 assessed by proximity biotinylation in Xenopus embryos. Exogenous Par3 but not Par3∆∆ is biotinylated by BL-Pk3. Black arrowheads point to biotinylated Par3 and BL-Pk3, and white arrowheads indicate the expected position of Par3∆∆. Asterisks indicate endogenous proteins detected by anti-biotin antibodies. Protein levels are shown by immunoblotting with anti-Myc, anti-HA, anti-GFP and anti-biotin antibodies as indicated. |
|
|
Figure 5 Pk3-interacting fragment of Par3 interferes with neural plate PCP. Two dorsal blastomeres of 16 cell embryos were injected with RNAs encoding GFP-Pk3 (100 pg), HA-Vangl2 (25 pg) and mCherry (70 pg) without (AâAâ) or with Par3[272-544] (0.5 ng) (BâBââ) or Par3[545-756] (0.5 ng) (CâCââ). Cells from embryos at stage 14 (St.14) with anteriorly polarized (arrows) and mislocalized (asterisks) GFP-Pk3 patches are shown. Anteroposterior (AP) axis of the neural plate is indicated. Scale bar, 20 µm. (D) Quantification of data in (AâC) shown as mean frequencies ± s. d. of polarized GFP-Pk3 patches in neuroepithelial cells. Total numbers of scored cells are shown above each bar; 5 to 25 cells were scored per embryo with five embryos taken for each experimental condition, statistical significance was determined by two-tailed Studentâs t-test, p<0.001. Data are representative of two experiments. (E) Protein expression levels were assessed in stage 14 embryos by immunoblotting with anti-Myc, anti-GFP and anti-HA antibodies. Control, embryos injected with HA-Vangl2 and GFP-Pk3 RNAs without Par3 constructs, Uninj., uninjected embryos. |
|
|
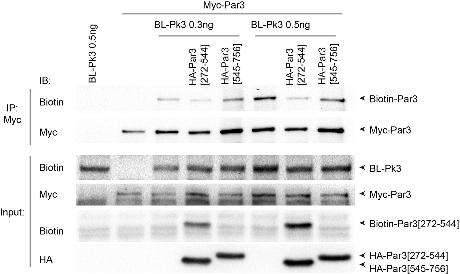
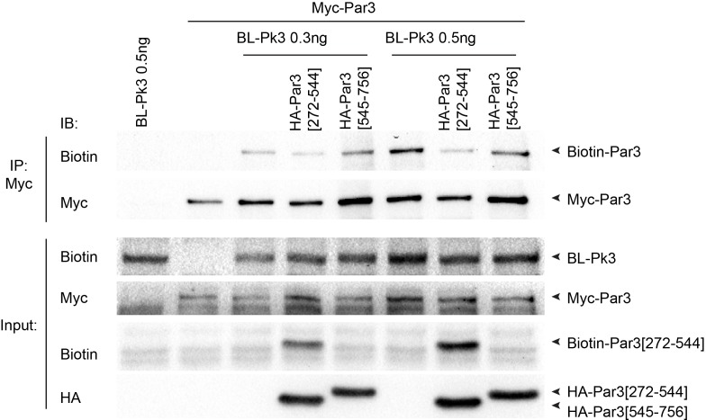
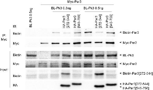
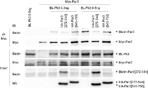
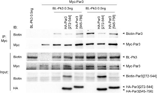
Figure 5—figure supplement 1 Interaction of Pk3 and Par3 in Xenopus embryos is inhibited by Pk3 binding fragment of Par3. Interaction of Par3 and Pk3 was assessed by proximity biotinylation. Biotin and RNAs encoding FLAG-BL-Pk3, with or without Myc-Par3 RNA, 0.1 ng, and HA-Par3[272-544] or HA-Par3[545-756] were injected into the animal region of four- to-eight-cell embryos. Injected embryos were lysed at stage 13 for immunodetection of biotinylated proteins. Levels of Par3 biotinylation were assessed in Myc pulldowns. Biotinylation of HA-Par3[272-544] and HA[545-756] constructs was compared in embryo lysates. Only HA-Par3[272-544] was biotinylated. Protein levels are shown by immunoblotting with anti-biotin, anti-Myc and anti-HA antibodies. |
|
|
Figure 5—figure supplement 2 Par3[272-544] construct does not affect Par3 localization. (A–C) Four animal blastomeres of 16 cell embryos were injected with Myc-Par3 RNA, 70 pg with or without 0.5 ng of HA-Par3[272-544] RNA. Injected embryos were cultured until stage 11, cryosectioned and immunostained for Myc (A, B). (A, B) Myc-Par3 with is enriched at the apical membrane. Scale bar, 10 µm. (C) Quantification of data in (A, C) shown as mean frequencies ± s. d. of superficial ectoderm cells with apically enriched Myc-Par3. Total numbers of scored cells are shown above each bar; 13 to 26 cells were scored per embryo with three embryos taken for each experimental condition, statistical difference determined by two-tailed Student’s t-test was not significant, p>0.05. Data are representative of two experiments. |
|
|
Figure 5âfigure supplement 3 The ability of Par3 to inhibit blastopore closure and body axis elongation is lost upon the disruption of Pk3 binding. Four-cell stage embryos were injected with Par3 constructs into the marginal zone of two dorsal blastomeres. (AâC) Vegetal views of stage 12 (St. 12) embryos injected with Par3ââ RNA (A, 0.5 ng), and wild type Par3 RNA (B, C, 0.5 ng). (D) Frequencies of mild (B) and severe (C) blastopore defects. (E) Representative images of stage 26 (St. 26) embryos injected with Par3 (0.5 ng) and Par3ââ (0.5 ng) RNAs. Par3-expressing embryos were shortened (top left) and often exhibited protruding endoderm due to incomplete blastopore closure (arrowhead). By contrast, Par3ââ-injected embryos were similar to uninjected embryos. (F) Average length of embryos ± s. d. is shown. (G) Comparison of Par3 protein levels in injected stage 12 embryos by immunoblotting with anti-Myc antibodies. Each sample has been pooled from five embryos. Each lane was loaded with lysate amount equivalent to half-embryo. |
|
|
Figure 6 Par3 recruits Pk3 to the apical side of the cell in vivo. Embryos were injected with GFP-Pk3 and Myc-Par3 RNAs (100 pg each), cryosectioned at stage 10.5 and immunostained with indicated antibodies (A) Scheme showing a relative position of imaged superficial ectoderm cells. Both endogenous Par3 (B), and exogenous Myc-Par3 (C, Eâ, Eââ) are apically localized. (Câ) Lack of Myc-Par3 staining with anti-GFP antibody. (D) Lack of apical enrichment of exogenous GFP-Pk3. (EâEââ) Myc-Par3 recruits GFP-Pk3 to the apical surface. (B, C, E) Apical enrichment is shown by arrowheads. The apical recruitment of Pk3 was observed in > 90% of cells coinjected with Pk3 and Par3. Each group contained five embryos. The same results were obtained in five independent experiments. Scale bar 10 µm. |
|
|
Figure 6—figure supplement 1 Par3 recruits Pk3 but not Dvl2 to the apical cell membrane. 8–16 cell Xenopus embryos were injected animally with 100 pg of the RNAs encoding GFP-Pk3 (Pk3), HA-RFP-Pk3, GFP-Dvl2, Myc-Par3 and Myc-Par1T560A as indicated, cultured until stage 10.5, cryosectioned and immunostained for GFP (A, B, E–G), HA (C, D) or Myc (H). Myc-Par3 recruits GFP-Pk3 (A, B), but not GFP-Dvl2 (E, F), to the apical membrane. (C, D) Myc-Par3 promotes the apical localization of HA-RFP-Pk3. (G) Myc-Par1T560A does not promote GFP-Pk3 apical localization. (H) Myc-Par1T560A is cortically localized. Scale bar, 10 µm. The apical recruitment of Pk3 was observed in the majority (>90%, n > 100) of cells co-expressing Pk3 and Par3, but not in cells expressing Pk3 alone. |
|
|
Figure 7 Par3 is required for the interaction of Pk3 and Vangl2 in vivo. (A, B) Decrease of Vangl2 biotinylation by BL-Pk3 (see Figure 3) in embryos injected with Par3MO or Par3N RNA. Embryos were coinjected into animal blastomeres with biotin and RNAs encoding BL-Pk3, 0.1 ng, and HA-Vangl2, 50 pg, GFP, 1 ng, GFP-Par3N, 1 ng (A), or MOs (CO MO2 or Par3MO5âUTR, 10 ng each, (B) as indicated. Biotinylated HA-Vangl2 was detected with anti-biotin antibodies in pulldowns with anti-HA antibodies. (A, B). Protein expression levels in stage 13 embryos were assessed by immunoblotting of lysates with anti-HA, anti-GFP and anti-biotin (for FLAG-BL-Pk3 protein) antibodies (A, B). (CâI) Par3N disrupts neuroepithelial PCP. (CâE) Two dorsal blastomeres of 16 cell embryos were injected with GFP-Pk3 RNA, 100 pg, HA-Vangl2 RNA, 25 pg, and Turbo FP635 (TFP) RNA, 0.1 ng, or RFP-Par3N RNA, 0.4 ng. Injected embryos were cultured until stage 14, fixed and the neural plate explants were imaged. (C) En face view of a neurula embryo. Polarized cells from the boxed area used for imaging are shown schematically on the right. Anterior PCP complexes are in green (arrows), the anterior-posterior (AP) axis is indicated. (DâEâ) Representative images. (D, Dâ) Anterior enrichment of Pk3/Vangl2 complexes (arrows) in a control embryo. (E, Eâ) Lack of PCP (asterisks) in a Par3N-expressing embryo. Scale bar, 20 µm. (F) Frequencies of neuroepithelial cells containing polarized Pk3 cortical patches. Means ± s. d. are shown for three independent experiments. Total numbers of scored cells are above each bar. Significance was determined by the two-tailed Studentâs t-test, p<0.001 (asterisks). (GâI) Neural tube defects in representative stage 17/18 embryos unilaterally injected with GFP RNA (3 ng, (G) or GFP-Par3N RNA (3 ng, (H). Asterisk indicates the injected side. Note the difference in the distance between the neural fold and the midline (white line) at the injected side as compared to the uninjected side. (I) Frequencies of neural tube defects shown in G, H. Numbers of embryos from two experiments are shown above each bar. (J) Working model: Par3 recruits Pk3 to the apical surface to promote the interaction of Pk3 and Vangl2 at the apical junctions that is necessary for planar polarization. |
|
|
Figure 7âfigure supplement 1 Par3N inhibits the apical localization of Par3. (AâC) Four animal blastomeres of 16 cell embryos were injected with 70 pg of Myc-Par3 RNA and 0.8 ng of GFP or GFP-Par3N RNAs. Injected embryos were cultured until stage 11, cryosectioned and immunostained for Myc (A, B). (A) Myc-Par3 co-expressed with GFP is enriched at the apical membrane. (B) This apical enrichment of Myc-Par3 is reduced by coinjection of GFP-Par3N RNA. Scale bar, 10 µm. (C) Data in (A, C) are shown as mean frequencies (±s. (d).) of superficial ectoderm cells with apically enriched Myc-Par3. Total numbers of scored cells are shown above each bar; 4 to 15 cells were scored per embryo with six embryos in each experimental group. Statistical significance was determined by two-tailed Studentâs t-test, p<0.01. Data are representative of two experiments. |
|
|
Figure 7âfigure supplement 2 Par3 depletion disrupts the polarization of Pk3-Vangl2 complexes in the neural plate. (A, B) Par3 depletion disrupts neuroepithelial PCP. Two dorsal blastomeres of 16 cell embryos were injected with GFP-Pk3 RNA, 100 pg, HA-Vangl2 RNA, 25 pg, and CO MO2 or Par3MO5âUTR, 10 ng each. Injected embryos were cultured until stage 14, fixed and imaged. (AâB) Representative images of the neural plates. (A) Anterior enrichment of Pk3/Vangl2 complexes (arrows) in a CO MO2 injected embryo. (B) Lack of PCP (asterisks) in a Par3MO5âUTR-injected embryo. Scale bar, 20 µm. (C) Frequencies of neuroepithelial cells containing polarized Pk3 cortical patches. 7 to 40 cells were scored per embryo with three embryos per each group. Means ± s. d. represent three independent experiments. Total numbers of scored cells are above each bar. Significance was determined by the two-tailed Studentâs t-test, p<0.01 (asterisks). |
|
|
Figure 2. A requirement for Par3 in neural plate PCP and neural tube closure.(AâF), Eight-cell embryos were unilaterally injected into two animal blastomeres with control morpholino 1 (CO MO1), 20 ng, or Par3MOATG, 20 ng, as indicated, with GFP RNA, 0.1 ng, as a lineage tracer. Dorsal view is shown, and the anteroposterior (AP) axis of the neural plate and embryonic stage 15 (st 15) are indicated. (AâC) Par3 depletion results in neural tube defects. Arrow points to the open neural fold. (C) Frequencies of neural tube defects were scored by the lack of neural fold formation. Numbers of scored embryos per group are shown above each bar. (Câ) Partial rescue of the defect with Par3 RNA, 0.2 ng, is shown. Data are from three different experiments. (DâF), Embryos were injected as described above. Neural plate cells mosaically depleted of Par3 (labeled by GFP) lack Vangl2 enrichment at the anterior border of each cell (asterisks) as compared to control GFP-negative cells (arrows). D', D'', F', F'' are single-channel images corresponding to D and F. CO MO1 injection had no effect on the anterior distribution of Vangl2. Scale bar, 20 µm. (E) Quantification of data from the experiments with Par3MOATG showing mean frequencies ± s. d. of cells with anterior Vangl2. At least 5â10 embryos were examined per each treatment. Numbers of scored cells are shown on top of each bar. Co, uninjected control. (G) Immunoblot analysis of Vangl2 in embryo extracts. Xenopus embryos were injected with the indicated MOs into animal pole blastomeres at the two-cell stage and collected at stage 13 for immunoblotting (IB) with Vangl2 antibodies. Asterisk marks a non-specific band indicating loading. Uni, uninjected.Figure 2âfigure supplement 1. Depletion of Par3 with Par3MO5âUTR causes neural tube closure defects.(A) Four-to eight-cell embryos were injected with Control MO2 (CO MO2) and Par3MO5âUTR into each of the animal blastomeres (10 ng per blastomere). Ectoderm explants (animal caps) were prepared from the injected embryos at midblastula stages. The explants were lysed at the equivalent of stage 14 for immunobloting with anti-Par3 and anti-β-catenin antibodies. The decrease in the intensity of two bands is observed in Par3MO5âUTR but not CO MO2 injected explants (arrowheads); β-catenin is a control for loading. Band intensity ratios of the highest molecular weight Par3 isoform to β-catenin are shown. This ratio is set to one in uninjected explants. (B) Eight-cell embryos were unilaterally injected into two animal blastomeres with CO MO2, 20 ng, or Par3MO5âUTR, 20 ng, as indicated. Dorsal view is shown, and the anteroposterior (AP) axis of the neural plate is indicated. (B, C) Par3 depletion results in neural tube defects. Arrow points to the open neural fold, asterisk indicates the injected side. (C) Frequencies of neural tube defects were scored by the lack of neural fold formation at the injected side. Numbers of scored embryos per group are shown above each bar. Data are representative of two experiments. |
|
|
Figure 2âfigure supplement 2. Par3MOATG inhibits apical accumulation of Vangl2 at the neural plate midline.Sagittal sections of stage 15/16 embryos were immunostained with anti-Vangl2 and anti-GFP antibody. The anteroposterior (AP) axis is indicated. Apical surface is at the top. (A, B)Â Vangl2 is enriched at the apical corners of cells at the neural midline in uninjected and CO MO1-injected embryos (arrows). (C, Câ) Basolateral localization of Vangl2 at the cell junctions of Par3MOATG-injected embryos (asterisks). (D) Quantification of apical Vangl2 staining in CO MO1 and Par3MOATG-injected tissue. Number of counted cells is shown above the bars. Error bars represent standard deviation. Significance was determined by the two-tailed Studentâs t-test, p<0.001 (asterisks). Scale bar, 20 mm. |
|
|
Figure 2âfigure supplement 3. Par3 depletion does not affect the localization of aPKC, b-catenin and ZO1 in gastrula ectoderm.Early embryos were injected with control morpholino (CO MO1) or Par3MOATG (20 ng each) and GFP RNA (100 pg) as a lineage tracer, cultured until stage 11 or stage 12, sectioned and stained for junctional, polarity markers and GFP as indicated. CO MO1 has no effect on (A) Par3 (arrow), (C) ZO1, (E) aPKC and (G) b-catenin. (B, D, F, H) Par3MOATG reduced levels of (B) Par3 (asterisks), but not (D) ZO1, (F) aPKC or (H) b-catenin. (AâH) merged images showing co-staining with GFP. Scale bar, 20 µm. Apicobasal (AâB) axis is indicated. Images are representative of 3 independent experiments, each containing 15â20 embryos per group. |
|
|
Figure 2âfigure supplement 4. Planar polarity of Par3 is lost in Vangl2-depleted cells in the neural plate.(A, B) En face view of immunostained neural plate explants from fixed Xenopus embryos at stages 15/16. The anteroposterior (AP) axis is shown. (A) Par3 is enriched at the anteroposterior cell borders in untreated cells. (B, Bâ) Polarization of Par3 at the anteroposterior cell borders is no longer detected in Vangl2 MO injected cells (asterisks). (C) Results are shown as means ± s. d., with each group containing ten embryos. At least 15 cells from two embryos were analyzed per group. F.I., Fluorescence intensity. The experiment was repeated two times. Scale bar, 20 µm. |
|
|
Figure 3. Par3 interacts with Pk3 in HEK293T cells and Xenopus embryos.(AâC) Physical interaction of Par3 and Pk3 in transfected HEK293T cells. Myc-Par3 is pulled down from cell lysates with FLAG-Pk3 (A) or FLAG-GFP(FG)-Pk3âPET (B). FG-Pk3âPET is pulled down with Myc-Par3 (C). (D, E) Interaction of Par3 and Pk3 in Xenopus embryos assessed by proximity biotinylation. (D) Experimental scheme. Biotin and RNAs encoding FLAG-Biotin Ligase (BL)-Pk3 or FLAG-BL-Vangl2, 0.5 ng each, with or without GFP-Par3 RNA, 0.1 ng, were injected into the animal region of four- to eight- cell embryos. Injected embryos were lysed at stages 12.5â13 for immunodetection of biotinylated proteins. (E) Exogenous (left) and endogenous (right) Par3 is biotinylated by BL-Pk3 but not BL-Vangl2. Three bands that correspond to endogenous Par3 isoforms (bracket) are pulled down and detected by anti-Par3 antibodies, however only the top band corresponds to exogenous GFP-Par3 (arrowheads). Protein levels are shown by immunoblotting with anti-Myc and anti-FLAG antibodies in (AâC) and anti-biotin, anti-Par3, anti-FLAG and anti-GFP antibodies in (E). |
|
|
Figure 4. The association of Par3 with the Pk3/Vangl2 complex and the identification of Pk3-interacting domains.(A) HEK293T cells were transfected with Par3, Pk3 or Pk3âPET (Pk3âP) and Vangl2 constructs as indicated. Sequential pulldowns of protein complexes containing Myc-Par3, FLAG-GFP(FG)-Pk3 or FG-Pk3âP and HA-Vangl2 with Myc-Trap and anti-FLAG (M2) beads are shown. Note that Par3 binds Vangl2 only in the presence of Pk3 or Pk3âP. Asterisks mark nonspecific bands. (B). Schematic showing the Par3 constructs used in these experiments and the summary of Par3 binding. (C) Co-immunoprecipitation of Myc-Par3 constructs with FG-Pk3âP (see Figure 3 legend). (A sterisk indicates IgG heavy chain. (D) Pulldowns of FG-Pk3âP or wild type FG-Pk3 with Myc-Par3 or Myc-Par3ââ. Asterisk shows a nonspecific band. (E) Interaction of Par3 and Pk3 assessed by proximity biotinylation in Xenopus embryos. Exogenous Par3 but not Par3ââ is biotinylated by BL-Pk3. Black arrowheads point to biotinylated Par3 and BL-Pk3, and white arrowheads indicate the expected position of Par3ââ. Asterisks indicate endogenous proteins detected by anti-biotin antibodies. Protein levels are shown by immunoblotting with anti-Myc, anti-HA, anti-GFP and anti-biotin antibodies as indicated. |
|
|
Figure 5. Pk3-interacting fragment of Par3 interferes with neural plate PCP.Two dorsal blastomeres of 16 cell embryos were injected with RNAs encoding GFP-Pk3 (100 pg), HA-Vangl2 (25 pg) and mCherry (70 pg) without (AâAâ) or with Par3[272-544] (0.5 ng) (BâBââ) or Par3[545-756] (0.5 ng) (CâCââ). Cells from embryos at stage 14 (St.14) with anteriorly polarized (arrows) and mislocalized (asterisks) GFP-Pk3 patches are shown. Anteroposterior (AP) axis of the neural plate is indicated. Scale bar, 20 µm. (D) Quantification of data in (AâC) shown as mean frequencies ± s. d. of polarized GFP-Pk3 patches in neuroepithelial cells. Total numbers of scored cells are shown above each bar; 5 to 25 cells were scored per embryo with five embryos taken for each experimental condition, statistical significance was determined by two-tailed Studentâs t-test, p<0.001. Data are representative of two experiments. (E) Protein expression levels were assessed in stage 14 embryos by immunoblotting with anti-Myc, anti-GFP and anti-HA antibodies. Control, embryos injected with HA-Vangl2 and GFP-Pk3 RNAs without Par3 constructs, Uninj., uninjected embryos.Figure 5âfigure supplement 1. Interaction of Pk3 and Par3 in Xenopus embryos is inhibited by Pk3 binding fragment of Par3.Interaction of Par3 and Pk3 was assessed by proximity biotinylation. Biotin and RNAs encoding FLAG-BL-Pk3, with or without Myc-Par3 RNA, 0.1 ng, and HA-Par3[272-544] or HA-Par3[545-756] were injected into the animal region of four- to-eight-cell embryos. Injected embryos were lysed at stage 13 for immunodetection of biotinylated proteins. Levels of Par3 biotinylation were assessed in Myc pulldowns. Biotinylation of HA-Par3[272-544] and HA[545-756] constructs was compared in embryo lysates. Only HA-Par3[272-544] was biotinylated. Protein levels are shown by immunoblotting with anti-biotin, anti-Myc and anti-HA antibodies. |
|
|
Figure 5âfigure supplement 2. Par3[272-544] construct does not affect Par3 localization.(AâC) Four animal blastomeres of 16 cell embryos were injected with Myc-Par3 RNA, 70 pg with or without 0.5 ng of HA-Par3[272-544] RNA. Injected embryos were cultured until stage 11, cryosectioned and immunostained for Myc (A, B). (A, B) Myc-Par3 with is enriched at the apical membrane. Scale bar, 10 µm. (C) Quantification of data in (A, C) shown as mean frequencies ± s. d. of superficial ectoderm cells with apically enriched Myc-Par3. Total numbers of scored cells are shown above each bar; 13 to 26 cells were scored per embryo with three embryos taken for each experimental condition, statistical difference determined by two-tailed Studentâs t-test was not significant, p>0.05. Data are representative of two experiments. |
|
|
Figure 5âfigure supplement 3. The ability of Par3 to inhibit blastopore closure and body axis elongation is lost upon the disruption of Pk3 binding.Four-cell stage embryos were injected with Par3 constructs into the marginal zone of two dorsal blastomeres. (AâC) Vegetal views of stage 12 (St. 12) embryos injected with Par3ââ RNA (A, 0.5 ng), and wild type Par3 RNA (B, C, 0.5 ng). (D) Frequencies of mild (B) and severe (C) blastopore defects. (E) Representative images of stage 26 (St. 26) embryos injected with Par3 (0.5 ng) and Par3ââ (0.5 ng) RNAs. Par3-expressing embryos were shortened (top left) and often exhibited protruding endoderm due to incomplete blastopore closure (arrowhead). By contrast, Par3ââ-injected embryos were similar to uninjected embryos. (F) Average length of embryos ± s. d. is shown. (G) Comparison of Par3 protein levels in injected stage 12 embryos by immunoblotting with anti-Myc antibodies. Each sample has been pooled from five embryos. Each lane was loaded with lysate amount equivalent to half-embryo. |
|
|
Figure 6. Par3 recruits Pk3 to the apical side of the cell in vivo.Embryos were injected with GFP-Pk3 and Myc-Par3 RNAs (100 pg each), cryosectioned at stage 10.5 and immunostained with indicated antibodies (A) Scheme showing a relative position of imaged superficial ectoderm cells. Both endogenous Par3 (B), and exogenous Myc-Par3 (C, Eâ, Eââ) are apically localized. (Câ) Lack of Myc-Par3 staining with anti-GFP antibody. (D) Lack of apical enrichment of exogenous GFP-Pk3. (EâEââ) Myc-Par3 recruits GFP-Pk3 to the apical surface. (B, C, E) Apical enrichment is shown by arrowheads. The apical recruitment of Pk3 was observed in > 90% of cells coinjected with Pk3 and Par3. Each group contained five embryos. The same results were obtained in five independent experiments. Scale bar 10 µm.Figure 6âfigure supplement 1. Par3 recruits Pk3 but not Dvl2 to the apical cell membrane.8â16 cell Xenopus embryos were injected animally with 100 pg of the RNAs encoding GFP-Pk3 (Pk3), HA-RFP-Pk3, GFP-Dvl2, Myc-Par3 and Myc-Par1T560A as indicated, cultured until stage 10.5, cryosectioned and immunostained for GFP (A, B, EâG), HA (C, D) or Myc (H). Myc-Par3 recruits GFP-Pk3 (A, B), but not GFP-Dvl2 (E, F), to the apical membrane. (C, D) Myc-Par3 promotes the apical localization of HA-RFP-Pk3. (G) Myc-Par1T560A does not promote GFP-Pk3 apical localization. (H) Myc-Par1T560A is cortically localized. Scale bar, 10 µm. The apical recruitment of Pk3 was observed in the majority (>90%, n > 100) of cells co-expressing Pk3 and Par3, but not in cells expressing Pk3 alone. |
|
|
Figure 7. Par3 is required for the interaction of Pk3 and Vangl2 in vivo.(A, B) Decrease of Vangl2 biotinylation by BL-Pk3 (see Figure 3) in embryos injected with Par3MO or Par3N RNA. Embryos were coinjected into animal blastomeres with biotin and RNAs encoding BL-Pk3, 0.1 ng, and HA-Vangl2, 50 pg, GFP, 1 ng, GFP-Par3N, 1 ng (A), or MOs (CO MO2 or Par3MO5âUTR, 10 ng each, (B) as indicated. Biotinylated HA-Vangl2 was detected with anti-biotin antibodies in pulldowns with anti-HA antibodies. (A, B). Protein expression levels in stage 13 embryos were assessed by immunoblotting of lysates with anti-HA, anti-GFP and anti-biotin (for FLAG-BL-Pk3 protein) antibodies (A, B). (CâI) Par3N disrupts neuroepithelial PCP. (CâE) Two dorsal blastomeres of 16 cell embryos were injected with GFP-Pk3 RNA, 100 pg, HA-Vangl2 RNA, 25 pg, and Turbo FP635 (TFP) RNA, 0.1 ng, or RFP-Par3N RNA, 0.4 ng. Injected embryos were cultured until stage 14, fixed and the neural plate explants were imaged. (C) En face view of a neurula embryo. Polarized cells from the boxed area used for imaging are shown schematically on the right. Anterior PCP complexes are in green (arrows), the anterior-posterior (AP) axis is indicated. (DâEâ) Representative images. (D, Dâ) Anterior enrichment of Pk3/Vangl2 complexes (arrows) in a control embryo. (E, Eâ) Lack of PCP (asterisks) in a Par3N-expressing embryo. Scale bar, 20 µm. (F) Frequencies of neuroepithelial cells containing polarized Pk3 cortical patches. Means ± s. d. are shown for three independent experiments. Total numbers of scored cells are above each bar. Significance was determined by the two-tailed Studentâs t-test, p<0.001 (asterisks). (GâI) Neural tube defects in representative stage 17/18 embryos unilaterally injected with GFP RNA (3 ng, (G) or GFP-Par3N RNA (3 ng, (H). Asterisk indicates the injected side. Note the difference in the distance between the neural fold and the midline (white line) at the injected side as compared to the uninjected side. (I) Frequencies of neural tube defects shown in G, H. Numbers of embryos from two experiments are shown above each bar. (J) Working model: Par3 recruits Pk3 to the apical surface to promote the interaction of Pk3 and Vangl2 at the apical junctions that is necessary for planar polarization.Figure 7âfigure supplement 1. Par3N inhibits the apical localization of Par3.(AâC) Four animal blastomeres of 16 cell embryos were injected with 70 pg of Myc-Par3 RNA and 0.8 ng of GFP or GFP-Par3N RNAs. Injected embryos were cultured until stage 11, cryosectioned and immunostained for Myc (A, B). (A) Myc-Par3 co-expressed with GFP is enriched at the apical membrane. (B) This apical enrichment of Myc-Par3 is reduced by coinjection of GFP-Par3N RNA. Scale bar, 10 µm. (C) Data in (A, C) are shown as mean frequencies (±s. (d).) of superficial ectoderm cells with apically enriched Myc-Par3. Total numbers of scored cells are shown above each bar; 4 to 15 cells were scored per embryo with six embryos in each experimental group. Statistical significance was determined by two-tailed Studentâs t-test, p<0.01. Data are representative of two experiments. |
|
|
Figure 7âfigure supplement 2. Par3 depletion disrupts the polarization of Pk3-Vangl2 complexes in the neural plate.(A, B) Par3 depletion disrupts neuroepithelial PCP. Two dorsal blastomeres of 16 cell embryos were injected with GFP-Pk3 RNA, 100 pg, HA-Vangl2 RNA, 25 pg, and CO MO2 or Par3MO5âUTR, 10 ng each. Injected embryos were cultured until stage 14, fixed and imaged. (AâB) Representative images of the neural plates. (A) Anterior enrichment of Pk3/Vangl2 complexes (arrows) in a CO MO2 injected embryo. (B) Lack of PCP (asterisks) in a Par3MO5âUTR-injected embryo. Scale bar, 20 µm. (C) Frequencies of neuroepithelial cells containing polarized Pk3 cortical patches. 7 to 40 cells were scored per embryo with three embryos per each group. Means ± s. d. represent three independent experiments. Total numbers of scored cells are above each bar. Significance was determined by the two-tailed Studentâs t-test, p<0.01 (asterisks). |
|
|
Figure 2—figure supplement 1. Depletion of Par3 with Par3MO5’UTR causes neural tube closure defects.(A) Four-to eight-cell embryos were injected with Control MO2 (CO MO2) and Par3MO5’UTR into each of the animal blastomeres (10 ng per blastomere). Ectoderm explants (animal caps) were prepared from the injected embryos at midblastula stages. The explants were lysed at the equivalent of stage 14 for immunobloting with anti-Par3 and anti-β-catenin antibodies. The decrease in the intensity of two bands is observed in Par3MO5’UTR but not CO MO2 injected explants (arrowheads); β-catenin is a control for loading. Band intensity ratios of the highest molecular weight Par3 isoform to β-catenin are shown. This ratio is set to one in uninjected explants. (B) Eight-cell embryos were unilaterally injected into two animal blastomeres with CO MO2, 20 ng, or Par3MO5’UTR, 20 ng, as indicated. Dorsal view is shown, and the anteroposterior (AP) axis of the neural plate is indicated. (B, C) Par3 depletion results in neural tube defects. Arrow points to the open neural fold, asterisk indicates the injected side. (C) Frequencies of neural tube defects were scored by the lack of neural fold formation at the injected side. Numbers of scored embryos per group are shown above each bar. Data are representative of two experiments. |
|
|
Figure 5—figure supplement 1. Interaction of Pk3 and Par3 in Xenopus embryos is inhibited by Pk3 binding fragment of Par3.Interaction of Par3 and Pk3 was assessed by proximity biotinylation. Biotin and RNAs encoding FLAG-BL-Pk3, with or without Myc-Par3 RNA, 0.1 ng, and HA-Par3[272-544] or HA-Par3[545-756] were injected into the animal region of four- to-eight-cell embryos. Injected embryos were lysed at stage 13 for immunodetection of biotinylated proteins. Levels of Par3 biotinylation were assessed in Myc pulldowns. Biotinylation of HA-Par3[272-544] and HA[545-756] constructs was compared in embryo lysates. Only HA-Par3[272-544] was biotinylated. Protein levels are shown by immunoblotting with anti-biotin, anti-Myc and anti-HA antibodies. |
|
|
Figure 6—figure supplement 1. Par3 recruits Pk3 but not Dvl2 to the apical cell membrane.8–16 cell Xenopus embryos were injected animally with 100 pg of the RNAs encoding GFP-Pk3 (Pk3), HA-RFP-Pk3, GFP-Dvl2, Myc-Par3 and Myc-Par1T560A as indicated, cultured until stage 10.5, cryosectioned and immunostained for GFP (A, B, E–G), HA (C, D) or Myc (H). Myc-Par3 recruits GFP-Pk3 (A, B), but not GFP-Dvl2 (E, F), to the apical membrane. (C, D) Myc-Par3 promotes the apical localization of HA-RFP-Pk3. (G) Myc-Par1T560A does not promote GFP-Pk3 apical localization. (H) Myc-Par1T560A is cortically localized. Scale bar, 10 µm. The apical recruitment of Pk3 was observed in the majority (>90%, n > 100) of cells co-expressing Pk3 and Par3, but not in cells expressing Pk3 alone. |
|
|
Figure 7—figure supplement 1. Par3N inhibits the apical localization of Par3.(A–C) Four animal blastomeres of 16 cell embryos were injected with 70 pg of Myc-Par3 RNA and 0.8 ng of GFP or GFP-Par3N RNAs. Injected embryos were cultured until stage 11, cryosectioned and immunostained for Myc (A, B). (A) Myc-Par3 co-expressed with GFP is enriched at the apical membrane. (B) This apical enrichment of Myc-Par3 is reduced by coinjection of GFP-Par3N RNA. Scale bar, 10 µm. (C) Data in (A, C) are shown as mean frequencies (±s. (d).) of superficial ectoderm cells with apically enriched Myc-Par3. Total numbers of scored cells are shown above each bar; 4 to 15 cells were scored per embryo with six embryos in each experimental group. Statistical significance was determined by two-tailed Student’s t-test, p<0.01. Data are representative of two experiments. |
References [+] :
Achilleos,
PAR-3 mediates the initial clustering and apical localization of junction and polarity proteins during C. elegans intestinal epithelial cell polarization.
2010, Pubmed
Achilleos, PAR-3 mediates the initial clustering and apical localization of junction and polarity proteins during C. elegans intestinal epithelial cell polarization. 2010, Pubmed
Adler, The frizzled/stan pathway and planar cell polarity in the Drosophila wing. 2012, Pubmed
Afonso, PAR3 acts as a molecular organizer to define the apical domain of chick neuroepithelial cells. 2006, Pubmed
Ahmed, The Par3 polarity protein is an exocyst receptor essential for mammary cell survival. 2017, Pubmed
Aigouy, The PCP pathway regulates Baz planar distribution in epithelial cells. 2016, Pubmed
Antic, Planar cell polarity enables posterior localization of nodal cilia and left-right axis determination during mouse and Xenopus embryogenesis. 2010, Pubmed , Xenbase
Axelrod, Unipolar membrane association of Dishevelled mediates Frizzled planar cell polarity signaling. 2001, Pubmed
Banerjee, Meru couples planar cell polarity with apical-basal polarity during asymmetric cell division. 2017, Pubmed
Bastock, Strabismus is asymmetrically localised and binds to Prickle and Dishevelled during Drosophila planar polarity patterning. 2003, Pubmed
Beati, The adherens junction-associated LIM domain protein Smallish regulates epithelial morphogenesis. 2018, Pubmed
Bellaïche, The planar cell polarity protein Strabismus promotes Pins anterior localization during asymmetric division of sensory organ precursor cells in Drosophila. 2004, Pubmed
Besson, Planar Cell Polarity Breaks the Symmetry of PAR Protein Distribution prior to Mitosis in Drosophila Sensory Organ Precursor Cells. 2015, Pubmed
Blankenship, Multicellular rosette formation links planar cell polarity to tissue morphogenesis. 2006, Pubmed
Bryant, A molecular network for de novo generation of the apical surface and lumen. 2010, Pubmed
Butler, Spatial and temporal analysis of PCP protein dynamics during neural tube closure. 2018, Pubmed , Xenbase
Chen, Rare Deleterious PARD3 Variants in the aPKC-Binding Region are Implicated in the Pathogenesis of Human Cranial Neural Tube Defects Via Disrupting Apical Tight Junction Formation. 2017, Pubmed
Chien, Mechanical strain determines the axis of planar polarity in ciliated epithelia. 2015, Pubmed , Xenbase
Choi, The involvement of lethal giant larvae and Wnt signaling in bottle cell formation in Xenopus embryos. 2009, Pubmed , Xenbase
Choi-Rhee, Promiscuous protein biotinylation by Escherichia coli biotin protein ligase. 2004, Pubmed
Chu, Wnt proteins can direct planar cell polarity in vertebrate ectoderm. 2016, Pubmed , Xenbase
Chu, Prickle3 synergizes with Wtip to regulate basal body organization and cilia growth. 2016, Pubmed , Xenbase
Ciruna, Planar cell polarity signalling couples cell division and morphogenesis during neurulation. 2006, Pubmed
Devenport, Planar polarization in embryonic epidermis orchestrates global asymmetric morphogenesis of hair follicles. 2008, Pubmed
Djiane, The apical determinants aPKC and dPatj regulate Frizzled-dependent planar cell polarity in the Drosophila eye. 2005, Pubmed
Dollar, Regulation of Lethal giant larvae by Dishevelled. 2005, Pubmed , Xenbase
Ebnet, The cell polarity protein ASIP/PAR-3 directly associates with junctional adhesion molecule (JAM). 2001, Pubmed
Feldman, A role for the centrosome and PAR-3 in the hand-off of MTOC function during epithelial polarization. 2012, Pubmed
Gloy, Frodo interacts with Dishevelled to transduce Wnt signals. 2002, Pubmed , Xenbase
Goldstein, The PAR proteins: fundamental players in animal cell polarization. 2007, Pubmed
Gray, Planar cell polarity: coordinating morphogenetic cell behaviors with embryonic polarity. 2011, Pubmed
Grego-Bessa, The tumor suppressor PTEN and the PDK1 kinase regulate formation of the columnar neural epithelium. 2016, Pubmed
Harris, aPKC controls microtubule organization to balance adherens junction symmetry and planar polarity during development. 2007, Pubmed
Hikita, PAR-3 controls endothelial planar polarity and vascular inflammation under laminar flow. 2018, Pubmed
Hirose, PAR3 is essential for cyst-mediated epicardial development by establishing apical cortical domains. 2006, Pubmed
Inaba, The polarity protein Baz forms a platform for the centrosome orientation during asymmetric stem cell division in the Drosophila male germline. 2015, Pubmed
Ishiuchi, Willin and Par3 cooperatively regulate epithelial apical constriction through aPKC-mediated ROCK phosphorylation. 2011, Pubmed
Itoh, Nuclear localization is required for Dishevelled function in Wnt/beta-catenin signaling. 2005, Pubmed , Xenbase
Jakobsen, Novel asymmetrically localizing components of human centrosomes identified by complementary proteomics methods. 2011, Pubmed
Jenny, Prickle and Strabismus form a functional complex to generate a correct axis during planar cell polarity signaling. 2003, Pubmed , Xenbase
Joberty, The cell-polarity protein Par6 links Par3 and atypical protein kinase C to Cdc42. 2000, Pubmed
Kim, An improved smaller biotin ligase for BioID proximity labeling. 2016, Pubmed
Kim, CLAMP/Spef1 regulates planar cell polarity signaling and asymmetric microtubule accumulation in the Xenopus ciliated epithelia. 2018, Pubmed , Xenbase
Kim, Rab11 regulates planar polarity and migratory behavior of multiciliated cells in Xenopus embryonic epidermis. 2012, Pubmed , Xenbase
Kohjima, PAR3beta, a novel homologue of the cell polarity protein PAR3, localizes to tight junctions. 2002, Pubmed
Krahn, Membrane targeting of Bazooka/PAR-3 is mediated by direct binding to phosphoinositide lipids. 2010, Pubmed
Lin, Coupling of apical-basal polarity and planar cell polarity to interpret the Wnt signaling gradient in feather development. 2018, Pubmed
Lin, A mammalian PAR-3-PAR-6 complex implicated in Cdc42/Rac1 and aPKC signalling and cell polarity. 2000, Pubmed
Mahaffey, Cofilin and Vangl2 cooperate in the initiation of planar cell polarity in the mouse embryo. 2013, Pubmed
McGill, Independent cadherin-catenin and Bazooka clusters interact to assemble adherens junctions. 2009, Pubmed
McGreevy, Shroom3 functions downstream of planar cell polarity to regulate myosin II distribution and cellular organization during neural tube closure. 2015, Pubmed
McNeill, Planar cell polarity: keeping hairs straight is not so simple. 2010, Pubmed
Minegishi, A Wnt5 Activity Asymmetry and Intercellular Signaling via PCP Proteins Polarize Node Cells for Left-Right Symmetry Breaking. 2017, Pubmed
Mizuno, Self-association of PAR-3-mediated by the conserved N-terminal domain contributes to the development of epithelial tight junctions. 2003, Pubmed
Moore, Par3 controls neural crest migration by promoting microtubule catastrophe during contact inhibition of locomotion. 2013, Pubmed , Xenbase
Nance, Elaborating polarity: PAR proteins and the cytoskeleton. 2011, Pubmed
Newport, A major developmental transition in early Xenopus embryos: I. characterization and timing of cellular changes at the midblastula stage. 1982, Pubmed , Xenbase
Nikolopoulou, Neural tube closure: cellular, molecular and biomechanical mechanisms. 2017, Pubmed
Nishimura, Planar cell polarity links axes of spatial dynamics in neural-tube closure. 2012, Pubmed
Ossipova, Role of Rab11 in planar cell polarity and apical constriction during vertebrate neural tube closure. 2014, Pubmed , Xenbase
Ossipova, PAR1 specifies ciliated cells in vertebrate ectoderm downstream of aPKC. 2007, Pubmed , Xenbase
Ossipova, Planar polarization of Vangl2 in the vertebrate neural plate is controlled by Wnt and Myosin II signaling. 2015, Pubmed , Xenbase
Ossipova, Vangl2 cooperates with Rab11 and Myosin V to regulate apical constriction during vertebrate gastrulation. 2015, Pubmed , Xenbase
Ossipova, PAR-1 phosphorylates Mind bomb to promote vertebrate neurogenesis. 2009, Pubmed , Xenbase
Ossipova, The involvement of PCP proteins in radial cell intercalations during Xenopus embryonic development. 2015, Pubmed , Xenbase
Peng, Asymmetric protein localization in planar cell polarity: mechanisms, puzzles, and challenges. 2012, Pubmed
Roux, A promiscuous biotin ligase fusion protein identifies proximal and interacting proteins in mammalian cells. 2012, Pubmed
Roux, BioID: A Screen for Protein-Protein Interactions. 2018, Pubmed
Ruch, Par3 integrates Tiam1 and phosphatidylinositol 3-kinase signaling to change apical membrane identity. 2017, Pubmed
Shahab, Bazooka/PAR3 is dispensable for polarity in Drosophila follicular epithelial cells. 2015, Pubmed
Shindo, PCP and septins compartmentalize cortical actomyosin to direct collective cell movement. 2014, Pubmed , Xenbase
Simões, Rho-kinase directs Bazooka/Par-3 planar polarity during Drosophila axis elongation. 2010, Pubmed
Sokol, A role for Wnts in morpho-genesis and tissue polarity. 2000, Pubmed
Sokol, Analysis of Dishevelled signalling pathways during Xenopus development. 1996, Pubmed , Xenbase
Sokol, Spatial and temporal aspects of Wnt signaling and planar cell polarity during vertebrate embryonic development. 2015, Pubmed , Xenbase
Suzuki, The PAR-aPKC system: lessons in polarity. 2006, Pubmed
Suzuki, Molecular mechanisms of cell shape changes that contribute to vertebrate neural tube closure. 2012, Pubmed
Sweede, Structural and membrane binding properties of the prickle PET domain. 2008, Pubmed
Takeichi, Dynamic contacts: rearranging adherens junctions to drive epithelial remodelling. 2014, Pubmed
Takekuni, Direct binding of cell polarity protein PAR-3 to cell-cell adhesion molecule nectin at neuroepithelial cells of developing mouse. 2003, Pubmed
Tawk, A mirror-symmetric cell division that orchestrates neuroepithelial morphogenesis. 2007, Pubmed
Wallingford, The continuing challenge of understanding, preventing, and treating neural tube defects. 2013, Pubmed
Wallingford, Convergent extension: the molecular control of polarized cell movement during embryonic development. 2002, Pubmed , Xenbase
Wallingford, Dishevelled controls cell polarity during Xenopus gastrulation. 2000, Pubmed , Xenbase
Wallingford, Planar cell polarity and the developmental control of cell behavior in vertebrate embryos. 2012, Pubmed
Wasserscheid, Isoform-specific interaction of Flamingo/Starry Night with excess Bazooka affects planar cell polarity in the Drosophila wing. 2007, Pubmed
Werner, Radial intercalation is regulated by the Par complex and the microtubule-stabilizing protein CLAMP/Spef1. 2014, Pubmed , Xenbase
Williams, Par3-mInsc and Gαi3 cooperate to promote oriented epidermal cell divisions through LGN. 2014, Pubmed
Wu, Subcellular localization of frizzled receptors, mediated by their cytoplasmic tails, regulates signaling pathway specificity. 2004, Pubmed
Ybot-Gonzalez, Convergent extension, planar-cell-polarity signalling and initiation of mouse neural tube closure. 2007, Pubmed
Zallen, Patterned gene expression directs bipolar planar polarity in Drosophila. 2004, Pubmed
