Click here to close
Hello! We notice that you are using Internet Explorer, which is not supported by Xenbase and may cause the site to display incorrectly.
We suggest using a current version of Chrome,
FireFox, or Safari.
???displayArticle.abstract???
The superfamily of basic-Helix-Loop-Helix (bHLH) transcription factors influence cell fate in all three embryonic germ layers, and the tissue-specific class II factors have received prominent attention for their potent ability to direct differentiation during development and in cellular reprogramming. The activity of many class II bHLH proteins driving differentiation, and the inhibitory class VI bHLH factor Hes1, is controlled by phosphorylation on multiple sites by Cyclin-dependent kinases (Cdks). As class II proteins are generally thought to be active through hetero-dimerisation with the ubiquitously expressed class I E proteins, regulation of class I transcription factors such as E47 may influence the activity of multiple tissue-specific bHLH proteins. Using differentiation of nerve and muscle in Xenopus frog embryos as a model system, we set out to explore whether with the ubiquitously expressed class I E protein E47 that hetero-dimerises with Class II bHLHs to control their activity, is also regulated by multi-site phosphorylation. We demonstrate that E47 can be readily phosphorylated by Cdks on multiple sites in vitro, while ectopically-expressed E47 exists in multiple phosphorylated forms in Xenopus embryos. Preventing multi-site phosphorylation using a phospho-mutant version of E47 enhances the neurogenic and myogenic activity of three different class II bHLH reprogramming factors, and also when E47 acts in hetero-dimerisation with endogenous proteins. Mechanistically, unlike phospho-regulation of class II bHLH factors, we find that preventing phosphorylation of E47 increases the amount of chromatin-bound E47 protein but without affecting its overall protein stability. Thus, multi-site phosphorylation is a conserved regulatory mechanism across the bHLH superfamily that can be manipulated to enhance cellular differentiation.
Fig. 1. E47 phospho-status is regulated in vivo.(A) Schematic representation of WT and 13T/S-A E47 constructs indicating the approximate location of the SP/TP sites mutated to AP. (B) Western blot with extracts of stage 11 embryos over-expressing 250 pg mRNA encoding WT or 13T/S-A E47, with or without λ-phosphatase treatment. (C) Phos-tag™ analysis of extracts from stage 11 embryos over-expressing WT or 13T/S-A E47. (D) In vitro kinase assay showing in vitro translated WT E47 protein after incubation with recombinant Cyclin/Cdks as labelled.
Fig. 2. Manipulation of E47 phospho-status enhances differentiation induced by WT bHLH reprogramming factors.Embryos were injected as indicated and assayed at stage 18 by ISH for the extent of ectopic neurogenesis or myogenesis induced by WT Ascl1 (A) [N = 54–78], WT Ngn2 (B) [N = 25–40], WT MyoD (C) [N = 39–40], or phospho-mutant 6S-A Ascl1 (D) [N = 21–38]. Constructs and scoring system are described in the methods section.
Fig. 3. E47 phospho-status influences endogenous neurogenesis in the neural plate.Embryos were injected with mRNA as indicated and assayed by ISH at stage 18 for N-tubulin (A) [N = 15–18] or xSox2 (B) [N = 19–20] with representative images shown in (C), injected side to the right; DV, dorso-ventral; RC, rostro-caudal. (D) qPCR data from stage 18 embryos injected with molar equivalents of mRNA encoding E protein monomers or tethered homo-dimers [N = 3].
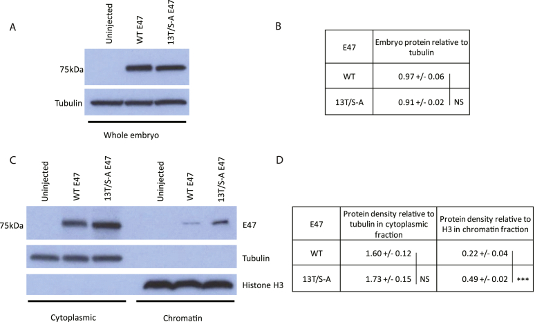
Fig. 4. Phospho-mutant E47 has enhanced chromatin association relative to WT E47.Embryos over-expressing WT and 13T/S-A E47 were analysed by western blot of whole embryo extracts at stage 11 (A) or cytoplasmic and chromatin fractions at stage 13 (C) with E47 protein density calculated relative to loading controls in (B) and (D) respectively. Significance determined using a paired two-tailed Student's t-test; NS = not significant; *** = p < 0.0125.
Ali,
Cell cycle-regulated multi-site phosphorylation of Neurogenin 2 coordinates cell cycling with differentiation during neurogenesis.
2011, Pubmed,
Xenbase
Ali,
Cell cycle-regulated multi-site phosphorylation of Neurogenin 2 coordinates cell cycling with differentiation during neurogenesis.
2011,
Pubmed
,
Xenbase Ali,
The phosphorylation status of Ascl1 is a key determinant of neuronal differentiation and maturation in vivo and in vitro.
2014,
Pubmed
,
Xenbase Azzarelli,
Multi-site Neurogenin3 Phosphorylation Controls Pancreatic Endocrine Differentiation.
2017,
Pubmed Chenna,
Multiple sequence alignment with the Clustal series of programs.
2003,
Pubmed Davis,
Expression of a single transfected cDNA converts fibroblasts to myoblasts.
1987,
Pubmed Ferreiro,
XASH genes promote neurogenesis in Xenopus embryos.
1994,
Pubmed
,
Xenbase Hardwick,
Multi-site phosphorylation regulates NeuroD4 activity during primary neurogenesis: a conserved mechanism amongst proneural proteins.
2015,
Pubmed
,
Xenbase Hardwick,
N-terminal phosphorylation of xHes1 controls inhibition of primary neurogenesis in Xenopus.
2019,
Pubmed
,
Xenbase Hardwick,
The N terminus of Ascl1 underlies differing proneural activity of mouse and Xenopus Ascl1 proteins.
2018,
Pubmed
,
Xenbase Hardwick,
MyoD phosphorylation on multiple C terminal sites regulates myogenic conversion activity.
2016,
Pubmed
,
Xenbase Hindley,
Post-translational modification of Ngn2 differentially affects transcription of distinct targets to regulate the balance between progenitor maintenance and differentiation.
2012,
Pubmed
,
Xenbase Horinouchi,
Using Phos-Tag in Western Blotting Analysis to Evaluate Protein Phosphorylation.
2016,
Pubmed Kiparaki,
bHLH proteins involved in Drosophila neurogenesis are mutually regulated at the level of stability.
2015,
Pubmed Lluís,
E47 phosphorylation by p38 MAPK promotes MyoD/E47 association and muscle-specific gene transcription.
2005,
Pubmed Massari,
Helix-loop-helix proteins: regulators of transcription in eucaryotic organisms.
2000,
Pubmed Mizuseki,
Xenopus Zic-related-1 and Sox-2, two factors induced by chordin, have distinct activities in the initiation of neural induction.
1998,
Pubmed
,
Xenbase Nie,
Notch-induced E2A ubiquitination and degradation are controlled by MAP kinase activities.
2003,
Pubmed Sloan,
Phosphorylation of E47 as a potential determinant of B-cell-specific activity.
1996,
Pubmed Sun,
An inhibitory domain of E12 transcription factor prevents DNA binding in E12 homodimers but not in E12 heterodimers.
1991,
Pubmed Vierbuchen,
Direct conversion of fibroblasts to functional neurons by defined factors.
2010,
Pubmed Wang,
E Proteins and ID Proteins: Helix-Loop-Helix Partners in Development and Disease.
2015,
Pubmed Weintraub,
Muscle-specific transcriptional activation by MyoD.
1991,
Pubmed Wylie,
Ascl1 phospho-status regulates neuronal differentiation in a Xenopus developmental model of neuroblastoma.
2015,
Pubmed
,
Xenbase