Click here to close Hello! We notice that you are using Internet Explorer, which is not supported by Xenbase and may cause the site to display incorrectly. We suggest using a current version of Chrome, FireFox, or Safari.
XB-ART-55845
PLoS One 2019 Jan 01;144:e0209056. doi: 10.1371/journal.pone.0209056.
Show Gene links Show Anatomy links

The voltage sensing phosphatase (VSP) localizes to the apical membrane of kidney tubule epithelial cells.

Ratzan W, Rayaprolu V, Killian SE, Bradley R, Kohout SC.


???displayArticle.abstract???
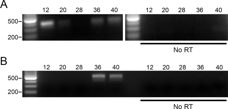
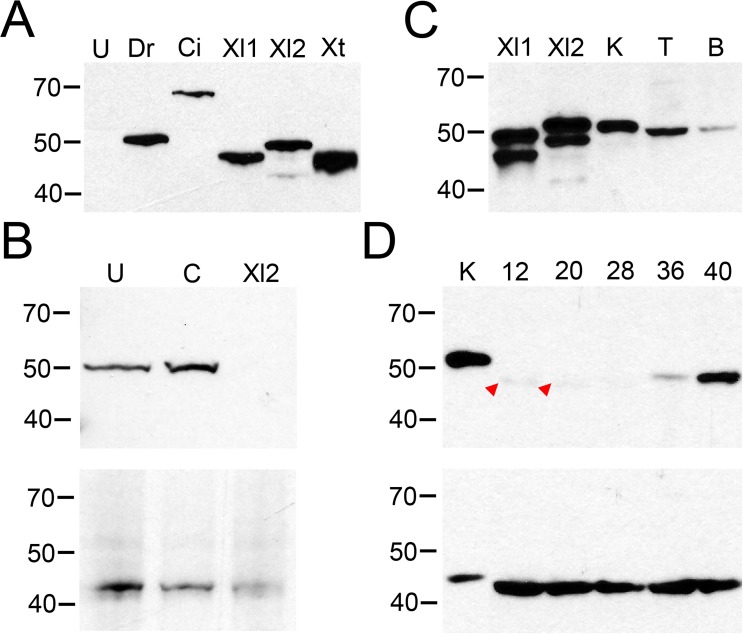
Voltage-sensing phosphatases (VSPs) are transmembrane proteins that couple changes in membrane potential to hydrolysis of inositol signaling lipids. VSPs catalyze the dephosphorylation of phosphatidylinositol phosphates (PIPs) that regulate diverse aspects of cell membrane physiology including cell division, growth and migration. VSPs are highly conserved among chordates, and their RNA transcripts have been detected in the adult and embryonic stages of frogs, fish, chickens, mice and humans. However, the subcellular localization and biological function of VSP remains unknown. Using reverse transcriptase-PCR (RT-PCR), we show that both Xenopus laevis VSPs (Xl-VSP1 and Xl-VSP2) mRNAs are expressed in early embryos, suggesting that both Xl-VSPs are involved in early tadpole development. To understand which embryonic tissues express Xl-VSP mRNA, we used in situ hybridization (ISH) and found Xl-VSP mRNA in both the brain and kidney of NF stage 32-36 embryos. By Western blot analysis with a VSP antibody, we show increasing levels of Xl-VSP protein in the developing embryo, and by immunohistochemistry (IHC), we demonstrate that Xl-VSP protein is specifically localized to the apical membrane of both embryonic and adult kidney tubules. We further characterized the catalytic activity of both Xl-VSP homologs and found that while Xl-VSP1 catalyzes 3- and 5-phosphate removal, Xl-VSP2 is a less efficient 3-phosphatase with different substrate specificity. Our results suggest that Xl-VSP1 and Xl-VSP2 serve different functional roles and that VSPs are an integral component of voltage-dependent PIP signaling pathways during vertebrate kidney tubule development and function.

???displayArticle.pubmedLink??? 30964862
???displayArticle.pmcLink??? PMC6456211
???displayArticle.link??? PLoS One
???displayArticle.grants??? [+]

Species referenced: Xenopus laevis
Genes referenced: cdh17 pax8
GO keywords: cell growth [+]


???attribute.lit??? ???displayArticles.show???
References [+] :
Balla, Phosphoinositides: tiny lipids with giant impact on cell regulation. 2013, Pubmed