Click here to close Hello! We notice that you are using Internet Explorer, which is not supported by Xenbase and may cause the site to display incorrectly. We suggest using a current version of Chrome, FireFox, or Safari.
XB-ART-55848
Dev Biol 2019 Feb 01;4461:68-79. doi: 10.1016/j.ydbio.2018.12.003.
Show Gene links Show Anatomy links

Six1 and Irx1 have reciprocal interactions during cranial placode and otic vesicle formation.

Sullivan CH, Majumdar HD, Neilson KM, Moody SA.


???displayArticle.abstract???
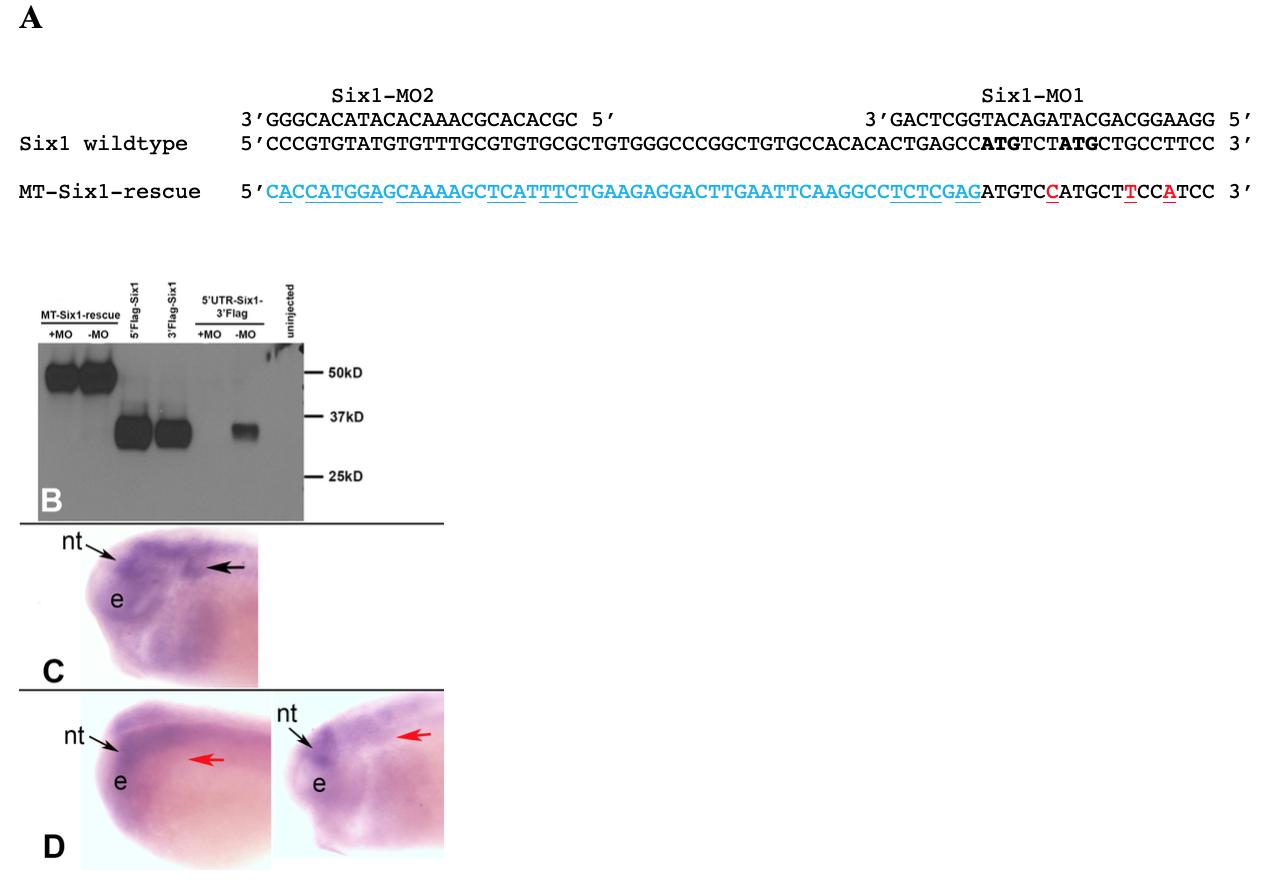
The specialized sensory organs of the vertebrate head are derived from thickened patches of cells in the ectoderm called cranial sensory placodes. The developmental program that generates these placodes and the genes that are expressed during the process have been studied extensively in a number of animals, yet very little is known about how these genes regulate one another. We previously found via a microarray screen that Six1, a known transcriptional regulator of cranial placode fate, up-regulates Irx1 in ectodermal explants. In this study, we investigated the transcriptional relationship between Six1 and Irx1 and found that they reciprocally regulate each other throughout cranial placode and otic vesicle formation. Although Irx1 expression precedes that of Six1 in the neural border zone, its continued and appropriately patterned expression in the pre-placodal region (PPR) and otic vesicle requires Six1. At early PPR stages, Six1 expands the Irx1 domain, but this activity subsides over time and changes to a predominantly repressive effect. Likewise, Irx1 initially expands Six1 expression in the PPR, but later represses it. We also found that Irx1 and Sox11, a known direct target of Six1, reciprocally affect each other. This work demonstrates that the interactions between Six1 and Irx1 are continuous during PPR and placode development and their transcriptional effects on one another change over developmental time.

???displayArticle.pubmedLink??? 30529252
???displayArticle.pmcLink??? PMC6349505
???displayArticle.link??? Dev Biol
???displayArticle.grants??? [+]

Species referenced: Xenopus laevis
Genes referenced: cdknx ctrl eya1 fgf8 foxd3 irx1 myc neurod1 pax2 pax3 six1 sox11 sox2 sox3 sox9 tfap2a tubb2b tubb4b zic1 zic2 znrd2
GO keywords: otic placode formation [+]
???displayArticle.morpholinos??? six1 MO1 six1 MO2 sox11 MO2 Sox11 MO3

Phenotypes: Xla Wt + irx1(Fig. 10 A col 1) [+]

???attribute.lit??? ???displayArticles.show???
References [+] :
Ahrens, Tissues and signals involved in the induction of placodal Six1 expression in Xenopus laevis. 2005, Pubmed, Xenbase