Click here to close Hello! We notice that you are using Internet Explorer, which is not supported by Xenbase and may cause the site to display incorrectly. We suggest using a current version of Chrome, FireFox, or Safari.
XB-ART-55873
J Cell Biol 2019 Jun 03;2186:2021-2034. doi: 10.1083/jcb.201901152.
Show Gene links Show Anatomy links

Peroxisome protein import recapitulated in Xenopus egg extracts.

Romano FB, Blok NB, Rapoport TA.


???displayArticle.abstract???
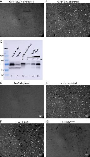
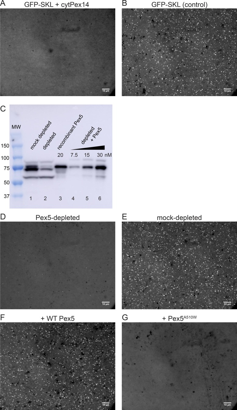
Peroxisomes import their luminal proteins from the cytosol. Most substrates contain a C-terminal Ser-Lys-Leu (SKL) sequence that is recognized by the receptor Pex5. Pex5 binds to peroxisomes via a docking complex containing Pex14, and recycles back into the cytosol following its mono-ubiquitination at a conserved Cys residue. The mechanism of peroxisome protein import remains incompletely understood. Here, we developed an in vitro import system based on Xenopus egg extracts. Import is dependent on the SKL motif in the substrate and on the presence of Pex5 and Pex14, and is sustained by ATP hydrolysis. A protein lacking an SKL sequence can be coimported, providing strong evidence for import of a folded protein. The conserved cysteine in Pex5 is not essential for import or to clear import sites for subsequent rounds of translocation. This new in vitro assay will be useful for further dissecting the mechanism of peroxisome protein import.

???displayArticle.pubmedLink??? 30971414
???displayArticle.pmcLink??? PMC6548129
???displayArticle.link??? J Cell Biol
???displayArticle.grants??? [+]

Species referenced: Xenopus laevis
Genes referenced: pex5


???attribute.lit??? ???displayArticles.show???
References [+] :
Agrawal, De novo peroxisome biogenesis: Evolving concepts and conundrums. 2016, Pubmed