Click here to close
Hello! We notice that you are using Internet Explorer, which is not supported by Xenbase and may cause the site to display incorrectly.
We suggest using a current version of Chrome,
FireFox, or Safari.
???displayArticle.abstract???
Bicaudal-C (Bicc1) is a conserved RNA-binding protein that represses the translation of selected mRNAs to control development. In Xenopus embryos, Bicc1 binds and represses specific maternal mRNAs to control anterior-posterior cell fates. However, it is not known how Bicc1 binds its RNA targets or how binding affects Bicc1-dependent embryogenesis. Focusing on the KH domains, we analyzed Bicc1 mutants for their ability to bind RNA substrates in vivo and in vitro Analyses of these Bicc1 mutants demonstrated that a single KH domain, KH2, was crucial for RNA binding in vivo and in vitro, while the KH1 and KH3 domains contributed minimally. The Bicc1 mutants were also assayed for their ability to repress translation, and results mirrored the RNA-binding data, with KH2 being the only domain essential for repression. Finally, maternal knockdown and rescue experiments indicated that the KH domains were essential for the regulation of embryogenesis by Bicc1. These data advance our understanding of how Bicc1 selects target mRNAs and provide the first direct evidence that the RNA binding functions of Bicc1 are essential for both Bicc1-dependent translational repression and maternal vertebrate development.
The Bicc1 KH domains are required for RNA binding. (A) Animal cell assay for in vivo Bicc1 binding. Animal cells of eight-cell Xenopus embryos were injected with mRNA encoding HA-tagged Bicc1. Some injected samples included luciferase reporter mRNAs. When embryos reached stage 9, Bicc1 was immunoprecipitated with an HA antibody and the associated RNA isolated for analysis (Park et al., 2016; Zhang et al., 2013). RNA samples were reverse transcribed and the cDNA used as template for q-PCR. (B) Diagram of Bicc1 protein showing the three KH domains (KH1, KH2 and KH3) with the wild-type GXXG motif (WT) and the GDDG substitutions (MT) created and analyzed. (C) The Bicc1 protein containing GDDG substitutions (KH1-2-3 GDDG) was expressed in Xenopus embryos and analyzed for binding to endogenous mRNAs (see Fig. 1A). The KH1-2-3 GDDG protein was defective for RNA binding in comparison with the Bicc1 wild-type protein. Data are mean±s.e.m. from three separate experiments. *Pt-test). (D) Immunoblot analysis with an anti-HA antibody was used to monitor the expression of the Bicc1 proteins expressed in embryos for RNA-binding assays.
The Bicc1 KH domains are required for translational repression. (A) Animal cell assay for Bicc1 translational repression. Animal cells of eight-cell Xenopus embryos were injected with luciferase reporter mRNAs. Some of the embryos were given a second injection of mRNA encoding full-length Xenopus Bicc1 (Zhang et al., 2013). When embryos reached stage 9-10, luciferase assays were performed. Repression, measured by the ratio of luciferase exhibited by a reporter mRNA with and without Bicc1 expression, was calculated and plotted. (B) Diagram of Cripto1 3â²UTR fragment incorporated into luciferase reporter mRNAs used to analyze translational repression. (C) The Bicc1 protein containing GDDG substitutions (KH1-2-3 GDDG) was defective for repressing the Luc-Cripto1 reporter mRNA, while the Bicc1 wild-type protein repressed the reporter efficiently. Data are mean± s.e.m. from three separate experiments. *Pt-test) wild type compared with no Bicc1 control.
The KH2 domain is a major determinant of Bicc1 RNA binding and translational repression. (A) Diagram of Bicc1 protein showing the three KH domains (KH1, KH2 and KH3) with the wild-type GXXG motif (WT) and the single and double GDDG substitutions created and analyzed. (B) The Bicc1 protein variants containing GDDG substitutions were expressed in Xenopus embryos and analyzed for binding to endogenous mRNAs (see Fig. 1A). The KH2 GDDG, KH1-2 GDDG, KH2-3 GDDG and KH1-2-3 GDDG proteins were defective for RNA binding in comparison with the Bicc1 wild-type protein. Data are mean±s.e.m. from three separate experiments. *PPt-test) when compared with Bicc1 wild-type protein binding to Cripto1 RNA. (C) Immunoblot analysis with an anti-HA antibody was used to monitor the expression of the different protein variants used in RNA-binding assays. (D) The Bicc1 protein variants containing GDDG substitutions were expressed in Xenopus embryos and analyzed for translational repression using the Luc-Cripto1 reporter mRNA (see Fig. S2). The KH2 GDDG, KH1-2 GDDG, KH2-3 GDDG and KH1-2-3 GDDG proteins were defective for translational repression in comparison with the Bicc1 wild-type protein. Data are mean±s.e.m. from three separate experiments. *Pt-test). â Pt-test).
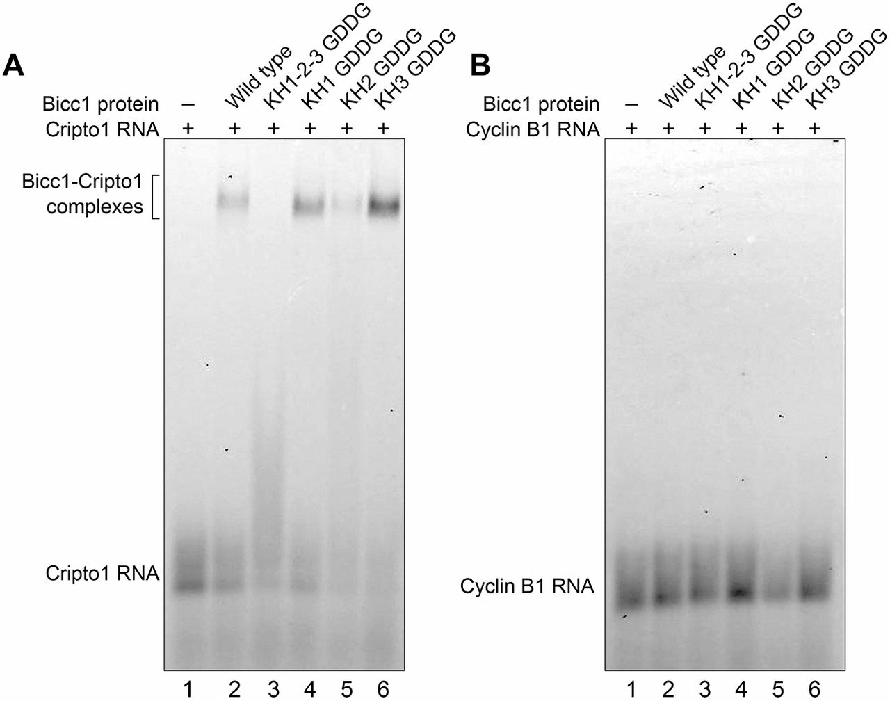
The Bicc1 KH2 domain is required for direct interaction with RNA targets. (A) Electromobility shift assays of Bicc1 wild-type and protein variants, and RNA substrate that is the Bicc1-binding site from the 3â²UTR of the Xenopus Cripto1 mRNA. Recombinant proteins consisting of the Bicc1 N terminus (amino acids 1-506) were expressed and purified from E.coli. Wild-type protein, along with KH1 GDDG, KH2 GDDG, KH3 GDDG and KH1-2-3 GDDG, were generated for analysis. Binding reactions consisting of the different proteins mixed with a fluorescently labeled 32 nucleotide RNA representing a well-characterized Bicc1-binding site derived from the 3â²UTR of the Xenopus Cripto1 mRNA were analyzed on native polyacrylamide gels electrophoresed horizontally (Dowdle et al., 2017). The KH2 GDDG and KH1-2-3 GDDG proteins were defective for complex formation compared with wild-type Bicc1 and other Bicc1 variants. (B) Electromobility shift assays of Bicc1 wild-type and protein variants, and an RNA substrate derived from the 3â²UTR of the Xenopus Cyclin B1 mRNA. The Cyclin B1 mRNA is not a Bicc1 target and represents a negative control for binding.
The entire N-terminal region of Bicc1 is required for RNA binding in vivo. (A) Diagram of the intact Bicc1 N-terminal region (KH1-2-3 amino acids 1-506) and the different derivatives that lack KHL2 (KH1-2-3 amino acids 1-348), lack KH1 (KH2-3 amino acids 128-506) or lack KH1 and KHL2 (KH2-3 amino acids 128-348). (B) The endogenous Xenopus maternal Cripto1 and GRG5 mRNAs were bound by the intact Bicc1 N terminus, but none of the derivatives lacking different regions bound to these mRNAs. None of the proteins bound to the Cyclin B1 mRNA, a negative control for this experiment as Cyclin B1 is not a Bicc1 target. Data are mean±s.e.m. from three separate experiments. (C) Immunoblot analysis with an anti-HA antibody was used to monitor the expression of the different protein variants used in RNA-binding assays.
The KH2 domain is not sufficient for RNA binding. (A) Electromobility shift assays of Bicc1 wild-type and protein variants. Recombinant proteins consisting of the Bicc1 wild-type N terminus (amino acids 1-506), the KH1-2-3 GDDG protein (amino acids 1-506), KH1-2 protein (amino acids 41-201) and KH2 protein (amino acids 126-201) were expressed and purified from E.coli. Binding reactions consisting of the different proteins mixed with a fluorescently labeled 32-nucleotide RNA representing a well-characterized Bicc1-binding site derived from the 3â²UTR of the Xenopus Cripto1 mRNA were analyzed on native polyacrylamide gels electrophoresed horizontally (Dowdle et al., 2017). (B) Electromobility shift assays of Bicc1 wild-type and protein variants with an RNA substrate derived from the 3â²UTR of the Xenopus Cyclin B1 mRNA. The Cyclin B1 mRNA is not a Bicc1 target and represents a negative control for binding.
The KH2 domain is an evolutionary conserved feature of Bicc1 proteins. Amino acid sequences from vertebrate and invertebrate Bicc1 proteins were analyzed with Clustal Omega. The regions surrounding the GXXG motif (red line) of each KH domain are shown. Residues identical to human Bicc1 are highlighted in green, while similar residues are highlighted in yellow. The comparison of full-length Bicc1 proteins is presented in Fig. S4.
The Bicc1 KH domains are required for the function of Bicc1 in embryonic patterning. (A) Validated Bicc1 antisense phosphorothioate oligonucleotide (oligo 9463) was injected into oocytes and the oocytes matured overnight. Matured oocytes were treated with vital dyes, transferred to an ovulating host female and the laid eggs from manipulated oocytes were fertilized. (B-D) Phenotypes of control and sibling experimental Xenopus embryos. Summary presented in G. (B) Control embryos (stage 22). (C) Stage 22 embryos depleted of maternal bicc1 mRNA. The maternal knockout embryos develop with expanded dorsal-anterior structures (DAI 7). (D) The defects from depleting embryos of bicc1 were rescued by wild-type bicc1 mRNA. Embryos depleted of maternal bicc1 mRNA were injected at the vegetal pole with wild-type HA-bicc1 mRNA (20â pg). (E) The defects from depleting embryos of bicc1 were not rescued by KH1-2-3 GDDG bicc1 mRNA. Embryos depleted of maternal bicc1 mRNA were injected at the vegetal pole with KH1-2-3 GDDG bicc1 mRNA (20â pg). (F) The wild-type and KH1-2-3 GDDG Bicc1 proteins were expressed at comparable levels. Proteins from maternal knockout embryos injected with the different mRNAs were analyzed by immunoblotting and probing with an HA antibody. (G) Summary of the phenotypes from control, antisense oligo-injected host-transfer embryos and antisense oligo-injected host-transfer embryos co-injected with either mRNA encoding wild-type HA-Bicc1 or mRNA encoding HA-Bicc1 KH1,2,3 GDDG. The (+) samples received an injection of HA-bicc1 mRNA or HA-bicc1 KH1,2,3 GDDG mRNA whereas the (â) samples did not.
Chao,
ZBP1 recognition of beta-actin zipcode induces RNA looping.
2010,
Pubmed
,
Xenbase Cheng,
A jack of all trades: the RNA-binding protein vigilin.
2017,
Pubmed Cooke,
Translational repression by deadenylases.
2010,
Pubmed
,
Xenbase Dominguez,
Sequence, Structure, and Context Preferences of Human RNA Binding Proteins.
2018,
Pubmed Dowdle,
Horizontal Gel Electrophoresis for Enhanced Detection of Protein-RNA Complexes.
2017,
Pubmed
,
Xenbase Du,
X-ray crystallographic and NMR studies of protein-protein and protein-nucleic acid interactions involving the KH domains from human poly(C)-binding protein-2.
2007,
Pubmed Farina,
Two ZBP1 KH domains facilitate beta-actin mRNA localization, granule formation, and cytoskeletal attachment.
2003,
Pubmed Fritz,
Regulation of the mRNAs encoding proteins of the BMP signaling pathway during the maternal stages of Xenopus development.
2001,
Pubmed
,
Xenbase Gamberi,
The Bic-C family of developmental translational regulators.
2012,
Pubmed Gerstberger,
A census of human RNA-binding proteins.
2014,
Pubmed Heasman,
Fertilization of cultured Xenopus oocytes and use in studies of maternally inherited molecules.
1991,
Pubmed
,
Xenbase Hentze,
A brave new world of RNA-binding proteins.
2018,
Pubmed Hollingworth,
KH domains with impaired nucleic acid binding as a tool for functional analysis.
2012,
Pubmed Kraus,
Two mutations in human BICC1 resulting in Wnt pathway hyperactivity associated with cystic renal dysplasia.
2012,
Pubmed Lemaire,
Bicaudal C1 promotes pancreatic NEUROG3+ endocrine progenitor differentiation and ductal morphogenesis.
2015,
Pubmed Mahone,
Localized Bicaudal-C RNA encodes a protein containing a KH domain, the RNA binding motif of FMR1.
1995,
Pubmed Maisonneuve,
Bicaudal C, a novel regulator of Dvl signaling abutting RNA-processing bodies, controls cilia orientation and leftward flow.
2009,
Pubmed
,
Xenbase Malakhov,
SUMO fusions and SUMO-specific protease for efficient expression and purification of proteins.
2004,
Pubmed Nakel,
Structural basis for the activation of the C. elegans noncanonical cytoplasmic poly(A)-polymerase GLD-2 by GLD-3.
2015,
Pubmed Nicastro,
Mechanism of β-actin mRNA Recognition by ZBP1.
2017,
Pubmed Nicastro,
KH-RNA interactions: back in the groove.
2015,
Pubmed Pagano,
Quantitative approaches to monitor protein-nucleic acid interactions using fluorescent probes.
2011,
Pubmed Park,
Palmitoylation controls the dynamics of budding-yeast heterochromatin via the telomere-binding protein Rif1.
2011,
Pubmed Park,
A gradient of maternal Bicaudal-C controls vertebrate embryogenesis via translational repression of mRNAs encoding cell fate regulators.
2016,
Pubmed
,
Xenbase Piazzon,
Bicc1 links the regulation of cAMP signaling in polycystic kidneys to microRNA-induced gene silencing.
2012,
Pubmed Saffman,
Premature translation of oskar in oocytes lacking the RNA-binding protein bicaudal-C.
1998,
Pubmed Sheets,
The 3'-untranslated regions of c-mos and cyclin mRNAs stimulate translation by regulating cytoplasmic polyadenylation.
1994,
Pubmed
,
Xenbase Teplova,
Protein-RNA and protein-protein recognition by dual KH1/2 domains of the neuronal splicing factor Nova-1.
2011,
Pubmed Valverde,
Structure and function of KH domains.
2008,
Pubmed Yaguchi,
bicaudal-C is required for the formation of anterior neurogenic ectoderm in the sea urchin embryo.
2014,
Pubmed Zhang,
Determinants of RNA binding and translational repression by the Bicaudal-C regulatory protein.
2014,
Pubmed
,
Xenbase Zhang,
Spatially restricted translation of the xCR1 mRNA in Xenopus embryos.
2009,
Pubmed
,
Xenbase Zhang,
Bicaudal-C spatially controls translation of vertebrate maternal mRNAs.
2013,
Pubmed
,
Xenbase Zheng,
Interaction between ribosome assembly factors Krr1 and Faf1 is essential for formation of small ribosomal subunit in yeast.
2014,
Pubmed