Click here to close
Hello! We notice that you are using Internet Explorer, which is not supported by Xenbase and may cause the site to display incorrectly.
We suggest using a current version of Chrome,
FireFox, or Safari.
???displayArticle.abstract???
Protocadherins are members of the cadherin superfamily of cell adhesion molecules proposed to play important roles in early development, but whose mechanisms of action are largely unknown. We examined the function of NF-protocadherin (NFPC), a novel cell adhesion molecule essential for the histogenesis of the embryonic ectoderm in Xenopus, and demonstrate that the cellular protein TAF1, previously identified as a histone-associated protein, binds the NFPC cytoplasmic domain. NFPC and TAF1 coprecipitate from embryo extracts when ectopically expressed, and TAF1 can rescue the ectodermal disruptions caused by a dominant-negative NFPC construct lacking the extracellular domain. Furthermore, disruptions in either NFPC or TAF1 expression, using NFPC- or TAF1-specific antisense morpholinos, result in essentially identical ectodermal defects. These results indicate a role for TAF1 in the differentiation of the embryonic ectoderm, as a cytosolic cofactor of NFPC.
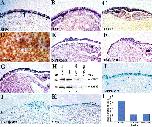
Figure 5. Xenopus TAF1β Is Expressed in the Embryonic Ectoderm and Is Required for Proper Ectodermal Differentiation(AâC) Stage 17 embryos stained by in situ hybridization for NFPC (A) or TAF1β (B and C) and viewed in cross-section. TAF1β is expressed in the neural plate (np), ventralectoderm (ec), and presomitic mesoderm (psm). Within the ventralectoderm, NFPC and TAF1β show similar expression patterns, with both highly expressed in the inner layer (arrows).(D) Stage 17 embryo immunostained with a TAF1 monoclonal antibody and viewed in whole-mount. TAF1 is expressed in both the nucleus and at the cell membrane.(EâH) Antisense NFPC and TAF1β morpholinos disrupt ectodermal differentiation. Embryos were coinjected with NFPCMO (E), TAF1βMO (F), or CMO (G), together with nLacZ RNA, fixed at stage 22, stained for β-galactosidase activity, and sectioned. Compared to CMO-injected embryos, embryos injected with NFPCMO or TAF1βMO exhibit similar ectodermal defects.(H) Immunoblot analysis of morpholino-injected embryos. Compared to uninjected (lane 1) or CMO-injected (lane 2) embryos, injection of TAF1βMO (lane 3) or NFPCMO (lane 4) significantly reduces the amount of TAF1β and NFPC protein present in the embryos, respectively.(IâL) TUNEL assay for apoptotic nuclei in the ectoderm. Embryos were injected as in (E)â(G), stained for β-galactosidase activity, and then subjected to whole-mount TUNEL assay, sectioned, and analyzed for apoptotic nuclei (dark blue nuclei, arrowheads). NFPCMO-injected (I) and TAF1βMO-injected (J) embryos exhibit fewer apoptotic nuclei in the ectoderm, as compared to CMO-injected embryos (K).(L) Results shown are the mean number of TUNEL-positive nuclei per section, averaged over 8â12 embryos per morpholino injection.The following abbreviations were used: nc, notochord; sm, somite.