XB-ART-56441
Sci Rep
2019 Oct 30;91:15645. doi: 10.1038/s41598-019-52218-1.
Show Gene links
Show Anatomy links
Lef1 regulates caveolin expression and caveolin dependent endocytosis, a process necessary for Wnt5a/Ror2 signaling during Xenopus gastrulation.
Puzik K, Tonnier V, Opper I, Eckert A, Zhou L, Kratzer MC, Noble FL, Nienhaus GU, Gradl D.
???displayArticle.abstract???
The activation of distinct branches of the Wnt signaling network is essential for regulating early vertebrate development. Activation of the canonical Wnt/β-catenin pathway stimulates expression of β-catenin-Lef/Tcf regulated Wnt target genes and a regulatory network giving rise to the formation of the Spemann organizer. Non-canonical pathways, by contrast, mainly regulate cell polarization and migration, in particular convergent extension movements of the trunk mesoderm during gastrulation. By transcriptome analyses, we found caveolin1, caveolin3 and cavin1 to be regulated by Lef1 in the involuting mesoderm of Xenopus embryos at gastrula stages. We show that caveolins and caveolin dependent endocytosis are necessary for proper gastrulation, most likely by interfering with Wnt5a/Ror2 signaling. Wnt5a regulates the subcellular localization of receptor complexes, including Ror2 homodimers, Ror2/Fzd7 and Ror2/dsh heterodimers in an endocytosis dependent manner. Live-cell imaging revealed endocytosis of Ror2/caveolin1 complexes. In Xenopus explants, in the presence of Wnt5a, these receptor clusters remain stable exclusively at the basolateral side, suggesting that endocytosis of non-canonical Wnt/receptor complexes preferentially takes place at the apical membrane. In support of this blocking endocytosis with inhibitors prevents the effects of Wnt5a. Thus, target genes of Lef1 interfere with Wnt5a/Ror2 signaling to coordinate gastrulation movements.
???displayArticle.pubmedLink??? 31666627
???displayArticle.pmcLink??? PMC6821757
???displayArticle.link??? Sci Rep
???displayArticle.grants??? [+]
GR1620 6/1 Deutsche Forschungsgemeinschaft (German Research Foundation), CRC 1324 Deutsche Forschungsgemeinschaft (German Research Foundation), STN Helmholtz Association
Species referenced: Xenopus laevis
Genes referenced: cav1 cav3 chrd cltc ctnnb1 fzd7 lef1 pbk pcdh8.2 ror2 wnt5a
GO keywords: gastrulation [+]
???displayArticle.morpholinos??? cav1 MO1 cav3 MO1 cavin1 MO1
???attribute.lit??? ???displayArticles.show???
|
|
Figure 1. Lef1 regulates Wnt5a clustering and the expression of caveolin family members. (a) Knock-down of Lef1 reduces the formation of Wnt5a clusters at the plasma membrane of DMZ cells. Both dorsal blastomeres of Xenopus 4-cell stage embryos were injected with 150âpg Wnt5aeGFP mRNA together with the membrane marker GAP43mCherry and 1 pmol of the Lef1 specific antisense morpholinos (LefMo) or 500âpg dominant negative Lef1 mRNA (LefâHMG). The arrows indicate some Wnt5a clusters located at the plasma membrane, arrowheads point to cytoplasmically located Wnt5a clusters. (b) Downregulation of Lef1 reduces the presence of Wnt5a clusters at the plasma membrane. Shown are the relative membrane localization according to Manders et al.53 and the p values according to Studentâs t-test. The images were processed using the Coloc 2 plugin in ImageJ which allows calculation of the Manders coefficient M253. This coefficient indicates colocalization of Wnt5aeGFP clusters and the red coloured membrane. (c) In transfected HEK293 cells, Lef1âHMG and wild-type Lef1 do not significantly regulate the non-canonical Wnt reporter ATF2Luc. (d) In Wnt5a stimulated cells (cotransfected with Wnt5aeGFP), Lef1âHMG represses ATF2Luc activity. Wild-type Lef1, instead, activates the ATF2Luc reporter. p values of at least nine independent transfections were determined according to Studentâs t-test. e) Real-time RT-PCR confirmed that the expression of cavin1, caveolin1 and caveolin3 are downregulated in Lef1 morphants and partially restored in morphants co-injected with 500âpg Lef1 mRNA. Shown are mean values and standard error of four biological replicates. |
|
|
Figure 2. The caveolar core components caveolin1, caveolin3 and cavin1 are necessary for convergent extension movements. Antisense morpholino oligonucleotides directed against caveolin1 (cav1Mo), caveolin3 (cav3Mo) and cavin1 (cavin1Mo) were injected in the marginal zone of both dorsal blastomeres of 4-cell stage embryos. Embryos were fixed at stage 14 and analyzed for localization of the axial mesodermal marker gene chordin. (a) In control embryos, chordin is expressed in a long and narrow strip along the dorsal midline. Depletion of caveolar proteins resulted in mislocalization of chordin expression. In severe cases, chordin expression remained at the dorsal part of the unclosed blastopore. The phenotype was classified as mild when the chordin expression was bent or short and broad. (b) Quantification of the phenotypes in the morphants resulting from the injection of 4 pmol cav1Mo, 4 pmol cav3Mo and 0.4 pmol cavin1Mo, respectively. (c) Caveolin1 and cavin1 patially restore chordin expression in cav1 morphants. 4 pmol cav1Mo were coinjected with 500âpg caveolin1 and cavin1 mRNA, respectively. (d) Epistasis experiments with Wnt5a morpholino (5aMo, 0.4 pmol), caveolin1 morpholino (cav1Mo, 0.25 pmol) and caveolin1 mRNA (500âpg) revealed additive effects of the morpholinos. Furthermore, caveolin1 mRNA partially restored gastrulation in Wnt5a morphants. P values according to a Ï2 test, n: number of embryos. (e) Realtime PCR of animal cap explants revealed that the expression of the Wnt5a target gene PAPC depends on caveolin1 expression. Shown are the mean values, standard errors and p values according to Studentâs t-test of four independent experiments. |
|
|
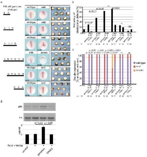
Figure 3. Endocytosis is necessary for convergent extension movements. Wild-type embryos were incubated from stage 9 to stage 14 in MBSH containing the indicated concentration of genistein (a) or chlorpromazine (b). (c) Quantification of the chordin expression revealed that genistein blocked convergent extension movements even at low doses (50âµM). At high doses (250âµM), almost all embryos showed the severe phenotype with chordin being expressed at the dorsal side of the open blastoporus, whereas 60% of the DMSO-treated siblings expressed chordin in a wild-type pattern. (d) Quantification of the chordin expression revealed that 50âµg/ml chlorpromazine induced a mild mislocalization of chordin expression in more than 60% of the embryos. Doubling of the dose to 100âµg/ml increased the frequency of chordin mislocalization to more than 70%. e) Simultaneous treatment with both inhibitors revealed additive effects. Quantification of chordin mislocalization revealed that both inhibitors together inhibit convergent extension movements even at doses when one inhibitor alone has only mild effects. n: number of embryos, p-values according to Ï2 test. n.s. not significant, |
|
|
Figure 4. Wnt5a induces redistribution of Ror2 homodimers and Ror2/dsh heterodimers. The subcellular localization of fluorophore tagged Ror2 homodimers (a) and Ror2/dsh heterodimers (b) was analyzed by a bimolecular fluorescence complementation assay (BiFC) in transiently transfected Xenopus tissue culture cells. The relative grey values show the intensity profiles at the positions marked by yellow bars. (c,d) The membrane/cytoplasm values were calculated in the following way: membrane/cytoplasmâ=â(intensity at the membrane â intensity outside)/(intensity inside â intensity outside). Shown are the mean values and standard errors of at least 399 profiles of more than 60 cells from at least ten independent experiments. Median and dispersion (25â75% range) are shown as box-and-whiskers plots in Supplementary Fig. 5b. (d) The effect of endocytosis inhibitors chlorpromazine and genistein on the subcellular distribution of Ror2/dsh heterodimers. Shown are the mean values and standard errors of at least 280 profiles of more than 40 cells in at least seven independent experiments. p values according to Studentâs t-test, n.s.: not significant. Median and dispersion are shown in Supplementary Fig. 5c. |
|
|
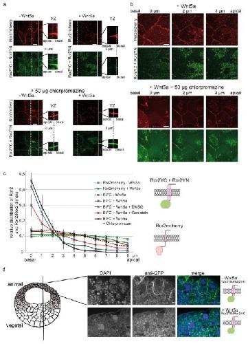
Figure 5. Wnt5a induces disappearance of Ror2/Ror2 dimers at the apical membrane. (a) Animal cap explants were analyzed for the localization of total Ror2 (Ror2mCherry, red channel) and Ror2 homodimers (splitYFP signal, green channel) in the absence (âWnt5a) and presence (+Wnt5a) of co-injected Wnt5a and in the presence of 50âµg chlorpromazine. Ten optical sections of 1âµm thickness allowed us to visualize localization of the signals in the z-dimension. The white bar in the close-ups of the yz-plane marks the z-coordinate shown in the xy-images. (b) xy-planes at three different z-values illustrate the exclusively basal and basolateral localization of Ror2/Ror2 dimers in Wnt5a co-injected explants. (c) To quantify the z-distribution of the fluorescence signals, at least 11 explants (each with 4 to 6 different cells) derived from 3 independent experiments were analyzed. Individual fluorescence spots were selected in the maximum intensity projections, and the images were analyzed section by section for visibility of these spots. Shown is the fraction of fluorescence spots found in the xy-images as a function of the z-coordinate from basal (0âµm) to apical (9âµm). These data were calculated for each cell by dividing the number of fluorescence spots of a particular xy-plane by the number of spots in all planes. Shown are mean values and standard deviations from at least 11 explants. It is apparent that the BiFC signal (Ror2 homodimers) gets shifted to the basal side in the presence of Wnt5a; chlorpromazine and genistein revert this effect. (d) Paraffine sections of early gastrula stages revealed that Ror2 homodimers are located at the entire lateral site of animal cap cells in the absence of Wnt5a. In the presence of Wnt5a, however, the dimers are found exclusively at the basal side. |
|
|
Figure 6. Caveolin regulates internalization of Wnt5a/Ror2 clusters. (a) Colocalization of Ror2mCherry/Wnt5aeGFP clusters in animal cap explants of caveolin1 and caveolin3 morphants and caveolin1 and caveolin3 overexpressing embryos. (b,c) Quantification of the clusters. More than 80% of the clusters are located at the plasma membrane. Overexpression of caveolin1 slightly increases the frequency of membrane localization. (c) Average number of intracellular clusters per cell. p values according to Students t-test. (d) The BiFC signal of Ror2/dsh dimers partially colocalizes with the red fluorescence of caveolin1mGarnet in transfected XTC-cells, both, at the plasma membrane and in the cytoplasm (arrowheads in the close-ups). (e) Single particle tracking using widefield fluorescence microscopy indicates that cav1eGFP (blue trajectory) and Ror2mcherry (red trajectory) co-migrate in the cytoplasm (arrowheads) and leave the membrane together and continue co-migrating in the cytoplasm (arrows). |
|
|
Figure 7. The Lef1 targets of the caveolin family are required for Wnt5a induced receptor complex internalization. (a) Lef1 regulates the expression of the caveolar core components caveolin1, caveolin3 and cavin1. (b) Wnt5a induces rapid clustering of non-canonical receptor complexes and subsequently their internalization via clathrin and caveolin dependend mechanisms, (c) Apical internalization of receptor clusters results in a symmetry break of polarized cells with membrane bound receptor clusters at the basal membrane. |
|
|
S1. a) Both dorsal blastomeres of Xenopus 4-cell stage embryos were injected with either 4 pmol of the control morpholino (control) or the xLef1 specific morpholino (LefMO). DMZ cells were explanted at the onset of gastrulation and mRNA was isolated when siblings reached late gastrulation (stage 12). Purified mRNA probes (RIN>8) where analyzed on an ATLAS Microarray. The TOP-100 of the differentially regulated genes include the caveolar core components caveolin1 (cav1), caveolin3 (cav3), and cavin1. The total list of the TOP-100 target genes is found in Supplementary Table 1. b) Expression of the caveolar core components during early Xenopus development revealed that cavin1 and caveolin1 (cav1) are co-expressed in the notochord from early tailbud stage on. Caveolin3 (cav3), instead, is expressed in a salt and pepper pattern in multiciliated cells of the epidermis. At gastrula stages, no local accumulation of the caveolin3 mRNA was detectable. c) Lef1 (LefMO) were injected into one blastomere of Xenopus two- cell stage embryos. The asterisks mark the injected site. In situ hybridization revealed that 10 out of 29 of the Lef1 morphants embryos displayed markedly reduced expression of caveolin3 in multiciliated cells of the skin. In Lef1 morphant embryos co-injected with XLef1 mRNA (500 pg) only 2 out of 20 embryos showed reduced cav3 expression. |
|
|
S2. Caveolin1, caveolin3 and cavin1 are necessary for convergent extension movements. a) Sequences of caveolin1 (cav1), caveolin3 (cav3) and cavin1 morpholinos and their target mRNAs. The AUG start codon is indicated in bold. b) Dose response curve of the phenotypes to increasing amounts of the caveolin3, caveolin1 and cavin1 specific antisense morpholinos indicates that the severity of chordin mislocalization increases with the morpholino dose. c) Cavin1 and caveolin1 patially restore chordin expression in cavin1 morphants. 1 pmol cavin1MO was co-injected with 500 pg cavin1 and caveolin1 mRNA, respectively. p values according to chi-square test. d) In transfected HEK293 cells, caveolin1 and caveolin3 significantly activate the non-canonical Wnt reporter ATF2Luc. e) However, in Wnt5a stimulated cells (co-transfected with Wnt5aeGFP), caveolin1 and caveolin3 have no effect. p values of at least nine independent transfections were determined according to Student's t-test. f) Lef1 specific morpholinos were injected into the dorsal marginal zone of 4- cell stage embryos and co-injected with caveolin1 mRNA and a cocktail of caveolin1, caveolin3 and cavin1 mRNA (50 pg each) and analyzed at stage 14 for the localization of the axial mesodermal marker gene chordin. n.s. not significant according to chi-square test. |
|
|
S3. Endocytosis is necessary for convergent extension movements. a) To determine the time-window where caveolin-dependent endocytosis is relevant for gastrulation, we incubated the embryos with 150 microM genistein for different periods from late blastula (stage 9) until early neurula (stage 14) and analyzed the localization of chordin expression and the defects in blastopore closure. Quantification of blastopore defects (b) and chordin localization (c) revealed that the longer the inhibitor is present, the more severe are the gastrulation defects. Significant effects were only observed when the inhibitor was added at stage 9. p- values according to chi-square test., n: number of embryos. d) RT-PCR revealed that the caveolae-specific endocytosis inhibitor genistein activates the expression of the Wnt5a target gene pbk in transfected XTC cells. Shown are mean values and SEM from three independent experiments. p-values according to Student's t-test. |
|
|
S4. a) Drift corrected snapshots of Supplementary Movie 1. Scale bar, 5 microm. b) The yellow region of interest (ROI) of frame 120s was analyzed using Fiji software. A segmented line with a width of 2 pixels was drawn along the membrane, and the intensity profile was fitted with a superposition of 5 Gaussian functions representing the 5 intensity peaks indicated by numbers in the ROI. The fitted widths (full widths at half maximum, FWHM) are shown in the table on the right. |
|
|
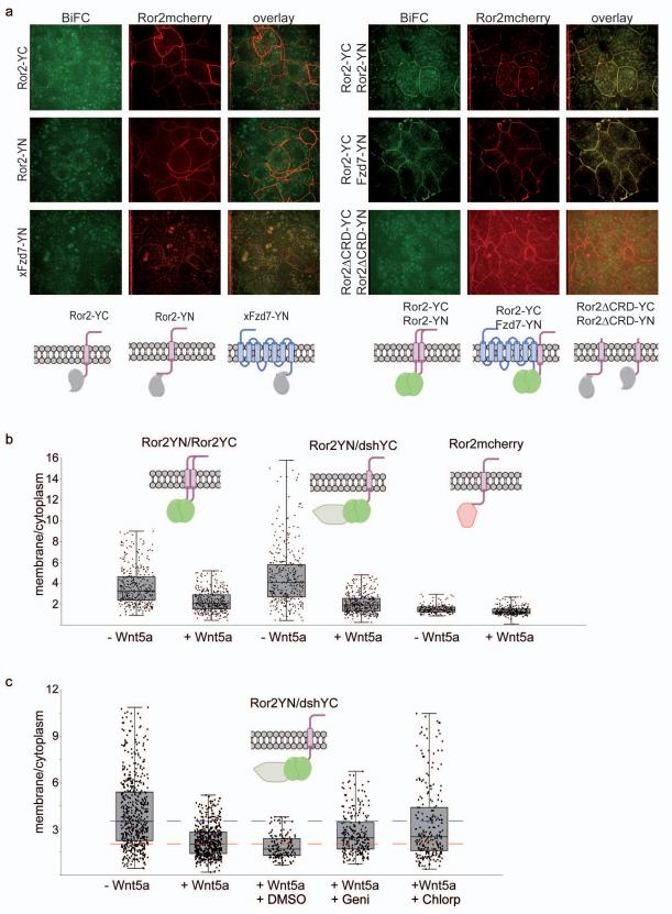
S5. BiFC assay. a) Bimolecular fluorescence complementation (BiFC) assay on animal cap explants revealed that Ror2 forms homodimers and heterodimerizes with Fzd7. The N-terminus and C-terminus of YFP (YN and YC) fused to Ror2 or Fzd7 do not form a fluorescent protein. However, co-injection of YN and YC -tagged receptor molecules resulted in the constitution of a fluorescent protein located in the membrane, indicating that the receptor molecules form dimers. Homodimerization of Ror2 depends on the extracellular CRD region because the splitYFP constructs fused to deletion mutant Ror2 CRD fail to reconstitute a fluorescent protein. b) Median and dispersion (25-75% range) are shown as box-and-whiskers plots to illustrate the membrane localization of total Ror2 as well as Ror2/Ror2 and Ror2/dsh dimers in the absence and presence of Wnt5a. While receptor dimers are less prominently found at the membrane in the presence of Wnt5a, the localization of total Ror2 remains almost unchanged. c) Box-and-whiskers plots show that the effects of Wnt5a is partially reverted in the presence of endocytosis inhibitors. The blue dashed line indicates the median of Ror2/dsh in the absence of Wnt5a, the red dashed line in the presence of Wnt5a. |
|
|
S6. Wnt5a induces disappearance of Fzd7/Ror2 dimers at the apical membrane. a) Animal cap explants were analyzed for localization of total Ror2 (Ror2mCherry, red channel), Ror2 homodimers (splitYFP signal, green channel) and Fzd7/Ror2 dimers (splitYFP signal, green channel) in the absence (-Wnt5a) and presence (+Wnt5a) of co-injected Wnt5a and in the presence of 50 microM genistein. Ten optical sections of 1 microm thickness allowed us to visualize localization of the signals in the z- dimension. The white bar in the close-ups of the yz-plane marks the z-coordinate shown in the xy-images. b) Selected xy-planes at three different z-values illustrate the exclusively basal and baso-lateral localization of Fzd7/ Ror2 dimers in Wnt5a co-injected explants. c) Quantification of the z-distribution of the fluorescence signals, as described in the legend of Figure 5. A total of more than 3,500 splitYFP fluorescence spots and more than 4500 mCherry fluorescence spots were counted in optical planes of 14 explants derived from four independent experiments. Shown is the fraction of fluorescence spots in the xy-plane as a function of the z-coordinate, from basal (0 microm) to apical (9 microm). Obviously, in the presence of Wnt5a, the splitYFP signal (Fzd7/Ror2) is shifted to the basal side. |
References [+] :
Behrens,
Functional interaction of beta-catenin with the transcription factor LEF-1.
1996, Pubmed,
Xenbase
Behrens, Functional interaction of beta-catenin with the transcription factor LEF-1. 1996, Pubmed , Xenbase
Bilic, Wnt induces LRP6 signalosomes and promotes dishevelled-dependent LRP6 phosphorylation. 2007, Pubmed
Cheng, Caveolae: One Function or Many? 2016, Pubmed
Curto, CK1ε and p120-catenin control Ror2 function in noncanonical Wnt signaling. 2018, Pubmed
Doroudi, Signaling components of the 1α,25(OH)2D3-dependent Pdia3 receptor complex are required for Wnt5a calcium-dependent signaling. 2014, Pubmed
Engelman, Chromosomal localization, genomic organization, and developmental expression of the murine caveolin gene family (Cav-1, -2, and -3). Cav-1 and Cav-2 genes map to a known tumor suppressor locus (6-A2/7q31). 1998, Pubmed
Fagotto, Induction of the primary dorsalizing center in Xenopus by the Wnt/GSK/beta-catenin signaling pathway, but not by Vg1, Activin or Noggin. 1997, Pubmed , Xenbase
Feike, Wnt5a/Ror2-induced upregulation of xPAPC requires xShcA. 2010, Pubmed , Xenbase
Feng, Caveolin-1 orchestrates fibroblast growth factor 2 signaling control of angiogenesis in placental artery endothelial cell caveolae. 2012, Pubmed
Gleizes, Basic fibroblast growth factor (FGF-2) is addressed to caveolae after binding to the plasma membrane of BHK cells. 1996, Pubmed
Gon, Wnt5a signaling promotes apical and basolateral polarization of single epithelial cells. 2013, Pubmed
Gorman, High efficiency gene transfer into mammalian cells. 1984, Pubmed
Gradl, Functional diversity of Xenopus lymphoid enhancer factor/T-cell factor transcription factors relies on combinations of activating and repressing elements. 2002, Pubmed , Xenbase
Gradl, The Wnt/Wg signal transducer beta-catenin controls fibronectin expression. 1999, Pubmed , Xenbase
Habas, Wnt/Frizzled activation of Rho regulates vertebrate gastrulation and requires a novel Formin homology protein Daam1. 2001, Pubmed , Xenbase
Habas, Coactivation of Rac and Rho by Wnt/Frizzled signaling is required for vertebrate gastrulation. 2003, Pubmed , Xenbase
Harland, In situ hybridization: an improved whole-mount method for Xenopus embryos. 1991, Pubmed , Xenbase
Holzer, Live imaging of active fluorophore labelled Wnt proteins. 2012, Pubmed , Xenbase
Hoppler, Wnt signalling: variety at the core. 2007, Pubmed
Kestler, From individual Wnt pathways towards a Wnt signalling network. 2008, Pubmed
Koenig, En2, Pax2/5 and Tcf-4 transcription factors cooperate in patterning the Xenopus brain. 2010, Pubmed , Xenbase
Kraft, Wnt-11 and Fz7 reduce cell adhesion in convergent extension by sequestration of PAPC and C-cadherin. 2012, Pubmed , Xenbase
Kühl, Antagonistic regulation of convergent extension movements in Xenopus by Wnt/beta-catenin and Wnt/Ca2+ signaling. 2001, Pubmed , Xenbase
Kunz, Autoregulation of canonical Wnt signaling controls midbrain development. 2004, Pubmed , Xenbase
Labrecque, Regulation of vascular endothelial growth factor receptor-2 activity by caveolin-1 and plasma membrane cholesterol. 2003, Pubmed
Lamaze, The caveolae dress code: structure and signaling. 2017, Pubmed
Lee, Endocytosis is required for efficient apical constriction during Xenopus gastrulation. 2010, Pubmed , Xenbase
Li, Fast and efficient molecule detection in localization-based super-resolution microscopy by parallel adaptive histogram equalization. 2013, Pubmed
Liu, Distinct roles for Xenopus Tcf/Lef genes in mediating specific responses to Wnt/beta-catenin signalling in mesoderm development. 2005, Pubmed , Xenbase
Manders, Measurement of co-localization of objects in dual-colour confocal images. 1993, Pubmed
Nishita, Filopodia formation mediated by receptor tyrosine kinase Ror2 is required for Wnt5a-induced cell migration. 2006, Pubmed
Ohkawara, An ATF2-based luciferase reporter to monitor non-canonical Wnt signaling in Xenopus embryos. 2011, Pubmed , Xenbase
Park, Caveolin-1/3 double-knockout mice are viable, but lack both muscle and non-muscle caveolae, and develop a severe cardiomyopathic phenotype. 2002, Pubmed
Preibisch, Software for bead-based registration of selective plane illumination microscopy data. 2010, Pubmed
Razani, Molecular cloning and developmental expression of the caveolin gene family in the amphibian Xenopus laevis. 2002, Pubmed , Xenbase
Rigo-Watermeier, Functional conservation of Nematostella Wnts in canonical and noncanonical Wnt-signaling. 2012, Pubmed , Xenbase
Sasai, Xenopus chordin: a novel dorsalizing factor activated by organizer-specific homeobox genes. 1994, Pubmed , Xenbase
Sato, Wnt5a regulates distinct signalling pathways by binding to Frizzled2. 2010, Pubmed
Schambony, Wnt-5A/Ror2 regulate expression of XPAPC through an alternative noncanonical signaling pathway. 2007, Pubmed , Xenbase
Schindelin, Fiji: an open-source platform for biological-image analysis. 2012, Pubmed
Shojima, Wnt5a promotes cancer cell invasion and proliferation by receptor-mediated endocytosis-dependent and -independent mechanisms, respectively. 2015, Pubmed
Sokol, Wnt signaling and dorso-ventral axis specification in vertebrates. 1999, Pubmed
Tahir, Caveolin-1 regulates VEGF-stimulated angiogenic activities in prostate cancer and endothelial cells. 2009, Pubmed
Tao, Maternal wnt11 activates the canonical wnt signaling pathway required for axis formation in Xenopus embryos. 2005, Pubmed , Xenbase
van Amerongen, Alternative Wnt pathways and receptors. 2012, Pubmed
van Venrooy, Cold-inducible RNA binding protein (CIRP), a novel XTcf-3 specific target gene regulates neural development in Xenopus. 2008, Pubmed , Xenbase
Wallkamm, Regulation of distinct branches of the non-canonical Wnt-signaling network in Xenopus dorsal marginal zone explants. 2016, Pubmed , Xenbase
Wallkamm, Live imaging of Xwnt5A-ROR2 complexes. 2014, Pubmed , Xenbase
Yamamoto, Basolateral secretion of Wnt5a in polarized epithelial cells is required for apical lumen formation. 2015, Pubmed
Yamamoto, Wnt3a and Dkk1 regulate distinct internalization pathways of LRP6 to tune the activation of beta-catenin signaling. 2008, Pubmed , Xenbase
Yu, Structural analysis of the interaction between Dishevelled2 and clathrin AP-2 adaptor, a critical step in noncanonical Wnt signaling. 2010, Pubmed
Zheng, Differential impact of caveolae and caveolin-1 scaffolds on the membrane raft proteome. 2011, Pubmed
