XB-ART-56628
Elife
2020 Jan 14;9. doi: 10.7554/eLife.51248.
Show Gene links
Show Anatomy links
The tumor suppressor PTPRK promotes ZNRF3 internalization and is required for Wnt inhibition in the Spemann organizer.
???displayArticle.abstract???
A hallmark of Spemann organizer function is its expression of Wnt antagonists that regulate axial embryonic patterning. Here we identify the tumor suppressor Protein tyrosine phosphatase receptor-type kappa (PTPRK), as a Wnt inhibitor in human cancer cells and in the Spemann organizer of Xenopus embryos. We show that PTPRK acts via the transmembrane E3 ubiquitin ligase ZNRF3, a negative regulator of Wnt signaling promoting Wnt receptor degradation, which is also expressed in the organizer. Deficiency of Xenopus Ptprk increases Wnt signaling, leading to reduced expression of Spemann organizer effector genes and inducing head and axial defects. We identify a '4Y' endocytic signal in ZNRF3, which PTPRK maintains unphosphorylated to promote Wnt receptor depletion. Our discovery of PTPRK as a negative regulator of Wnt receptor turnover provides a rationale for its tumor suppressive function and reveals that in PTPRK-RSPO3 recurrent cancer fusions both fusion partners, in fact, encode ZNRF3 regulators.
???displayArticle.pubmedLink??? 31934854
???displayArticle.pmcLink??? PMC6996932
???displayArticle.link??? Elife
???displayArticle.grants??? [+]
CRC1324 Deutsche Forschungsgemeinschaft
Species referenced: Xenopus laevis
Genes referenced: angptl4 avd axin2 bambi calr chrd ctnnb1 dkk1 dvl1 foxg1 frzb fzd5 gsc lamp1 lrp6 mapk1 mos myc nhs nog not odc1 otx2 ptprk rab11a rnf2 rnf43 rspo3 sox3 tf wnt3a znrf3
GO keywords: anterior/posterior axis specification [+]
???displayArticle.morpholinos??? ctnnb1 MO1 lrp6 MO1 ptprk MO1 znrf3 MO1 znrf3 MO2
Phenotypes: Xtr Wt + Hsa.ZNRF3(Fig. 5D, row1, col4) [+]
Xtr Wt + Hsa.ZNRF3(Fig. 5D, row2, col4)
Xtr Wt + Hsa.ZNRF3(Fig. 5 supp1, C)
Xtr Wt + Hsa.ZNRF3(Fig. 5 supp1, C)
Xtr WT + ptprk CRISPR(Fig. 2E, row2, col2)
Xtr WT + ptprk CRISPR(Fig. 2. supp1 E)
Xtr WT + ptprk MO(Fig. 2E, row2, col1)
Xtr WT + ptprk MO(Fig. 2. supp1 D)
Xtr WT + ptprk MO(Fig. 2. supp1 E)
Xtr WT + ptprk MO(Fig. 3A, row1, col3)
Xtr WT + ptprk MO(Fig. 3A, row2, col3)
Xtr WT + ptprk MO(Fig. 3A, row3, col3)
Xtr WT + ptprk MO(Fig. 3B, row1, col3)
Xtr WT + ptprk MO(Fig. 3B, row2, col3)
Xtr WT + ptprk MO(Fig. 3. supp1 A)
Xtr WT + ptprk MO(Fig. 3. supp1 B)
Xtr WT + ptprk MO(Fig. 3. supp1 C)
Xtr WT + ptprk MO(Fig. 3. supp1 D)
Xtr WT + ptprk MO(Fig. 5B, row2, col1)
Xtr WT + ptprk MO(Fig. 5D, row1, col2)
Xtr WT + ptprk MO(Fig. 5D, row2, col2)
Xtr WT + ptprk MO(Fig. 5 supp1, C)
Xtr WT + ptprk MO(Fig. 5 supp1, C)
Xtr WT + wnt8a(Fig. 2E, row3, col2)
Xtr WT + wnt8a(Fig. 2. supp1 D)
Xtr WT + wnt8a(Fig. 3B, row1, col4)
Xtr WT + wnt8a(Fig. 3B, row2, col4)
Xtr WT + wnt8a(Fig. 3. supp1 D)
Xtr WT + wnt8a(Fig. 3. supp1 E)
Xtr WT + znrf3 MO(Fig. 5B, row2, col2, Fig. 5C)
Xtr WT + znrf3 MO(Fig. 5B, row3, col1, Fig. 5C)
Xtr Wt + Hsa.ZNRF3(Fig. 5 supp1, C)
Xtr Wt + Hsa.ZNRF3(Fig. 5 supp1, C)
Xtr WT + ptprk CRISPR(Fig. 2E, row2, col2)
Xtr WT + ptprk CRISPR(Fig. 2. supp1 E)
Xtr WT + ptprk MO(Fig. 2E, row2, col1)
Xtr WT + ptprk MO(Fig. 2. supp1 D)
Xtr WT + ptprk MO(Fig. 2. supp1 E)
Xtr WT + ptprk MO(Fig. 3A, row1, col3)
Xtr WT + ptprk MO(Fig. 3A, row2, col3)
Xtr WT + ptprk MO(Fig. 3A, row3, col3)
Xtr WT + ptprk MO(Fig. 3B, row1, col3)
Xtr WT + ptprk MO(Fig. 3B, row2, col3)
Xtr WT + ptprk MO(Fig. 3. supp1 A)
Xtr WT + ptprk MO(Fig. 3. supp1 B)
Xtr WT + ptprk MO(Fig. 3. supp1 C)
Xtr WT + ptprk MO(Fig. 3. supp1 D)
Xtr WT + ptprk MO(Fig. 5B, row2, col1)
Xtr WT + ptprk MO(Fig. 5D, row1, col2)
Xtr WT + ptprk MO(Fig. 5D, row2, col2)
Xtr WT + ptprk MO(Fig. 5 supp1, C)
Xtr WT + ptprk MO(Fig. 5 supp1, C)
Xtr WT + wnt8a(Fig. 2E, row3, col2)
Xtr WT + wnt8a(Fig. 2. supp1 D)
Xtr WT + wnt8a(Fig. 3B, row1, col4)
Xtr WT + wnt8a(Fig. 3B, row2, col4)
Xtr WT + wnt8a(Fig. 3. supp1 D)
Xtr WT + wnt8a(Fig. 3. supp1 E)
Xtr WT + znrf3 MO(Fig. 5B, row2, col2, Fig. 5C)
Xtr WT + znrf3 MO(Fig. 5B, row3, col1, Fig. 5C)
???attribute.lit??? ???displayArticles.show???
|
|
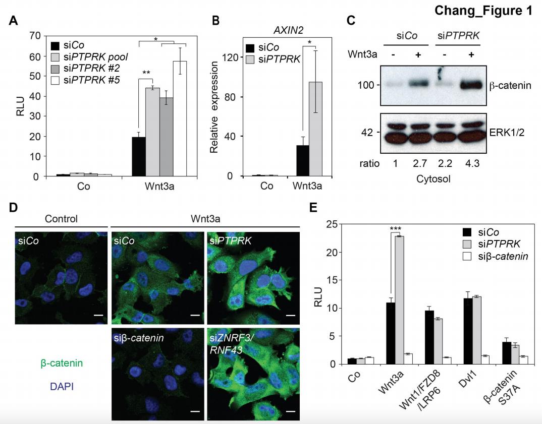
Figure 1 | PTPRK inhibits Wnt/β-catenin signaling at the receptor level (A) Topflash reporter assay in H1703 cells upon siCo, siPTPRK pool, or single siPTPRKs (siPTPRK #2, #5) transfection, with or without overnight Wnt3a treatment. Further experiments were done with siPTPRK #2. (B) qRT-PCR analysis of AXIN2 in H1703 cells treated with Wnt3a overnight upon siCo, siPTPRK transfection. (C) Western blot analysis of cytosolic β-catenin in H1703 cells upon siCo or siPTPRK transfection. Cells were treated with Wnt3a for 2 h before harvest and permeabilized with 0.05% Saponin. Ratio, relative levels of β-catenin normalized to ERK1/2. (D) Immunofluorescence microscopy showing nuclear and cytosolic β-catenin in H1703 cells. Cells were transfected with the indicated siRNAs and treated with Wnt3a for 2 h. siβ-catenin and siZNRF3/siRNF43 were used as negative and positive control, respectively. (E) Topflash reporter assay in H1703 cells upon PTPRK or β-catenin knockdown. Topflash activity was stimulated by overnight treatment of Wnt3a, or transfection of Wnt1/Fzd8/LRP6, Dvl1, or hβ-catenin S37A. Data in all graphs are displayed as means ± SD, and show one representative of multiple independent experiments with three biological replicates. RLU, relative light units. *P < 0.05 **P < 0.01, ***P < 0.001. |
|
|
Figure 2 | Ptprk inhibits Wnt signaling in the Spemann organizer (A-C) In situ hybridization of ptprk in Xenopus tropicalis at (A) gastrula (hemisected, dorsal to the right), (B) neurula, tailbud, and tadpole stages, and in (C) transverse dissected tailbud embryo. ba, branchial arches; fb, forebrain; hb, hindbrain; mb, midbrain; no, notochord; nt, neural tube; ov, otic vesicle; SO, Spemann organizer. (D) Data mining using data from Ding et al. (2017), showing gene expression correlation with a dorsal/organizer marker chordin. Xenopus dkk1, frzb, and angptl4 are known organizer-expressed genes, gapdh is shown as housekeeping gene, and bambi is a ventrally expressed gene. (E) Representative phenotypes of tailbud stage Xenopus tropicalis embryos injected animally at 2- to 8- cell stage and as indicated. For quantification, see Figure 2 - figure supplement 1D-E. (F-I) Topflash reporter assays performed with neurulae (stage 18). Embryos were injected animally at 2- to 8-cell stage (F, H-I) or one cell stage (G) with reporter plasmids and the indicated mRNAs and Mos. Domain structures of WT PTPRK and mutants are shown on top. Normalized Topflash activity of Co930 injected embryos only with reporter plasmids was set to 1. Data in all graphs are displayed as means ± SD, and show one representative of multiple independent experiments with three biological replicates. RLU, relative light units. ** P < 0.01, ***P < 0.001. |
|
|
Figure 3 | Ptprk regulates Spemann organizer function by inhibiting Wnt signaling (A) Whole mount in situ hybridization of chordin, gsc, and Xnot2 in gastrula embryos (stage 10.5). Embryos were injected at 2- to 8-cell stage animally with Co or ptprk Mo. For quantification, see Figure 3 - figure supplement 1A-C. (B) Whole mount in situ hybridization of forebrain marker bf1 and otx2, and pan-neural marker sox3 in neurula embryos (stage 18). Embryos were injected at 4- to 8-cell stage unilaterally in animal blastomeres as indicated (β-galactosidase lineage tracer in red; arrows mark injected side). For quantification, see Figure 3 - figure supplement 1D-F. (C-E) qRT-PCR analysis showing the expression of (C) bf1, (D) otx2 and (E) sox3 in Xenopus tropicalis animal cap explants. Embryos were injected animally at 2- to 8-cell stage as indicated. Xenopus noggin mRNA was injected to induce to neural fate in animal cap explants. Animal caps were excised at stage 9 and harvested at stage 18. The expression of each gene was normalized to odc. PPL and Co Mo injected embryos were set to 1. Data show one representative experiment of at least three independent experiments with similar results. |
|
|
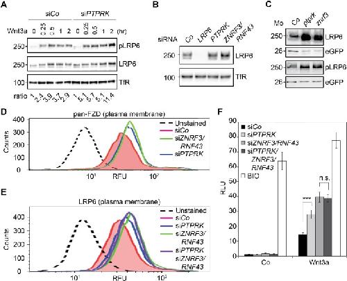
Figure 4 | PTPRK reduces Fzd and LRP6 surface levels via ZNRF3/RNF43 (A) Western blots analysis of membrane fractions from H1703 cells upon siRNA transfection. Cells were treated with Wnt3a for the indicated time and were analyzed. Ratio, phospho-LRP6 (pLRP6) levels normalized to control (transferrin receptor, TfR). Representative results from three independent experiments with similar outcome are shown. (B) Western blots analysis of membrane fractions from H1703 cells upon siRNA transfection. Transferrin receptor (TfR) served as loading control. Representative results from three independent experiments with similar outcome are shown. (C) Western blot analysis of LRP6 and phospho-LRP6 (pLRP6) in neurula (stage 18) embryos injected with LRP6 RNA, eGFP RNA and indicated Mo. eGFP served as an injection control. Data show one representative result from three independent experiments. (D) Flow cytometric analysis of cell surface Frizzled receptors (pan-Fzd antibody) in H1703 cells upon siRNA knockdown of PTPRK or ZNRF3/RNF43. Only live cells were counted and dead cells were gated out by propidium iodide (PI) staining. Dashed line, unstained H1703 cells. RFU, relative fluorescence units. (E) Flow cytometric analysis of cell surface LRP6 in H1703 cells upon siRNA depletion of PTPRK, ZNRF3/RNF43 or combination of both. Only live cells were counted and dead cells were gated out by propidium iodide (PI) staining. Dashed line, unstained H1703 cells. RFU, relative fluorescence units. (F) Topflash reporter assay in H1703 cells upon transfection of indicated siRNAs. Cells were treated with Wnt3a with or without 20 μM BIO for 24 h before measurement. (Mean ± SD, n=3; ***P < 0.001, n.s., not significant, student t-test). RLU, relative light. |
|
|
Figure 5 | Znrf3 is coexpressed- and cooperates with Ptprk in early Xenopus embryos (A) Spatial expression of znrf3 in Xenopus tropicalis embryos at blastula (animal view), gastrula (hemisected dorsal to the right), neurula, tailbud and tadpole stages. ba, branchial arches; bp, blastopore; hb, hindbrain; mb, midbrain; nt, neural tube; ov, ovic vesicle; SO Spemann organizer. (B) Representative phenotypes of tailbud stage Xenopus tropicalis embryos injected animally at 2- to 8- cell stage as indicated. (C) Quantification of phenotypes shown in (B). The number of embryos per condition is indicated on the top. (D) Whole mount in situ hybridization of gsc and chordin in gastrula embryos (stage 10.5). Embryos were injected at 2- to 8-cell stage animally with Co or ptprk Mo with or without ZNRF3 RNA. For quantification, see Figure 5 â figure supplement 1C. (E) Topflash reporter assay performed with neurulae (stage 18). Embryos were injected animally at 2- to 8-cell stage as indicated. Suboptimal dosages of ptprk or znrf3 Mos were used in this experiment. Normalized Topflash activity of Co Mo injected embryos was set to 1. (F) Topflash reporter assay performed with neurulae (stage 18). Embryos were injected animally at 2- to 8-cell stage as indicated. Normalized Topflash activity of Co Mo injected embryos was set to 1. Data in all graphs are displayed as means ± SD, and show one representative of multiple independent experiments with three biological replicates. RLU, relative light units. ** P < 0.01. |
|
|
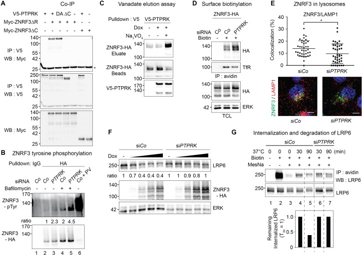
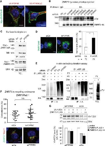
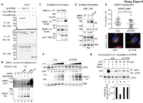
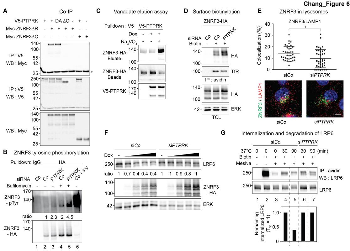
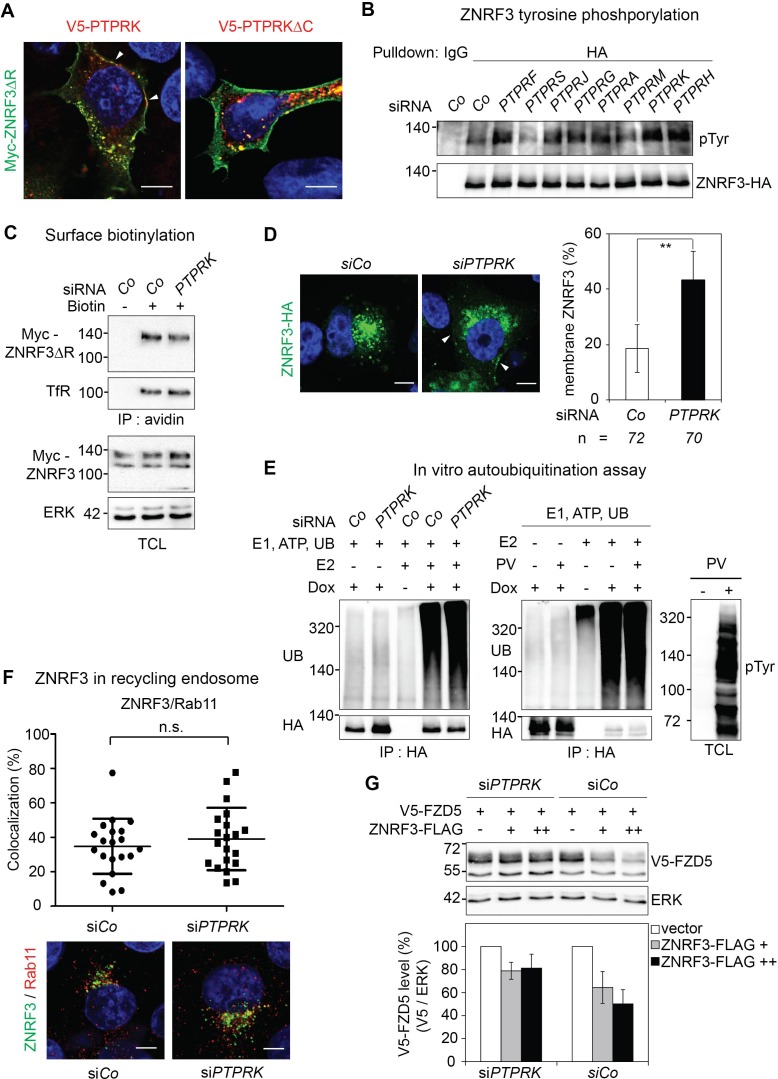
Figure 6 | PTPRK binds ZNRF3 and promotes its dephosphorylation and lysosomal trafficking (A) Co-immunoprecipitation experiments in HEK293T cells transfected with the indicated constructs and analyzed 48 h after transfection. Data show a representative result from three independent experiments with similar outcomes. Asterisk, IgG light chain. (B) Tyrosine phosphorylation of ZNRF3 in TetOn ZNRF3-HA H1703 cells upon siRNA transfection with or without bafilomycin treatment overnight. Cells were treated with Dox for 48 h before harvest. As a control, cells were treated with Na-pervanadate (PV, phosphatase inhibitor) for 30 min before harvest. Lysates were pulled down with anti-HA antibody or control IgG and subjected to Western blot analysis. Ratio, tyrosine phosphorylation of ZNRF3 normalized to total ZNRF3. (C) PTPRK-ZNRF3 interaction is vanadate-sensitive. Immobilized, immunoisolated V5-PTPRK from TetOn V5-PTPRK cells was incubated with total cell lysate from ZNRF3-HA expressing, Na1003 pervanadate treated cells. Bound ZNRF3-HA was eluted with 20 mM vanadate as indicated and eluate and beads were separated before Western blot analysis. (D) Cell surface biotinylation assay performed in TetOn ZNRF3-HA H1703 cells upon siRNA treatment. Cells were treated with Dox for 48 h before harvest. After labeling surface proteins with Sulfo-NHS1007 LC-LC-Biotin, lysates were pulled down with streptavidin beads and subjected to Western blot analysis. Transferrin receptor (TfR), loading control for avidin pull down; ERK, total cell lysate (TCL) control. A representative result from three independent experiments with similar outcomes is shown. (E) Colocalization by immunofluorescence microscopy (IF) of ZNRF3 (Green) with LAMP1 (Red) in TetOn ZNRF3-HA H1703 cells upon siRNA treatment. Top, graph shows quantification of ZNRF3 colocalizing with LAMP1 (Mean ± SD, *P < 0.05, student t-test). Bottom, representative IF images. Note that plasma membrane localized ZNRF3 cannot be seen due to low microscope laser power used for optimal vesicular co-localization in. Colocalization data are pooled from two independent experiments. (F) Western blot analysis of Dox treated TetOn ZNRF3-HA H1703 cells upon siRNA treatment. Ratio, LRP6 normalized to ERK. A representative result from three independent experiments with similar outcomes is shown. (G) Internalization and degradation assay of LRP6 in TetOn ZNRF3-HA H1703 cells treated as indicated. After labeling of surface proteins with Sulfo-NHS-SS-Biotin, endocytosis was induced by shifting cells to 37° for the indicated times. At each indicated time point, cells were treated with MesNa to remove biotinylated surface proteins and then harvested. Cells were lysed, and biotinylated proteins were pulled down with streptavidin beads and analyzed with indicated antibodies. Lane 1: non-biotin treated control, Lane 3: MesNa treated after biotin labeling without inducing endocytosis (monitoring MesNa efficiency). The graph below shows avidin pulled down LRP6 levels normalized to total LRP6 levels (Remaining internalized LRP6 at 30 min upon siCo was set to 1). |
|
|
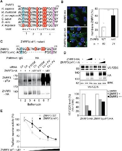
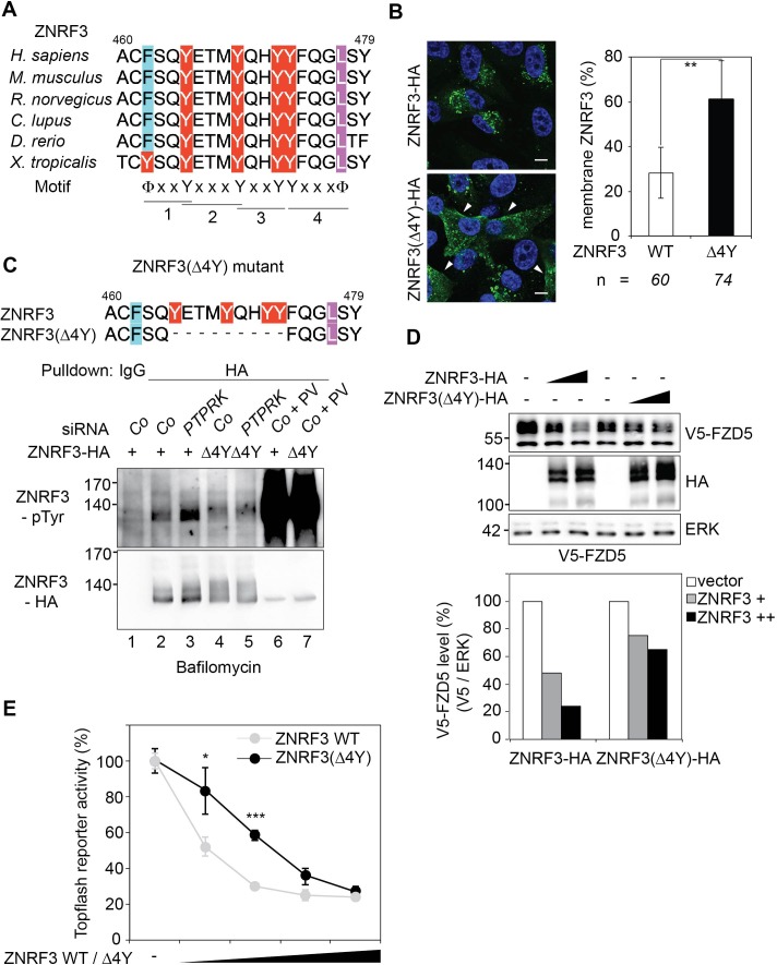
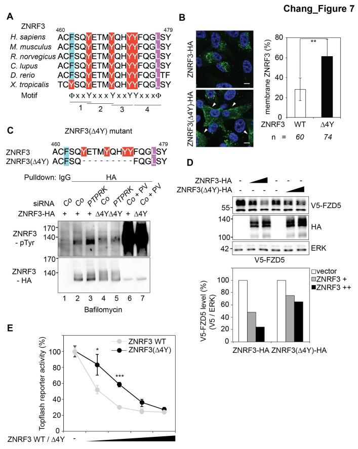
Figure 7 | Tyrosine based endocytic motifs in ZNRF3 are regulated by PTPRK (A) Multiple sequence alignment of ZNRF3 among different species. Y: Tyrosine, X: any amino acids, and Φ: hydrophobic bulky amino acids. (B) Subcellular localization by immunofluorescence microscopy (IF) of ZNRF3-HA or ZNRF3(Î4Y)-HA in H1703 cells with bafilomycin treatment overnight. Left, representative IF images. Arrowheads indicate membrane ZNRF3. Right, graph shows quantification of membrane ZNRF3 positive cells (Mean ± SD, **P < 0.01, student t-test). The number of cells per condition is indicated at the bottom (n). IF data are pooled from two independent experiments. (C) Tyrosine phosphorylation of ZNRF3-HA or ZNRF3(Î4Y)-HA in H1703 cells upon siRNA transfection with bafilomycin treatment overnight. As a control, cells were treated with Na-pervanadate (PV, phosphatase inhibitor) for 30 min before harvest. Lysates were pulled down with anti-HA antibody or control IgG and subjected to Western blot analysis. (D) Western blot analysis of H1703 cells transfected as indicated. The graph below shows quantification of V5-FZD5 normalized to ERK. The level of V5-FZD5 without ZNRF3-HA transfection was set to 100%. A representative result from two independent experiments with similar outcomes is shown. (E) Topflash reporter assay in H1703 cells upon transfection of different amount of ZNRF3-HA or ZNRF3(Î4Y)-HA plasmids. All samples were Wnt3a treated for 24 h before measurement. (Mean ± SD, n=3; *P < 0.05, ***P < 0.001, student t-test). Topflash activity without ZNRF3 transfection was set to 100%. A representative result from three independent experiments with similar outcomes is shown. |
|
|
Figure 1 â figure supplement 1 | Knockdown efficiency of siPTPRKs. (A) qRT-PCR analysis showing the knockdown efficiencies of siRNAs targeting PTPRK in H1703 cells (related to Figure 1A). (B) qRT-PCR analysis of PTPRK in H1703 cells upon siCo or siPTPRK transfection (related to Figure 1B). (C) Subcellular fractionation of H1703 cells upon siCo or siPTPRK transfection. Cells were treated with Wnt3a for 24 h before harvest and fractionated into cytosol and membrane as indicated. Tubulin and Transferrin receptor (TfR) serve as the markers for cytosolic and membrane fractions, respectively. (D) Topflash reporter assay in H1703 cells transfected with V5-PTPRK or V5-PTPRK-DA. Cells were treated with control or Wnt3a for 24 h before harvest and measured for Topflash activity (Mean ± SD). (E) Topflash reporter assay in HEK293T cells upon siRNA treatment. Cells were treated with control or dilutions of Wnt3a for 24 h before harvest and measured for Topflash activity. (Mean ± SD, n=3; n.s., not significant, student t-test). (F) qRT-PCR analysis of AXIN2 in H1703 cells treated with Wnt3a overnight upon indicated siRNA transfection. |
|
|
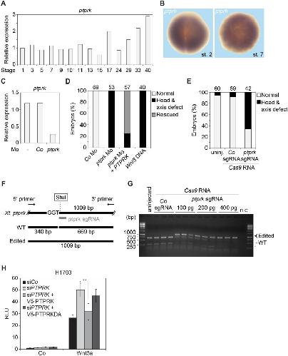
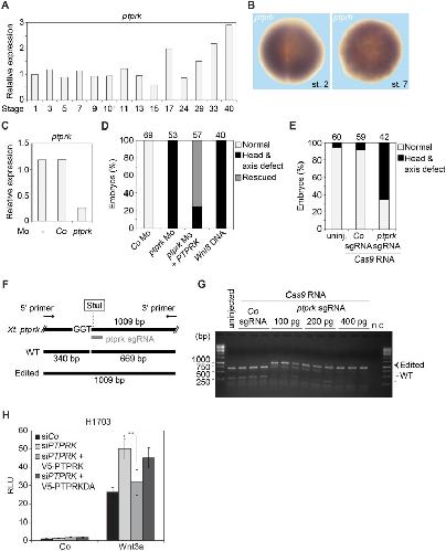
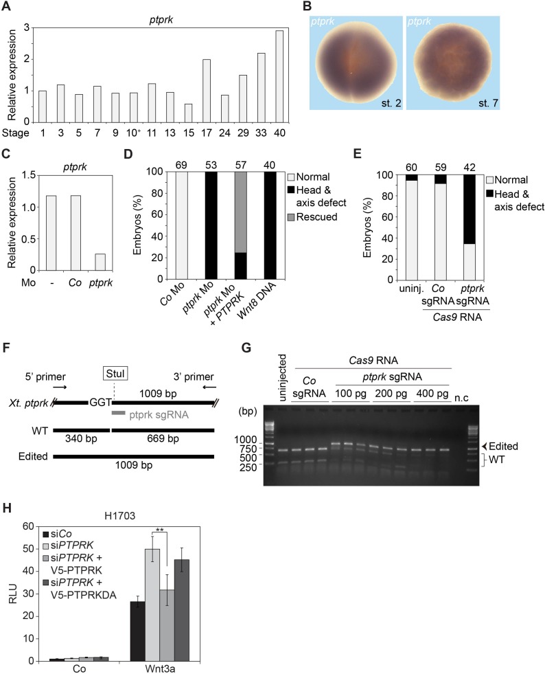
Figure 2 â figure supplement 1 | Spatiotemporal expression and knockdown of ptprk in Xenopus embryos (A) qRT-PCR analysis displaying the relative expression levels of ptprk in Xenopus tropicalis embryos at indicated stages. Expression of ptprk was normalized to odc, and the level of ptprk at stage 1 was set to 1. Data show one representative result from three independent experiments. (B) Spatial expression patterns of ptprk in Xenopus embryos at 2-cell stage (animal view) and stage 7 (animal view). (C) Knockdown efficiency of ptprk Mo. qRT-PCR analysis was performed with uninjected tailbud stage Xenopus embryos, and embryos injected with Co or ptprk Mo. (D-E) Quantification of phenotypes shown in Figure 2E. The number of embryos is indicated on the top. (F) Scheme of validation of CRISPR/Cas9-mediated genome modification by restriction enzyme digestion. Xenopus ptprk sgRNA targeted sequence contains a StuI site. A pair of primers was designed to amplify a DNA fragment of 1009 bp. After StuI digestion, wild-type (WT) but not edited DNA, yields DNA fragments of 340 bp and 669 bp. (G) Agarose electrophoresis of StuI digested PCR products described in (F). n.c, negative control, PCR product of DNA from an uninjected tailbud embryo without DNA polymerase in PCR reaction. (H) Topflash reporter assay in H1703 cells transfected with indicated siRNA and siRNA resistant V5- PTPRK or V5-PTPRK-DA. Cells were treated with control or Wnt3a for 24 h before measurement. (Mean ± SD, n=3; **P < 0.01, student t-test). |
|
|
Figure 3 â figure supplement 1 | Ptprk regulates Spemann organizer function (A-F) Quantification of the expression of the indicated genes by whole mount in situ hybridization in Figure 3A-B. Top, number of embryos. (G) qRT-PCR analysis showing the knockdown efficiency of ptprk Mo in animal cap experiments in Figures 3C-E. Xenopus ptprk expression was normalized to odc. Expression in PPL and Co Mo injected embryos was set to 1. Data show one representative experiment of three independent experiments. |
|
|
Figure 4 â figure supplement 1 | PTPRK regulates LRP6 protein- but not mRNA levels. (A) Quantification of relative LRP6 protein levels normalized to TfR in Figure 4B. (B) qRT-PCR analysis of LRP6 mRNA levels in H1703 cells transfected with indicated siRNAs. mRNA expression was normalized to GAPDH, and the level of LRP6 in siCo was set to 1. (C) Quantification of the protein levels of LRP6 (left) and phospho-LRP6 (pLRP6, right) shown in Figure 4C. Levels of LRP6 or phospho-LRP6 were normalized to eGFP and protein levels in Co Mo injected embryos were set to 1. (D) qRT-PCR analysis of ptprk and lrp6 mRNA levels in Co Mo or ptprk Mo injected neurula embryos (stage 18) in Figure 4C. The expression level in Co Mo injected embryos was set to 1. (E) qRT-PCR analysis showing the knockdown efficiencies of the indicated siRNAs in H1703 cells (related to Figure 4F). Statistics was performed with three independent experiments (Mean ± SD, *P < 0.05, **P < 0.01, ***P < 0.001). |
|
|
Figure 5 â figure supplement 1 | Znrf3 Mo activates Wnt signaling in Xenopus embryos (A) Knockdown efficiency of znrf3 Mo1 by qRT-PCR analysis. (B) Topflash reporter assay performed with neurula (stage 18) embryos. Embryos were injected animally at 2- to 8-cell stage as indicated. Normalized Topflash activity of Co Mo injected embryos was set to 1. (C) Quantification of the expression of the indicated genes by whole mount in situ hybridization in Figure 5D. Top, number of embryos. |
|
|
Figure 6 â figure supplement 1 | PTPRK does not regulate ZNRF3 recycling. (A) Immunofluorescence microscopy showing colocalization of Myc-ZNRF3-δRING (green) with V5- PTPRK or V5-PTPRK-δC (red). Arrowheads indicate colocalization of PTPRK but not PTPRK-δC with ZNRF3 at the plasma membrane. (B) Tyrosine phosphorylation of ZNRF3 in TetOn ZNRF3-HA H1703 cells upon siRNA transfection and bafilomycin treatment overnight. (C) Cell surface biotinylation assay performed in H1703 cells transfected with Myc-ZNRF3-δR upon PTPRK knockdown. After labeling surface protein with NHS-LC-LC-Biotin, lyates were pulled down with streptavidin beads and subjected to Western blot analysis. Transferrin receptor (TfR), loading control for avidin pull down; ERK, total cell lysate (TCL) control. A representative result from three independent experiments with similar outcomes is shown. (D) Immunofluorescence microscopy (IF) showing the localization of ZNRF3-HA (green) upon PTPRK knockdown. Left, representative IF images. Arrowheads indicate plasma membrane ZNRF3. Right, quantification of membrane ZNRF3 positive cells (mean ± SD, **P < 0.01, student t-test). The number of cells per condition is indicated at the bottom (n). (E) Ubiquitin Western blot of in vitro autoubiquitination assay for ZNRF3-HA upon PTPRK knockdown (left panel) or Na-pervanadate treatment (right panel) in TetOn ZNRF3-HA cells. After 48 h of Dox treatment and 72 h of PTPRK knockdown, immunoisolated ZNRF3 was incubated as indicated. Where indicated, cells were treated with 100 μM Na-pervanadate (PV) for 30 min before harvest. A representative result of two independent experiments with similar outcomes is shown. (F) Colocalization by immunofluorescence microscopy (IF) of ZNRF3 (Green) with Rab11 (recycling endosome marker, red) in Dox treated TetOn ZNRF3-HA H1703 cells upon siRNA treatment. Top, graph shows quantification of ZNRF3 colocalizing with LAMP1 (Mean ± SD, *P < 0.05, student t-test). Bottom, representative IF images. Colocalization data are pooled from two independent experiments. (G) Western blot analysis of H1703 cells transfected as indicated. The graph shows quantification of V5- FZD5 normalized to ERK from three independent experiments (Mean ± SE, student t-test). The level of V5-FZD5 without ZNRF3-HA transfection was set to 100%. |
|
|
Figure 7 â figure supplement 1 | Phenylalanine mutation in ZNRF3 4Y motif impairs PTPRK regulation (A) Tyrosine phosphorylation of the indicated Wt and mutant ZNRF3 constructs in H1703 cells upon siRNA transfection and bafilomycin treatment overnight. As control, cells were treated with Na1146 pervanadate (PV, phosphatase inhibitor) for 30 min before harvest. Lysates were pulled down with anti-HA antibody or control IgG and subjected to Western blot analysis. (B) Topflash reporter assay in H1703 cells upon transfection of different amount of the indicated Wt and mutant ZNRF3 plasmids. All samples were Wnt3a treated for 24 h before measurement. (Mean ± SD, n=3; **P < 0.005, ***P < 0.001, student t-test). Topflash activity without ZNRF3 transfection was set to 100%. A representative result from three independent experiments with similar outcomes is shown. |
|
|
Figure 7 â figure supplement 2 | Model for PTPRK acting as Wnt inhibitor Left, ZNRF3 E3 ubiquitin ligase reaching the plasma membrane continuously co-internalizes Wnt receptors, targets them for lysosomal degradation and reduces Wnt signaling. An unphosphorylated 4-tyrosine (â4Yâ) motif serves as ZNRF3 internalization signal. The phosphatase PTPRK dephosphorylates the 4Y motif and promotes ZNRF3 lysosomal targeting along with Wnt receptors to reduce Wnt signaling. Right, in the absence of PTPRK an unknown tyrosine kinase(s) phosphorylat |
|
|
Author response image 1. Internalization-motif mutants of ZNRF3 still bind PTPRK.CoIP experiments in HEK293T cells transfected with the indicated constructs. Data show a representative result from three independent experiments with similar outcomes. |
|
|
Author response image 2. PTPRK depletion does not induce LRP6 Tyrosine phosphorylation.Tyrosine phosphorylation of LRP6 in H1703 cells with Wnt3a treatment upon siRNA transfection. As a control, cells were treated with Na-pervanadate (PV, phosphatase inhibitor) for 30 min before harvest. Cells were treated with Wnt3a for the indicated time before harvest. Lysates were pulled down with anti-LRP6 antibody or control IgG and subjected to Western blot analysis. |
|
|
Author response image 3. siPTPRK does not affect tyrosine phosphorylation of RNF43.(A) Table showing the comparison of multiple sequence alignment result of ZNRF3 and RNF43 intracellular domain among different species including H. sapiens, M. musculus, R. norvegicus, C. lupus, D. rerio and X. tropicalis. (B) siPTPRK does not affect tyrosine phosphorylation of RNF43. Tyrosine phosphorylation of RNF43-FLAG in H1703 cells was analyzed in bafilomycin treated cells. As a control, cells were treated with Na-pervanadate (PV, phosphatase inhibitor) for 30 min before harvest. Lysates were pulled down with anti-FLAG antibody or control IgG and subjected to Western blot analysis. A representative result from two independent experiments with similar outcomes is shown. |
|
|
Author response image 4. PTPRK regulates tyrosine phosphorylation of ZNRF3 at the plasma membrane.Left: Tyrosine phosphorylation of ZNRF3 in TetOn ZNRF3-HA H1703 cells upon siRNA transfection after subcellular fractionation. As a control, cells were treated with Na-pervanadate (PV, phosphatase inhibitor) for 30 min before harvest. Right: Subcellular markers to validate fractionation. Lamin B: Nucleus; TfR (transferrin receptor), Plasma membrane; Tubulin, cytosol marker. Note that nuclear fraction displaying TfR signal indicates that nuclear fraction contains ER. Asterisk: non-specific bands from Na-pervanadate treatment. A representative result from two independent experiments with similar outcomes is shown. |
|
|
Author response image 5. PTPRK resides in secretory vesicles and endosomes.Immunofluorescence microscopy showing colocalization of ZNRF3-HA (green) with mCherry-Calreticulin, mCherry-TGNP or mCherry-Rab7a (red). |
|
|
ptprk (protein tyrosine phosphatase receptor type K) gene expression, assayed through in situ hybridization in bisected Xenopus tropicalis embryo,at NF stage 10.5, dorsal right. |
|
|
ptprk (protein tyrosine phosphatase receptor type K) gene expression in Xenopus tropicalis embryo, assayed via in situ hybridization, NF stage 30, lateral view, anterior left, dorsal up. |
|
|
ptprk (protein tyrosine phosphatase receptor type K) gene expression in Xenopus tropicalis embryo, assayed via in situ hybridization, NF stage 25, lateral view, anterior left, dorsal up. |
|
|
znrf3 (zinc and ring finger 3) gene expression, assayed through in situ hybridization in hemisected Xenopus tropicalis embryo,at NF stage 10.5, dorsal right. |
|
|
znrf3 (zinc and ring finger 3) gene expression in Xenopus tropicalis embryo, assayed via in situ hybridization, NF stage 23, lateral view, anterior left, dorsal up. |
|
|
znrf3 (zinc and ring finger 3) gene expression in Xenopus tropicalis embryo, assayed via in situ hybridization, NF stage 35, lateral view, anterior left, dorsal up. |
|
|
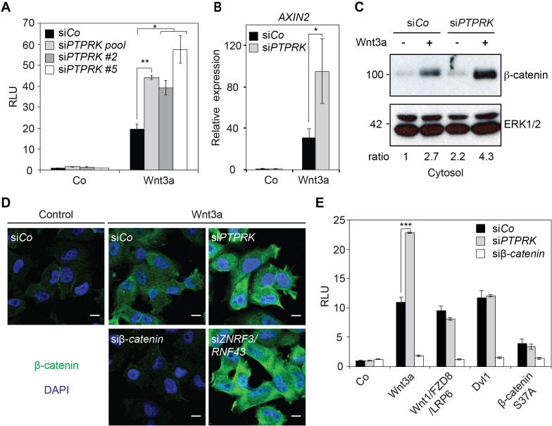
Figure 1. PTPRK inhibits Wnt/β-catenin signaling at the receptor level.(A) Topflash reporter assay in H1703 cells upon siCo, siPTPRK pool, or single siPTPRKs (siPTPRK #2, #5) transfection, with or without overnight Wnt3a treatment. Further experiments were done with siPTPRK #2. (B) qRT-PCR analysis of AXIN2 in H1703 cells treated with Wnt3a overnight upon siCo, siPTPRK transfection. (C) Western blot analysis of cytosolic β-catenin in H1703 cells upon siCo or siPTPRK transfection. Cells were treated with Wnt3a for 2 h before harvest and permeabilized with 0.05% Saponin. Ratio, relative levels of β-catenin normalized to ERK1/2. (D) Immunofluorescence microscopy showing nuclear and cytosolic β-catenin in H1703 cells. Cells were transfected with the indicated siRNAs and treated with Wnt3a for 2 h. siβ-catenin and siZNRF3/siRNF43 were used as negative and positive control, respectively. (E) Topflash reporter assay in H1703 cells upon PTPRK or β-catenin knockdown. Topflash activity was stimulated by overnight treatment of Wnt3a, or transfection of Wnt1/Fzd8/LRP6, Dvl1, or hβ-catenin S37A. Data in all graphs are displayed as means ± SD, and show one representative of multiple independent experiments with three biological replicates. RLU, relative light units. *p<0.05 **p<0.01, ***p<0.001.Figure 1âfigure supplement 1. Knockdown effects of siPTPRKs.(A) qRT-PCR analysis showing the knockdown efficiencies of siRNAs targeting PTPRK in H1703 cells (related to Figure 1A). (B) qRT-PCR analysis of PTPRK in H1703 cells upon siCo or siPTPRK transfection (related to Figure 1B). (C) Subcellular fractionation of H1703 cells upon siCo or siPTPRK transfection. Cells were treated with Wnt3a for 24 hr before harvest and fractionated into cytosol and membrane as indicated. Tubulin and Transferrin receptor (TfR) serve as the markers for cytosolic and membrane fractions, respectively. (D) Topflash reporter assay in H1703 cells transfected with V5-PTPRK or V5-PTPRK-DA. Cells were treated with control or Wnt3a for 24 hr before harvest and measured for Topflash activity (Mean ± SD). (E) Topflash reporter assay in HEK293T cells upon siRNA treatment. Cells were treated with control or dilutions of Wnt3a for 24 hr before harvest and measured for Topflash activity. (Mean ± SD, n = 3; n.s., not significant, student t-test). (F) qRT-PCR analysis of AXIN2 in H1703 cells treated with Wnt3a overnight upon indicated siRNA transfection. |
|
|
Figure 2. Ptprk inhibits Wnt signaling in the Xenopus Spemann organizer.(AâC) In situ hybridization of ptprk in Xenopus tropicalis at (A) gastrula (hemisected, dorsal to the right), (B) neurula, tailbud, and tadpole stages, and in (C) transverse dissected tailbud embryo. ba, branchial arches; fb, forebrain; hb, hindbrain; mb, midbrain; no, notochord; nt, neural tube; ov, otic vesicle; SO, Spemann organizer. (D) Data mining using data from Ding et al. (2017), showing gene expression correlation with a dorsal/organizer marker chordin. Xenopus dkk1, frzb, and angptl4 are known organizer-expressed genes, gapdh is shown as housekeeping gene, and bambi is a ventrally expressed gene. (E) Representative phenotypes of tailbud stage Xenopus tropicalis embryos injected animally at 2- to 8 cell stage and as indicated. For quantification, see Figure 2âfigure supplement 1DâE. (FâI) Topflash reporter assays performed with neurulae (stage 18). Embryos were injected animally at 2- to 8 cell stage (F, HâI) or one cell stage (G) with reporter plasmids and the indicated mRNAs and Mos. Domain structures of WT PTPRK and mutants are shown on top. Normalized Topflash activity of Co-injected embryos only with reporter plasmids was set to 1. Data in all graphs are displayed as means ± SD, and show one representative of multiple independent experiments with three biological replicates. RLU, relative light units. **p<0.01, ***p<0.001.Figure 2âfigure supplement 1. Spatiotemporal expression and knockdown of ptprk in Xenopus embryos.(A) qRT-PCR analysis displaying the relative expression levels of ptprk in Xenopus tropicalis embryos at indicated stages. Expression of ptprk was normalized to odc, and the level of ptprk at stage one was set to 1. Data show one representative result from three independent experiments. (B) Spatial expression patterns of ptprk in Xenopus embryos at 2 cell stage (animal view) and stage 7 (animal view). (C) Knockdown efficiency of ptprk Mo. qRT-PCR analysis was performed with uninjected tailbud stage Xenopus embryos, and embryos injected with Co or ptprk Mo. (DâE) Quantification of phenotypes shown in Figure 2E. The number of embryos is indicated on the top. (F) Scheme of validation of CRISPR/Cas9-mediated genome modification by restriction enzyme digestion. Xenopus ptprk sgRNA targeted sequence contains a StuI site. A pair of primers was designed to amplify a DNA fragment of 1009 bp. After StuI digestion, wild-type (WT) but not edited DNA, yields DNA fragments of 340 bp and 669 bp. (G) Agarose electrophoresis of StuI digested PCR products described in (F). n.c, negative control, PCR product of DNA from an uninjected tailbud embryo without DNA polymerase in PCR reaction. (H) Topflash reporter assay in H1703 cells transfected with indicated siRNA and siRNA resistant V5-PTPRK or V5-PTPRK-DA. Cells were treated with control or Wnt3a for 24 hr before measurement. (Mean ± SD, n = 3; **p<0.01, student t-test). |
|
|
Figure 3. Ptprk regulates Spemann organizer function by inhibiting Wnt signaling.(A) Whole mount in situ hybridization of chordin, gsc, and Xnot2 in gastrula embryos (stage 10.5). Embryos were injected at 2- to 8 cell stage animally with Co or ptprk Mo. For quantification, see Figure 3âfigure supplement 1AâC. (B) Whole mount in situ hybridization of forebrain marker bf1 and otx2, and pan-neural marker sox3 in neurula embryos (stage 18). Embryos were injected at 4- to 8 cell stage unilaterally in animal blastomeres as indicated (β-galactosidase lineage tracer in red; arrows mark injected side). For quantification, see Figure 3âfigure supplement 1DâF. (CâE) qRT-PCR analysis showing the expression of (C) bf1, (D) otx2 and (E) sox3 in Xenopus tropicalis animal cap explants. Embryos were injected animally at 2- to 8 cell stage as indicated. Xenopus noggin mRNA was injected to induce to neural fate in animal cap explants. Animal caps were excised at stage 9 and harvested at stage 18. The expression of each gene was normalized to odc. PPL and Co Mo injected embryos were set to 1. Data show one representative experiment of at least three independent experiments with similar results.Figure 3âfigure supplement 1. Ptprk regulates Spemann organizer function.(AâF) Quantification of the expression of the indicated genes by whole mount in situ hybridization in Figure 3AâB. Top, number of embryos. (G) qRT-PCR analysis showing the knockdown efficiency of ptprk Mo in animal cap experiments in Figure 3CâE. Xenopus ptprk expression was normalized to odc. Expression in PPL and Co Mo injected embryos was set to 1. Data show one representative experiment of three independent experiments. |
|
|
Figure 4. PTPRK reduces FZD and LRP6 surface levels via ZNRF3/RNF43.(A) Western blots analysis of membrane fractions from H1703 cells upon siRNA transfection. Cells were treated with Wnt3a for the indicated time and were analyzed. Ratio, phospho-LRP6 (pLRP6) levels normalized to control (transferrin receptor, TfR). Representative results from three independent experiments with similar outcome are shown. (B) Western blots analysis of membrane fractions from H1703 cells upon siRNA transfection. Transferrin receptor (TfR) served as loading control. Representative results from three independent experiments with similar outcome are shown. (C) Western blot analysis of LRP6 and phospho-LRP6 (pLRP6) in neurula (stage 18) embryos injected with LRP6 RNA, eGFP RNA and indicated Mo. eGFP served as an injection control. Data show one representative result from three independent experiments. (D) Flow cytometric analysis of cell surface Frizzled receptors (pan-FZD antibody) in H1703 cells upon siRNA knockdown of PTPRK or ZNRF3/RNF43. Only live cells were counted and dead cells were gated out by propidium iodide (PI) staining. Dashed line, unstained H1703 cells. RFU, relative fluorescence units. (E) Flow cytometric analysis of cell surface LRP6 in H1703 cells upon siRNA depletion of PTPRK, ZNRF3/RNF43 or combination of both. Only live cells were counted and dead cells were gated out by propidium iodide (PI) staining. Dashed line, unstained H1703 cells. RFU, relative fluorescence units. (F) Topflash reporter assay in H1703 cells upon transfection of indicated siRNAs. Cells were treated with Wnt3a with or without 20 μM BIO for 24 hr before measurement. (Mean ± SD, n = 3; ***p<0.001, n.s., not significant, student t-test). RLU, relative light.Figure 4âfigure supplement 1. PTPRK regulates LRP6 protein but not mRNA levels.(A) Quantification of relative LRP6 protein levels normalized to TfR in Figure 4B. (B) qRT-PCR analysis of LRP6 mRNA levels in H1703 cells transfected with indicated siRNAs. mRNA expression was normalized to GAPDH, and the level of LRP6 in siCo was set to 1. (C) Quantification of the protein levels of LRP6 (left) and phospho-LRP6 (pLRP6, right) shown in Figure 4C. Levels of LRP6 or phospho-LRP6 were normalized to eGFP and protein levels in Co Mo injected embryos were set to 1. (D) qRT-PCR analysis of ptprk and lrp6 mRNA levels in Co Mo or ptprk Mo injected neurula embryos (stage 18) in Figure 4C. The expression level in Co Mo injected embryos was set to 1. (E) qRT-PCR analysis showing the knockdown efficiencies of the indicated siRNAs in H1703 cells (related to Figure 4F). Statistics was performed with three independent experiments (Mean ± SD, *p<0.05, **p<0.01, ***p<0.001). |
|
|
Figure 5. Znrf3 is coexpressed- and cooperates with ptprk in early Xenopus embryos.(A) Spatial expression of znrf3 in Xenopus tropicalis embryos at blastula (animal view), gastrula (hemisected dorsal to the right), neurula, tailbud and tadpole stages. ba, branchial arches; bp, blastopore; hb, hindbrain; mb, midbrain; nt, neural tube; ov, ovic vesicle; SO Spemann organizer. (B) Representative phenotypes of tailbud stage Xenopus tropicalis embryos injected animally at 2- to 8 cell stage as indicated. (C) Quantification of phenotypes shown in (B). The number of embryos per condition is indicated on the top. (D) Whole mount in situ hybridization of gsc and chordin in gastrula embryos (stage 10.5). Embryos were injected at 2- to 8 cell stage animally with Co or ptprk Mo with or without ZNRF3 RNA. For quantification, see Figure 5âfigure supplement 1C. (E) Topflash reporter assay performed with neurulae (stage 18). Embryos were injected animally at 2- to 8 cell stage as indicated. Suboptimal dosages of ptprk or znrf3 Mos were used in this experiment. Normalized Topflash activity of Co Mo injected embryos was set to 1. (F) Topflash reporter assay performed with neurulae (stage 18). Embryos were injected animally at 2- to 8 cell stage as indicated. Normalized Topflash activity of Co Mo injected embryos was set to 1. Data in all graphs are displayed as means ± SD, and show one representative of multiple independent experiments with three biological replicates. RLU, relative light units. **p<0.01.Figure 5âfigure supplement 1. Znrf3 Mo activates Wnt signaling in Xenopus embryos.(A) Knockdown efficiency of znrf3 Mo1 by qRT-PCR analysis. (B) Topflash reporter assay performed with neurula (stage 18) embryos. Embryos were injected animally at 2- to 8 cell stage as indicated. Normalized Topflash activity of Co Mo injected embryos was set to 1. (C) Quantification of the expression of the indicated genes by whole mount in situ hybridization in Figure 5D. Top, number of embryos. |
|
|
Figure 6. PTPRK binds ZNRF3 and promotes its dephosphorylation and lysosomal trafficking.(A) Co-immunoprecipitation experiments in HEK293T cells transfected with the indicated constructs and analyzed 48 hr after transfection. Data show a representative result from three independent experiments with similar outcomes. Asterisk, IgG light chain. (B) Tyrosine phosphorylation of ZNRF3 in TetOn ZNRF3-HA H1703 cells upon siRNA transfection with or without bafilomycin treatment overnight. Cells were treated with Dox for 48 hr before harvest. As a control, cells were treated with Na-pervanadate (PV, phosphatase inhibitor) for 30 min before harvest. Lysates were pulled down with anti-HA antibody or control IgG and subjected to Western blot analysis. Ratio, tyrosine phosphorylation of ZNRF3 normalized to total ZNRF3. (C) PTPRK-ZNRF3 interaction is vanadate-sensitive. Immobilized, immunoisolated V5-PTPRK from TetOn V5-PTPRK cells was incubated with total cell lysate from ZNRF3-HA expressing, Na-pervanadate treated cells. Bound ZNRF3-HA was eluted with 20 mM vanadate as indicated and eluate and beads were separated before Western blot analysis. (D) Cell surface biotinylation assay performed in TetOn ZNRF3-HA H1703 cells upon siRNA treatment. Cells were treated with Dox for 48 hr before harvest. After labeling surface proteins with Sulfo-NHS-LC-LC-Biotin, lysates were pulled down with streptavidin beads and subjected to Western blot analysis. Transferrin receptor (TfR), loading control for avidin pull down; ERK, total cell lysate (TCL) control. A representative result from three independent experiments with similar outcomes is shown. (E) Colocalization by immunofluorescence microscopy (IF) of ZNRF3 (Green) with LAMP1 (Red) in TetOn ZNRF3-HA H1703 cells upon siRNA treatment. Top, graph shows quantification of ZNRF3 colocalizing with LAMP1 (Mean ± SD, *p<0.05, student t-test). Bottom, representative IF images. Note that plasma membrane localized ZNRF3 cannot be seen due to low microscope laser power used for optimal vesicular co-localization in. Colocalization data are pooled from two independent experiments. (F) Western blot analysis of Dox treated TetOn ZNRF3-HA H1703 cells upon siRNA treatment. Ratio, LRP6 normalized to ERK. A representative result from three independent experiments with similar outcomes is shown. (G) Internalization and degradation assay of LRP6 in TetOn ZNRF3-HA H1703 cells treated as indicated. After labeling of surface proteins with Sulfo-NHS-SS-Biotin, endocytosis was induced by shifting cells to 37°C for the indicated times. At each indicated time point, cells were treated with MesNa to remove biotinylated surface proteins and then harvested. Cells were lysed, and biotinylated proteins were pulled down with streptavidin beads and analyzed with indicated antibodies. Lane 1: non-biotin treated control, Lane 3: MesNa treated after biotin labeling without inducing endocytosis (monitoring MesNa efficiency). The graph below shows avidin pulled down LRP6 levels normalized to total LRP6 levels (remaining internalized LRP6 at 30 min upon siCo was set to 1).Figure 6âfigure supplement 1. PTPRK regulates ZNRF3 trafficking but not its intrinsic E3 ligase activity.(A) Immunofluorescence microscopy showing colocalization of Myc-ZNRF3-ÎRING (green) with V5-PTPRK or V5-PTPRK-ÎC (red). Arrowheads indicate colocalization of PTPRK but not PTPRK-ÎC with ZNRF3 at the plasma membrane. (B) Tyrosine phosphorylation of ZNRF3 in TetOn ZNRF3-HA H1703 cells upon siRNA transfection and bafilomycin treatment overnight. (C) Cell surface biotinylation assay performed in H1703 cells transfected with Myc-ZNRF3-ÎR upon PTPRK knockdown. After labeling surface protein with NHS-LC-LC-Biotin, lyates were pulled down with streptavidin beads and subjected to Western blot analysis. Transferrin receptor (TfR), loading control for avidin pull down; ERK, total cell lysate (TCL) control. A representative result from three independent experiments with similar outcomes is shown. (D) Immunofluorescence microscopy (IF) showing the localization of ZNRF3-HA (green) upon PTPRK knockdown. Left, representative IF images. Arrowheads indicate plasma membrane ZNRF3. Right, quantification of membrane ZNRF3 positive cells (mean ± SD, **p<0.01, student t-test). The number of cells per condition is indicated at the bottom (n). (E) Ubiquitin Western blot of in vitro autoubiquitination assay for ZNRF3-HA upon PTPRK knockdown (left panel) or Na-pervanadate treatment (right panel) in TetOn ZNRF3-HA cells. After 48 hr of Dox treatment and 72 hr of PTPRK knockdown, immunoisolated ZNRF3 was incubated as indicated. Where indicated, cells were treated with 100 μM Na-pervanadate (PV) for 30 min before harvest. A representative result of two independent experiments with similar outcomes is shown. (F) Colocalization by immunofluorescence microscopy (IF) of ZNRF3 (Green) with Rab11 (recycling endosome marker, red) in Dox treated TetOn ZNRF3-HA H1703 cells upon siRNA treatment. Top, graph shows quantification of ZNRF3 colocalizing with LAMP1 (Mean ± SD, *p<0.05, student t-test). Bottom, representative IF images. Colocalization data are pooled from two independent experiments. (G) Western blot analysis of H1703 cells transfected as indicated. The graph shows quantification of V5-FZD5 normalized to ERK from three independent experiments (Mean ± SE, student t-test). The level of V5-FZD5 without ZNRF3-HA transfection was set to 100%. |
|
|
Figure 7. A "4Y" endocytic motif in ZNRF3 is regulated by PTPRK.(A) Multiple sequence alignment of ZNRF3 among different species. Y: Tyrosine, X: any amino acids, and Φ: hydrophobic bulky amino acids. (B) Subcellular localization by immunofluorescence microscopy (IF) of ZNRF3-HA or ZNRF3(Î4Y)-HA in H1703 cells with bafilomycin treatment overnight. Left, representative IF images. Arrowheads indicate membrane ZNRF3. Right, graph shows quantification of membrane ZNRF3 positive cells (Mean ± SD, **p<0.01, student t-test). The number of cells per condition is indicated at the bottom (n). IF data are pooled from two independent experiments. (C) Tyrosine phosphorylation of ZNRF3-HA or ZNRF3(Î4Y)-HA in H1703 cells upon siRNA transfection with bafilomycin treatment overnight. As a control, cells were treated with Na-pervanadate (PV, phosphatase inhibitor) for 30 min before harvest. Lysates were pulled down with anti-HA antibody or control IgG and subjected to Western blot analysis. (D) Western blot analysis of H1703 cells transfected as indicated. The graph below shows quantification of V5-FZD5 normalized to ERK. The level of V5-FZD5 without ZNRF3-HA transfection was set to 100%. A representative result from two independent experiments with similar outcomes is shown. (E) Topflash reporter assay in H1703 cells upon transfection of different amount of ZNRF3-HA or ZNRF3(Î4Y)-HA plasmids. All samples were Wnt3a treated for 24 hr before measurement. (Mean ± SD, n = 3; *p<0.05, ***p<0.001, student t-test). Topflash activity without ZNRF3 transfection was set to 100%. A representative result from three independent experiments with similar outcomes is shown.Figure 7âfigure supplement 1. The ZNRF3(4YF) mutant resists PTPRK regulation and shows reduced Wnt signal inhibition.(A) Tyrosine phosphorylation of the indicated Wt and mutant ZNRF3 constructs in H1703 cells upon siRNA transfection and bafilomycin treatment overnight. As control, cells were treated with Na-pervanadate (PV, phosphatase inhibitor) for 30 min before harvest. Lysates were pulled down with anti-HA antibody or control IgG and subjected to Western blot analysis. (B) Topflash reporter assay in H1703 cells upon transfection of different amount of the indicated Wt and mutant ZNRF3 plasmids. All samples were Wnt3a treated for 24 hr before measurement. (Mean ± SD, n = 3; **p<0.005, ***p<0.001, student t-test). Topflash activity without ZNRF3 transfection was set to 100%. A representative result from three independent experiments with similar outcomes is shown. |
|
|
Figure 7âfigure supplement 2. Model for PTPRK acting as Wnt inhibitor.Left, ZNRF3 E3 ubiquitin ligase reaching the plasma membrane continuously co-internalizes Wnt receptors, targets them for lysosomal degradation and reduces Wnt signaling. An unphosphorylated 4-tyrosine (â4Yâ) motif serves as ZNRF3 internalization signal. The phosphatase PTPRK dephosphorylates the 4Y motif and promotes ZNRF3 lysosomal targeting along with Wnt receptors to reduce Wnt signaling. Right, in the absence of PTPRK an unknown tyrosine kinase(s) phosphorylates the 4Y motif, impairs ZNRF3/Wnt receptor internalization, and increases Wnt signaling. Created with https://biorender.com/. |
|
|
Author response image 1. Internalization-motif mutants of ZNRF3 still bind PTPRK.CoIP experiments in HEK293T cells transfected with the indicated constructs. Data show a representative result from three independent experiments with similar outcomes. |
|
|
Author response image 2. PTPRK depletion does not induce LRP6 Tyrosine phosphorylation.Tyrosine phosphorylation of LRP6 in H1703 cells with Wnt3a treatment upon siRNA transfection. As a control, cells were treated with Na-pervanadate (PV, phosphatase inhibitor) for 30 min before harvest. Cells were treated with Wnt3a for the indicated time before harvest. Lysates were pulled down with anti-LRP6 antibody or control IgG and subjected to Western blot analysis. |
|
|
Author response image 3. siPTPRK does not affect tyrosine phosphorylation of RNF43.(A) Table showing the comparison of multiple sequence alignment result of ZNRF3 and RNF43 intracellular domain among different species including H. sapiens, M. musculus, R. norvegicus, C. lupus, D. rerio and X. tropicalis. (B) siPTPRK does not affect tyrosine phosphorylation of RNF43. Tyrosine phosphorylation of RNF43-FLAG in H1703 cells was analyzed in bafilomycin treated cells. As a control, cells were treated with Na-pervanadate (PV, phosphatase inhibitor) for 30 min before harvest. Lysates were pulled down with anti-FLAG antibody or control IgG and subjected to Western blot analysis. A representative result from two independent experiments with similar outcomes is shown. |
|
|
Author response image 4. PTPRK regulates tyrosine phosphorylation of ZNRF3 at the plasma membrane.Left: Tyrosine phosphorylation of ZNRF3 in TetOn ZNRF3-HA H1703 cells upon siRNA transfection after subcellular fractionation. As a control, cells were treated with Na-pervanadate (PV, phosphatase inhibitor) for 30 min before harvest. Right: Subcellular markers to validate fractionation. Lamin B: Nucleus; TfR (transferrin receptor), Plasma membrane; Tubulin, cytosol marker. Note that nuclear fraction displaying TfR signal indicates that nuclear fraction contains ER. Asterisk: non-specific bands from Na-pervanadate treatment. A representative result from two independent experiments with similar outcomes is shown. |
|
|
Author response image 5. PTPRK resides in secretory vesicles and endosomes.Immunofluorescence microscopy showing colocalization of ZNRF3-HA (green) with mCherry-Calreticulin, mCherry-TGNP or mCherry-Rab7a (red). |
|
|
Figure 1—figure supplement 1. Knockdown effects of siPTPRKs.(A) qRT-PCR analysis showing the knockdown efficiencies of siRNAs targeting PTPRK in H1703 cells (related to Figure 1A). (B) qRT-PCR analysis of PTPRK in H1703 cells upon siCo or siPTPRK transfection (related to Figure 1B). (C) Subcellular fractionation of H1703 cells upon siCo or siPTPRK transfection. Cells were treated with Wnt3a for 24 hr before harvest and fractionated into cytosol and membrane as indicated. Tubulin and Transferrin receptor (TfR) serve as the markers for cytosolic and membrane fractions, respectively. (D) Topflash reporter assay in H1703 cells transfected with V5-PTPRK or V5-PTPRK-DA. Cells were treated with control or Wnt3a for 24 hr before harvest and measured for Topflash activity (Mean ± SD). (E) Topflash reporter assay in HEK293T cells upon siRNA treatment. Cells were treated with control or dilutions of Wnt3a for 24 hr before harvest and measured for Topflash activity. (Mean ± SD, n = 3; n.s., not significant, student t-test). (F) qRT-PCR analysis of AXIN2 in H1703 cells treated with Wnt3a overnight upon indicated siRNA transfection. |
|
|
Figure 1. PTPRK inhibits Wnt/β-catenin signaling at the receptor level.(A) Topflash reporter assay in H1703 cells upon siCo, siPTPRK pool, or single siPTPRKs (siPTPRK #2, #5) transfection, with or without overnight Wnt3a treatment. Further experiments were done with siPTPRK #2. (B) qRT-PCR analysis of AXIN2 in H1703 cells treated with Wnt3a overnight upon siCo, siPTPRK transfection. (C) Western blot analysis of cytosolic β-catenin in H1703 cells upon siCo or siPTPRK transfection. Cells were treated with Wnt3a for 2 h before harvest and permeabilized with 0.05% Saponin. Ratio, relative levels of β-catenin normalized to ERK1/2. (D) Immunofluorescence microscopy showing nuclear and cytosolic β-catenin in H1703 cells. Cells were transfected with the indicated siRNAs and treated with Wnt3a for 2 h. siβ-catenin and siZNRF3/siRNF43 were used as negative and positive control, respectively. (E) Topflash reporter assay in H1703 cells upon PTPRK or β-catenin knockdown. Topflash activity was stimulated by overnight treatment of Wnt3a, or transfection of Wnt1/Fzd8/LRP6, Dvl1, or hβ-catenin S37A. Data in all graphs are displayed as means ± SD, and show one representative of multiple independent experiments with three biological replicates. RLU, relative light units. *p<0.05 **p<0.01, ***p<0.001. |
|
|
Figure 2—figure supplement 1. Spatiotemporal expression and knockdown of ptprk in Xenopus embryos.(A) qRT-PCR analysis displaying the relative expression levels of ptprk in Xenopus tropicalis embryos at indicated stages. Expression of ptprk was normalized to odc, and the level of ptprk at stage one was set to 1. Data show one representative result from three independent experiments. (B) Spatial expression patterns of ptprk in Xenopus embryos at 2 cell stage (animal view) and stage 7 (animal view). (C) Knockdown efficiency of ptprk Mo. qRT-PCR analysis was performed with uninjected tailbud stage Xenopus embryos, and embryos injected with Co or ptprk Mo. (D–E) Quantification of phenotypes shown in Figure 2E. The number of embryos is indicated on the top. (F) Scheme of validation of CRISPR/Cas9-mediated genome modification by restriction enzyme digestion. Xenopus ptprk sgRNA targeted sequence contains a StuI site. A pair of primers was designed to amplify a DNA fragment of 1009 bp. After StuI digestion, wild-type (WT) but not edited DNA, yields DNA fragments of 340 bp and 669 bp. (G) Agarose electrophoresis of StuI digested PCR products described in (F). n.c, negative control, PCR product of DNA from an uninjected tailbud embryo without DNA polymerase in PCR reaction. (H) Topflash reporter assay in H1703 cells transfected with indicated siRNA and siRNA resistant V5-PTPRK or V5-PTPRK-DA. Cells were treated with control or Wnt3a for 24 hr before measurement. (Mean ± SD, n = 3; **p<0.01, student t-test). |
|
|
Figure 2. Ptprk inhibits Wnt signaling in the Xenopus Spemann organizer.(A–C) In situ hybridization of ptprk in Xenopus tropicalis at (A) gastrula (hemisected, dorsal to the right), (B) neurula, tailbud, and tadpole stages, and in (C) transverse dissected tailbud embryo. ba, branchial arches; fb, forebrain; hb, hindbrain; mb, midbrain; no, notochord; nt, neural tube; ov, otic vesicle; SO, Spemann organizer. (D) Data mining using data from Ding et al. (2017), showing gene expression correlation with a dorsal/organizer marker chordin. Xenopus dkk1, frzb, and angptl4 are known organizer-expressed genes, gapdh is shown as housekeeping gene, and bambi is a ventrally expressed gene. (E) Representative phenotypes of tailbud stage Xenopus tropicalis embryos injected animally at 2- to 8 cell stage and as indicated. For quantification, see Figure 2—figure supplement 1D–E. (F–I) Topflash reporter assays performed with neurulae (stage 18). Embryos were injected animally at 2- to 8 cell stage (F, H–I) or one cell stage (G) with reporter plasmids and the indicated mRNAs and Mos. Domain structures of WT PTPRK and mutants are shown on top. Normalized Topflash activity of Co-injected embryos only with reporter plasmids was set to 1. Data in all graphs are displayed as means ± SD, and show one representative of multiple independent experiments with three biological replicates. RLU, relative light units. **p<0.01, ***p<0.001. |
|
|
Figure 3—figure supplement 1. Ptprk regulates Spemann organizer function.(A–F) Quantification of the expression of the indicated genes by whole mount in situ hybridization in Figure 3A–B. Top, number of embryos. (G) qRT-PCR analysis showing the knockdown efficiency of ptprk Mo in animal cap experiments in Figure 3C–E. Xenopus ptprk expression was normalized to odc. Expression in PPL and Co Mo injected embryos was set to 1. Data show one representative experiment of three independent experiments. |
|
|
Figure 3. Ptprk regulates Spemann organizer function by inhibiting Wnt signaling.(A) Whole mount in situ hybridization of chordin, gsc, and Xnot2 in gastrula embryos (stage 10.5). Embryos were injected at 2- to 8 cell stage animally with Co or ptprk Mo. For quantification, see Figure 3—figure supplement 1A–C. (B) Whole mount in situ hybridization of forebrain marker bf1 and otx2, and pan-neural marker sox3 in neurula embryos (stage 18). Embryos were injected at 4- to 8 cell stage unilaterally in animal blastomeres as indicated (β-galactosidase lineage tracer in red; arrows mark injected side). For quantification, see Figure 3—figure supplement 1D–F. (C–E) qRT-PCR analysis showing the expression of (C) bf1, (D) otx2 and (E) sox3 in Xenopus tropicalis animal cap explants. Embryos were injected animally at 2- to 8 cell stage as indicated. Xenopus noggin mRNA was injected to induce to neural fate in animal cap explants. Animal caps were excised at stage 9 and harvested at stage 18. The expression of each gene was normalized to odc. PPL and Co Mo injected embryos were set to 1. Data show one representative experiment of at least three independent experiments with similar results. |
|
|
Figure 4—figure supplement 1. PTPRK regulates LRP6 protein but not mRNA levels.(A) Quantification of relative LRP6 protein levels normalized to TfR in Figure 4B. (B) qRT-PCR analysis of LRP6 mRNA levels in H1703 cells transfected with indicated siRNAs. mRNA expression was normalized to GAPDH, and the level of LRP6 in siCo was set to 1. (C) Quantification of the protein levels of LRP6 (left) and phospho-LRP6 (pLRP6, right) shown in Figure 4C. Levels of LRP6 or phospho-LRP6 were normalized to eGFP and protein levels in Co Mo injected embryos were set to 1. (D) qRT-PCR analysis of ptprk and lrp6 mRNA levels in Co Mo or ptprk Mo injected neurula embryos (stage 18) in Figure 4C. The expression level in Co Mo injected embryos was set to 1. (E) qRT-PCR analysis showing the knockdown efficiencies of the indicated siRNAs in H1703 cells (related to Figure 4F). Statistics was performed with three independent experiments (Mean ± SD, *p<0.05, **p<0.01, ***p<0.001). |
|
|
Figure 4. PTPRK reduces FZD and LRP6 surface levels via ZNRF3/RNF43.(A) Western blots analysis of membrane fractions from H1703 cells upon siRNA transfection. Cells were treated with Wnt3a for the indicated time and were analyzed. Ratio, phospho-LRP6 (pLRP6) levels normalized to control (transferrin receptor, TfR). Representative results from three independent experiments with similar outcome are shown. (B) Western blots analysis of membrane fractions from H1703 cells upon siRNA transfection. Transferrin receptor (TfR) served as loading control. Representative results from three independent experiments with similar outcome are shown. (C) Western blot analysis of LRP6 and phospho-LRP6 (pLRP6) in neurula (stage 18) embryos injected with LRP6 RNA, eGFP RNA and indicated Mo. eGFP served as an injection control. Data show one representative result from three independent experiments. (D) Flow cytometric analysis of cell surface Frizzled receptors (pan-FZD antibody) in H1703 cells upon siRNA knockdown of PTPRK or ZNRF3/RNF43. Only live cells were counted and dead cells were gated out by propidium iodide (PI) staining. Dashed line, unstained H1703 cells. RFU, relative fluorescence units. (E) Flow cytometric analysis of cell surface LRP6 in H1703 cells upon siRNA depletion of PTPRK, ZNRF3/RNF43 or combination of both. Only live cells were counted and dead cells were gated out by propidium iodide (PI) staining. Dashed line, unstained H1703 cells. RFU, relative fluorescence units. (F) Topflash reporter assay in H1703 cells upon transfection of indicated siRNAs. Cells were treated with Wnt3a with or without 20 μM BIO for 24 hr before measurement. (Mean ± SD, n = 3; ***p<0.001, n.s., not significant, student t-test). RLU, relative light. |
|
|
Figure 5—figure supplement 1. Znrf3 Mo activates Wnt signaling in Xenopus embryos.(A) Knockdown efficiency of znrf3 Mo1 by qRT-PCR analysis. (B) Topflash reporter assay performed with neurula (stage 18) embryos. Embryos were injected animally at 2- to 8 cell stage as indicated. Normalized Topflash activity of Co Mo injected embryos was set to 1. (C) Quantification of the expression of the indicated genes by whole mount in situ hybridization in Figure 5D. Top, number of embryos. |
|
|
Figure 5. Znrf3 is coexpressed- and cooperates with ptprk in early Xenopus embryos.(A) Spatial expression of znrf3 in Xenopus tropicalis embryos at blastula (animal view), gastrula (hemisected dorsal to the right), neurula, tailbud and tadpole stages. ba, branchial arches; bp, blastopore; hb, hindbrain; mb, midbrain; nt, neural tube; ov, ovic vesicle; SO Spemann organizer. (B) Representative phenotypes of tailbud stage Xenopus tropicalis embryos injected animally at 2- to 8 cell stage as indicated. (C) Quantification of phenotypes shown in (B). The number of embryos per condition is indicated on the top. (D) Whole mount in situ hybridization of gsc and chordin in gastrula embryos (stage 10.5). Embryos were injected at 2- to 8 cell stage animally with Co or ptprk Mo with or without ZNRF3 RNA. For quantification, see Figure 5—figure supplement 1C. (E) Topflash reporter assay performed with neurulae (stage 18). Embryos were injected animally at 2- to 8 cell stage as indicated. Suboptimal dosages of ptprk or znrf3 Mos were used in this experiment. Normalized Topflash activity of Co Mo injected embryos was set to 1. (F) Topflash reporter assay performed with neurulae (stage 18). Embryos were injected animally at 2- to 8 cell stage as indicated. Normalized Topflash activity of Co Mo injected embryos was set to 1. Data in all graphs are displayed as means ± SD, and show one representative of multiple independent experiments with three biological replicates. RLU, relative light units. **p<0.01. |
|
|
Figure 6—figure supplement 1. PTPRK regulates ZNRF3 trafficking but not its intrinsic E3 ligase activity.(A) Immunofluorescence microscopy showing colocalization of Myc-ZNRF3-ΔRING (green) with V5-PTPRK or V5-PTPRK-ΔC (red). Arrowheads indicate colocalization of PTPRK but not PTPRK-ΔC with ZNRF3 at the plasma membrane. (B) Tyrosine phosphorylation of ZNRF3 in TetOn ZNRF3-HA H1703 cells upon siRNA transfection and bafilomycin treatment overnight. (C) Cell surface biotinylation assay performed in H1703 cells transfected with Myc-ZNRF3-ΔR upon PTPRK knockdown. After labeling surface protein with NHS-LC-LC-Biotin, lyates were pulled down with streptavidin beads and subjected to Western blot analysis. Transferrin receptor (TfR), loading control for avidin pull down; ERK, total cell lysate (TCL) control. A representative result from three independent experiments with similar outcomes is shown. (D) Immunofluorescence microscopy (IF) showing the localization of ZNRF3-HA (green) upon PTPRK knockdown. Left, representative IF images. Arrowheads indicate plasma membrane ZNRF3. Right, quantification of membrane ZNRF3 positive cells (mean ± SD, **p<0.01, student t-test). The number of cells per condition is indicated at the bottom (n). (E) Ubiquitin Western blot of in vitro autoubiquitination assay for ZNRF3-HA upon PTPRK knockdown (left panel) or Na-pervanadate treatment (right panel) in TetOn ZNRF3-HA cells. After 48 hr of Dox treatment and 72 hr of PTPRK knockdown, immunoisolated ZNRF3 was incubated as indicated. Where indicated, cells were treated with 100 μM Na-pervanadate (PV) for 30 min before harvest. A representative result of two independent experiments with similar outcomes is shown. (F) Colocalization by immunofluorescence microscopy (IF) of ZNRF3 (Green) with Rab11 (recycling endosome marker, red) in Dox treated TetOn ZNRF3-HA H1703 cells upon siRNA treatment. Top, graph shows quantification of ZNRF3 colocalizing with LAMP1 (Mean ± SD, *p<0.05, student t-test). Bottom, representative IF images. Colocalization data are pooled from two independent experiments. (G) Western blot analysis of H1703 cells transfected as indicated. The graph shows quantification of V5-FZD5 normalized to ERK from three independent experiments (Mean ± SE, student t-test). The level of V5-FZD5 without ZNRF3-HA transfection was set to 100%. |
|
|
Figure 6. PTPRK binds ZNRF3 and promotes its dephosphorylation and lysosomal trafficking.(A) Co-immunoprecipitation experiments in HEK293T cells transfected with the indicated constructs and analyzed 48 hr after transfection. Data show a representative result from three independent experiments with similar outcomes. Asterisk, IgG light chain. (B) Tyrosine phosphorylation of ZNRF3 in TetOn ZNRF3-HA H1703 cells upon siRNA transfection with or without bafilomycin treatment overnight. Cells were treated with Dox for 48 hr before harvest. As a control, cells were treated with Na-pervanadate (PV, phosphatase inhibitor) for 30 min before harvest. Lysates were pulled down with anti-HA antibody or control IgG and subjected to Western blot analysis. Ratio, tyrosine phosphorylation of ZNRF3 normalized to total ZNRF3. (C) PTPRK-ZNRF3 interaction is vanadate-sensitive. Immobilized, immunoisolated V5-PTPRK from TetOn V5-PTPRK cells was incubated with total cell lysate from ZNRF3-HA expressing, Na-pervanadate treated cells. Bound ZNRF3-HA was eluted with 20 mM vanadate as indicated and eluate and beads were separated before Western blot analysis. (D) Cell surface biotinylation assay performed in TetOn ZNRF3-HA H1703 cells upon siRNA treatment. Cells were treated with Dox for 48 hr before harvest. After labeling surface proteins with Sulfo-NHS-LC-LC-Biotin, lysates were pulled down with streptavidin beads and subjected to Western blot analysis. Transferrin receptor (TfR), loading control for avidin pull down; ERK, total cell lysate (TCL) control. A representative result from three independent experiments with similar outcomes is shown. (E) Colocalization by immunofluorescence microscopy (IF) of ZNRF3 (Green) with LAMP1 (Red) in TetOn ZNRF3-HA H1703 cells upon siRNA treatment. Top, graph shows quantification of ZNRF3 colocalizing with LAMP1 (Mean ± SD, *p<0.05, student t-test). Bottom, representative IF images. Note that plasma membrane localized ZNRF3 cannot be seen due to low microscope laser power used for optimal vesicular co-localization in. Colocalization data are pooled from two independent experiments. (F) Western blot analysis of Dox treated TetOn ZNRF3-HA H1703 cells upon siRNA treatment. Ratio, LRP6 normalized to ERK. A representative result from three independent experiments with similar outcomes is shown. (G) Internalization and degradation assay of LRP6 in TetOn ZNRF3-HA H1703 cells treated as indicated. After labeling of surface proteins with Sulfo-NHS-SS-Biotin, endocytosis was induced by shifting cells to 37°C for the indicated times. At each indicated time point, cells were treated with MesNa to remove biotinylated surface proteins and then harvested. Cells were lysed, and biotinylated proteins were pulled down with streptavidin beads and analyzed with indicated antibodies. Lane 1: non-biotin treated control, Lane 3: MesNa treated after biotin labeling without inducing endocytosis (monitoring MesNa efficiency). The graph below shows avidin pulled down LRP6 levels normalized to total LRP6 levels (remaining internalized LRP6 at 30 min upon siCo was set to 1). |
|
|
Figure 7—figure supplement 1. The ZNRF3(4YF) mutant resists PTPRK regulation and shows reduced Wnt signal inhibition.(A) Tyrosine phosphorylation of the indicated Wt and mutant ZNRF3 constructs in H1703 cells upon siRNA transfection and bafilomycin treatment overnight. As control, cells were treated with Na-pervanadate (PV, phosphatase inhibitor) for 30 min before harvest. Lysates were pulled down with anti-HA antibody or control IgG and subjected to Western blot analysis. (B) Topflash reporter assay in H1703 cells upon transfection of different amount of the indicated Wt and mutant ZNRF3 plasmids. All samples were Wnt3a treated for 24 hr before measurement. (Mean ± SD, n = 3; **p<0.005, ***p<0.001, student t-test). Topflash activity without ZNRF3 transfection was set to 100%. A representative result from three independent experiments with similar outcomes is shown. |
|
|
Figure 7—figure supplement 2. Model for PTPRK acting as Wnt inhibitor.Left, ZNRF3 E3 ubiquitin ligase reaching the plasma membrane continuously co-internalizes Wnt receptors, targets them for lysosomal degradation and reduces Wnt signaling. An unphosphorylated 4-tyrosine (‘4Y’) motif serves as ZNRF3 internalization signal. The phosphatase PTPRK dephosphorylates the 4Y motif and promotes ZNRF3 lysosomal targeting along with Wnt receptors to reduce Wnt signaling. Right, in the absence of PTPRK an unknown tyrosine kinase(s) phosphorylates the 4Y motif, impairs ZNRF3/Wnt receptor internalization, and increases Wnt signaling. Created with https://biorender.com/. |
|
|
Figure 7. A "4Y" endocytic motif in ZNRF3 is regulated by PTPRK.(A) Multiple sequence alignment of ZNRF3 among different species. Y: Tyrosine, X: any amino acids, and Φ: hydrophobic bulky amino acids. (B) Subcellular localization by immunofluorescence microscopy (IF) of ZNRF3-HA or ZNRF3(Δ4Y)-HA in H1703 cells with bafilomycin treatment overnight. Left, representative IF images. Arrowheads indicate membrane ZNRF3. Right, graph shows quantification of membrane ZNRF3 positive cells (Mean ± SD, **p<0.01, student t-test). The number of cells per condition is indicated at the bottom (n). IF data are pooled from two independent experiments. (C) Tyrosine phosphorylation of ZNRF3-HA or ZNRF3(Δ4Y)-HA in H1703 cells upon siRNA transfection with bafilomycin treatment overnight. As a control, cells were treated with Na-pervanadate (PV, phosphatase inhibitor) for 30 min before harvest. Lysates were pulled down with anti-HA antibody or control IgG and subjected to Western blot analysis. (D) Western blot analysis of H1703 cells transfected as indicated. The graph below shows quantification of V5-FZD5 normalized to ERK. The level of V5-FZD5 without ZNRF3-HA transfection was set to 100%. A representative result from two independent experiments with similar outcomes is shown. (E) Topflash reporter assay in H1703 cells upon transfection of different amount of ZNRF3-HA or ZNRF3(Δ4Y)-HA plasmids. All samples were Wnt3a treated for 24 hr before measurement. (Mean ± SD, n = 3; *p<0.05, ***p<0.001, student t-test). Topflash activity without ZNRF3 transfection was set to 100%. A representative result from three independent experiments with similar outcomes is shown. |
|
|
Author response image 1. Internalization-motif mutants of ZNRF3 still bind PTPRK.CoIP experiments in HEK293T cells transfected with the indicated constructs. Data show a representative result from three independent experiments with similar outcomes. |
|
|
Author response image 2. PTPRK depletion does not induce LRP6 Tyrosine phosphorylation.Tyrosine phosphorylation of LRP6 in H1703 cells with Wnt3a treatment upon siRNA transfection. As a control, cells were treated with Na-pervanadate (PV, phosphatase inhibitor) for 30 min before harvest. Cells were treated with Wnt3a for the indicated time before harvest. Lysates were pulled down with anti-LRP6 antibody or control IgG and subjected to Western blot analysis. |
|
|
Author response image 3. siPTPRK does not affect tyrosine phosphorylation of RNF43.(A) Table showing the comparison of multiple sequence alignment result of ZNRF3 and RNF43 intracellular domain among different species including H. sapiens, M. musculus, R. norvegicus, C. lupus, D. rerio and X. tropicalis. (B) siPTPRK does not affect tyrosine phosphorylation of RNF43. Tyrosine phosphorylation of RNF43-FLAG in H1703 cells was analyzed in bafilomycin treated cells. As a control, cells were treated with Na-pervanadate (PV, phosphatase inhibitor) for 30 min before harvest. Lysates were pulled down with anti-FLAG antibody or control IgG and subjected to Western blot analysis. A representative result from two independent experiments with similar outcomes is shown. |
|
|
Author response image 4. PTPRK regulates tyrosine phosphorylation of ZNRF3 at the plasma membrane.Left: Tyrosine phosphorylation of ZNRF3 in TetOn ZNRF3-HA H1703 cells upon siRNA transfection after subcellular fractionation. As a control, cells were treated with Na-pervanadate (PV, phosphatase inhibitor) for 30 min before harvest. Right: Subcellular markers to validate fractionation. Lamin B: Nucleus; TfR (transferrin receptor), Plasma membrane; Tubulin, cytosol marker. Note that nuclear fraction displaying TfR signal indicates that nuclear fraction contains ER. Asterisk: non-specific bands from Na-pervanadate treatment. A representative result from two independent experiments with similar outcomes is shown. |
|
|
Author response image 5. PTPRK resides in secretory vesicles and endosomes.Immunofluorescence microscopy showing colocalization of ZNRF3-HA (green) with mCherry-Calreticulin, mCherry-TGNP or mCherry-Rab7a (red). |
References [+] :
Anders,
Furin-, ADAM 10-, and gamma-secretase-mediated cleavage of a receptor tyrosine phosphatase and regulation of beta-catenin's transcriptional activity.
2006, Pubmed
Anders, Furin-, ADAM 10-, and gamma-secretase-mediated cleavage of a receptor tyrosine phosphatase and regulation of beta-catenin's transcriptional activity. 2006, Pubmed
Assem, Enhancing diagnosis, prognosis, and therapeutic outcome prediction of gliomas using genomics. 2012, Pubmed
Barnett, Neural induction and patterning by fibroblast growth factor, notochord and somite tissue in Xenopus. 1998, Pubmed , Xenbase
Berger, Parkinson's disease-associated receptor GPR37 is an ER chaperone for LRP6. 2017, Pubmed
Bonifacino, Signals for sorting of transmembrane proteins to endosomes and lysosomes. 2003, Pubmed
Borday, An atlas of Wnt activity during embryogenesis in Xenopus tropicalis. 2018, Pubmed , Xenbase
Bouwmeester, Cerberus is a head-inducing secreted factor expressed in the anterior endoderm of Spemann's organizer. 1996, Pubmed , Xenbase
Bradley, Positive and negative signals modulate formation of the Xenopus cement gland. 1996, Pubmed , Xenbase
Carmon, R-spondins function as ligands of the orphan receptors LGR4 and LGR5 to regulate Wnt/beta-catenin signaling. 2011, Pubmed
Chen, Receptor-type tyrosine-protein phosphatase κ directly targets STAT3 activation for tumor suppression in nasal NK/T-cell lymphoma. 2015, Pubmed
Christian, Interactions between Xwnt-8 and Spemann organizer signaling pathways generate dorsoventral pattern in the embryonic mesoderm of Xenopus. 1993, Pubmed , Xenbase
Ci, SCFβ-TRCP E3 ubiquitin ligase targets the tumor suppressor ZNRF3 for ubiquitination and degradation. 2018, Pubmed
Craig, Regulation of development and cancer by the R2B subfamily of RPTPs and the implications of proteolysis. 2015, Pubmed
Cruciat, Secreted and transmembrane wnt inhibitors and activators. 2013, Pubmed , Xenbase
Cruciat, Requirement of prorenin receptor and vacuolar H+-ATPase-mediated acidification for Wnt signaling. 2010, Pubmed , Xenbase
de Lau, Lgr5 homologues associate with Wnt receptors and mediate R-spondin signalling. 2011, Pubmed
Deng, MiR-146b-5p promotes metastasis and induces epithelial-mesenchymal transition in thyroid cancer by targeting ZNRF3. 2015, Pubmed
De Robertis, The establishment of Spemann's organizer and patterning of the vertebrate embryo. 2000, Pubmed , Xenbase
Ding, Bighead is a Wnt antagonist secreted by the Xenopus Spemann organizer that promotes Lrp6 endocytosis. 2018, Pubmed , Xenbase
Ding, Genome-wide analysis of dorsal and ventral transcriptomes of the Xenopus laevis gastrula. 2017, Pubmed , Xenbase
Fearnley, The homophilic receptor PTPRK selectively dephosphorylates multiple junctional regulators to promote cell-cell adhesion. 2019, Pubmed
Flavell, Down-regulation of the TGF-beta target gene, PTPRK, by the Epstein-Barr virus encoded EBNA1 contributes to the growth and survival of Hodgkin lymphoma cells. 2008, Pubmed
Gawantka, Antagonizing the Spemann organizer: role of the homeobox gene Xvent-1. 1995, Pubmed , Xenbase
Glinka, LGR4 and LGR5 are R-spondin receptors mediating Wnt/β-catenin and Wnt/PCP signalling. 2011, Pubmed , Xenbase
Glinka, Dickkopf-1 is a member of a new family of secreted proteins and functions in head induction. 1998, Pubmed , Xenbase
Green, The role of Ryk and Ror receptor tyrosine kinases in Wnt signal transduction. 2014, Pubmed
Gurney, Wnt pathway inhibition via the targeting of Frizzled receptors results in decreased growth and tumorigenicity of human tumors. 2012, Pubmed
Han, R-Spondin chromosome rearrangements drive Wnt-dependent tumour initiation and maintenance in the intestine. 2017, Pubmed
Hao, Control of Wnt Receptor Turnover by R-spondin-ZNRF3/RNF43 Signaling Module and Its Dysregulation in Cancer. 2016, Pubmed
Hao, ZNRF3 promotes Wnt receptor turnover in an R-spondin-sensitive manner. 2012, Pubmed , Xenbase
Harland, Formation and function of Spemann's organizer. 1997, Pubmed
Hassler, Kremen is required for neural crest induction in Xenopus and promotes LRP6-mediated Wnt signaling. 2007, Pubmed , Xenbase
Heasman, Beta-catenin signaling activity dissected in the early Xenopus embryo: a novel antisense approach. 2000, Pubmed , Xenbase
Hemmati-Brivanlou, Region-specific neural induction of an engrailed protein by anterior notochord in Xenopus. 1990, Pubmed , Xenbase
Hoppler, BMP-2/-4 and Wnt-8 cooperatively pattern the Xenopus mesoderm. 1998, Pubmed , Xenbase
Hoppler, Expression of a dominant-negative Wnt blocks induction of MyoD in Xenopus embryos. 1996, Pubmed , Xenbase
Jiang, Cloning and characterization of R-PTP-kappa, a new member of the receptor protein tyrosine phosphatase family with a proteolytically cleaved cellular adhesion molecule-like extracellular region. 1993, Pubmed , Xenbase
Kiecker, A morphogen gradient of Wnt/beta-catenin signalling regulates anteroposterior neural patterning in Xenopus. 2001, Pubmed , Xenbase
Kim, Wnt/β-catenin signalling: from plasma membrane to nucleus. 2013, Pubmed
Kirsch, Angiopoietin-like 4 Is a Wnt Signaling Antagonist that Promotes LRP6 Turnover. 2017, Pubmed , Xenbase
Koo, Tumour suppressor RNF43 is a stem-cell E3 ligase that induces endocytosis of Wnt receptors. 2012, Pubmed
Lamb, Neural induction by the secreted polypeptide noggin. 1993, Pubmed , Xenbase
Lee, Mining the function of protein tyrosine phosphatases in health and disease. 2015, Pubmed
Leyns, Frzb-1 is a secreted antagonist of Wnt signaling expressed in the Spemann organizer. 1997, Pubmed , Xenbase
Liao, Null mutations in human and mouse orthologs frequently result in different phenotypes. 2008, Pubmed
Lindquist, Possible transition-state analogs for ribonuclease. The complexes of uridine with oxovanadium(IV) ion and vanadium(V) ion. 1973, Pubmed
March, Insertional mutagenesis identifies multiple networks of cooperating genes driving intestinal tumorigenesis. 2011, Pubmed
McArdle, Protein tyrosine phosphatase genes downregulated in melanoma. 2001, Pubmed
Mo, Identification of novel AR-targeted microRNAs mediating androgen signalling through critical pathways to regulate cell viability in prostate cancer. 2013, Pubmed
Naito, CRISPRdirect: software for designing CRISPR/Cas guide RNA with reduced off-target sites. 2015, Pubmed
Nakayama, Cas9-based genome editing in Xenopus tropicalis. 2014, Pubmed , Xenbase
Niehrs, On growth and form: a Cartesian coordinate system of Wnt and BMP signaling specifies bilaterian body axes. 2010, Pubmed
Niehrs, Regionally specific induction by the Spemann-Mangold organizer. 2004, Pubmed
Niehrs, The complex world of WNT receptor signalling. 2012, Pubmed
Novellino, PTPRK negatively regulates transcriptional activity of wild type and mutated oncogenic beta-catenin and affects membrane distribution of beta-catenin/E-cadherin complexes in cancer cells. 2008, Pubmed
Nusse, Wnt/β-Catenin Signaling, Disease, and Emerging Therapeutic Modalities. 2017, Pubmed
Park, Differential activities and mechanisms of the four R-spondins in potentiating Wnt/β-catenin signaling. 2018, Pubmed
Petersen, Wnt signaling and the polarity of the primary body axis. 2009, Pubmed
Qiao, Effects of miR‑106b‑3p on cell proliferation and epithelial‑mesenchymal transition, and targeting of ZNRF3 in esophageal squamous cell carcinoma. 2019, Pubmed
Roelink, Floor plate and motor neuron induction by vhh-1, a vertebrate homolog of hedgehog expressed by the notochord. 1994, Pubmed , Xenbase
Roush, Tyrosine-based membrane protein sorting signals are differentially interpreted by polarized Madin-Darby canine kidney and LLC-PK1 epithelial cells. 1998, Pubmed
Royle, Non-canonical YXXGPhi endocytic motifs: recognition by AP2 and preferential utilization in P2X4 receptors. 2005, Pubmed
Scrima, The nonreceptor-type tyrosine phosphatase PTPN13 is a tumor suppressor gene in non-small cell lung cancer. 2012, Pubmed
Sekine, Frequent PTPRK-RSPO3 fusions and RNF43 mutations in colorectal traditional serrated adenoma. 2016, Pubmed
Seshagiri, Recurrent R-spondin fusions in colon cancer. 2012, Pubmed
Shi, ZNRF3 contributes to the growth of lung carcinoma via inhibiting Wnt/β-catenin pathway and is regulated by miR-93. 2016, Pubmed
Shimozato, Receptor-type protein tyrosine phosphatase κ directly dephosphorylates CD133 and regulates downstream AKT activation. 2015, Pubmed
Skarnes, Capturing genes encoding membrane and secreted proteins important for mouse development. 1995, Pubmed
Starr, A transposon-based genetic screen in mice identifies genes altered in colorectal cancer. 2009, Pubmed
Stemmer, CCTop: An Intuitive, Flexible and Reliable CRISPR/Cas9 Target Prediction Tool. 2015, Pubmed
Suárez Pestana, The transmembrane protein tyrosine phosphatase RPTPsigma modulates signaling of the epidermal growth factor receptor in A431 cells. 1999, Pubmed
Sudhir, Loss of PTPRM associates with the pathogenic development of colorectal adenoma-carcinoma sequence. 2015, Pubmed
Sun, Protein tyrosine phosphatase kappa (PTPRK) is a negative regulator of adhesion and invasion of breast cancer cells, and associates with poor prognosis of breast cancer. 2013, Pubmed
Tarcic, An unbiased screen identifies DEP-1 tumor suppressor as a phosphatase controlling EGFR endocytosis. 2009, Pubmed
Tonks, Protein tyrosine phosphatases: from genes, to function, to disease. 2006, Pubmed
Tsukiyama, Molecular Role of RNF43 in Canonical and Noncanonical Wnt Signaling. 2015, Pubmed
van Eekelen, Identification and expression of the family of classical protein-tyrosine phosphatases in zebrafish. 2010, Pubmed
Wang, Protein tyrosine phosphatase receptor S acts as a metastatic suppressor in hepatocellular carcinoma by control of epithermal growth factor receptor-induced epithelial-mesenchymal transition. 2015, Pubmed
Wilson, The mechanisms of dorsoventral patterning in the vertebrate neural tube. 2005, Pubmed
Xu, Receptor-type protein-tyrosine phosphatase-kappa regulates epidermal growth factor receptor function. 2005, Pubmed
Yamada, Control of cell pattern in the developing nervous system: polarizing activity of the floor plate and notochord. 1991, Pubmed
Yamamoto, Shisa promotes head formation through the inhibition of receptor protein maturation for the caudalizing factors, Wnt and FGF. 2005, Pubmed , Xenbase
Zhan, Wnt signaling in cancer. 2017, Pubmed
Zhang, RNF146 is a poly(ADP-ribose)-directed E3 ligase that regulates axin degradation and Wnt signalling. 2011, Pubmed
Zhang, Notum is required for neural and head induction via Wnt deacylation, oxidation, and inactivation. 2015, Pubmed , Xenbase
Zhang, Tiki1 is required for head formation via Wnt cleavage-oxidation and inactivation. 2012, Pubmed , Xenbase
Zhang, Interaction of CTLA-4 with AP50, a clathrin-coated pit adaptor protein. 1997, Pubmed
Zhao, Identification and functional characterization of paxillin as a target of protein tyrosine phosphatase receptor T. 2010, Pubmed
