Click here to close Hello! We notice that you are using Internet Explorer, which is not supported by Xenbase and may cause the site to display incorrectly. We suggest using a current version of Chrome, FireFox, or Safari.
XB-ART-56711
Gen Comp Endocrinol 2020 Jun 01;292:113441. doi: 10.1016/j.ygcen.2020.113441.
Show Gene links Show Anatomy links

Stem cell development involves divergent thyroid hormone receptor subtype expression and epigenetic modifications in the Xenopus metamorphosing intestine.



???displayArticle.abstract???
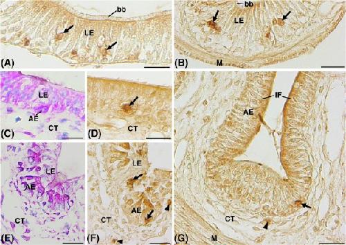
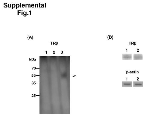
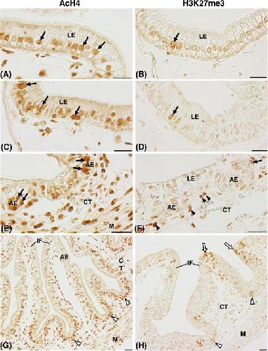
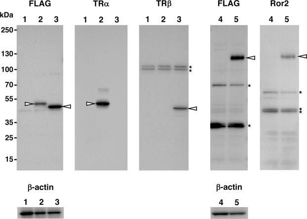
In the intestine during metamorphosis of the frog Xenopus laevis, most of the larval epithelial cells are induced to undergo apoptosis by thyroid hormone (TH), and under continued TH action, the remaining epithelial cells dedifferentiate into stem cells (SCs), which then newly generate an adult epithelium analogous to the mammalian intestinal epithelium. Previously, we have shown that the precursors of the SCs that exist in the larval epithelium as differentiated absorptive cells specifically express receptor tyrosine kinase-like orphan receptor 2 (Ror2). By using Ror2 as a marker, we have immunohistochemically shown here that these SC precursors, but not the larval epithelial cells destined to die by apoptosis, express TH receptor α (TRα). Upon initiation of TH-dependent remodeling, TRα expression remains restricted to the SCs as well as proliferating adult epithelial primordia derived from them. As intestinal folds form, TRα expression becomes localized in the trough of the folds where the SCs reside. In contrast, TRβ expression is transiently up-regulated in the entire intestine concomitantly with the increase of endogenous TH levels and is most highly expressed in the developing adult epithelial primordia. Moreover, we have shown here that global histone H4 acetylation is enhanced in the SC precursors and adult primordia including the SCs, while tri-methylation of histone H3 lysine 27 is lacking in those cells during metamorphosis. Our results strongly suggest distinct roles of TRα and TRβ in the intestinal larval-to-adult remodeling, involving distinctive epigenetic modifications in the SC lineage.

???displayArticle.pubmedLink??? 32084349
???displayArticle.link??? Gen Comp Endocrinol


Species referenced: Xenopus laevis
Genes referenced: h4c4 ror2 thra thrb
GO keywords: metamorphosis [+]
???displayArticle.antibodies??? Ror2 Ab2 Thra Ab1 Thrb Ab1


???attribute.lit??? ???displayArticles.show???