Click here to close Hello! We notice that you are using Internet Explorer, which is not supported by Xenbase and may cause the site to display incorrectly. We suggest using a current version of Chrome, FireFox, or Safari.
XB-ART-57185
EMBO J 2020 Jun 17;3912:e103558. doi: 10.15252/embj.2019103558.
Show Gene links Show Anatomy links

Dynamic properties of noise and Her6 levels are optimized by miR-9, allowing the decoding of the Her6 oscillator.

Soto X, Biga V, Kursawe J, Lea R, Doostdar P, Thomas R, Papalopulu N.


???displayArticle.abstract???
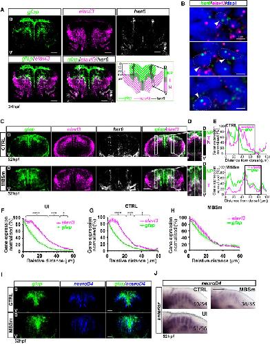
Noise is prevalent in biology and has been widely quantified using snapshot measurements. This static view obscures our understanding of dynamic noise properties and how these affect gene expression and cell state transitions. Using a CRISPR/Cas9 Zebrafish her6::Venus reporter combined with mathematical and in vivo experimentation, we explore how noise affects the protein dynamics of Her6, a basic helix-loop-helix transcriptional repressor. During neurogenesis, Her6 expression transitions from fluctuating to oscillatory at single-cell level. We identify that absence of miR-9 input generates high-frequency noise in Her6 traces, inhibits the transition to oscillatory protein expression and prevents the downregulation of Her6. Together, these impair the upregulation of downstream targets and cells accumulate in a normally transitory state where progenitor and early differentiation markers are co-expressed. Computational modelling and double smFISH of her6 and the early neurogenesis marker, elavl3, suggest that the change in Her6 dynamics precedes the downregulation in Her6 levels. This sheds light onto the order of events at the moment of cell state transition and how this is influenced by the dynamic properties of noise. Our results suggest that Her/Hes oscillations, facilitated by dynamic noise optimization by miR-9, endow progenitor cells with the ability to make a cell state transition.

???displayArticle.pubmedLink??? 32395844
???displayArticle.pmcLink??? PMC7298297
???displayArticle.link??? EMBO J
???displayArticle.grants??? [+]

Species referenced: Xenopus
Genes referenced: elavl3


???attribute.lit??? ???displayArticles.show???
References [+] :
Allison, Identification and Single-Cell Functional Characterization of an Endodermally Biased Pluripotent Substate in Human Embryonic Stem Cells. 2018, Pubmed