Click here to close
Hello! We notice that you are using Internet Explorer, which is not supported by Xenbase and may cause the site to display incorrectly.
We suggest using a current version of Chrome,
FireFox, or Safari.
???displayArticle.abstract???
Intelectins (Itlns) are secretory lectins found in several chordate species that recognize carbohydrates on the bacterial cell surface depending on Ca2+ . In newly hatched larvae of Rana ornativentris (R. orn), Bufo japonicus formosus (B. jpn), and Cynops pyrrhogaster (C. pyr), an anti-Itln monoclonal antibody (mAb) labeled a subset of epidermal cells in whole-mount immunocytochemical assays. In western blot analyses, the mAb identified protein bands at approximately 33-37 kDa in the larval extracts and concentrated larval culture media. Using RT-PCR and RACE techniques, we isolated cDNAs from newly hatched larvae that encoded proteins of 343 (R. orn), 336 (B. jpn), and 337 (C. pyr) amino acids having 70%, 71%, and 60% identities with that of the Xenopus laevis embryonic epidermal lectin (XEEL), respectively. The proteins, designated REEL, BEEL, and CEEL, showed characteristics conserved among reported Itln proteins, and their amino acid sequences following the signal peptides were identical to those of the N-terminal peptides determined on Itln proteins in the respective larval extracts. Recombinant REEL (rREEL), rBEEL, and rCEEL proteins produced by HEK-293T cells were homo-oligomers of 34-37 kDa subunit peptides, which were similar to the Itlns found in the newly hatched larvae. The rEELs showed carbohydrate-binding specificities similar to that of XEEL and agglutinated Escherichia coli and Staphylococcus aureus cells depending on Ca2+ . These results suggest that REEL, BEEL, and CEEL are Itlns produced and secreted by epidermal cells of R. orn, B. jpn, and C. pyr larvae, respectively, and that Itlns have a conserved role as pathogen recognition molecules in the larval innate immune system.
Fig. 1.
Whole-mount immunocytochemical staining of Itlns in larvae. R. orn (AâD), B. jpn (EâH), and C. pyr (IâL) larvae were fixed, bleached, and then incubated with the anti-Itln 3A8 mAb (B, D, F, H, J, L) or a control mouse serum (A, C, E, G, I, K). The immunoreactivities were visualized with anti-mouse IgG-HRPO conjugate and H2O2/DAB. The micrographs are lateral views of the larvae with their head to the left. The arrows indicate individual ciliated cells.
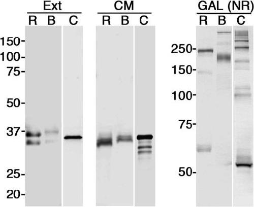
Fig. 2.
Western blot analyses of Itlns in R. orn, B. jpn, and C. pyr larvae. Extracts (Ext; 50 µg protein/lane) of R. orn (R), B. jpn (B), and C. pyr (C) larvae were examined by western blotting using 3A8 mAb (left panel). The larval culture media (CM) were concentrated and assayed by western blotting (central panel). Larval extracts were incubated with Gal-Sepharose in TBS-Ca and the bound proteins were fractionated by SDS-PAGE under non-reducing conditions (GAL (NR); right panel). Numbers on the left of the blots are the sizes (kDa) of the marker proteins.
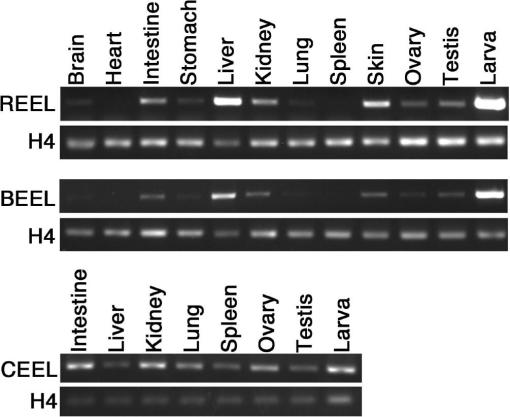
Fig. 4.
Tissue distribution of REEL, BEEL, and CEEL transcripts. RT-PCR assays were performed using the total RNA fractions isolated from the adult tissues indicated and the whole larvae of R. orn, B. jpn, and C. pyr. Histone H4 (H4) was a reverse transcription control.
Fig. 5.
Production and characterization of rREEL, rBEEL, and rCEEL. (A) Examination of rREEL, rBEEL, and rCEEL in the culture supernatants of HEK-293T cells. The culture supernatants (Sup) of the cells transfected with the pCEP-REEL (R), pCEP-BEEL (B), pCEP-CEEL (C), or control pCEP vector (V) were fractionated by SDS-PAGE under reducing (R; left panel) or nonreducing (NR; right panel) conditions and analyzed by western botting using the 3A8 mAb. (B) Glycopeptidase F treatment of rREEL, rBEEL, and rCEEL. The culture supernatants containing rREEL (R), rBEEL (B), and rCEEL (C) were incubated with (+) or without (â) glycopeptidase F (PNGase) and examined by western blotting. (C) Carbohydrate specificities of rREEL, rBEEL,and rCEEL. Gal-Sepharose beads were incubated with the culture supernatants containing rREEL, rBEEL, or rCEEL, and after washing were reincubated in TBS-EGTA (EGTA) or TBS-Ca plus 100 mM saccharides or amino sugars as indicated. rREEL, rBEEL, and rCEEL in the eluates were examined by western blotting. (D) Bacterial binding assays of rREEL, rBEEL, and rCEEL. Fixed E. coli or S. aureus cells were incubated with the culture supernatants containing rREEL, rBEEL, or rCEEL in TBS (None), TBS-EGTA (EGTA), or TBS-Ca containing either Xyl, Glc, LPS, or PGN. After washing, the bound rREEL, rBEEL, and rCEEL were examined by western blotting.
Fig. 6.
Agglutination of bacteria with rREEL, rBEEL, and rCEEL. Fixed E. coli or S. aur cells were incubated in TBS, TBS-Ca, or TBS-Ca containing either EGTA, Xyl, or Glc. After incubation, the bacteria were observed under a microscope with phase contrast optics.
Supplementary Figure S1. Immunoreactivities of the anti-Itln mAb 3A8. (A) Western blot assays. Lysates of 293T cells containing rREEL, rBEEL, and rCEEL were tested by western blotting using the anti-XEEL mAb 5G7 and anti-Itln mAb 3A8. (B) Whole mount immunocyto- chemical assays. Newly hatched X. laevis larvae were performed using the 5G7 mAb, 3A8 mAb, and 3A8 mAb preabsorbed with the Itln peptide that was used as the antigen for mAb production. A normal mouse serum was used as the control.