Click here to close
Hello! We notice that you are using Internet Explorer, which is not supported by Xenbase and may cause the site to display incorrectly.
We suggest using a current version of Chrome,
FireFox, or Safari.
A nonsense variant in Rap Guanine Nucleotide Exchange Factor 5 (RAPGEF5) is associated with equine familial isolated hypoparathyroidism in Thoroughbred foals.
???displayArticle.abstract???
Idiopathic hypocalcemia in Thoroughbred (TB) foals causes tetany and seizures and is invariably fatal. Based upon the similarity of this disease with human familial hypoparathyroidism and occurrence only in the TB breed, we conducted a genetic investigation on two affected TB foals. Familial hypoparathyroidism was identified, and pedigree analysis suggested an autosomal recessive (AR) mode of inheritance. We performed whole-genome sequencing of the two foals, their unaffected dams and four unaffected, unrelated TB horses. Both homozygosity mapping and an association analysis were used to prioritize potential genetic variants. Of the 2,808 variants that significantly associated with the phenotype using an AR mode of inheritance (P<0.02) and located within a region of homozygosity, 1,507 (54%) were located in a 9.7 Mb region on chr4 (44.9-54.6 Mb). Within this region, a nonsense variant (RAPGEF5 c.2624C>A,p.Ser875*) was significantly associated with the hypoparathyroid phenotype (Pallelic = 0.008). Affected foals were homozygous for the variant, with two additional affected foals subsequently confirmed in 2019. Necropsies of all affected foals failed to identify any histologically normal parathyroid glands. Because the nonsense mutation in RAPGEF5 was near the C-terminal end of the protein, the impact on protein function was unclear. Therefore, we tested the variant in our Xenopus overexpression model and demonstrated RAPGEF5 loss-of-function. This RAPGEF5 variant represents the first genetic variant for hypoparathyroidism identified in any domestic animal species.
Fig 5. Overexpression model in Xenopus identifies the equine RAPGEF5 variant as a loss-of-function allele.
Overexpression of equine RAPGEF5 mRNA affects embryonic development in Xenopus tropicalis; however, the equine S875* RAPGEF5 variant has a dramatically diminished effect. (A) Normal development in uninjected control X. tropicalis embryos. All embryos are lateral views with anterior to the left and dorsal to the top. (B) Mildly affected development. Embryos display compromised elongation along anterior-posterior axis and a delayed formation of eyes and tail. (C) Moderately affected development. Most notably in this category embryos fail to form head structures (D) Severely affected development. Embryos display incomplete blastopore closure, incomplete neurulation, compromised elongation along anterior-posterior axis, and absence of distinguishable head structures. (E) Quantification of the phenotypes of the uninjected, equine RAPGEF5 mRNA injected, and equine S875* RAPGEF5 mRNA injected embryos classified as wildtype, mild, moderate, and severe at stage 28. Data is a compilation of three independent experiments. (*** p<0.0005). A = anterior, P = Posterior, D = Dorsal, Black triangle = filled arrowhead points to location of eye.
https://doi.org/10.1371/journal.pgen.1009028.g005
Fig 1. Pedigree of proband Thoroughbred foals affected with idiopathic hypocalcemia.A pedigree analysis was performed on the two proband affected foals (Cases #1 and 2) using Pedigraph (8). The sire of one affected foal was found to be the other affected foal’s grandsire (purple circle). Additionally, foals were related on the dam lines within six generations (green circle). Circles = females, squares = males, red = affected foals, yellow = unaffected horses, black = horses unavailable for evaluation.
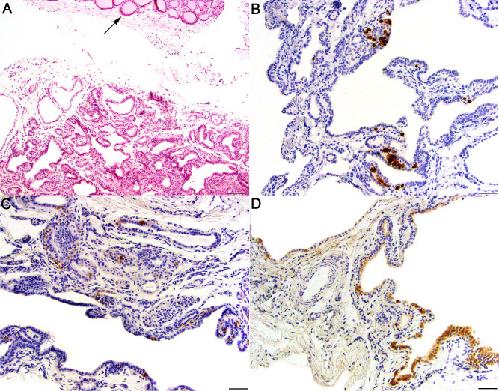
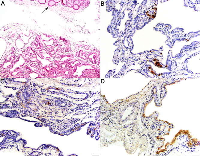
Fig 2. Necropsy of Case #3.Normal parathyroid was not observed histologically. However, a cystic structure was identified adjacent to the thyroid gland (A; arrow = thyroid gland, scale bar = 100 μm;), B-D This cystic structure had scattered immunoreactivity for (B) PTH, (C) calcitonin and (D) thyroglobulin (scale bar = 50 μm).
Fig 3. Alignment of protein sequences between Xenopus tropicalis, Equus caballus, Mus musculus and Homo sapiens.RAPGEF5 protein sequences from the two predicted equine NCBI proteins (isoform X1 = XP_023495120.1 and isoform X2 = XP_023495121.1), three human RefSeq proteins that extended to the 3’ end of the equine annotated protein (NP_036426.4 = isoform 1, NP_001354529 = isoform 2 and NP_001354531.1 = isoform 4), the only mouse RefSeq protein (NP_787126.3 = isoform 2) and four predicted Xenopus tropicalis (isoform 2 = XP_031759510.1, isoform 1 = XP_031759509.1, isoform 3 = XP_017950421.2 and isoform 4 = XP_031759511.1) proteins were aligned, demonstrating strong conservation even within alternate isoforms of RAPGEF5. The serine residue that is altered with RAPGEF5 c.2624C>A,p.Ser875* is highlighted with a black arrow toward the end of the sequence alignment.
Fig 4. RAPGEF5 transcript expression across tissues in horse (A, B) and human (C).In 45 equine tissues with publicly available RNA-sequencing data from the FAANG initiative, the two NCBI annotated equine transcripts of RAPGEF5 (A) XM_023639352.1 and (B) XM_023639353.1 were most highly expressed in brain and spinal cord (green; median and 95% confidence interval graphed for n = 2 horses). Parathyroidtissue was not included in this biobank. (C) In humans, RAPGEF5 transcript expression was enriched in the nervous system (green) and endocrine tissues (purple). Parathyroid gland had the highest RNA expression of RAPGEF5. FPKM = fragments per kilobase of transcript per million mapped reads, Nx = consensus normalized expression. (D) RAPGEF5 is expressed in parathyroidtissue from a healthy control foal (primer sets spanning exons 19â20; expected product size 178 bp). Two primer sets, spanning exons 3â4 and 4â5 from CASR, were used as an internal control to confirm parathyroidtissue.
Altschul,
Basic local alignment search tool.
1990, Pubmed
Altschul,
Basic local alignment search tool.
1990,
Pubmed Berman,
The Protein Data Bank.
2000,
Pubmed Beyer,
Idiopathic hypocalcemia in foals.
1997,
Pubmed Burns,
Generation of an equine biobank to be used for Functional Annotation of Animal Genomes project.
2018,
Pubmed Cingolani,
Using Drosophila melanogaster as a Model for Genotoxic Chemical Mutational Studies with a New Program, SnpSift.
2012,
Pubmed Cingolani,
A program for annotating and predicting the effects of single nucleotide polymorphisms, SnpEff: SNPs in the genome of Drosophila melanogaster strain w1118; iso-2; iso-3.
2012,
Pubmed del Viso,
Generating diploid embryos from Xenopus tropicalis.
2012,
Pubmed
,
Xenbase Dobin,
STAR: ultrafast universal RNA-seq aligner.
2013,
Pubmed Glinka,
Dickkopf-1 is a member of a new family of secreted proteins and functions in head induction.
1998,
Pubmed
,
Xenbase Griffin,
RAPGEF5 Regulates Nuclear Translocation of β-Catenin.
2018,
Pubmed
,
Xenbase Günther,
Genetic ablation of parathyroid glands reveals another source of parathyroid hormone.
2000,
Pubmed Hornbeck,
PhosphoSitePlus, 2014: mutations, PTMs and recalibrations.
2015,
Pubmed Kalbfleisch,
Improved reference genome for the domestic horse increases assembly contiguity and composition.
2018,
Pubmed Khokha,
Techniques and probes for the study of Xenopus tropicalis development.
2002,
Pubmed
,
Xenbase Lainez,
New TRPM6 missense mutations linked to hypomagnesemia with secondary hypocalcemia.
2014,
Pubmed Li,
The Sequence Alignment/Map format and SAMtools.
2009,
Pubmed Li,
Fast and accurate short read alignment with Burrows-Wheeler transform.
2009,
Pubmed MacLeod,
Extracellular calcium-sensing receptor/PTH knockout mice colons have increased Wnt/β-catenin signaling, reduced non-canonical Wnt signaling, and increased susceptibility to azoxymethane-induced aberrant crypt foci.
2013,
Pubmed Nesbit,
Mutations affecting G-protein subunit α11 in hypercalcemia and hypocalcemia.
2013,
Pubmed Patro,
Salmon provides fast and bias-aware quantification of transcript expression.
2017,
Pubmed Purcell,
PLINK: a tool set for whole-genome association and population-based linkage analyses.
2007,
Pubmed Robinson,
Integrative genomics viewer.
2011,
Pubmed Romero,
Parathyroid hormone receptor directly interacts with dishevelled to regulate beta-Catenin signaling and osteoclastogenesis.
2010,
Pubmed Roszko,
Autosomal Dominant Hypocalcemia (Hypoparathyroidism) Types 1 and 2.
2016,
Pubmed Tian,
Parathyroid hormone regulates osteoblast differentiation in a Wnt/β-catenin-dependent manner.
2011,
Pubmed Untergasser,
Primer3--new capabilities and interfaces.
2012,
Pubmed