Click here to close
Hello! We notice that you are using Internet Explorer, which is not supported by Xenbase and may cause the site to display incorrectly.
We suggest using a current version of Chrome,
FireFox, or Safari.
???displayArticle.abstract???
We previously identified the protein Lbh as necessary for cranial neural crest (CNC) cell migration in Xenopus through the use of morpholinos. However, Lbh is a maternally deposited protein and morpholinos achieve knockdowns through prevention of translation. In order to investigate the role of Lbh in earlier embryonic events, we employed the new technique "Trim-Away" to degrade this maternally deposited protein. Trim-Away utilizes the E3 ubiquitin ligase trim21 to degrade proteins targeted with an antibody and was developed in mammalian systems. Our results show that Xenopus is amenable to the Trim-Away technique. We also show that early knockdown of Lbh in Xenopus results in defects in gastrulation that present with a decrease in fibronectin matrix assembly, an increased in mesodermal cell migration and decrease in endodermal cell cohesion. We further show that the technique is also effective on a second abundant maternal protein PACSIN2. We discuss potential advantages and limit of the technique in Xenopus embryos as well as the mechanism of gastrulation inhibition.
Figure 1. Comparing the efficiency and specificity of Trim-Away knock down to Morpholino. (A) Western blot performed on protein extract from wild-type versus Lbh Trimmed embryos at various stages. Trimmed embryos were injected with 1 ng of trim21 mRNA and 37 ng of purified 2B8 at the one-cell stage. The GAPDH blot serves as a loading control. (B) One cell stage embryos were injected with 50 ng of morpholino against lbh.S and the protein analyzed by western blot using mAb 2B8 at various stages of development. GAPDH blot serves as a loading control. (C) The schematic show how embryos were injected at the 8 to 16 cells stage with either a morpholino or the Trim-Away and the mRNA encoding GFP in the precursor cell of the cranial neural crest (CNC). Embryos are scored between stage 24–26 for the presence of the fluorescent marker in the emigrated CNC. Images show typical example of embryos with correct targeting performed. Normal embryos have positive cells in the majority of the segments. Embryos displaying the partial inhibition have only a few CNC cells in the pathways and/or they have not migrated as far as the controls. These were still scored as embryos displaying CNC migration. (D) Graph representing the scoring of embryos displaying or not migration of the CNC in various condition. The results were normalized to control embryos (injected only with the lineage tracer), n represent the number of embryos scored and N represent the number of biological repeats. Control: injected with GFP alone. MO: injected with lbh.S morpholino. MO + Wt: injected with MO lbh.S and the mRNA encoding a MO-resistant form of Lbh. MO + rescue: injected with MO lbh.S and the mRNA encoding the Lbh mutant lacking the 63–84 residues. Trimmed: injected with mRNA Trim21 and the mAb 2B8. Trimmed + rescue: injected with mRNA Trim21, the mAb 2B8 and the mRNA encoding the Lbh mutant lacking the 63–84 residues. Statistical significance of values: ∗p < 0.05, ∗∗p < 0.01, ∗∗∗p < 0.001.
Figure 2. Knockdown of Lbh in Xenopus laevis embryos using Trim-Away leads to defects in gastrulation. (A) Embryos were injected with either 1 ng of trim21 mRNA, 37 ng of purified 2B8 or both at the one-cell stage. Sequential western blots were performed on protein extracts at stage 12 using the following antibodies: mAb 2B8 for Lbh, an anti-mouse light chain antibody to detect the injected 2B8, a rabbit pAb to detect trim21, and mAb Mono5 to detect Rpn1. (B) Representative images of control and Trimmed embryos at gastrula stage. The graph represents the average diameter of blastopore in stage 12 embryos normalized to the average diameter of non-injected embryos. Column legend is the same as in Fig. 1D with the addition of Wt-OE: injection of mRNA encoding the wild type Lbh, Rescue-OE: injection of mRNA encoding the deletion mutant 63–84 of Lbh. n represent the number of embryos scored and N represent the number of biological and technical repeats. Statistical significance of values: ∗p < 0.05, ∗∗p < 0.01, ∗∗∗p < 0.001. (C) Picture show examples of defects observed in Trimmed and rescued embryos. Severe abnormality emerged from embryos that failed to close their blastopore and therefore developed spina bifida. The graph represents the percentage of embryos with defect of any kind (abnormal), only severe defects (severe abnormal) or no defect (normal). Embryos were injected with 2B8 mAb and Trim21 (Trimmed), 2B8 mAb, Trim21 mRNA and the Lbh deletion mutant 63–84 mRNA (Rescue), Trim21 mRNA alone (Trim21) or 2B8 mAb alone (2B8). n represent the number of embryos scored and N represent the number of biological repeats.
Fig. 3. Analysis of Mesoderm in Lbh depleted embryos. (A) In situ hybridization using probes against brachyury and chordin. Embryos were injected at the one cell stage as for Fig. 2 and fixed in MEMFA at stage 12 for brachyury and stage 10.5 for chordin. The lateral expansion of chordin expression is seen in 72% of Lbh trimmed embryos (n = 43 N = 6). (B–C) Still images extracted from dorsal marginal zone single cell migration assay. Embryos were injected at the one cell stage with 1 ng trim21 mRNA and 47 ng 2B8. The dorsal blastopore lip from 5 embryos per case were dissected from either non-injected (B) or Lbh Trimmed (C) embryos at stage 10 and dissociated in a Calcium and Magnesium free media. The cells were plated on fibronectin and time lapse video microscopy performed for a period of 3.75 h. Tracings of cell movement were done using Fiji plugin Trackmate (D–E) Distanced traveled and velocity of cells calculated using manual tracking plug-in with Fiji. D represent the average distance traveled by dorsal mesoderm cells in non-injected compared to Trim-Away Lbh embryos while E represent the average velocity of cells from the dorsal blastopore lip in non-injected compared to Trim-Away Lbh embryos. n = 40 N = 4. Statistical significance of values ∗∗∗p < 0.001.
Fig. 4. Defects in gastrulation in Lbh depleted embryos are largely due to contributions from the animal hemisphere. (A–B) Sagittal sections of a representative non-injected (A) and Lbh Trimmed (B) embryos fixed in paraformaldehyde at stage 12. Lbh Trimmed embryos were injected at the one cell stage with 1 ng trim21 mRNA and 47 ng 2B8 mAb. A′ and B′ are close up views of the blastocoel roof from non-injected and Lbh trimmed embryos respectively. A″ and B″ are close up views of the endoderm from non-injected and Lbh trimmed embryos respectively. (C–E) Fluorescence pictures of sagittal sections of stage 10.5 embryos. (C) Non-injected control embryo. (D, E) Embryo were injected at the 8-cell stage with 1 ng trim21 mRNA, 500 pg nuclear cherry mRNA, and 32–47 ng 2B8 either in the 4 cells (8–12 ng/cell) of the animal hemisphere (D) or in the 4 cells of vegetal hemisphere (E). Embryos (6 experiments each with 5 embryos per case) were fixed in MEMFA and bisected at stage 10.5. The red fluorescence of the nuclear cherry is visible after fixation and mark derivatives of the injected cells. Embryos were counterstained with Hoechst 3334233 to visualize all cell nuclei. Yellow double arrow: thickness of ectoderm. Blue arrowhead: endoderm mass, red mesoderm migrating onto the blastocoele roof.
Fig. 5. Lbh depleted embryos fail to properly form a fibronectin matrix on the blastocoel roof. (A) Immunofluorescence of fibronectin in animal cap. Embryos were injected in one cell at the two-cell stage with 250 pg mCherry mRNA, 250 pg trim21 mRNA, 12 ng 2B8. Animals caps were dissected out at stage 12 and fixed in MEMFA (7 experiments each with 5 animal caps per case). The fibronectin fibrils detected by immunofluorescence using 4H2 (green), and the animal cap cells were counterstained with Hoechst 33342 (blue). The Lbh Trimmed cells can be distinguished from the wild type ones by the membrane Cherry fluorescence (red). (B–D) Magnified view of regions indicated by yellow arrowheads in A. Scale bar is 20 μm.
Fig. 6. PACSIN2 protein can also be decreased using Trim Away. (A) Representative capillary western blot of embryos injected with Trim21 alone or with normal mouse Ig (IgG) or the monoclonal antibody to PACSIN2 (3D8) and extracted at stage 5 and stage 12. The two main isoform of PACSIN2 at 72 and 60 kDa are both reduced by 3D8. The immunoglobulin light chain from the control antibody and 3D8 are visible at stage 5 but no longer at stage 12. Ribophorin1 (rpn1) is used as a loading control. (B) Luminescence profile from the stage 5 samples of A). Trim21 alone is in red, the control Ig in green and 3D8 in blue for both the 3D8 western blot (left) and rpn1 western blot (right). The relative amount of PACSIN2 was quantified using the area under the curve normalized with the same value from rpn1. The 60 kDa form is reduced by 71% while the 72 kDa is reduced by 45%. In three independent biological replicate the reduction ranged from 80 to 45% and was higher in earlier stage embryos. (C) The blastopore from sibling embryos was measured at stage 12 and normalized to control non-injected embryos (NI). The size of the blastopore which is indicative of the progress of gastrulation is significantly larger in 2B8 and 3D8 injected embryos (∗∗p < 0.01).
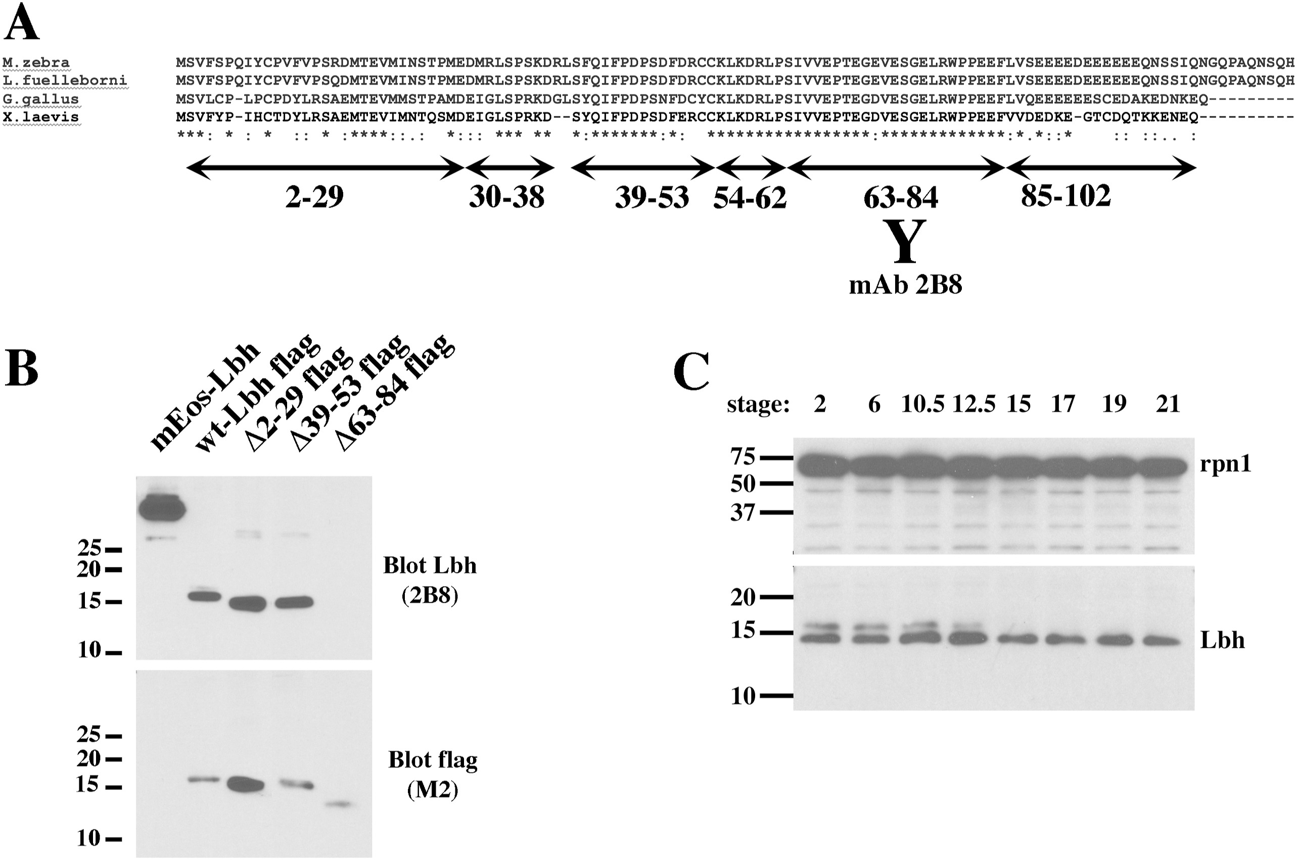
figs1. Expression of Xenopus laevis Lbh protein. (A) Alignment of Lbh protein sequence between Cichlid fishes (Melandia zebra and Labeotropheus fuelleborni, 115 residues), chicken (Gallus gallus, 102 residues) and Xenopus (Xenopus laevis, 102 residues). Stars indicate identical residues among the four species and colons indicate residues with similar properties across species. The double arrows highlight the domains that have been chosen for deletion in Figure 1, Fig. 4. The epitope recognized by mAb 2B8 is indicated by the Y. (B) Western blot performed on protein extract from Cos7 cells transfected with plasmids encoding fusion protein between fluorescent protein Eos and Lbh (mEos-Lbh), a flagged tagged wild type Lbh (wt-Lbh flag) and flagged tagged version of various deletion mutants as shown in Fig. 1A (Δ2-29, Δ 39–54, Δ63-84). The blot with the anti Lbh mAb 2B8 is done to identify 2B8’s epitope while the blot with the anti-flag mAb M2 controls the expression of the various mutants. (C) Western blot performed on protein extract from wild-type Xenopus laevis embryos at various stages, using mAb 2B8 (Lbh). Blot detecting ribophorin 1 (rpn1) serves as a loading control.
figs2. Effect of Lbh Trim-Away on expression of some genes. Embryos from 3 different females were injected with Trim21 mRNA and the antibody 2B8 and raised to stage 12. The RNAseq analysis of groups of 5 embryos for each biological replicate was done by Novogen. The graph represents the ratio of fpkm (fragment per kilobase million) obtained for the Trimmed embryos divided by the control embryos. All p < 0.05.
Briegel,
Congenital heart disease reminiscent of partial trisomy 2p syndrome in mice transgenic for the transcription factor Lbh.
2005, Pubmed
Briegel,
Congenital heart disease reminiscent of partial trisomy 2p syndrome in mice transgenic for the transcription factor Lbh.
2005,
Pubmed Capecchi,
Altering the genome by homologous recombination.
1989,
Pubmed Chen,
Degradation of endogenous proteins and generation of a null-like phenotype in zebrafish using Trim-Away technology.
2019,
Pubmed Clift,
Acute and rapid degradation of endogenous proteins by Trim-Away.
2018,
Pubmed Conen,
The transcriptional cofactor Lbh regulates angiogenesis and endochondral bone formation during fetal bone development.
2009,
Pubmed Cousin,
PACSIN2 is a regulator of the metalloprotease/disintegrin ADAM13.
2000,
Pubmed
,
Xenbase Cousin,
A PTP-PEST-like protein affects alpha5beta1-integrin-dependent matrix assembly, cell adhesion, and migration in Xenopus gastrula.
2004,
Pubmed
,
Xenbase Cousin,
Einsteck Transplants.
2019,
Pubmed
,
Xenbase Cousin,
PACSIN2 regulates cell adhesion during gastrulation in Xenopus laevis.
2008,
Pubmed
,
Xenbase Dickinson,
Genomic profiling of mixer and Sox17beta targets during Xenopus endoderm development.
2006,
Pubmed
,
Xenbase Doudna,
Genome editing. The new frontier of genome engineering with CRISPR-Cas9.
2014,
Pubmed Dzamba,
Cadherin adhesion, tissue tension, and noncanonical Wnt signaling regulate fibronectin matrix organization.
2009,
Pubmed
,
Xenbase Elbashir,
Duplexes of 21-nucleotide RNAs mediate RNA interference in cultured mammalian cells.
2001,
Pubmed Heasman,
Beta-catenin signaling activity dissected in the early Xenopus embryo: a novel antisense approach.
2000,
Pubmed
,
Xenbase Houston,
Oocyte Host-Transfer and Maternal mRNA Depletion Experiments in Xenopus.
2018,
Pubmed
,
Xenbase Ivanchenko,
Targeted Green-Red Photoconversion of EosFP, a Fluorescent Marker Protein.
2005,
Pubmed Khedgikar,
Dual control of pcdh8l/PCNS expression and function in Xenopus laevis neural crest cells by adam13/33 via the transcription factors tfap2α and arid3a.
2017,
Pubmed
,
Xenbase Lindley,
The WNT-controlled transcriptional regulator LBH is required for mammary stem cell expansion and maintenance of the basal lineage.
2015,
Pubmed Lindley,
Generation of mice with a conditional Lbh null allele.
2013,
Pubmed Marsden,
Regulation of cell polarity, radial intercalation and epiboly in Xenopus: novel roles for integrin and fibronectin.
2001,
Pubmed
,
Xenbase McEwan,
Intracellular antibody-bound pathogens stimulate immune signaling via the Fc receptor TRIM21.
2013,
Pubmed Mir,
How the mother can help: studying maternal Wnt signaling by anti-sense-mediated depletion of maternal mRNAs and the host transfer technique.
2008,
Pubmed
,
Xenbase Moody,
Fates of the blastomeres of the 16-cell stage Xenopus embryo.
1987,
Pubmed
,
Xenbase Powder,
A nonsynonymous mutation in the transcriptional regulator lbh is associated with cichlid craniofacial adaptation and neural crest cell development.
2014,
Pubmed
,
Xenbase Ramos,
Xenopus embryonic cell adhesion to fibronectin: position-specific activation of RGD/synergy site-dependent migratory behavior at gastrulation.
1996,
Pubmed
,
Xenbase Rhodes,
TRIM21 and the Function of Antibodies inside Cells.
2017,
Pubmed Rieger,
The embryonic transcription cofactor LBH is a direct target of the Wnt signaling pathway in epithelial development and in aggressive basal subtype breast cancers.
2010,
Pubmed Rozario,
The physical state of fibronectin matrix differentially regulates morphogenetic movements in vivo.
2009,
Pubmed
,
Xenbase Wiedenmann,
EosFP, a fluorescent marker protein with UV-inducible green-to-red fluorescence conversion.
2004,
Pubmed