Click here to close
Hello! We notice that you are using Internet Explorer, which is not supported by Xenbase and may cause the site to display incorrectly.
We suggest using a current version of Chrome,
FireFox, or Safari.
Am J Hum Genet
2021 Aug 05;1088:1450-1465. doi: 10.1016/j.ajhg.2021.06.003.
Show Gene links
Show Anatomy links
Unique variants in CLCN3, encoding an endosomal anion/proton exchanger, underlie a spectrum of neurodevelopmental disorders.
Duncan AR, Polovitskaya MM, Gaitán-Peñas H, Bertelli S, VanNoy GE, Grant PE, O'Donnell-Luria A, Valivullah Z, Lovgren AK, England EM, Agolini E, Madden JA, Schmitz-Abe K, Kritzer A, Hawley P, Novelli A, Alfieri P, Colafati GS, Wieczorek D, Platzer K, Luppe J, Koch-Hogrebe M, Abou Jamra R, Neira-Fresneda J, Lehman A, Boerkoel CF, Seath K, Clarke L, CAUSES Study, van Ierland Y, Argilli E, Sherr EH, Maiorana A, Diel T, Hempel M, Bierhals T, Estévez R, Jentsch TJ, Pusch M, Agrawal PB.
???displayArticle.abstract???
The genetic causes of global developmental delay (GDD) and intellectual disability (ID) are diverse and include variants in numerous ion channels and transporters. Loss-of-function variants in all five endosomal/lysosomal members of the CLC family of Cl- channels and Cl-/H+ exchangers lead to pathology in mice, humans, or both. We have identified nine variants in CLCN3, the gene encoding CIC-3, in 11 individuals with GDD/ID and neurodevelopmental disorders of varying severity. In addition to a homozygous frameshift variant in two siblings, we identified eight different heterozygous de novo missense variants. All have GDD/ID, mood or behavioral disorders, and dysmorphic features; 9/11 have structural brain abnormalities; and 6/11 have seizures. The homozygous variants are predicted to cause loss of ClC-3 function, resulting in severe neurological disease similar to the phenotype observed in Clcn3-/- mice. Their MRIs show possible neurodegeneration with thin corpora callosa and decreased white matter volumes. Individuals with heterozygous variants had a range of neurodevelopmental anomalies including agenesis of the corpus callosum, pons hypoplasia, and increased gyral folding. To characterize the altered function of the exchanger, electrophysiological analyses were performed in Xenopus oocytes and mammalian cells. Two variants, p.Ile607Thr and p.Thr570Ile, had increased currents at negative cytoplasmic voltages and loss of inhibition by luminal acidic pH. In contrast, two other variants showed no significant difference in the current properties. Overall, our work establishes a role for CLCN3 in human neurodevelopment and shows that both homozygous loss of ClC-3 and heterozygous variants can lead to GDD/ID and neuroanatomical abnormalities.
Figure 1. CLCN3 variants in affected individuals
(A) Domains present in the protein ClC-3 and the variants presented in the affected individuals.
(B) Pictures of individuals 4, 5, 6, and 9. Individual 4 has a prominent forehead, bushy eyebrows, mild downslanting palpebral fissures, posteriorly rotated ears, and full cheeks; high arched palate also present, but not shown. Individual 5 has a bossed forehead, high anterior hairline, and hypertelorism; clinodactyly of 5th digits also present, but not shown. Individual 6 has notable midface retrusion, full cheeks, and prognathia. Individual 9 has mildly down slanting palpebral fissures, epicanthal folds, flat midface, and mild micrognathia; brachycephaly and long digits also present, but not shown.
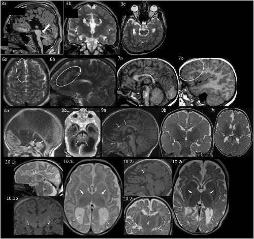
Figure 2. Neuroanatomical differences appreciated on brain MRI
MRI of individual 3. 3a: Sagittal T1 weighted image shows complete absence of the corpus callosum, a hypoplastic pons and a prominent superior cerebellar peduncle (arrow). 3b: Coronal T2 weighted image also shows an absent corpus callosum. 3c: Axial T2 weighted image shows left plagiocephaly.
MRI of individual 6 at an unknown age. 6a: Axial T2 Blade showing increased gyral folding in the frontal lobes (circle). 6b: Sagittal T2 Blade showing increased gyral folding in the parasagittal frontal lobe (circle).
MRI of individual 7 at 2 years. 7a: Sagittal 3D FLASH in the midline showing small posterior body and splenium of the corpus callosum (arrows). 7b: Sagittal 3D FLASH of the right hemisphere showing increased gyral folding in the frontal lobes (circle).
MRI of individual 8 as an infant. 8a: Sagittal T1 showing hypoplastic pons (∗), aqueductal stenosis (thin arrow), and small vermis (thick arrow). 8b: Axial inversion recovery T1 showing hypoplastic pons (∗) and small cerebellar hemispheres (arrowheads).
MRI of individual 9 at 11 months. 9a: Sagittal MPRAGE shows thin corpus callosum, particularly the anterior body and genu (arrows). 9b: Coronal T2 TSE with incompletely rotated hippocampi (arrows). 9c: Axial T2 TSE showing delayed myelination (myelination should be seen in the gyri throughout the posterior temporal and occipital lobe and decreased white matter volume shown by arrows).
MRI of individual 10.1 as a neonate. 10.1a: Sagittal T2 showing hypoplastic thin corpus callosum (arrows). 10.1b: Coronal reformation of sagittal MPGR showing small incompletely rotated hippocampi (arrows). 10.1c: Axial T2 showing lack of myelin in the posterior limb internal capsule (thick arrows) and decreased white matter volume (thin arrows).
MRI of individual 10.2 as a neonate. 10.2a: Sagittal MPGR showing hypoplastic thin corpus callosum (arrow). 10.2b: Coronal T2 TSE showing small incompletely rotated hippocampi (arrows). 10.2c: Axial T2 TSE showing lack of myelin in the posterior limb internal capsule (thick arrows) and decreased white matter volume (thin arrows).
Figure 3. Functional expression of CLCN3 variants
(A) Voltage protocol and typical current traces obtained for WT and indicated variants in Xenopus oocytes. Linear leak and capacitance were subtracted using a P/n protocol. Traces have been clipped to hide the residual capacitative artifact.
(B) Voltage protocol and typical current traces obtained for WT and variant p.Ile607Thr in HEK293 cells.
(C) Average normalized current-voltage relationship measured in oocytes, normalized to WT currents at 170 mV (see Subjects and methods). For variant p.Ile607Thr values are significantly different from WT for V ≥ 120 mV (p < 0.05, Student’s t test). All other values are not significantly different from WT (p > 0.05, Student’s t test).
(D) Average current-density voltage relationship of WT and variant p.Ile607Thr measured in HEK293 cells. p.Ile607Thr values are significantly different from WT for V ≥ 0 mV (p < 0.05, Mann-Whitney U test).
(E) Average ratio of mutant versus WT currents in Xenopus oocytes (see Subjects and methods). For variants p.Ala413Val and p.Val772Ala, the ratio is close to 1 at all voltages, indicating similar rectification properties compared to WT. In contrast, for p.Thr570Ile and p.Ile607Thr the ratio is voltage dependent, becoming smaller at more positive voltages, indicating that rectification is shallower compared to WT. All error bars indicate SEM.
Figure 4. Induction of inward currents of variants p.Ile607Thr and p.Thr570Ile at acidic pHo
(A) Typical currents of an oocyte expressing WT ClC-3 in the presence of different pH values and in a low Cl− solution at pH 5.3.
(B) Typical currents of an oocyte expressing variant p.Ile607Thr. For display reasons, capacitance (but not leak) was partially subtracted using the capacitive transients upon return to the holding potential.
(C and D) Typical current traces of WT (C) or variant p.Ile607Thr (D) expressed in Tmem206−/− HEK cells.
(E) Difference of reversal potential measured for p.Ile607Thr in oocytes in the indicated conditions and that measured at pH 6.3 (bars) (a liquid junction potential of 8 mV was added to the values measured in the low Cl− condition). Expected values were calculated assuming a 2 Cl−:1 H+ transport stoichiometry.33 For variant p.Ile607Thr, reversal potentials could be obtained at pH 6.3 and lower.
(F) Average current-density voltage relationship of WT and variant p.Ile607Thr measured in Tmem206−/− HEK cells at pH 7.5 and pH 5.0. For V ≤ 0 mV values of variant p.Ile607Thr are significantly different from those of WT (p < 10−4, Student’s t test). All error bars indicate SEM.
Figure 5. Effect of acidic pH on all variants expressed in Xenopus oocytes
Normalized currents measured for WT and all four variants at pH 5.3 and pH 6.3, leak-subtracted as described in Subjects and methods. For variants p.Thr570Ile and p.Ile607Thr, values are significantly different from those of WT at all voltages (p < 10−5, Student’s t test). For variants p.Ala413Val and p.Val772Ala, values are not significantly different from WT (p > 0.05, Student’s t test). Same data as (A) shown at higher magnification in (B). All error bars indicate SEM.
Figure 6. Mapping of variants on a homology model of ClC-3
Based on the structure of the Cm-CLC transporter _ENREF_37,50 a ClC-3 homology model was constructed by the Swiss model server. One subunit is shown in light blue, the other in gray. The “gating” glutamate is shown as red sticks. Affected residues are shown in spacefill and are color coded (red: p.Ile607Thr, magenta: Thr570, green: Ala413, yellow: Val772, brown: Ile252, blue: Ser453). A, top view from the extracellular (luminal) side; B, side view from within the membrane, which is schematically indicated by dashed lines.
Suppl. Figure 1. Transient currents in Xenopus oocytes
A, typical current traces of WT and mutants in Clfree extracellular solution. Small differences in the kinetics of transient
currents cannot be interpreted because of the limited time-resolution of the two-electrode voltage clamp technique. B,
typical charge-voltage relationships (symbols) superimposed with fits of a Boltzmann distribution (lines). C, average ratio
of maximal charge and current measured in high chloride at 170 mV. For variants p.Thr570I and p.Ile607Thr, values are
significantly different from WT (p<0.01). For variants p.Ala413Val and p.Val772Ala, values are not significantly different
from WT (p>0.05, Student’s t-test). D, average voltage of half-maximal charge displacement. For none of the variants,
values are significantly different from WT (p>0.05, Student’s t-test)
Suppl. Figure 2. Transient currents in HEK cellsA, typical transient current traces for the indicated constructs. The transient inward currents recorded at 0 mV after
prepulses to voltages ranging from 200 mV to 0 mV were integrated and fitted with Boltzmann distributions as described
in Methods. In these recording capacitative and leak currents were subtracted with a P/4 protocol as described in
methods. Scale bars: 2 nA and 0.5 ms, respectively. B, average ratio of maximal charge and current measured at 170 mV
(both in high chloride solution). For variants p.Thr570I and p.Ile607Thr, values are significantly different from WT (p<0.01).
For variants p.Ala413Val and p.Val772Ala, values are not significantly different from WT (p>0.05, Student’s t-test). C,
average voltage of half-maximal charge displacement. For none of the variants, values are significantly different from WT
(p>0.05, Student’s t-test). For variant p.Ile607Thr only in one case was the charge-voltage relationship of sufficient
magnitude to allow the reliable fit of a Boltzmann distribution.
Accardi,
Secondary active transport mediated by a prokaryotic homologue of ClC Cl- channels.
2004, Pubmed
Accardi,
Secondary active transport mediated by a prokaryotic homologue of ClC Cl- channels.
2004,
Pubmed Arachchi,
matchbox: An open-source tool for patient matching via the Matchmaker Exchange.
2018,
Pubmed Astaburuaga,
A Mathematical Model of Lysosomal Ion Homeostasis Points to Differential Effects of Cl- Transport in Ca2+ Dynamics.
2019,
Pubmed Boettger,
Loss of K-Cl co-transporter KCC3 causes deafness, neurodegeneration and reduced seizure threshold.
2003,
Pubmed Capurro,
Functional analysis of acid-activated Cl⁻ channels: properties and mechanisms of regulation.
2015,
Pubmed De Stefano,
A single point mutation reveals gating of the human ClC-5 Cl-/H+ antiporter.
2013,
Pubmed
,
Xenbase Dickerson,
Altered GABAergic function accompanies hippocampal degeneration in mice lacking ClC-3 voltage-gated chloride channels.
2002,
Pubmed Feng,
Structure of a eukaryotic CLC transporter defines an intermediate state in the transport cycle.
2010,
Pubmed Friedrich,
Mutational analysis demonstrates that ClC-4 and ClC-5 directly mediate plasma membrane currents.
1999,
Pubmed
,
Xenbase Gilissen,
Genome sequencing identifies major causes of severe intellectual disability.
2014,
Pubmed Günther,
ClC-5, the chloride channel mutated in Dent's disease, colocalizes with the proton pump in endocytotically active kidney cells.
1998,
Pubmed Guzman,
Neuronal ClC-3 Splice Variants Differ in Subcellular Localizations, but Mediate Identical Transport Functions.
2015,
Pubmed Guzman,
ClC-3 is an intracellular chloride/proton exchanger with large voltage-dependent nonlinear capacitance.
2013,
Pubmed Hara-Chikuma,
ClC-3 chloride channels facilitate endosomal acidification and chloride accumulation.
2005,
Pubmed He,
West Syndrome Caused By a Chloride/Proton Exchange-Uncoupling CLCN6 Mutation Related to Autophagic-Lysosomal Dysfunction.
2021,
Pubmed Hofman,
Corpus Callosum Agenesis: An Insight into the Etiology and Spectrum of Symptoms.
2020,
Pubmed Howard,
The K-Cl cotransporter KCC3 is mutant in a severe peripheral neuropathy associated with agenesis of the corpus callosum.
2002,
Pubmed
,
Xenbase Hu,
X-exome sequencing of 405 unresolved families identifies seven novel intellectual disability genes.
2016,
Pubmed Ishida,
A model of lysosomal pH regulation.
2013,
Pubmed Jentsch,
CLC Chloride Channels and Transporters: Structure, Function, Physiology, and Disease.
2018,
Pubmed Kasper,
Loss of the chloride channel ClC-7 leads to lysosomal storage disease and neurodegeneration.
2005,
Pubmed Kornak,
Loss of the ClC-7 chloride channel leads to osteopetrosis in mice and man.
2001,
Pubmed Lange,
ClC-7 requires Ostm1 as a beta-subunit to support bone resorption and lysosomal function.
2006,
Pubmed Leisle,
ClC-7 is a slowly voltage-gated 2Cl(-)/1H(+)-exchanger and requires Ostm1 for transport activity.
2011,
Pubmed Li,
The ClC-3 chloride channel promotes acidification of lysosomes in CHO-K1 and Huh-7 cells.
2002,
Pubmed Lloyd,
A common molecular basis for three inherited kidney stone diseases.
1996,
Pubmed
,
Xenbase Lorenz,
Heteromultimeric CLC chloride channels with novel properties.
1996,
Pubmed
,
Xenbase Ludwig,
Common gating of both CLC transporter subunits underlies voltage-dependent activation of the 2Cl-/1H+ exchanger ClC-7/Ostm1.
2013,
Pubmed
,
Xenbase Nicoli,
Lysosomal Storage and Albinism Due to Effects of a De Novo CLCN7 Variant on Lysosomal Acidification.
2019,
Pubmed
,
Xenbase Novarino,
Endosomal chloride-proton exchange rather than chloride conductance is crucial for renal endocytosis.
2010,
Pubmed Palmer,
De novo and inherited mutations in the X-linked gene CLCN4 are associated with syndromic intellectual disability and behavior and seizure disorders in males and females.
2018,
Pubmed
,
Xenbase Philippakis,
The Matchmaker Exchange: a platform for rare disease gene discovery.
2015,
Pubmed Piwon,
ClC-5 Cl- -channel disruption impairs endocytosis in a mouse model for Dent's disease.
2000,
Pubmed Poët,
Lysosomal storage disease upon disruption of the neuronal chloride transport protein ClC-6.
2006,
Pubmed Polovitskaya,
A Recurrent Gain-of-Function Mutation in CLCN6, Encoding the ClC-6 Cl-/H+-Exchanger, Causes Early-Onset Neurodegeneration.
2020,
Pubmed Pusch,
Large transient capacitive currents in wild-type lysosomal Cl-/H+ antiporter ClC-7 and residual transport activity in the proton glutamate mutant E312A.
2021,
Pubmed Rickheit,
Role of ClC-5 in renal endocytosis is unique among ClC exchangers and does not require PY-motif-dependent ubiquitylation.
2010,
Pubmed Robertson,
Design, function and structure of a monomeric ClC transporter.
2010,
Pubmed Rohrbough,
Modulation of ClC-3 gating and proton/anion exchange by internal and external protons and the anion selectivity filter.
2018,
Pubmed Schmitz-Abe,
Unique bioinformatic approach and comprehensive reanalysis improve diagnostic yield of clinical exomes.
2019,
Pubmed Shekarabi,
Loss of neuronal potassium/chloride cotransporter 3 (KCC3) is responsible for the degenerative phenotype in a conditional mouse model of hereditary motor and sensory neuropathy associated with agenesis of the corpus callosum.
2012,
Pubmed Smith,
Voltage-dependent charge movement associated with activation of the CLC-5 2Cl-/1H+ exchanger.
2010,
Pubmed Sobreira,
GeneMatcher: a matching tool for connecting investigators with an interest in the same gene.
2015,
Pubmed Stauber,
Sorting motifs of the endosomal/lysosomal CLC chloride transporters.
2010,
Pubmed
,
Xenbase Steinberg,
A cation counterflux supports lysosomal acidification.
2010,
Pubmed Stobrawa,
Disruption of ClC-3, a chloride channel expressed on synaptic vesicles, leads to a loss of the hippocampus.
2001,
Pubmed Ullrich,
Identification of TMEM206 proteins as pore of PAORAC/ASOR acid-sensitive chloride channels.
2019,
Pubmed Veeramah,
Exome sequencing reveals new causal mutations in children with epileptic encephalopathies.
2013,
Pubmed
,
Xenbase Vissers,
Genetic studies in intellectual disability and related disorders.
2016,
Pubmed Wang,
Genetic Variants Identified from Epilepsy of Unknown Etiology in Chinese Children by Targeted Exome Sequencing.
2017,
Pubmed Wartosch,
Lysosomal degradation of endocytosed proteins depends on the chloride transport protein ClC-7.
2009,
Pubmed Weinert,
Uncoupling endosomal CLC chloride/proton exchange causes severe neurodegeneration.
2020,
Pubmed Weinert,
Lysosomal pathology and osteopetrosis upon loss of H+-driven lysosomal Cl- accumulation.
2010,
Pubmed Yang,
PAC, an evolutionarily conserved membrane protein, is a proton-activated chloride channel.
2019,
Pubmed Yoshikawa,
CLC-3 deficiency leads to phenotypes similar to human neuronal ceroid lipofuscinosis.
2002,
Pubmed Zhao,
The ClC-3 chloride transport protein traffics through the plasma membrane via interaction of an N-terminal dileucine cluster with clathrin.
2007,
Pubmed Zifarelli,
On the mechanism of gating charge movement of ClC-5, a human Cl(-)/H(+) antiporter.
2012,
Pubmed