XB-ART-58398
EMBO Rep
2021 Sep 06;229:e50932. doi: 10.15252/embr.202050932.
Show Gene links
Show Anatomy links
Foxm1 regulates neural progenitor fate during spinal cord regeneration.
???displayArticle.abstract???
Xenopus tadpoles have the ability to regenerate their tails upon amputation. Although some of the molecular and cellular mechanisms that globally regulate tail regeneration have been characterised, tissue-specific response to injury remains poorly understood. Using a combination of bulk and single-cell RNA sequencing on isolated spinal cords before and after amputation, we identify a number of genes specifically expressed in the spinal cord during regeneration. We show that Foxm1, a transcription factor known to promote proliferation, is essential for spinal cord regeneration. Surprisingly, Foxm1 does not control the cell cycle length of neural progenitors but regulates their fate after division. In foxm1-/- tadpoles, we observe a reduction in the number of neurons in the regenerating spinal cord, suggesting that neuronal differentiation is necessary for the regenerative process. Altogether, our data uncover a spinal cord-specific response to injury and reveal a new role for neuronal differentiation during regeneration.
???displayArticle.pubmedLink??? 34427977
???displayArticle.pmcLink??? PMC8419688
???displayArticle.link??? EMBO Rep
???displayArticle.grants??? [+]
Wellcome Trust , 205894/Z/17/Z Wellcome Trust , BB/M011208/1 Biotechnology and Biological Sciences Research Council Research Training Support, MR/M008908/1 UKRI|Medical Research Council (MRC), Wellcome Trust (ISSF fund), MR/M008908/1 Medical Research Council , BB/M011208/1 Biotechnology and Biological Sciences Research Council
Species referenced: Xenopus tropicalis
Genes referenced: aurka aurkb ccna2 ccnb1 ccnb2 ccnb3 ccnd1 ccne1 cdc20 cdc25a cdc25b cdc25c cdk1 cdkn1b cenpi cenpn cfd ep400 erbb2 foxm1 hdac1 hgf lep mmp2 myc myt1 neurod1 pcna rabl6 shh snai1 snai2 snap25 sox2 sox3 tbx2 tgfb1 tubb2b twist2 xbp1
GO keywords: cell cycle [+]
cell differentiation in spinal cord
neuron differentiation
axon regeneration
neural tissue regeneration
???displayArticle.antibodies??? BrdU Ab9 Casp3 Ab1 H3f3a Ab9 Pcna Ab5
???displayArticle.morpholinos??? foxm1 MO2 foxm1 MO3
gRNAs referenced: foxm1 gRNA1
???attribute.lit??? ???displayArticles.show???
|
|
Synopsis Differentiation of neural progenitor cells (NPCs) is a hallmark of successful spinal cord regeneration. This study shows that Foxm1 controls the switch from proliferation to differentiation of NPCs during spinal cord regeneration in Xenopus tropicalis. A regeneration-specific population of cells, characterized by the expression of foxm1, was identified during spinal cord regeneration using single cell RNA sequencing. Foxm1â/â tadpoles do not fully regenerate their spinal cord and tail after amputation. Foxm1 promotes neuronal differentiation during regeneration, without affecting proliferation or the overall length of the cell cycle in NPCs. |
|
|
Figure 1. Analysis of differentially expressed genes during spinal cord regeneration A. Twenty spinal cords of NF50 tadpoles were isolated at 0, 1 and 3 days post-amputation (dpa) and pooled for RNA sequencing. B. Genes with a |log2(FC)|> 1 and P-adj< 0.01 were used for hierarchical clustering. For each cluster, the gene list was uploaded on Fidea (http://circe.med.uniroma1.it/fidea/) (DâAndrea et al, 2013). The five most significant enrichment of GO (biological processes) terms are shown, and the âlog10(P_value) with Bonferroni correction is shown. C. The dataset was uploaded on the Ingenuity Pathway Analysis software (Qiagen). Genes with a |log2(FC)|> 1 and P_adj < 0.01 were considered. The software identified upstream regulators based on the changes in expression levels of known downstream targets. Each upstream regulator is attributed a z-score, corresponding to the negative log of the P-value derived from the Fisherâs exact test. D. Changes in the expression of foxm1 and known downstream targets in the whole tail comparing day 0 and day 3 (WT_d0d3) and in the spinal cord comparing day 0 and day 1 (SC_d0d1) and day 0 and day 3 (SC_d0d3). The whole tail dataset was obtained from (Chang et al, 2017). E. Tadpoles at NF50 were amputated, fixed at the indicated time and then processed for whole-mount in situ hybridisation using a probe specific for foxm1. The two last panels show transverse section in the non-regenerating spinal cord (nr) and the regenerate (r) at 3dpa. The red circle highlights the spinal cord and the asterisk the notochord. F. Total RNA was isolated from regenerating tails at indicated timepoints post-amputation, reverse-transcribed into cDNA and analysed for foxm1 expression by qPCR, using ef1α as a reference gene. The graph represents the mean ± SD of three independent experiments. One-way ANOVA with Dunnettâs multiple comparison test was used. *P = 0.0149. |
|
|
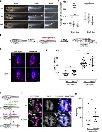
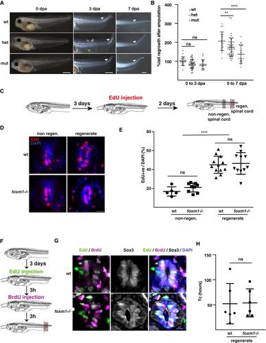
Figure 2. Foxm1 is required for spinal cord regeneration but does not regulate the length of the cell cycle. A. NF40 tadpoles with the following genotypes foxm1-/ (mut), foxm1+/(het) and foxm1 +/+ (wt) were amputated and left to regenerate for 7 days. The images show representative tails at 3 and 7 dpa. The white arrowheads indicate the amputation site. B. Quantification of the rate of regeneration. The ratio of the length of the tail regenerate at 3 and 7 dpa was compared to the length of the tail originally amputated at 0 dpa. The graph represents the mean ± SD of five independent experiments from three different clutches with at least five tadpoles in each experiment. C. Experimental setup for EdU labelling, foxm1 knockout and wt tadpoles were amputated and left to regenerate for 3 days. Tadpoles were then injected with EdU and 2 days later the tails were fixed, sectioned and stained for EdU and DAPI. D. Representative images of EdU (red) and DAPI (blue) staining at 5 dpa. E.The graph represents the mean ± SD of EdU cells over the total number of cells in the spinal cord of 5â12 tadpoles. Each data point represents a tadpole, with an average of 9 sections analysed per animal. F. Experimental setup for Dual-Pulse S-phase Labelling: NF50 tadpoles at 3 dpa were injected with EdU, and 3 h later, the same tadpoles were injected with BrdU. Six hours after the first injection, the tails were fixed, sectioned and labelled for Sox3, Edu, BrdU and DAPI. Representative images of EdU (green), BrdU (magenta), Sox3 (white) and DAPI (blue) staining at 3 dpa. G. Quantification of images in (G). The graph represents the mean ± SD of 6 tadpoles with an average of 13 sections per tadpole analysed. H. Data information: Two-way ANOVA with Tukeyâs post hoc tests was used for B and E and an unpaired t-test for H. ns: non-significant, **P < 0.01 and ****P < 0.001. Scale bar is 500 µm in A and 25 µm in D and G. |
|
|
Figure 3. Characterisation of the foxm1+ cells in the regenerating spinal cord A. UMAP representation of the whole scRNA-seq dataset (0 dpa and 3 dpa) showing the cell density distribution of the 3 dpa sample. BâE. Expression of snap25 (neuronal marker), leptin, sox2 (progenitor marker) and foxm1 on the same UMAP representation as in (A). F. UMAP representation of the 16 clusters identified in the scRNA-seq dataset. G. Identity of the clusters with the most significant differentially expressed gene(s). H. Schematic representation of the cells used to identify DE genes and over-representation of GO terms for cluster 5 (blue cells) corresponding to the foxm1+ cluster against the rest of the progenitor cells (red cells). I. Twenty most significantly DE genes comparing blue versus red cells ranked by FDR. J. GO-Slim Biological Process terms over-represented were identified by uploading the DE genes into PANTHER. The GO terms significantly upregulated were then inputted into Revigo (http://revigo.irb.hr/) to generate a plot representation. |
|
|
Figure 4. Changes in cell cycle dynamics during regeneration A. UMAP projection with inferred cell cycle phase for each cell. B. Bar plot showing the proportion of cells in G1, G2/M and S phases of clusters of progenitor cells (prog., expressing sox2 and sox3) and differentiating progenitors (diff. prog., expressing neurod1, neurog1) and neurons (neur., expressing snap25). The total does not always amount to 100% as some clusters have cells from both 0 and 3 dpa. The bar boxes in red represent the foxm1 positive cluster, and the cluster numbering refers to the cluster identity defined in Fig 3G. C. Representative sections labelled with an anti-PCNA antibody (red) and DAPI (blue) at the indicated day after amputation (dpa). The white arrowheads point to cells in S phase in the spinal cord and the yellow arrowhead at cells in G1, G2 and M phases. The right panels correspond to the inset indicated as a white box in the middle panels. D. The ratio of PCNA + per total number of cells (DAPI) in the spinal cord was determined at the indicated times after amputation (n= 3, with a mean of 14 sections per data point). E. The PCNA+ cells were then distributed in G1/G2 (diffuse signal), S (punctated signal) or M phase (condensed chromatin) at the indicated stage of regeneration. Data information: In D-E, Data are the mean ± SD of three independent experiments, and one-way ANOVA with Tukeyâs post hoc tests was used. ns: non-significant, **P < 0.01 and ****P < 0.0001. In C, scale bar represents 25 µm for the left and middle panels and 5 µm for the right panels. |
|
|
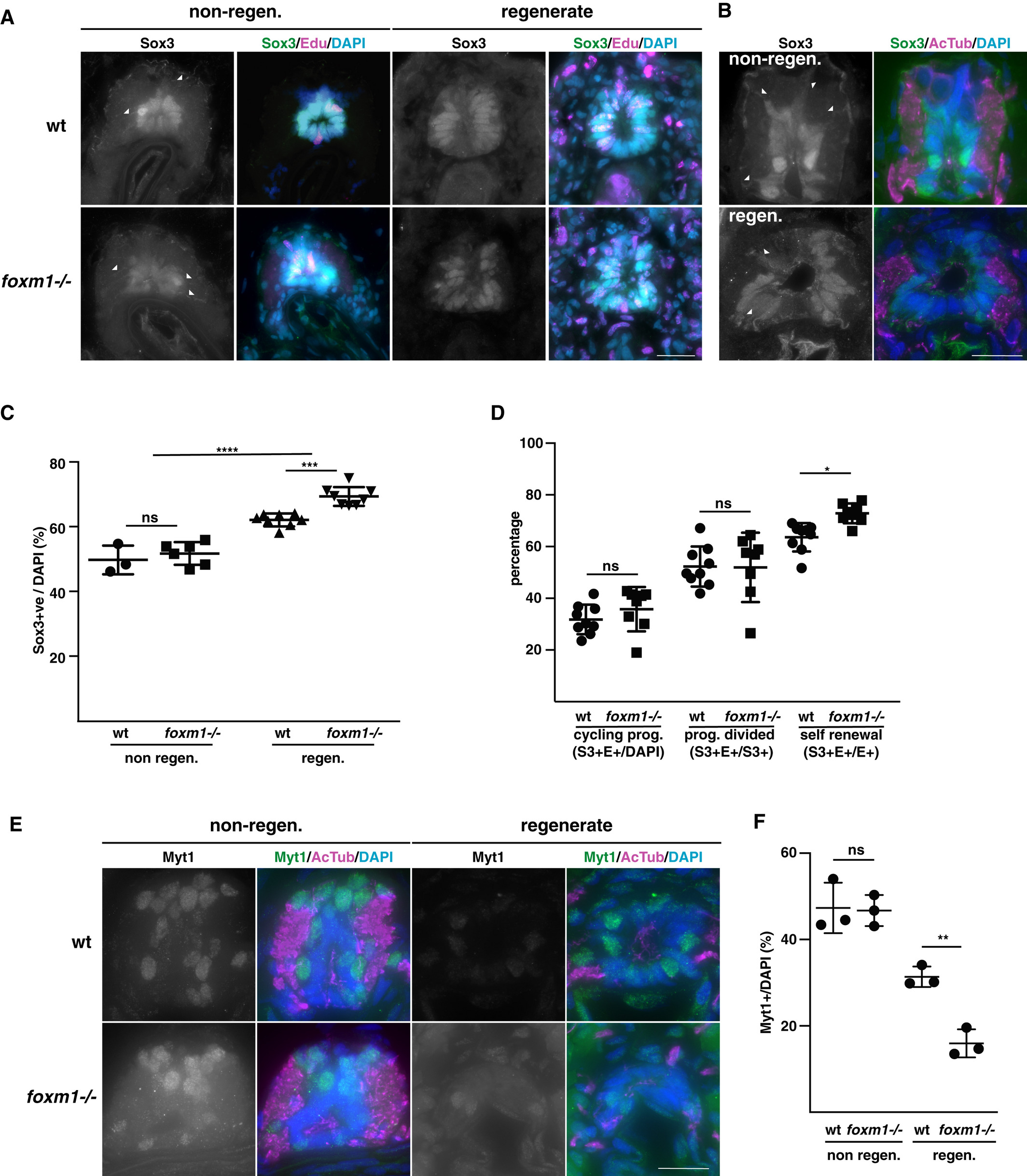
Figure 5. Foxm1 promotes the differentiation of neural progenitors in the regenerating spinal cord A. Representative sections of spinal cords from tadpoles injected with EdU at 3 dpa and fixed at 5 dpa. After sectioning, the samples were labelled with antibodies against Sox3 (green), EdU (magenta) and DAPI (blue). White arrowheads show Sox3 positive extensions. B. Sections of spinal cords at 5 dpa in the stump (non-regen.) or in the regenerate (regen) labelled with anti-Sox3 (green), anti-Acetylated Tubulin (AcTub, magenta) and DAPI (blue). White arrowheads show Sox3 positive extensions. C. Quantification of the images shown in (A). The ratio of Sox3 per total number of cells (DAPI) in the spinal cord was determined in the stump (non-regen.) and the regenerating spinal cord (regen.) in wt and foxm1â/â tadpoles (n= 3â8, with an average of 15 sections per data point). D. Quantification of the proportion of cycling progenitors (Sox3 EdU+/DAPI, S3+E+/DAPI), the proportion of progenitors having divided (Sox3 EdU+/Sox3+, S3+E+/S3+) and the proportion of progenitors self-renewal (EdU+/EdU+, S3+E+/E+) in the regenerate. The graph represents the mean ± SD from 9 tadpoles (wt) and 8 tadpoles (foxm1â/â) with an average of 18 sections per data point. E. Representative sections of spinal cords from tadpoles injected with EdU at 3 dpa and fixed at 5 dpa. After sectioning, the samples were labelled with antibodies against Myt1 (green), EdU (magenta) and DAPI (blue). F. Quantification of images shown in (E). The graph represents the mean ± SD from 3 tadpoles with an average of 12 sections each. Data information: For C, D and F, a two-way-ANOVA with Tukeyâs post hoc tests was used and the graphs represent the mean ± SD. ns = non-significant, *P < 0.05, **P < 0.01, ***P < 0.001 and ****P < 0.0001. For A, B and E, the scale bar represents 25 µm. |
|
|
Figure 6. Model of neural progenitor cell behaviour during spinal cord regeneration in wild type (wt) and foxm1−/− tadpoles. The blue circles correspond to sox2/3+ cells (progenitors) and the orange circle to snap25+ cells (neurons). |
|
|
Figure EV1. Metadata from the RNA-seq experiment of the time course of isolated spinal cord regeneration A. Principal component analysis to assess overall similarities between all samples. The biological replicates of day 0 (0 dpa, green square), day 1 (1 dpa, red circle) and day 3 post-amputation (3 dpa, blue triangle) cluster together whilst showing wide variation in the two dimensions shown on the graph. B. Hierarchical clustering of the nine datasets. C, D. MA plots depicting the log2 fold change against the mean of normalised counts. DE genes (P_adj< 0.05) are coloured in red when comparing day 0 versus day 1 (C) and day 0 versus day 3 (D). E. Total number of differentially up- and downregulated (|Log2(FC)|> 1, P_adj< 0.01) transcripts in 0 dpa versus 1 dpa and 0 dpa versus 3 dpa samples. F. Schematic of the experiment designed to identify the signals upstream of foxm1 expression. After amputation, the tails were left to heal for 36h before inhibitor treatments were started. The tails were collected at 72hpa, and foxm1 expression was determined by RTâqPCR. GâI. Effects of treating tadpoles with 4 µM DPI (a NOX inhibitor, G), 20 µM SU5402 (an FGFR inhibitor, H) and 2.5 µM cyclopamine (a Hedgehog signalling inhibitor, I) on foxm1 expression. DMSO was used as a control for G and H and ethanol for I. Data presentation: The graphs in GâI represent the mean with standard deviation of four independent experiments with at least 15 tails per experiments, ef1α was used to normalise expression, and significance was assessed with an unpaired t-test, *P < 0.05. |
|
|
Figure EV2. Establishment of a foxm1 knockout line A. The CRISPR/Cas9 system was used to generate foxm1 knockdown and knockout animals, and gRNA was designed to target the foxm1 gene. The target region contains the restriction site for NcoI and was used to test efficiency by Restriction Fragment Length Polymorphism (RLFP). B. Embryos were either uninjected (UI) or coinjected with gRNA and cas9 mRNA, 0.6 ng Cas9 protein or 1.5 ng Cas9 protein. Genomic DNA was extracted and a region amplified around the gRNA target site by PCR. Half of the PCR product was digested with NcoI. By comparing the ratio of the digested product with an intact restriction site (lower band) to the non-digested product containing a mutated restriction site (upper band) after the addition of NcoI (+) gives an indication of the efficiency of the induction of mutations. C. Frogs injected with the CRISPR/Cas9 system and raised to adulthood. The F1 embryos were sequenced for mutations in foxm1. Four frameshift mutations were identified. D. Genotypes used in this study. E. Tadpoles from a foxm1+/â cross were raised to NF50, amputated and the tails collected at 3dpa for RNA expression and the heads for genotyping. Foxm1 expression was analysed by qPCR, using ef1α as a reference (n = 3 with at least 3 embryos per sample). The data are expressed as the mean ± SD. F. A third of the tails of foxm1 knockdown (Crispr mosaic F0) and wt tadpoles at NF50 were amputated and the tadpoles left to regenerate for 9 days. The images show representative tails at 9 dpa. G, H. To quantify the rate of regeneration, the ratio of the length of the regenerate to the length that was originally amputated was compared for the spinal cord (G) and the whole tail (H). The graph represents the mean ± SD of three independent experiments with at least five tadpoles in each experiment. Data presentation: For testing statistical significance, an unpaired t-test was used in E and a two-way ANOVA followed by a Sidak multiple comparison test in G and H. *P < 0.05 and ****P < 0.0001. |
|
|
Figure EV3. Characterisation of the Xenopus spinal cord by single-cell RNA sequencing A. Metadata of the scRNA-seq experiment. B. t-SNE representation of the dataset from 0 dpa with the different cell types identified using a dynamic tree cut algorithm. C. Bubble plot representing the proportion of cells (size of the dot) and level of expression (colour of the dot) for the genes used to identify the cell types in (B). |
|
|
Figure EV4. Characterisation of the foxm1 positive cells A. UMAP representation of the scRNA-seq dataset before (left panel) and after (right panel) batch correction using Seurat. B. Unbiased acceptance rate at the indicated subsampling percentile in the raw data (Counts) and after batch correction using Harmony or Seurat algorithm. C. Unsupervised pseudo-time of the whole scRNA-seq dataset. The distribution of the different clusters along the pseudo-time is indicated with the colours and numbers as described in Fig 3F. D. Pseudo-time of the whole scRNA-seq dataset with cells from 0 dpa in orange and from 3 dpa in green. E. Pseudo-time representation showing the cells expressing foxm1 (red dots). |
|
|
Figure EV5. Effect of impairing foxm1 expression on the organisation of the regenerating spinal cord A. Tails from tadpoles foxm1 knockdown (mosaic Crispr F0, kd) and control (wt) NF50 tadpoles were amputated and left to regrow for 3 days. RNA was isolated from the regenerates and expression levels of sox2 and ntubulin analysed by qPCR using ef1α as a reference. sox2: n = 4, ntubulin: n = 6, with at least 20 tails per sample, B. Effect of DPI treatment on the expression of known transcriptional targets of Foxm1. Embryos were treated with DPI as described in Fig EV1F, and the expression of ccnb3 (a Foxm1 target gene), ntub (a marker of differentiated neurons) and ami (a gene expressed in endothelial cells) was analysed by RTâqPCR using ef1α as control. C, D. Rose plot histograms showing the percentage frequency distribution of the angles of DAPI+ nuclei (C) or Sox3+ nuclei (D) in wt (blue) or foxm1â/â spinal cords (red). Angles are distributed into 12 bins from 0 to 180 degrees using a MATLAB script. Dorsal = 0 degrees, lateral = 90 degrees and ventral = 180 degrees. The inner, middle and outer circle corresponds to 5, 10 and 15%, respectively. Ten sections from n = 4 animals were analysed per genotype. Total cell counts were as follows: wt anterior (DAPI+ 2166; Sox3+, 701), foxm1â/â anterior (DAPI+, 2246; Sox3+, 707), wt regenerate (DAPI+, 1927 nuclei; Sox3+, 826) and foxm1â/â regenerate (DAPI+, 2393; Sox3+, 1125). P < 0.0001 for regenerate spinal cords and P > 0.05 for anterior spinal cords as analysed by KolmogorovâSmirnov tests. E, F. Quantification of the absolute number of cells per section expressing Sox3 (E) and nuclei (DAPI, F) in the regenerate of wild type (wt) and foxm1â/â knockout tadpoles at 5 dpa. The number is derived from the same sections analysed in Fig 5C, and the quantification is derived from the analysis of 8 tadpoles with an average of 15 sections per tail. G. The tails of control and foxm1KD animals, fixed at 5 days post-amputation, were sectioned and labelled with the Sox3 or Myt1 antibody followed by DAPI staining. The ratio of Sox3 and Myt1 per number of DAPI stained nuclei in the spinal cord was quantified and compared between control and foxm1KD tadpoles. Sox3 wt n = 6 with 41 sections, CRISPR/Cas9 n = 5 with 50 sections, Myt1 wt = 8 with 67 sections and foxm1KD n = 7 with 53 sections. Data information: In A and B, the graph represents the mean ± SD of three independent experiments normalised to wt. In E and F, the central line represents the median, the box the 25th/75th percentile and the whiskers the min and max values. In G, the graph shows the mean ± SD. For A, E, F and G, the significance was tested with an unpaired t-test, and for B, a one-way ANOVA with a Tukey post hoc test was used. ns: non-significant, *P < 0.05, ***P < 0.001 and ****P < 0.0001. |
References [+] :
Arai,
Neural stem and progenitor cells shorten S-phase on commitment to neuron production.
2011, Pubmed
Arai, Neural stem and progenitor cells shorten S-phase on commitment to neuron production. 2011, Pubmed
Aztekin, Identification of a regeneration-organizing cell in the Xenopus tail. 2019, Pubmed , Xenbase
Beck, Molecular pathways needed for regeneration of spinal cord and muscle in a vertebrate. 2003, Pubmed , Xenbase
Bonnet, Neurogenic decisions require a cell cycle independent function of the CDC25B phosphatase. 2018, Pubmed
Butler, Integrating single-cell transcriptomic data across different conditions, technologies, and species. 2018, Pubmed
Büttner, A test metric for assessing single-cell RNA-seq batch correction. 2019, Pubmed
Celis, Nuclear patterns of cyclin (PCNA) antigen distribution subdivide S-phase in cultured cells--some applications of PCNA antibodies. 1986, Pubmed
Chang, Transcriptional dynamics of tail regeneration in Xenopus tropicalis. 2017, Pubmed , Xenbase
Cheffer, Cell cycle regulation during neurogenesis in the embryonic and adult brain. 2013, Pubmed
Collu, Dishevelled limits Notch signalling through inhibition of CSL. 2012, Pubmed , Xenbase
Cura Costa, Spatiotemporal control of cell cycle acceleration during axolotl spinal cord regeneration. 2021, Pubmed
D'Andrea, FIDEA: a server for the functional interpretation of differential expression analysis. 2013, Pubmed
Deuchar, Regeneration of the tail bud in Xenopus embryos. 1975, Pubmed , Xenbase
Fukuoka, Neurod4 converts endogenous neural stem cells to neurons with synaptic formation after spinal cord injury. 2021, Pubmed , Xenbase
Gargioli, Cell lineage tracing during Xenopus tail regeneration. 2004, Pubmed , Xenbase
Hamilton, Non-canonical Hedgehog signaling regulates spinal cord and muscle regeneration in Xenopus laevis larvae. 2021, Pubmed , Xenbase
Hardwick, Nervous decision-making: to divide or differentiate. 2014, Pubmed
Harland, In situ hybridization: an improved whole-mount method for Xenopus embryos. 1991, Pubmed , Xenbase
Hydbring, Non-canonical functions of cell cycle cyclins and cyclin-dependent kinases. 2016, Pubmed
Jao, Efficient multiplex biallelic zebrafish genome editing using a CRISPR nuclease system. 2013, Pubmed
Kakebeen, Chromatin accessibility dynamics and single cell RNA-Seq reveal new regulators of regeneration in neural progenitors. 2020, Pubmed , Xenbase
Korsunsky, Fast, sensitive and accurate integration of single-cell data with Harmony. 2019, Pubmed
Krämer, Causal analysis approaches in Ingenuity Pathway Analysis. 2014, Pubmed
Laoukili, FoxM1 is required for execution of the mitotic programme and chromosome stability. 2005, Pubmed
Lin, Requirement for Wnt and FGF signaling in Xenopus tadpole tail regeneration. 2008, Pubmed , Xenbase
Love, Genome-wide analysis of gene expression during Xenopus tropicalis tadpole tail regeneration. 2011, Pubmed , Xenbase
Love, Amputation-induced reactive oxygen species are required for successful Xenopus tadpole tail regeneration. 2013, Pubmed , Xenbase
Lukaszewicz, Cyclin D1 promotes neurogenesis in the developing spinal cord in a cell cycle-independent manner. 2011, Pubmed
Lun, Pooling across cells to normalize single-cell RNA sequencing data with many zero counts. 2016, Pubmed
Macedo, FoxM1 repression during human aging leads to mitotic decline and aneuploidy-driven full senescence. 2018, Pubmed
Martynoga, Foxg1 is required for specification of ventral telencephalon and region-specific regulation of dorsal telencephalic precursor proliferation and apoptosis. 2005, Pubmed
McDonald, Spinal-cord injury. 2002, Pubmed
McHedlishvili, A clonal analysis of neural progenitors during axolotl spinal cord regeneration reveals evidence for both spatially restricted and multipotent progenitors. 2007, Pubmed
Meletis, Spinal cord injury reveals multilineage differentiation of ependymal cells. 2008, Pubmed
Muñoz, Regeneration of Xenopus laevis spinal cord requires Sox2/3 expressing cells. 2015, Pubmed , Xenbase
Nagamori, Activin ligands are required for the re-activation of Smad2 signalling after neurulation and vascular development in Xenopus tropicalis. 2014, Pubmed , Xenbase
Narciso, The Response to Oxidative DNA Damage in Neurons: Mechanisms and Disease. 2016, Pubmed
Ogai, Function of Sox2 in ependymal cells of lesioned spinal cords in adult zebrafish. 2014, Pubmed
Qiu, Single-cell mRNA quantification and differential analysis with Census. 2017, Pubmed
Rodrigo Albors, Planar cell polarity-mediated induction of neural stem cell expansion during axolotl spinal cord regeneration. 2015, Pubmed
Rost, Accelerated cell divisions drive the outgrowth of the regenerating spinal cord in axolotls. 2016, Pubmed
Rottach, Generation and characterization of a rat monoclonal antibody specific for PCNA. 2008, Pubmed
Schüller, Forkhead transcription factor FoxM1 regulates mitotic entry and prevents spindle defects in cerebellar granule neuron precursors. 2007, Pubmed
Slack, The Xenopus tadpole: a new model for regeneration research. 2008, Pubmed , Xenbase
Thuret, Analysis of neural progenitors from embryogenesis to juvenile adult in Xenopus laevis reveals biphasic neurogenesis and continuous lengthening of the cell cycle. 2015, Pubmed , Xenbase
Tran, A benchmark of batch-effect correction methods for single-cell RNA sequencing data. 2020, Pubmed
Trapnell, The dynamics and regulators of cell fate decisions are revealed by pseudotemporal ordering of single cells. 2014, Pubmed
Turrero García, S-phase duration is the main target of cell cycle regulation in neural progenitors of developing ferret neocortex. 2016, Pubmed
Ueno, FoxM1-driven cell division is required for neuronal differentiation in early Xenopus embryos. 2008, Pubmed , Xenbase
Wu, A novel function for Foxm1 in interkinetic nuclear migration in the developing telencephalon and anxiety-related behavior. 2014, Pubmed
Wu, Detecting Activated Cell Populations Using Single-Cell RNA-Seq. 2017, Pubmed
