Click here to close
Hello! We notice that you are using Internet Explorer, which is not supported by Xenbase and may cause the site to display incorrectly.
We suggest using a current version of Chrome,
FireFox, or Safari.
Biochem Biophys Res Commun
2021 Jul 23;563:31-39. doi: 10.1016/j.bbrc.2021.05.043.
Show Gene links
Show Anatomy links
A catenin of the plakophilin-subfamily, Pkp3, responds to canonical-Wnt pathway components and signals.
Hong JY, Zapata J, Blackburn A, Baumert R, Bae SM, Ji H, Nam HJ, Miller RK, McCrea PD.
???displayArticle.abstract???
Vertebrate beta-catenin plays a key role as a transducer of canonical-Wnt signals. We earlier reported that, similar to beta-catenin, the cytoplasmic signaling pool of p120-catenin-isoform1 is stabilized in response to canonical-Wnt signals. To obtain a yet broader view of the Wnt-pathway's impact upon catenin proteins, we focused upon plakophilin3 (plakophilin-3; Pkp3) as a representative of the plakophilin-catenin subfamily. Promoting tissue integrity, the plakophilins assist in linking desmosomal cadherins to intermediate filaments at desmosome junctions, and in common with other catenins they perform additional functions including in the nucleus. In this report, we test whether canonical-Wnt pathway components modulate Pkp3 protein levels. We find that in common with beta-catenin and p120-catenin-isoform1, Pkp3 is stabilized in the presence of a Wnt-ligand or a dominant-active form of the LRP6 receptor. Pkp3's levels are conversely lowered upon expressing destruction-complex components such as GSK3β and Axin, and in further likeness to beta-catenin and p120-isoform1, Pkp3 associates with GSK3beta and Axin. Finally, we note that Pkp3-catenin trans-localizes into the nucleus in response to Wnt-ligand and its exogenous expression stimulates an accepted Wnt reporter. These findings fit an expanded model where context-dependent Wnt-signals or pathway components modulate Pkp3-catenin levels. Future studies will be needed to assess potential gene regulatory, cell adhesive, or cytoskeletal effects.
Fig. 1. Pkp3-catenin responds to components of the canonical-Wnt pathway. (A) In vitro transcribed mRNA encoding Myc-tagged Pkp3-catenin (1 ng) or Myc-tagged δ-catenin (1 ng) microinjected with mRNAs encoding Wnt8 (1 ng) or β-gal (1 ng; negative control) into one-cell stage embryos. Gastrulating embryos (stages 10â11) were harvested followed by immuno-blotting of their lysates. Catenin-protein detection occurred using anti-Myc antibodies, with GAPDH serving as an internal loading control. (B) Myc-pkp3 mRNA (500 pg) was microinjected into each blastomere of one-cell stage embryos with the indicated mRNA levels of wnt8, LRP6â³E1-4 or β -gal (500 pg; negative control) varying from 100 to 500 pg. Statistical significance was found when comparing β-gal (lane 2) to LRP6â³E1-4 at 200 pg p = 0.01 (lane 4), and wnt8 at both 200 pg p = 0.02 (lane 7), and 500 pg p = 0.007 (lane 8). GAPDH was used as a loading control. Bars along the sides of immuno-blots refers to the observed SDS-PAGE mobility of the corresponding molecular-weight standards. Statistical significance was established using a two-tailed T-test. Myc-Pkp3 and GAPDH were visualized using antibodies directed against Myc or GAPDH. (C) HaCaT and 293T cells were seeded in six-well plates, followed by the combined siRNA mediated depletion of Axin1 and Axin2. NC denotes negative-control siRNA. Endogenous Pkp3 was monitored using the 23E3/4 monoclonal antibody. Lower panel: employing densitometry and ImageJ software, endogenous Pkp3 levels were quantitated and normalized relative to Actin loading control. (D) HaCaT and 293T cells were transfected (48 h) with siRNAs [15] to deplete LRP5 and LRP6. Endogenous Pkp3 was monitored using the 23E3/4 monoclonal antibody. Lower panel: using densitometry and ImageJ software, endogenous Pkp3 levels were quantitated and normalized to the actin loading control. Experiments were repeated at least three times with consistent results.
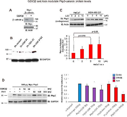
Fig. 2. GSK3β and Axin modulate Pkp3-catenin protein levels. (A) beta-Catenin mRNA (1 ng) was co-injected with GSK3beta (500 pg) into embryos at the one-to-two-cell stage. Gastrulae extracts (stages 11â12) were immuno-blotted with anti-Myc antibody. Actin serves as an internal loading control. (B) HaCaT cells were transfected with the indicated shRNA constructs directed against transcripts of GSK. Endogenous Pkp3 and GAPDH levels were assessed via immuno-blotting. (C) HaCaT and MDA-231 cells were incubated with LiCl for 6 h at the indicated concentrations, followed by immuno-blotting for endogenous Pkp3 (23E3/4 mA b). Endogenous Pkp3 levels are normalized to Actin in the lower panel. (D) Myc-pkp3 mRNA (500 pg) was microinjected into each blastomere of one-cell stage embryos with the indicated mRNA levels of gsk3β, axin1, or β-gal (500 pg; negative control), varying from 5 to 500 pg. Although no significance was found when compared to the negative-control β-gal (lane 2), there is a general trend of loss of Pkp3 expression upon increasing doses of negative regulators of the Wnt pathway, gsk3β or axin1. GAPDH was used as a loading control. Bars along the sides of immuno-blots refers to the observed SDS-PAGE mobility of the corresponding molecular-weight standard(s). Statistical significance was established using a two-tailed T-test.
Fig. 3. Pkp3-catenin associates with components of the canonical-Wnt destruction complex. (A) 293T cells in 100 mm dishes were transfected with Flag-Pkp3 (8 μg) and HA-GSK3beta (5 μg). The Pkp3:GSK3β association was resolved via anti-HA or anti-Flag immuno-precipitation/immuno-blot. (B) Flag-Pkp3 (2 μg) and Myc-Axin (2 μg) were co-transfected in 293T cells. Immuno-precipitates (IP) of Flag-Pkp3 were immuno-blotted [19] with anti-Flag or -Myc antibodies to detect Pkp3 or Axin. (C) Flag-Pkp3 (3 μg) and Myc-β-TrCP (3 μg) were co-transfected into HaCaT cells. IPs were performed with anti-Myc antibody to precipitate β-TrCP, followed by immuno-blotting with anti-Flag antibody. (D) Endogenous Pkp3 co-precipitates with Myc-β-TrCP from HaCaT-cell extracts.
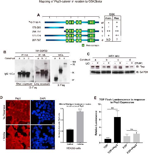
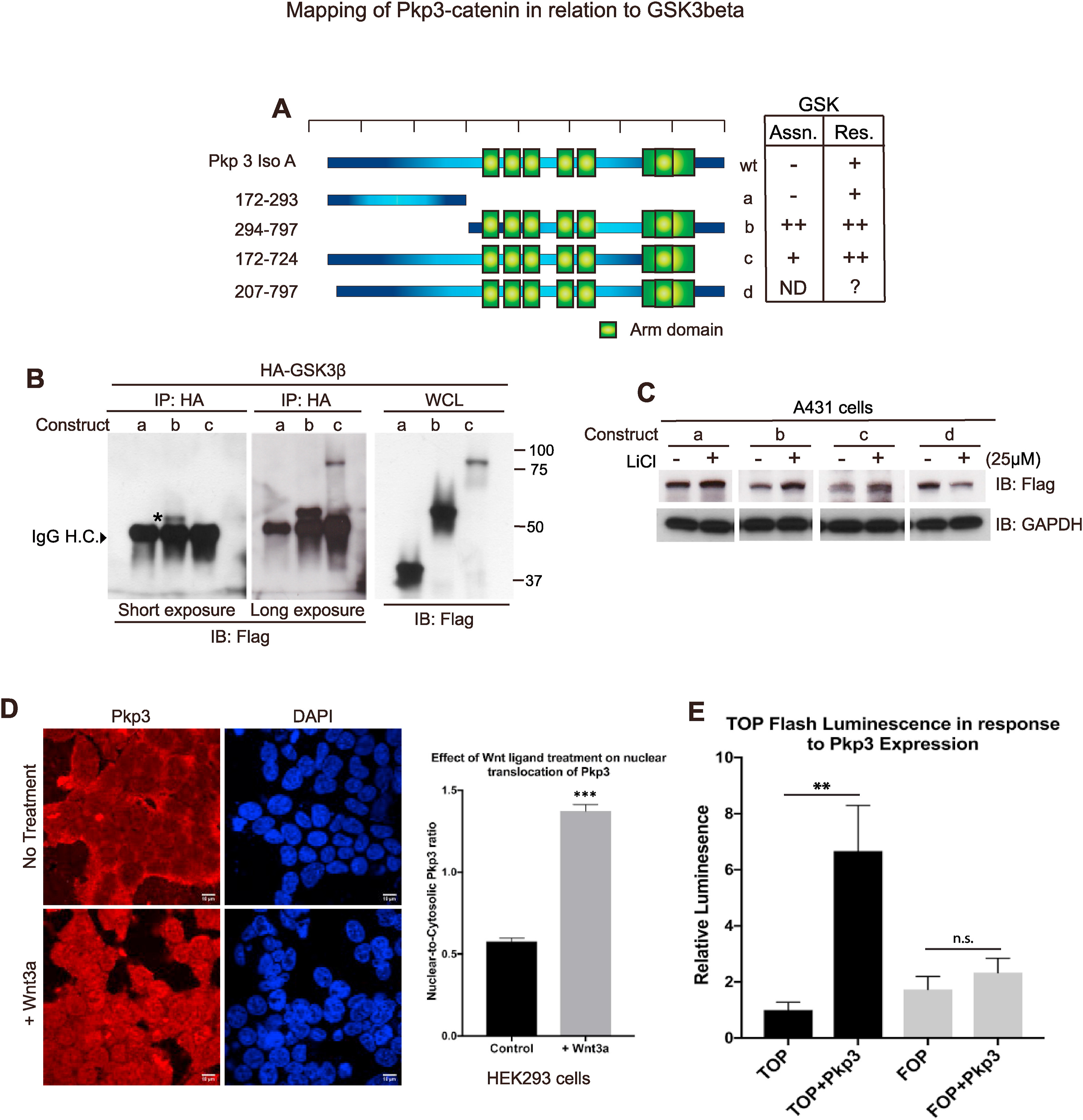
Fig. 4. Mapping of Pkp3-catenin in relation to GSK3beta. (A) Cartoon depicting Flag-tagged deletion constructs of Pkp3-isoformA (aâd). The chart summarizes construct association with GSK3beta as well as response to GSK3beta based upon data from panels B and C and similar experiments. (B) Deletion constructs of Flag-tagged Pkp3-catenin were co-transfected with HA-GSK3β in HaCaT cells. Immuno-precipitation (IP) of HA-GSK3beta was followed by anti-Flag immuno-blotting to resolve co-associated Pkp3. (C) Flag-tagged Pkp3 constructs were expressed in A431 cells, and their response monitored upon treatment with lithium chloride. The SDS-PAGE mobilities for constructs (aâc) are shown in Panel B, while (d) not shown in Panel B, migrates at â¼65 kDa). (D) Nuclear localization of Flag-tagged Pkp3 in HEK293 cells following treatment with Wnt3a peptide (50 μg/ml) for 24 h. The nuclear:cytosolic ratio of Pkp3-catenin notably increased relative to that of untreated controls (1.373 ± 0.041 versus 0.5778 ± 0.020; n = 30 cells/condition; âââ = p < 0.0001). (E) Exogenous expression of Pkp3 increases activity of the TOP-/FOP-flash canonical-Wnt reporter system. Relative to controls, HEK293 cells expressing Flag-tagged Pkp3 produced a 6.67-fold (±1.62) increase in luciferase activity (p = 0.0006). Significance was determined using a One-way ANOVA. Error bars represent SEM.
Anastasiadis,
Inhibition of RhoA by p120 catenin.
2000, Pubmed
Anastasiadis,
Inhibition of RhoA by p120 catenin.
2000,
Pubmed Bass-Zubek,
Plakophilins: multifunctional scaffolds for adhesion and signaling.
2009,
Pubmed Bonné,
Plakophilin-3, a novel armadillo-like protein present in nuclei and desmosomes of epithelial cells.
1999,
Pubmed Cerrone,
Sodium current deficit and arrhythmogenesis in a murine model of plakophilin-2 haploinsufficiency.
2012,
Pubmed Davidson,
Integrin alpha5beta1 and fibronectin regulate polarized cell protrusions required for Xenopus convergence and extension.
2006,
Pubmed
,
Xenbase Fang,
Vertebrate development requires ARVCF and p120 catenins and their interplay with RhoA and Rac.
2004,
Pubmed
,
Xenbase Fischer-Kešo,
Plakophilins 1 and 3 bind to FXR1 and thereby influence the mRNA stability of desmosomal proteins.
2014,
Pubmed Garcia,
Cell-Cell Junctions Organize Structural and Signaling Networks.
2018,
Pubmed Gottardi,
Distinct molecular forms of beta-catenin are targeted to adhesive or transcriptional complexes.
2004,
Pubmed
,
Xenbase Green,
Desmosomes: Essential contributors to an integrated intercellular junction network.
2019,
Pubmed Grigoryan,
Deciphering the function of canonical Wnt signals in development and disease: conditional loss- and gain-of-function mutations of beta-catenin in mice.
2008,
Pubmed Grossmann,
Requirement of plakophilin 2 for heart morphogenesis and cardiac junction formation.
2004,
Pubmed Gu,
Xenopus delta-catenin is essential in early embryogenesis and is functionally linked to cadherins and small GTPases.
2009,
Pubmed
,
Xenbase Gul,
Evolution and diversity of cadherins and catenins.
2017,
Pubmed Gurjar,
Plakophilin3 increases desmosome assembly, size and stability by increasing expression of desmocollin2.
2018,
Pubmed Hatzfeld,
Plakophilins: Multifunctional proteins or just regulators of desmosomal adhesion?
2007,
Pubmed Hong,
Shared molecular mechanisms regulate multiple catenin proteins: canonical Wnt signals and components modulate p120-catenin isoform-1 and additional p120 subfamily members.
2010,
Pubmed
,
Xenbase Keil,
Beyond regulation of cell adhesion: local control of RhoA at the cleavage furrow by the p0071 catenin.
2007,
Pubmed Keil,
Antagonistic Regulation of Intercellular Cohesion by Plakophilins 1 and 3.
2016,
Pubmed Kim,
Non-canonical Wnt signals are modulated by the Kaiso transcriptional repressor and p120-catenin.
2004,
Pubmed
,
Xenbase Kim,
Isolation and characterization of XKaiso, a transcriptional repressor that associates with the catenin Xp120(ctn) in Xenopus laevis.
2002,
Pubmed
,
Xenbase Kourtidis,
p120 catenin: an essential regulator of cadherin stability, adhesion-induced signaling, and cancer progression.
2013,
Pubmed Lee,
Phosphorylation of Pkp1 by RIPK4 regulates epidermal differentiation and skin tumorigenesis.
2017,
Pubmed Lee,
p120-catenin regulates REST and CoREST, and modulates mouse embryonic stem cell differentiation.
2014,
Pubmed
,
Xenbase Li,
A new perspective on intercalated disc organization: implications for heart disease.
2010,
Pubmed Liu,
beta-Trcp couples beta-catenin phosphorylation-degradation and regulates Xenopus axis formation.
1999,
Pubmed
,
Xenbase MacDonald,
Frizzled and LRP5/6 receptors for Wnt/β-catenin signaling.
2012,
Pubmed Marikawa,
beta-TrCP is a negative regulator of Wnt/beta-catenin signaling pathway and dorsal axis formation in Xenopus embryos.
1998,
Pubmed
,
Xenbase McCrea,
Beyond β-catenin: prospects for a larger catenin network in the nucleus.
2016,
Pubmed McCrea,
Developmental functions of the P120-catenin sub-family.
2007,
Pubmed Mertens,
Nuclear particles containing RNA polymerase III complexes associated with the junctional plaque protein plakophilin 2.
2001,
Pubmed Miyazaki,
Plakophilin-1, a Novel Wnt Signaling Regulator, Is Critical for Tooth Development and Ameloblast Differentiation.
2016,
Pubmed Montross,
A beta-catenin/engrailed chimera selectively suppresses Wnt signaling.
2000,
Pubmed
,
Xenbase Moriarty,
Loss of plakophilin 2 disrupts heart development in zebrafish.
2012,
Pubmed Munoz,
Plakophilin-3 catenin associates with the ETV1/ER81 transcription factor to positively modulate gene activity.
2014,
Pubmed
,
Xenbase Munoz,
Plakophilin-3 is required for late embryonic amphibian development, exhibiting roles in ectodermal and neural tissues.
2012,
Pubmed
,
Xenbase Niell,
The human PKP2/plakophilin-2 gene is induced by Wnt/β-catenin in normal and colon cancer-associated fibroblasts.
2018,
Pubmed Nusse,
Wnt/β-Catenin Signaling, Disease, and Emerging Therapeutic Modalities.
2017,
Pubmed Oh,
GSK-3 phosphorylates delta-catenin and negatively regulates its stability via ubiquitination/proteosome-mediated proteolysis.
2009,
Pubmed Pan,
Wnt3a-mediated formation of phosphatidylinositol 4,5-bisphosphate regulates LRP6 phosphorylation.
2008,
Pubmed
,
Xenbase Park,
Kaiso/p120-catenin and TCF/beta-catenin complexes coordinately regulate canonical Wnt gene targets.
2005,
Pubmed
,
Xenbase Schmidt,
Plakophilins--hard work in the desmosome, recreation in the nucleus?
2005,
Pubmed Schmidt,
Plakophilin 3--a novel cell-type-specific desmosomal plaque protein.
1999,
Pubmed Sive,
Microinjection of Xenopus embryos.
2010,
Pubmed
,
Xenbase Sive,
Xenopus laevis Egg Collection.
2007,
Pubmed
,
Xenbase Sive,
Xenopus laevis In Vitro Fertilization and Natural Mating Methods.
2007,
Pubmed
,
Xenbase Sive,
Inducing Ovulation in Xenopus laevis.
2007,
Pubmed
,
Xenbase Sive,
Dejellying Xenopus laevis Embryos.
2007,
Pubmed
,
Xenbase Sklyarova,
Plakophilin-3-deficient mice develop hair coat abnormalities and are prone to cutaneous inflammation.
2008,
Pubmed Sobolik-Delmaire,
Plakophilin-1 localizes to the nucleus and interacts with single-stranded DNA.
2010,
Pubmed Sobolik-Delmaire,
Carboxyl terminus of Plakophilin-1 recruits it to plasma membrane, whereas amino terminus recruits desmoplakin and promotes desmosome assembly.
2006,
Pubmed South,
Plakophilin 1: an important stabilizer of desmosomes.
2004,
Pubmed Stamos,
The β-catenin destruction complex.
2013,
Pubmed Todorovic,
Plakophilin 3 mediates Rap1-dependent desmosome assembly and adherens junction maturation.
2014,
Pubmed Tucker,
Plakophilin-1 protects keratinocytes from pemphigus vulgaris IgG by forming calcium-independent desmosomes.
2014,
Pubmed van de Wetering,
Armadillo coactivates transcription driven by the product of the Drosophila segment polarity gene dTCF.
1997,
Pubmed Yost,
The axis-inducing activity, stability, and subcellular distribution of beta-catenin is regulated in Xenopus embryos by glycogen synthase kinase 3.
1996,
Pubmed
,
Xenbase Zhao,
The evolutionary history of the catenin gene family during metazoan evolution.
2011,
Pubmed