XB-ART-58836
PLoS Genet
2022 Jan 18;181:e1010012. doi: 10.1371/journal.pgen.1010012.
Show Gene links
Show Anatomy links
Systematic mapping of rRNA 2'-O methylation during frog development and involvement of the methyltransferase Fibrillarin in eye and craniofacial development in Xenopus laevis.
Delhermite J, Tafforeau L, Sharma S, Marchand V, Wacheul L, Lattuca R, Desiderio S, Motorin Y, Bellefroid E, Lafontaine DLJ.
???displayArticle.abstract???
Ribosomes are essential nanomachines responsible for protein production. Although ribosomes are present in every living cell, ribosome biogenesis dysfunction diseases, called ribosomopathies, impact particular tissues specifically. Here, we evaluate the importance of the box C/D snoRNA-associated ribosomal RNA methyltransferase fibrillarin (Fbl) in the early embryonic development of Xenopus laevis. We report that in developing embryos, the neural plate, neural crest cells (NCCs), and NCC derivatives are rich in fbl transcripts. Fbl knockdown leads to striking morphological defects affecting the eyes and craniofacial skeleton, due to lack of NCC survival caused by massive p53-dependent apoptosis. Fbl is required for efficient pre-rRNA processing and 18S rRNA production, which explains the early developmental defects. Using RiboMethSeq, we systematically reinvestigated ribosomal RNA 2'-O methylation in X. laevis, confirming all 89 previously mapped sites and identifying 15 novel putative positions in 18S and 28S rRNA. Twenty-three positions, including 10 of the new ones, were validated orthogonally by low dNTP primer extension. Bioinformatic screening of the X. laevis transcriptome revealed candidate box C/D snoRNAs for all methylated positions. Mapping of 2'-O methylation at six developmental stages in individual embryos indicated a trend towards reduced methylation at specific positions during development. We conclude that fibrillarin knockdown in early Xenopus embryos causes reduced production of functional ribosomal subunits, thus impairing NCC formation and migration.
???displayArticle.pubmedLink??? 35041640
???displayArticle.pmcLink??? PMC8797249
???displayArticle.link??? PLoS Genet
Species referenced: Xenopus laevis
Genes referenced: ctrl dmrta2 fbl gapdh hes4 krt12 krt12.5 msx1 ncl nog nop58 npat npb pax2 pax6 prdm12 slc12a3 sox2 tp53 twist1 ubtf wnt8a
???displayArticle.antibodies??? Fbl Ab1 FLAG Ab1 Tuba4a Ab3
???displayArticle.morpholinos??? fbl MO1 ncl MO1 ubtf MO1
Phenotypes: Xla Wt + fbl MO(Fig. 3A) [+]
Xla Wt + fbl MO(Fig. 3A)
Xla Wt + fbl MO(Fig. 3C)
Xla Wt + fbl MO(Fig. S2.)
Xla Wt + ncl MO(Fig. S2)
Xla Wt + ubtf MO(Fig. S2)
Xla Wt + fbl MO(Fig. 3C)
Xla Wt + fbl MO(Fig. S2.)
Xla Wt + ncl MO(Fig. S2)
Xla Wt + ubtf MO(Fig. S2)
???attribute.lit??? ???displayArticles.show???
|
|
Fig 1. Spatiotemporal expression of fbl, ncl, and ubtf in Xenopus laevis during development. A, fbl, ncl, and ubtf mRNAs were detected in X. laevis during development by whole mount in situ hybridization (WISH). The stages and, where relevant, the animal and vegetal poles are indicated. The schematics highlight the labeled structures at stage 18 (neurulation) and at stages 25â32 (organogenesis). NCCs, neural crest cells; H, hindbrain; M, midbrain; E, eyes; P, pronephros; BA, branchial arches. B, fbl expression was analyzed by RT-qPCR in animal cap explants injected either with noggin (to induce differentiation to neural tissue detected with sox3) or with noggin and wnt8 (to stimulate differentiation to neural crest tissue detected with slug). Non-induced (non-injected) cap explants naturally differentiate to epiderm detected with krt12. As a control, expression of the inspected genes was normalized to gapdh. fbl was most abundantly expressed in neural crest tissue. C, Spatial distribution of fbl mRNAs established by WISH in E14.5 mouse embryos. The schematics indicate the orientation of the section plane (dashed line). v, vibrissae; m, mesenchyma; c, primordium of mandibular cartilage; r, retina; sm, submandibular glands. |
|
|
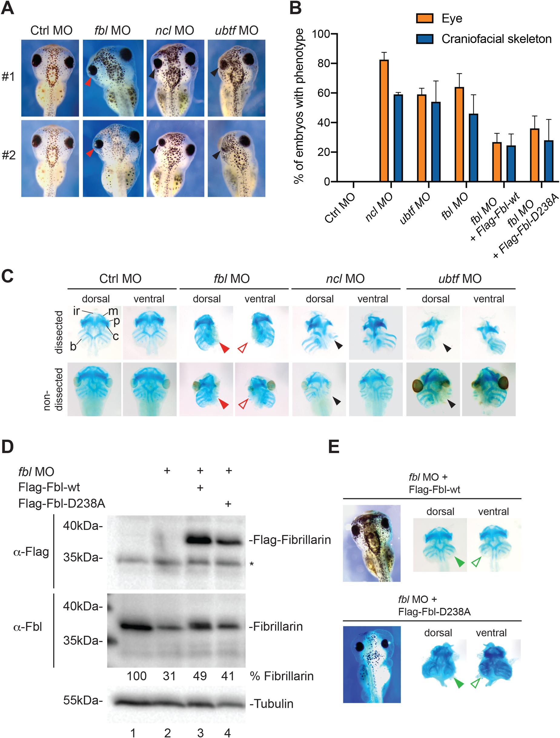
Fig 2. Morphological defects during Xenopus laevis development upon Fbl, Ncl, or Ubtf depletion. A, Embryos injected unilaterally at the two-cell stage with the indicated morpholino (MO) were inspected under the microscope at stage 42. As a control, a non-targeting morpholino (Ctrl) was used. Two embryos are presented (#1 and #2), with the left side injected. With the Ctrl morpholino and those targeting ubtf, and ncl expression, two independent experiments were performed, the total number of embryos tested being 100, 94 and 77, respectively. With the morpholino targeting fbl expression, a total of 154 embryos were analyzed in three independent experiments. B, Quantification of the data presented in panels A and E. Percentage of embryos displaying reduced eye size, or craniofacial skeleton defects (head asymmetry). C, Cartilage staining with alcian blue revealed a defect in all the branchial cartilages, namely: ir, infrarostral; m, meckel; p, palatoquadrate; c, ceratohyal; b, other branchial cartilages. Non-dissected and dissected embryos are presented for comparison. Arrowheads highlight striking reduction, or near-complete loss of the branchial arches. D, Western blot analysis of Fbl-depleted and rescued morphants. Total protein was extracted from individual neurula embryos; one embryo equivalent was loaded per lane. The blots were probed with an anti-Flag antibody (top panel) or an anti-Fbl antibody (bottom panel). The anti-Flag antibody detects only the rescue constructs (Flag-Fbl-wt or Flag-Fbl-D238A). The asterisk (*) denotes detection of an aspecific band. The anti-Fbl antibody detects both the endogenous protein and the rescue constructs. The percentage of Fbl expressed with respect to the uninjected control is indicated. The western blots displayed are representative of four independent experiments. As loading control, the blots were probed for alpha-tubulin. E, Both the wild-type Flag-Fbl and the catalytically deficient Flag-Fbl-D238A restored formation of branchial arches to about half the normal size. Representative example of an embryo co-injected with fbl MO and either a MO-resistant wild-type rescue construct (top) or the same construct harboring the D238A mutation (bottom). A total of 77 and 65 embryos were analyzed in two independent experiments with the Flag-Fbl-wt and Flag-Fbl-D238A construct, respectively. |
|
|
Fig 3. The distribution of developmental markers is affected upon Fbl depletion in Xenopus laevis. A, Expression patterns of a series of representative developmental markers established by WISH in embryos asymmetrically depleted of Fbl. The embryos were observed at the neurula stage (stages 15â18) or at organogenesis (early tadpole, stage 32). ep, epidermis; np, neural plate; npb, neural plate border; ba, branchial arches; nc, neural crest; ot, otic placode; mhj, midbrain-hindbrain junction; Ip, lens placode; b, brain; e, eye; pn, pronephros; tg, trigeminal placode; p1, V1 interneuron progenitors of the spinal cord. The injected side of each embryo was identified by co-injecting lacZ mRNA. B, The altered distribution of twist and pax6 transcripts, observed upon Fbl depletion, was restored by co-injecting embryos with MO and an mRNAs encoding the wild-type protein (Flag-Fbl-wt) or the D238A (Flag-Fbl-D238A) mutant. Legend as in panel A. The injected side of the embryos was identified by co-injecting lacZ mRNA. In panels A and B, the penetrance of the phenotype (number of embryos with reduced expression of the marker vs. the total number of observed embryos) is indicated at the bottom right of each panel. C, Detection of apoptotic DNA fragmentation by TUNEL. Embryos were unilaterally injected with fbl MO alone or together with p53 MO. As controls, embryos were injected with a Ctrl MO or with a transcript encoding DMRT5, known to promote apoptosis. The number of embryos with increased apoptosis vs. the total number of observed embryos is indicated. |
|
|
Fig 4. RiboMethSeq analysis of Xenopus 18S, 5.8S, and 28S rRNAs. The methylation status of rRNAs was investigated systematically by RiboMethSeq at six developmental stages (stages 2, 10, 16, 23, 32, and 45). At each stage, RNA extracted from four individual embryos was sequenced independently. X axis, modified nucleotides. Y axis, methylation scores (see S1 and S2 Tables for values). In bold, positions hypomodified at all stages (using a cut-off of 0.75). Inset, representative pictures of embryos at each analyzed stage are displayed. |
|
|
Fig 5. Orthogonal validation by low dNTP primer extension analysis of newly identified 2’-O methylated positions on Xenopus 28S rRNA. Low dNTP primer extension has proved efficient for specifically detecting 2’-O methylated nucleotides [61]. Total RNA extracted from stage 23 X. laevis embryos was analyzed by primer extension using regular or low dNTP conditions with sixteen oligonucleotides (LD4277 to LD4292) designed to survey 23 positions on the 28S rRNA. A position was confirmed when the signal obtained with low-concentration dNTP was higher than that observed with the regular concentration. The analysis confirmed all 23 positions inspected (highlighted by red squares). Note that position 3501 was confirmed twice, once with oligonucleotide LD4288 and once with LD4289. |
|
|
S1 Fig. RT-PCR analysis of fbl, ubtf, and ncl expression during X. laevis development. Total RNA extracted from embryos at the indicated stages was analyzed by RT-PCR using amplicons specific to fbl, ubtf, or ncl transcripts (see Materials and Methods). https://doi.org/10.1371/journal.pgen.1010012.s001 |
|
|
S2 Fig. Relative retinal pigmented epithelium (RPE) area of data presented in Fig 2A. Relative retinal pigmented epithelium (RPE) area (Kolmogorov-Smirnov test, **** = p<0.0001, ** = p<0.01). https://doi.org/10.1371/journal.pgen.1010012.s002 |
|
|
S3 Fig. Conservation of fibrillarin residues important for methyltransferase function. The residue mutated in this work (D238 in Xenopus laevis) is highlighted in red in both panels. In the atomic resolution structure of Archaeoglobus fulgidus fibrillarin-Nop5 complex bound to its cofactor and methyl donor S-adenosyl-L-methionine (AdoMet), it was shown that Asp-133 (equivalent to Xenopus laevis D238) is situated within 3.5 Ã of the thiomethyl carbon of the bound AdoMet, implying that it plays a role as a catalytic residue [48]. When this residue was mutated to an alanine, the methylation activity of the complex was indeed totally abolished in an in vitro methylation assay [49]. It has been suggested that Asp-133 in fibrillarin may act as a general base by deprotonating the 2â-OH group of the target RNA during catalysis. It has further been suggested that Asp-133 may also facilitate cofactor binding through favorable electrostatic interactions [48,49]. A, 3-D model of the catalytic pocket of human fibrillarin (based on PDB 2ipx). D238 (in red, Xenopus numbering) is directly adjacent to the AdoMet (stick representation) with the methyl group to be transferred from the cofactor to the RNA substrate represented in pink. B, Multiple alignment between fibrillarin proteins of different origins (HUMAN, Homo sapiens; XENLA; Xenopus laevis; YEAST, Saccharomyces cerevisiae; ARCFU, Archaeoglobus fulgidus; PYRFU, Pyrococcus furiosus; and METJA, Methanocaldococcus jannaschii). Residues highlighted in blue and red (K/D/K) are absolutely conserved and correspond to the catalytic triad. The D residue in this triad is the residue mutated in this work. Bold, residues important for SAM binding. Asterisks, residues identical across all six species examined. Sequences were aligned with CLUSTAL. https://doi.org/10.1371/journal.pgen.1010012.s003 |
|
|
S4 Fig. Xenopus fibrillarin is required for small ribosomal subunit synthesis. Total RNA extracted from stage 32 embryos injected into each cell at the 2-cell stage with fbl MO or with a non-targeting MO (Ctrl) was separated on denaturing agarose gel and processed for northern blotting with radioactively-labeled probes designed to detect pre-rRNA precursors. As a control, non-injected embryos were used. A, Ethidium-bromide-stained gel. Note that the mature 18S and 28S rRNAs appear as doublets, as previously described [83]. B, Northern blot analysis of pre-rRNA intermediates detected with probes specific to the 5â-ETS, the ITS1, and mature 18S rRNA (see panel C). C, Processing pathway in Xenopus [38]. Cleavage sites (Aâ to 5) are indicated. The probes used in the northern blotting (panel B) are highlighted in color. https://doi.org/10.1371/journal.pgen.1010012.s004 |
|
|
S5 Fig. Clustering analysis illustrates the robustness of the RiboMethSeq data. At each of the six developmental stages analyzed, four individual embryos were tested. Clustering of the RiboMethSeq analysis (here shown only for the 18S and 5.8S rRNA modifications; the same result was observed with 28S rRNA modifications) illustrates the remarkable robustness of our dataset. The staged embryos analyzed are depicted. https://doi.org/10.1371/journal.pgen.1010012.s005 |
|
|
fbl (fibrillarin) gene expression in Xenopus laevis embryo, via in situ hybridization, NF stage 4, animal view. |
|
|
fbl (fibrillarin) gene expression in Xenopus laevis embryo, via in situ hybridization, NF stage 4, vegetal view. |
|
|
fbl (fibrillarin) gene expression in Xenopus laevis embryo, via in situ hybridization, NF stage 11, animal view. |
|
|
fbl (fibrillarin) gene expression in Xenopus laevis embryo, via in situ hybridization, NF stage 11, vegetal view. |
|
|
fbl (fibrillarin) gene expression in Xenopus laevis embryo, via in situ hybridization, NF stage 18, dorsal view, anterior left. |
|
|
fbl (fibrillarin) gene expression in Xenopus laevis embryo, via in situ hybridization, NF stage 25, lateral view, anterior right, dorsal up. |
|
|
fbl (fibrillarin) gene expression in Xenopus laevis embryo, via in situ hybridization, NF stage 32, lateral view, anterior right, dorsal up. |
|
|
ncl (nucleolin) gene expression in Xenopus laevis embryo, via in situ hybridization, NF stage 4, animal view. |
|
|
ncl (nucleolin) gene expression in Xenopus laevis embryo, via in situ hybridization, NF stage 4, vegetal view. |
|
|
ncl (nucleolin) gene expression in Xenopus laevis embryo, via in situ hybridization, NF stage 10, animal view. |
|
|
ncl (nucleolin) gene expression in Xenopus laevis embryo, via in situ hybridization, NF stage 11, vegetal view. |
|
|
ncl (nucleolin) gene expression in Xenopus laevis embryo, via in situ hybridization, NF stage 18, dorsal view, anterior left. |
|
|
ncl (nucleolin) gene expression in Xenopus laevis embryo, via in situ hybridization, NF stage 25, lateral view, anterior right, dorsal up. |
|
|
ncl (nucleolin) gene expression in Xenopus laevis embryo, via in situ hybridization, NF stage 32, lateral view, anterior right, dorsal up. |
|
|
ubtf (upstream binding transcription factor) gene expression in Xenopus laevis embryo, via in situ hybridization, NF stage 4, animal view. |
|
|
ubtf (upstream binding transcription factor) gene expression in Xenopus laevis embryo, via in situ hybridization, NF stage 4, vegetal view. |
|
|
ubtf (upstream binding transcription factor) gene expression in Xenopus laevis embryo, via in situ hybridization, NF stage 10, animal view. |
|
|
ubtf (upstream binding transcription factor) gene expression in Xenopus laevis embryo, via in situ hybridization, NF stage 10, vegetal view. |
|
|
ubtf (upstream binding transcription factor) gene expression in Xenopus laevis embryo, via in situ hybridization, NF stage 18-19, dorsal view, anterior left. |
|
|
ubtf (upstream binding transcription factor) gene expression in Xenopus laevis embryo, via in situ hybridization, NF stage 26, lateral view, anterior right. |
|
|
References [+] :
Aittaleb,
Structural and thermodynamic evidence for a stabilizing role of Nop5p in S-adenosyl-L-methionine binding to fibrillarin.
2004, Pubmed
Aittaleb, Structural and thermodynamic evidence for a stabilizing role of Nop5p in S-adenosyl-L-methionine binding to fibrillarin. 2004, Pubmed
Aittaleb, Structure and function of archaeal box C/D sRNP core proteins. 2003, Pubmed
Bellodi, H/ACA small RNA dysfunctions in disease reveal key roles for noncoding RNA modifications in hematopoietic stem cell differentiation. 2013, Pubmed
Birkedal, Profiling of ribose methylations in RNA by high-throughput sequencing. 2015, Pubmed
Bohnsack, Uncovering the assembly pathway of human ribosomes and its emerging links to disease. 2019, Pubmed
Borovjagin, U3 small nucleolar RNA is essential for cleavage at sites 1, 2 and 3 in pre-rRNA and determines which rRNA processing pathway is taken in Xenopus oocytes. 1999, Pubmed , Xenbase
Bouffard, Fibrillarin is essential for S-phase progression and neuronal differentiation in zebrafish dorsal midbrain and retina. 2018, Pubmed
Bugner, Peter Pan functions independently of its role in ribosome biogenesis during early eye and craniofacial cartilage development in Xenopus laevis. 2011, Pubmed , Xenbase
Christian, Xwnt-8, a Xenopus Wnt-1/int-1-related gene responsive to mesoderm-inducing growth factors, may play a role in ventral mesodermal patterning during embryogenesis. 1991, Pubmed , Xenbase
Deryusheva, "Lost and Found": snoRNA Annotation in the Xenopus Genome and Implications for Evolutionary Studies. 2020, Pubmed , Xenbase
Dixon, Tcof1/Treacle is required for neural crest cell formation and proliferation deficiencies that cause craniofacial abnormalities. 2006, Pubmed
Erales, Evidence for rRNA 2'-O-methylation plasticity: Control of intrinsic translational capabilities of human ribosomes. 2017, Pubmed
Farley-Barnes, Ribosomopathies: Old Concepts, New Controversies. 2019, Pubmed
Genuth, Heterogeneity and specialized functions of translation machinery: from genes to organisms. 2018, Pubmed
Genuth, The Discovery of Ribosome Heterogeneity and Its Implications for Gene Regulation and Organismal Life. 2018, Pubmed
Gessert, Pescadillo is required for Xenopus laevis eye development and neural crest migration. 2007, Pubmed , Xenbase
Griffin, RPSA, a candidate gene for isolated congenital asplenia, is required for pre-rRNA processing and spleen formation in Xenopus. 2018, Pubmed , Xenbase
Griffin, The ribosome biogenesis factor Nol11 is required for optimal rDNA transcription and craniofacial development in Xenopus. 2015, Pubmed , Xenbase
Griffiths-Jones, Rfam: an RNA family database. 2003, Pubmed
Hebras, Developmental changes of rRNA ribose methylations in the mouse. 2020, Pubmed
Henras, Synthesis, Function, and Heterogeneity of snoRNA-Guided Posttranscriptional Nucleoside Modifications in Eukaryotic Ribosomal RNAs. 2017, Pubmed
Henras, An overview of pre-ribosomal RNA processing in eukaryotes. 2015, Pubmed
Hensey, Programmed cell death during Xenopus development: a spatio-temporal analysis. 1998, Pubmed , Xenbase
Higa-Nakamine, Loss of ribosomal RNA modification causes developmental defects in zebrafish. 2012, Pubmed
Hopwood, A Xenopus mRNA related to Drosophila twist is expressed in response to induction in the mesoderm and the neural crest. 1989, Pubmed , Xenbase
Jones, Prevention of the neurocristopathy Treacher Collins syndrome through inhibition of p53 function. 2008, Pubmed
Kampen, Hallmarks of ribosomopathies. 2020, Pubmed
Klinge, Ribosome assembly coming into focus. 2019, Pubmed
Kondrashov, Ribosome-mediated specificity in Hox mRNA translation and vertebrate tissue patterning. 2011, Pubmed
Krogh, Profiling of 2'-O-Me in human rRNA reveals a subset of fractionally modified positions and provides evidence for ribosome heterogeneity. 2016, Pubmed
LaBonne, Neural crest induction in Xenopus: evidence for a two-signal model. 1998, Pubmed , Xenbase
Lafontaine, A 'garbage can' for ribosomes: how eukaryotes degrade their ribosomes. 2010, Pubmed
Lafontaine, Noncoding RNAs in eukaryotic ribosome biogenesis and function. 2015, Pubmed
Leismann, The 18S ribosomal RNA m6 A methyltransferase Mettl5 is required for normal walking behavior in Drosophila. 2020, Pubmed
Li, Ribosome heterogeneity in stem cells and development. 2020, Pubmed
Lowe, A computational screen for methylation guide snoRNAs in yeast. 1999, Pubmed
Madeira, The EMBL-EBI search and sequence analysis tools APIs in 2019. 2019, Pubmed
Maden, Identification of the locations of the methyl groups in 18 S ribosomal RNA from Xenopus laevis and man. 1986, Pubmed , Xenbase
Maden, Locations of methyl groups in 28 S rRNA of Xenopus laevis and man. Clustering in the conserved core of molecule. 1988, Pubmed , Xenbase
Maden, Mapping 2'-O-methyl groups in ribosomal RNA. 2001, Pubmed
Maden, Classical and novel approaches to the detection and localization of the numerous modified nucleotides in eukaryotic ribosomal RNA. 1995, Pubmed , Xenbase
Maden, The numerous modified nucleotides in eukaryotic ribosomal RNA. 1990, Pubmed
Marcel, p53 acts as a safeguard of translational control by regulating fibrillarin and rRNA methylation in cancer. 2013, Pubmed
Marchand, Illumina-based RiboMethSeq approach for mapping of 2'-O-Me residues in RNA. 2016, Pubmed
Mills, Ribosomopathies: There's strength in numbers. 2017, Pubmed
Newton, Fibrillarin is essential for early development and required for accumulation of an intron-encoded small nucleolar RNA in the mouse. 2003, Pubmed
Nichane, Hairy2-Id3 interactions play an essential role in Xenopus neural crest progenitor specification. 2008, Pubmed , Xenbase
Nicolas, Involvement of human ribosomal proteins in nucleolar structure and p53-dependent nucleolar stress. 2016, Pubmed
Noack Watt, The Roles of RNA Polymerase I and III Subunits Polr1c and Polr1d in Craniofacial Development and in Zebrafish Models of Treacher Collins Syndrome. 2016, Pubmed
Palasin, Abnormal development of zebrafish after knockout and knockdown of ribosomal protein L10a. 2019, Pubmed
Parlier, The Xenopus doublesex-related gene Dmrt5 is required for olfactory placode neurogenesis. 2013, Pubmed , Xenbase
Peña, Eukaryotic ribosome assembly, transport and quality control. 2017, Pubmed
Polikanov, Structural insights into the role of rRNA modifications in protein synthesis and ribosome assembly. 2015, Pubmed
Ramachandran, The shift from early to late types of ribosomes in zebrafish development involves changes at a subset of rRNA 2'-O-Me sites. 2020, Pubmed
Richard, Bi-allelic Variants in METTL5 Cause Autosomal-Recessive Intellectual Disability and Microcephaly. 2019, Pubmed
Robson, Expression of ribosomopathy genes during Xenopus tropicalis embryogenesis. 2016, Pubmed , Xenbase
Ruggero, Dyskeratosis congenita and cancer in mice deficient in ribosomal RNA modification. 2003, Pubmed
Savino, In vivo disruption of Xenopus U3 snRNA affects ribosomal RNA processing. 1990, Pubmed , Xenbase
Schlosser, Molecular anatomy of placode development in Xenopus laevis. 2004, Pubmed , Xenbase
Sharma, Identification of sites of 2'-O-methylation vulnerability in human ribosomal RNAs by systematic mapping. 2017, Pubmed
Sharma, 'View From A Bridge': A New Perspective on Eukaryotic rRNA Base Modification. 2015, Pubmed
Shi, Heterogeneous Ribosomes Preferentially Translate Distinct Subpools of mRNAs Genome-wide. 2017, Pubmed
Sloan, Tuning the ribosome: The influence of rRNA modification on eukaryotic ribosome biogenesis and function. 2017, Pubmed
Smith, Expression cloning of noggin, a new dorsalizing factor localized to the Spemann organizer in Xenopus embryos. 1992, Pubmed , Xenbase
Steitz, A structural understanding of the dynamic ribosome machine. 2008, Pubmed
Tafforeau, The complexity of human ribosome biogenesis revealed by systematic nucleolar screening of Pre-rRNA processing factors. 2013, Pubmed
Talhouarne, Lariat intronic RNAs in the cytoplasm of Xenopus tropicalis oocytes. 2014, Pubmed , Xenbase
Taoka, Landscape of the complete RNA chemical modifications in the human 80S ribosome. 2018, Pubmed
Tecza, Pescadillo homologue 1 and Peter Pan function during Xenopus laevis pronephros development. 2011, Pubmed , Xenbase
Thélie, Prdm12 specifies V1 interneurons through cross-repressive interactions with Dbx1 and Nkx6 genes in Xenopus. 2015, Pubmed , Xenbase
Tollervey, The small nucleolar RNP protein NOP1 (fibrillarin) is required for pre-rRNA processing in yeast. 1991, Pubmed
Uechi, Deficiency of ribosomal protein S19 during early embryogenesis leads to reduction of erythrocytes in a zebrafish model of Diamond-Blackfan anemia. 2008, Pubmed
Uechi, Zebrafish Models of Diamond-Blackfan Anemia: A Tool for Understanding the Disease Pathogenesis and Drug Discovery. 2019, Pubmed
van Tran, The human 18S rRNA m6A methyltransferase METTL5 is stabilized by TRMT112. 2019, Pubmed
Verheggen, Presence of pre-rRNAs before activation of polymerase I transcription in the building process of nucleoli during early development of Xenopus laevis. 1998, Pubmed , Xenbase
Watkins, The box C/D and H/ACA snoRNPs: key players in the modification, processing and the dynamic folding of ribosomal RNA. 2012, Pubmed
Wilkinson, Detection of messenger RNA by in situ hybridization to tissue sections and whole mounts. 1993, Pubmed
Yamada, RPS25 is required for efficient RAN translation of C9orf72 and other neurodegenerative disease-associated nucleotide repeats. 2019, Pubmed
Yao, Nascent Pre-rRNA Sorting via Phase Separation Drives the Assembly of Dense Fibrillar Components in the Human Nucleolus. 2019, Pubmed
Yelick, Ribosomopathies: Global process, tissue specific defects. 2015, Pubmed
Zhao, Tissue specific roles for the ribosome biogenesis factor Wdr43 in zebrafish development. 2014, Pubmed
