XB-ART-59190
Mol Biol Evol
2022 Jul 02;397:. doi: 10.1093/molbev/msac138.
Show Gene links
Show Anatomy links
Neofunctionalization of a Noncoding Portion of a DNA Transposon in the Coding Region of the Chimerical Sex-Determining Gene dm-W in Xenopus Frogs.
???displayArticle.abstract???
Most vertebrate sex-determining genes (SDGs) emerge as neofunctionalized genes through duplication and/or mutation of ancestral genes that are involved with sexual differentiation. We previously demonstrated dm-W to be the SDG in the African clawed frog Xenopus laevis and found that a portion of this gene emerged from the masculinization gene dmrt1 after allotetraploidization by interspecific hybridization between two ancestral species around 17-18 Ma. dm-W has four exons consisting of a noncoding exon 1, dmrt1-derived exons 2 and 3, and an orphan exon 4 (Ex4) of unknown origin that includes coding sequence (CDS). In this study, we searched for the origin of Ex4 and investigated the function of the CDS of this exon. We found that the Ex4-CDS is derived from a noncoding portion of the hAT-10 family of DNA transposon. Evolutionary analysis of transposons and determination of the Ex4 sequences from three other species indicated that Ex4 was generated before the diversification of most or all extant allotetraploid species in subgenus Xenopus, during which time we hypothesize that transposase activity of this hAT superfamily was active. Using DNA-protein binding and transfection assays, we further demonstrate that the Ex4-encoded amino acid sequence increases the DNA-binding ability and transrepression activity of DM-W. These findings suggest that the conversion of the noncoding transposon sequence to the CDS of dm-W contributed to neofunctionalization of a new chimeric SDG in the ancestor of the allotetraploid Xenopus species, offering new insights into de novo origin and functional evolution of chimerical genes.
???displayArticle.pubmedLink??? 35763822
???displayArticle.pmcLink??? PMC9250109
???displayArticle.link??? Mol Biol Evol
Species referenced: Xenopus tropicalis Xenopus laevis
Genes referenced: dm-w dmrt1 tes
GO keywords: sex determination [+]
???attribute.lit??? ???displayArticles.show???
|
|
Fig. 1. hAT-10 DNA transposon-derived fragments on the dm-W intron 3 and exon 4 (Ex4). (A) Distributions of transposon-derived DNA fragments in and around Ex4 of Xenopus laevis (Xl) dm-W and comparison to X. tropicalis (Xt) hAT-10 DNA transposons. Noncoding and coding portions of exons of dm-W are indicated with white and gray boxes, respectively (upper). Colored boxes in X. laevis dm-W represent TE distribution by CENSOR as indicated (middle). A box in X. tropicalis hAT-10 DNA transposon shows homologous regions to the dm-W hAT-10-derived ones (lower). (B) Schematic comparison among the dm-W Ex4 and its corresponding regions from Xt hAT-10 to Xl hAT-10-derived sequences. The hAT-10-derived sequences were classified into three regions (named A, B, and C) based on sequence similarity. Region A (133 bp of the third intron and 16 bp of Ex4 in dm-W) and C (108 bp of Ex4 and 207 bp downstream) shared high sequence identity among them, whereas region B (219 bp of the Ex4) has lower sequence identity between Xt hAT-10 and each Xl hAT-10 transposon-derived sequence. Nucleotide sequence identity (%) with dm-W is shown on each region. Noncoding and coding exons are represented by white and gray boxes, respectively. The green triangle shows a terminal inverted repeat (TIR). (C) A partial comparison of nucleotide sequences within and adjacent to the Ex4-CDS among the five hAT-10 transposon-derived sequences from X. laevis in (B). Splicing acceptor site AG, a deletion, and a sequence for a stop codon are shaded. |
|
|
Fig. 2. Molecular evolution of hAT superfamily, hAT-10 family, and hAT-10-derived Ex4 in Xenopus frogs. (A) Copy numbers of Xt hAT-10 transposase (Tp)-like sequences, hAT-10-derived Ex4-like sequences (AC in fig. 1B), hAT-10-derived Ex4-CDS-like sequences [B in A] in 14 vertebrate species, including anuran amphibians (Xenopus laevis, X. borealis, X. tropicalis, Nanorana parkeri, Rana catesbeiana, and Rhinella marina), an urodele amphibian (Ambystoma mexicanum), a caecilian amphibian (Geotrypetes seraphini), a bird (Gallus gallus), mammals (Homo sapiens and Mus musculus), teleost fish (Oryzias latipes and Tetraodon nigroviridis), and a cartilaginous fish (Callorhinchus milii). GenBank assembly accession of 11 species except for the three Xenopus species used is shown in supplementary fig. S3, Supplementary Material online. (B) A repeat landscape of hAT superfamily consisting of the five families, as inferred in the X. laevis genome using RepeatMasker (upper). The y-axis and x-axis show percentages of each family on the genome and Jukes-Cantor-corrected divergence, respectively. The estimated divergence time of the hAT-10-derived regions on and around dm-W Ex4 from the hAT-10 consensus sequence is shown by a triangle on the landscape. After the ancestors of X. laevis and X. tropicalis diverged at 48Ma, speciation and hybridization of the predicted L and S species occurred at 34 and 1718Ma, respectively (Session et al. 2016). [[Supplementary table 3. GenBank assembly accession of 11 vertebrate species used in fig. 2. Rana catesbeiana RCv2.1 GCA_002284835.2 Nanorana parkeri ASM93562v1 GCA_000935625.1 Rhinella marina RM170330 GCA_900303285.1 Ambystoma mexicanum AmbMex60DD GCA_002915635.3 Geotrypetes seraphini aGeoSer1.2 GCA_902459505.2 Homo sapience GRCh38.p13 GCA_000001405.28 Mus musculus GRCm39 GCA_000001635.9 Gallus gallus bGalGal1.mat.broiler.GRCg7b GCA_016699485.1 Oryzias latipes ASM223467v1 GCA_002234675.1 Tetraodon nigroviridis ASM18073v1 GCA_000180735.1 Callorhinchus milii Callorhinchus_milii-6.1.3 GCA_000165045.2]] |
|
|
Fig. 3 The nucleotide and deduced amino acid sequence alignments of the Ex4-CDS of dm-W among four allopolyploid Xenopus species. (A) A multiple nucleotide sequence alignment within and adjacent to Ex4-CDS of X. laevis, X. largeni (MCZ-A cryogenic 333), X. itombwensis (MCZ-A A136197), and X. petersii. Red font highlights the positions of TAG and TAA stop codons. (B) A multiple alignment of the Ex4-encoded amino acid sequences from the four DNA sequences in (A) (upper) and the ML phylogenetic tree of the Ex4 sequences and/or their corresponding hAT-10-derived sequences from X. laevis, X. largeni, X. itombwensis, and X. petersii (lower). Numbers at each node denote the ML/NJ bootstrap percentages of 1000 replicates. |
|
|
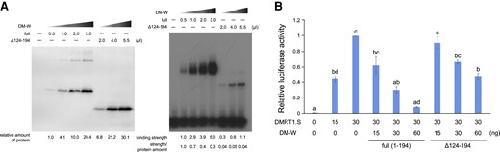
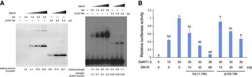
Fig. Effects of the transposon-derived Ex4 coding region in in vitro DNA binding and transrepression activities of DM-W. (A) In vitro DNA binding of DM-W (full length) and its C-terminal truncated protein, DM-W (Δ124–194), to the DMRT1-binding sequence. Flag-DM-W(full) and Flag-DM-W(Δ124–194) were produced by in vitro transcription–translation system and analyzed by Western blot analysis with an anti-FLAG antibody followed by an HRP-conjugated antimouse antibody (left). The relative intensity values were shown below. EMSA was performed using in vitro synthesized Flag-DM-W(full) (0.5, 1.0, 2.0, or 3.0 μl) or Flag-DM-W(Δ124–194) (2.0, 4.0, or 5.5 μl) and 32P-labeled double-stranded oligonucleotides containing the DMRT1-binding sequence. The relative intensity values to the protein amounts, binding strength, and ratio of strength/protein amount were shown below. (B) The luciferase reporter assay for the DM-W transrepression activity on DMRT1-driven transcription. The DMRT1-driven luciferase reporter and an expression plasmid for DMRT1.S and DM-W(full) or DM-W(Δ124–194) were transfected into HEK293T cells and posttransfection (24 h) luciferase activity was measured. Letters (a–d) indicate significant differences based on a one-way ANOVA, followed by the Tukey–Kramer HSD test (P < 0.01). |
|
|
Supplementary fig. 1. Xenopus frog diversification and the emergence of dm-W after allotetraploidization The figure was constructed based on finding from five studies (Evans et al. 2011, 2015, 2019; Session et al. 2016; Mawaribuchi et al. 2017b). |
|
|
Supplementary fig. 2. Patches of homology among four Xenopus dmrt1 homologous genes, X. laevis (Xl) dm-W, Xl dmrt1.L, Xl dmrt1.S, and X. tropicalis (Xt) dmrt1 using VISTA tool VISTA plots of the four genomic regions (100 kb of Scaffold78 on Xl chr2L, 96 kb on Xl chr1L, 75 kb on Xl chr1S, and 73 kb on Xt chr 1) were constructed by using Xl dm-W (upper panel) and Xl dmrt1.S (lower panel), respectively, as references. Dark blue and light blue indicate homologous coding and non-coding exons of genes, respectively. Pink shows conserved non-CDSs. |
|
|
Supplementary fig. 3. A phylogenetic tree of the regions containing the DM domain-coding sequences among X. laevis (Xl) dm-W, dmrt1.S, dmrt1.L, and X. tropicalis (Xt) dmrt1 The tree was constructed using the MEGAX program, based on about 1700 nucleotide sequences from the upstream region of Ex2 to the downstream region of Ex3 of dm-W and its corresponding ones of Xl dmrt1.L and Xl dmrt1.S and Xt dmrt1 as an outgroup. In the NJ and ML analyses, the best-fit model of nucleotide substation was selected by model selection using likelihood ratio test. An identical topology was obtained for genes in both analyses. The ML tree is shown as a representative example. Numbers at each node denote the NJ/ML bootstrap percentage values based on 1000 replicates. |
|
|
Supplementary Fig. 4. Density of transposable elements (TEs) in X. laevis dm-W, dmrt1.L, and dmrt1.S and flanking regions CENSOR program was used for the density of TEs, which shows a color gradient between blue (low) and red (high). Noncoding exons and coding portions of exons are represented by white and grey boxes, respectively. Numbers over each intron shown by horizontal black line indicate the proportions (%) of each intron that is comprised of TE sequence. |
|
|
Supplementary fig. 6. Nucleotide sequence alignments among five hAT-10-derived sequences including dm-W Ex4 from X. laevis and its corresponding one of Xt hAT-10 (A) Sequence alignments of the regions A, and a part of B (see Fig. 1) among the five X. laevis hAT-10-derived sequences on dm-W-containing scaffold 78, chromosome 2L, chromosome 7L, scaffold 19, and scaffold 30, and X. tropicalis hAT-10. Identical nucleotides among all the five sequences and four sequences are shown by white letters on black background and black letters on grey background, respectively. The numbers on the alignments indicate those corresponding to Xt hAT-10 sequence. Pale blue, pink and grey horizontal lines indicate the homologous region with Xt hAT-10 sequence, Xl dm-W Ex4 CDS, and its non-CDS, respectively. see next image for Suppl fig 6(B) |
|
|
Supplementary fig. 6. Nucleotide sequence alignments among five hAT-10-derived sequences including dm-W Ex4 from X. laevis and its corresponding one of Xt hAT-10 [continued ] (B) Sequence alignments of the regions A, B, and a part of C (see Fig. 1) among the three hAT-10-derived sequences on dm-W-containing scaffold 78, scaffold30 and Xt hAT-10. Pale blue, pink and grey show the same as in (A). Nucleotide sequences in pale blue-violet shading indicate the region which was recognized as Xt hAT-10 sequence by CENSOR program. Asterisks represent identical nucleotides among the three. |
|
|
Supplementary fig. 7. Sequence comparison of Xenopus hAT-10-derived A-C regions (A) Schematic comparison among Xenopus (X) tropicalis and X. laevis hAT-10-derived A-C consensus sequences and their surrounding regions. The numbers under the A, B, and C regions show nucleotide identity (%) in pairwise comparisons between genes depicted above and below the values. (B) Sequence comparisons of the eight X. laevis and six X. borealis hAT-10-derived A-C sequences in Figure 2A and supplementary table 2, respectively, which were constructed by Jalview (https://www.jalview.org/). Nucleotides A, T, G, and C correspond to light green, blue, red, and orange, respectively. |
|
|
Supplementary Table 1. Nucleotide sequence identity (%) of three regions A - C for comparisons between dm-W and X. laevis hAT-10-like sequences A. Sequence identity of dm-W Ex4-containing sequences to Xl and Xt hAT-10-like sequences Note: Sequence identities were examined by “Search Global Homology” in GENETYX-MAC or “MUSCLE alignment program”. More than 70 % identity between two sequences is shown in red. |
|
|
Supplementary Table 1. Nucleotide sequence identity (%) of three regions A - C for comparisons between dm-W and X. laevis hAT-10-like sequences B. Sequence identity of Xt hAT-10 to Xl hAT-10-like sequences Note: Sequence identities were examined by “Search Global Homology” in GENETYX-MAC or “MUSCLE alignment program”. More than 70 % identity between two sequences is shown in red. |
|
|
Supplementary Table 2. Nucleotide sequence identity (%) of three regions A - C for comparisons between dm-W and X. borealis hAT-10-like sequences |
References [+] :
Ågren,
Selfish genetic elements.
2018, Pubmed
Ågren, Selfish genetic elements. 2018, Pubmed
Alonge, RaGOO: fast and accurate reference-guided scaffolding of draft genomes. 2019, Pubmed
Alzohairy, Transposable elements domesticated and neofunctionalized by eukaryotic genomes. 2013, Pubmed
Anderson, Potential roles for transposable elements in creating imprinted expression. 2018, Pubmed
Ariel, When junk DNA turns functional: transposon-derived non-coding RNAs in plants. 2021, Pubmed
Bewick, Evolution of the closely related, sex-related genes DM-W and DMRT1 in African clawed frogs (Xenopus). 2011, Pubmed , Xenbase
Bourque, Ten things you should know about transposable elements. 2018, Pubmed
Cauret, Developmental Systems Drift and the Drivers of Sex Chromosome Evolution. 2020, Pubmed
Cosby, Recurrent evolution of vertebrate transcription factors by transposase capture. 2021, Pubmed
Edgar, MUSCLE: a multiple sequence alignment method with reduced time and space complexity. 2004, Pubmed
Evans, Genome evolution and speciation genetics of clawed frogs (Xenopus and Silurana). 2008, Pubmed , Xenbase
Evans, Genetics, Morphology, Advertisement Calls, and Historical Records Distinguish Six New Polyploid Species of African Clawed Frog (Xenopus, Pipidae) from West and Central Africa. 2015, Pubmed , Xenbase
Evans, Xenopus fraseri: Mr. Fraser, where did your frog come from? 2019, Pubmed , Xenbase
Foster, An SRY-related sequence on the marsupial X chromosome: implications for the evolution of the mammalian testis-determining gene. 1994, Pubmed
Frazer, VISTA: computational tools for comparative genomics. 2004, Pubmed
Fugmann, The origins of the Rag genes--from transposition to V(D)J recombination. 2010, Pubmed
Fujitani, Sexually dimorphic expression of Dmrt1 and γH2AX in germ stem cells during gonadal development in Xenopus laevis. 2016, Pubmed , Xenbase
Furman, Sequential Turnovers of Sex Chromosomes in African Clawed Frogs (Xenopus) Suggest Some Genomic Regions Are Good at Sex Determination. 2016, Pubmed , Xenbase
Ge, The histone demethylase KDM6B regulates temperature-dependent sex determination in a turtle species. 2018, Pubmed
Hellsten, The genome of the Western clawed frog Xenopus tropicalis. 2010, Pubmed , Xenbase
Herpin, Allelic diversification after transposable element exaptation promoted gsdf as the master sex determining gene of sablefish. 2021, Pubmed
Ito, JSAP1, a novel jun N-terminal protein kinase (JNK)-binding protein that functions as a Scaffold factor in the JNK signaling pathway. 1999, Pubmed
Jurka, Repbase Update, a database of eukaryotic repetitive elements. 2005, Pubmed
Kaneko-Ishino, Mammalian-specific genomic functions: Newly acquired traits generated by genomic imprinting and LTR retrotransposon-derived genes in mammals. 2015, Pubmed
Kapitonov, The age of Alu subfamilies. 1996, Pubmed
Katoh, MAFFT: a novel method for rapid multiple sequence alignment based on fast Fourier transform. 2002, Pubmed
Kohany, Annotation, submission and screening of repetitive elements in Repbase: RepbaseSubmitter and Censor. 2006, Pubmed
Koren, The Eukaryotic Proteome Is Shaped by E3 Ubiquitin Ligases Targeting C-Terminal Degrons. 2018, Pubmed
Masuyama, Dmrt1 mutation causes a male-to-female sex reversal after the sex determination by Dmy in the medaka. 2012, Pubmed
Matson, The mammalian doublesex homolog DMRT1 is a transcriptional gatekeeper that controls the mitosis versus meiosis decision in male germ cells. 2010, Pubmed
Matson, DMRT1 prevents female reprogramming in the postnatal mammalian testis. 2011, Pubmed
Matsuda, DMY is a Y-specific DM-domain gene required for male development in the medaka fish. 2002, Pubmed
Mawaribuchi, Independent evolution for sex determination and differentiation in the DMRT family in animals. 2019, Pubmed
Mawaribuchi, Molecular Evolution of Two Distinct dmrt1 Promoters for Germ and Somatic Cells in Vertebrate Gonads. 2017, Pubmed , Xenbase
Mawaribuchi, Sex chromosome differentiation and the W- and Z-specific loci in Xenopus laevis. 2017, Pubmed , Xenbase
Mawaribuchi, Molecular evolution of vertebrate sex-determining genes. 2012, Pubmed , Xenbase
Miyawaki, The mouse Sry locus harbors a cryptic exon that is essential for male sex determination. 2020, Pubmed
Murphy, Vertebrate DM domain proteins bind similar DNA sequences and can heterodimerize on DNA. 2007, Pubmed
Nagahama, Sex determination, gonadal sex differentiation, and plasticity in vertebrate species. 2021, Pubmed
Nanda, A duplicated copy of DMRT1 in the sex-determining region of the Y chromosome of the medaka, Oryzias latipes. 2002, Pubmed
Ogita, Parallel Evolution of Two dmrt1-Derived Genes, dmy and dm-W, for Vertebrate Sex Determination. 2020, Pubmed
Pan, Vertebrate sex-determining genes play musical chairs. 2016, Pubmed
Price, FastTree 2--approximately maximum-likelihood trees for large alignments. 2010, Pubmed
Session, Genome evolution in the allotetraploid frog Xenopus laevis. 2016, Pubmed , Xenbase
Shimamura, A SINE that acquired a role in signal transduction during evolution. 1998, Pubmed
Smith, The avian Z-linked gene DMRT1 is required for male sex determination in the chicken. 2009, Pubmed
Suda, Activation of DNA Transposons and Evolution of piRNA Genes Through Interspecific Hybridization in Xenopus Frogs. 2022, Pubmed , Xenbase
Wang, Transposon-induced epigenetic silencing in the X chromosome as a novel form of dmrt1 expression regulation during sex determination in the fighting fish. 2022, Pubmed
Wissler, Mechanisms and dynamics of orphan gene emergence in insect genomes. 2013, Pubmed
Yoshimoto, Opposite roles of DMRT1 and its W-linked paralogue, DM-W, in sexual dimorphism of Xenopus laevis: implications of a ZZ/ZW-type sex-determining system. 2010, Pubmed , Xenbase
Yoshimoto, A ZZ/ZW-type sex determination in Xenopus laevis. 2011, Pubmed , Xenbase
Yoshimoto, A W-linked DM-domain gene, DM-W, participates in primary ovary development in Xenopus laevis. 2008, Pubmed , Xenbase
Zarkower, DMRT genes in vertebrate gametogenesis. 2013, Pubmed
Zhang, Origination and evolution of orphan genes and de novo genes in the genome of Caenorhabditis elegans. 2019, Pubmed
Zhao, Female-to-male sex reversal in mice caused by transgenic overexpression of Dmrt1. 2015, Pubmed
