Click here to close Hello! We notice that you are using Internet Explorer, which is not supported by Xenbase and may cause the site to display incorrectly. We suggest using a current version of Chrome, FireFox, or Safari.
XB-ART-59462
Front Neuroanat null;16:1039081. doi: 10.3389/fnana.2022.1039081.
Show Gene links Show Anatomy links

Development of subdomains in the medial pallium of Xenopus laevis and Trachemys scripta: Insights into the anamniote-amniote transition.

Jiménez S, Moreno N.


???displayArticle.abstract???
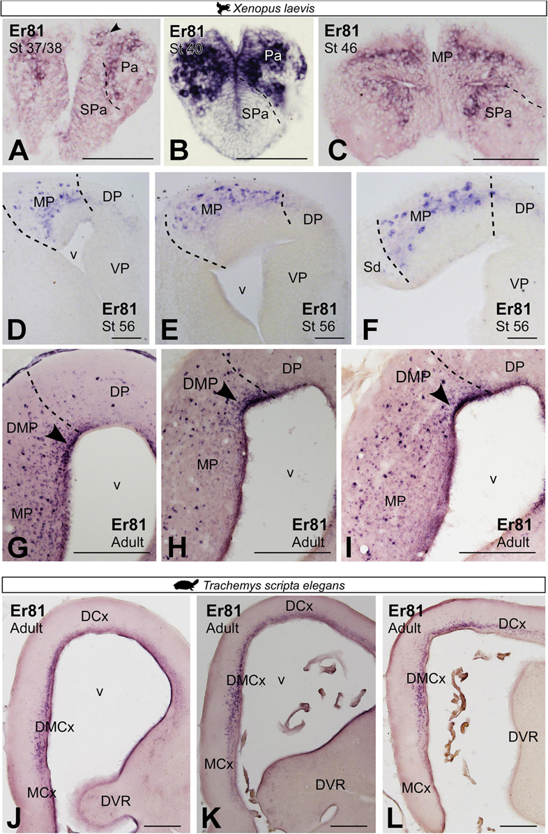
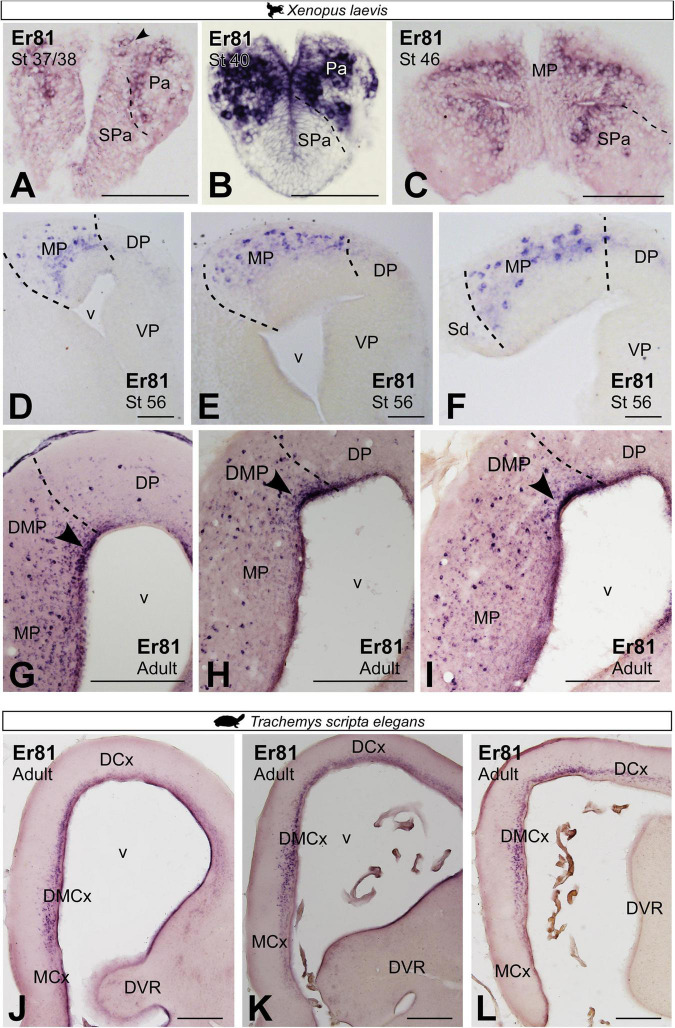
In all vertebrates, the most dorsal region of the telencephalon gives rise to the pallium, which in turn, is formed by at least four evolutionarily conserved histogenetic domains. Particularly in mammals, the medial pallium generates the hippocampal formation. Although this region is structurally different among amniotes, its functions, attributed to spatial memory and social behavior, as well as the specification of the histogenetic domain, appears to be conserved. Thus, the aim of the present study was to analyze this region by comparative analysis of the expression patterns of conserved markers in two vertebrate models: one anamniote, the amphibian Xenopus laevis; and the other amniote, the turtle Trachemys scripta elegans, during development and in adulthood. Our results show that, the histogenetic specification of both models is comparable, despite significant cytoarchitectonic differences, in particular the layered cortical arrangement present in the turtle, not found in anurans. Two subdivisions were observed in the medial pallium of these species: a Prox1 + and another Er81/Lmo4 +, comparable to the dentate gyrus and the mammalian cornu ammonis region, respectively. The expression pattern of additional markers supports this subdivision, which together with its functional involvement in spatial memory tasks, provides evidence supporting the existence of a basic program in the specification and functionality of the medial pallium at the base of tetrapods. These results further suggest that the anatomical differences found in different vertebrates may be due to divergences and adaptations during evolution.

???displayArticle.pubmedLink??? 36406242
???displayArticle.pmcLink??? PMC9670315
???displayArticle.link??? Front Neuroanat


Species referenced: Xenopus laevis
Genes referenced: cux2 egfr lhx2 lmo4 mef2c pax6 prox1 sox2


???attribute.lit??? ???displayArticles.show???
References [+] :
Abellán, Combinatorial expression of Lef1, Lhx2, Lhx5, Lhx9, Lmo3, Lmo4, and Prox1 helps to identify comparable subdivisions in the developing hippocampal formation of mouse and chicken. 2014, Pubmed