|
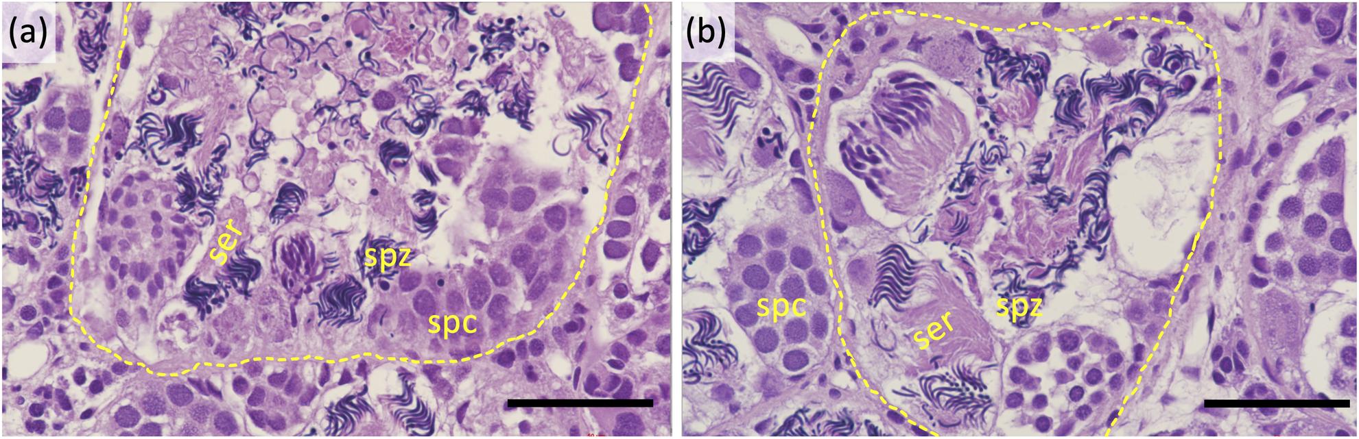
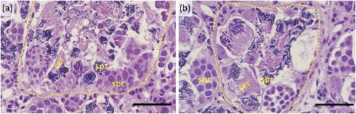
Fig 1.
Testis histology of (a) a wildtype male and (b) a sex reversed F1 female carrying a dm-w knockout mutation. Black bars are 50 μm; individuals’ identification numbers are (a) 17FO and (b) 1847. Dotted circles indicate the margins of seminiferous tubules, and Sertoli cells (ser), spermatocytes (spc) and spermatozoa (spz) are labeled. |
|
Fig 2.
Venn diagrams showing the numbers of overlapping and batch-specific differentially expressed genes in three batches where sex-specific expression was considered (MF1, MF2, MF3) and knockout to wildtype comparison for each knockout line: dm-w (dmw), scan-w (scan), and ccdc69-w (ccdc). Results are shown for quantification using STAR and analysis of differential expression using EdgeR. In the analyses of sex-specific expression, female expression is the reference; in the analysis of knockout expression, wildtype (female) expression is the reference. |
|
Fig 3. Analysis of transcriptome masculinization using the STAR-EdgeR pipeline.
Pairwise correlations between non-outlier log2 fold changes of sex-related genes are plotted below the diagonal. Pearson’s correlation coefficients are plotted above the diagonal with asterisks indicating significantly positive correlation coefficients. The diagonal is a density plot of log2 fold changes for each analysis. For pairwise comparisons between wildtype analyses (MF1, MF2, MF3) and the knockout and wildtype analysis (dmw, scan, ccdc), which are highlighted by red boxes, p-values of permutation tests are reported in the top below each correlation coefficient, with red font and a red asterisk highlighting significantly positive correlations based on permutation tests. |
|
Fig 4. Targeted capture sequencing reveals evolutionary steps toward the female-determining genomic region of X. laevis.
The genomic orientations of transcribed exons is depicted above a phylogenetic representation of the presence/absence data of capture data from exons 1 and 2 of ccdc69-w, exons 4 and 5 of scan-w and exons 1, 2, 3, and 4 of dm-w. Female specificity of dm-w (fem only?) is based on PCR assays [this study; 31] with question marks indicating species where female-specificity of dm-w is unknown, including for X. petersii where our PCR assay had inconsistent results. Xenopus fraseri and X. cf. tropicalis were not assayed by the capture sequencing. The order of numbered exons of each gene corresponds to their genomic locations, including overlapping transcribed regions of scan-w and dm-w; only captured exons are mapped on the phylogeny (limitations of “by-catch” data for dm-w exon 1 are discussed in main text). A red dot inside symbols indicates mutations that alter the reading frame as detailed in S1 Text. Data are plotted on a Bayesian phylogeny estimated from complete mitochondrial genomes [47] which does not reflect reticulating relationships among species that stem from allopolyploidation [38]. Ploidy level of each species is indicated by a circle (diploids), a square (tetraploids), a hexagon (octoploids), or a star (dodecaploids). Scale bar is in millions of years before the present, and almost all nodes have 100% posterior probability. See Evans et al. [47] for further details on phylogenetic estimation, node confidences, and confidence intervals of divergence estimates. |
|
S1 Fig.
Inactivation of the W-specific genes (a) dm-w, (b) scan-w, and (c) ccdc69-w. Gray boxes represent exons of each gene, black lines between these boxes are 5’ and 3’ untranslated regions and introns, and the positions of start and stop codons are indicated with an arrow and the word “stop” respectively. Sequences are shown for wildtype (wt), mosaic F0 individuals (F0), and knockout individuals (F1). Black bars underscore deletions and start codons are highlighted in pink for (a) and (c). These mutations are all within the coding region and result in a premature stop codon. |
|
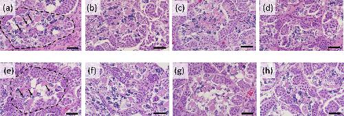
S2 Fig.
Testis histology of wildtype males (a-d) and sex reversed F1 females (e-h) carrying a dm-w knockout mutation. Black bars are 50 μm; individuals identification numbers are (a) 17E6, (b) 17F0 (c) 184B, (d) 1815, € 180A, (f) 180B, (g) 1844, (h) 1847. In (a) and (h) dotted circles indicate the margins of seminiferous tubules and arrows indicate clusters of late spermatids. |
|
S3 Fig.
Expression of dm-w in females (f) and males (m) from each wildtype batch (MF1, MF2, MF3) and wildtype (wt) and knockout (ko) females from each experimental batch (dmw, scanw, ccdc). Count data from the two wildtype females in the MF1 batch are the same as in the ccdc batch. These data are from counts from STAR that were normalized with EdgeR; a normalized count of zero corresponds to less than -26. |
|
S4 Fig. Venn diagrams showing the numbers of overlapping and batch-specific differentially expressed genes with quantification using STAR and analysis of differential expression using DeSeq2.
Labeling corresponds with Fig 2.
|
|
S5 Fig. Venn diagrams showing the numbers of overlapping and batch-specific differentially expressed genes with quantification using Kallisto and analysis of differential expression using DeSeq2.
Labeling corresponds with Fig 2.
|
|
S6 Fig. Venn diagrams showing the numbers of overlapping and batch-specific differentially expressed genes with quantification using Kallisto and analysis of differential expression using edgeR.
Labeling corresponds with Fig 2. |
|
S7 Fig. Analysis of transcriptome masculinization using the Kallisto-DeSeq2 pipeline.
Labeling follows Fig 3.
|
|
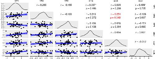
S8 Fig. Analysis of transcriptome masculinization using the STAR-DeSeq2 pipeline.
Labeling follows Fig 3. |
|
S9 Fig. Analysis of transcriptome masculinization using the Kallisto-EdgeR pipeline.
Labeling follows Fig 3.
|