Click here to close Hello! We notice that you are using Internet Explorer, which is not supported by Xenbase and may cause the site to display incorrectly. We suggest using a current version of Chrome, FireFox, or Safari.
XB-ART-60866
Nat Commun 2024 Aug 05;151:6641. doi: 10.1038/s41467-024-50912-x.
Show Gene links Show Anatomy links

PARP1-dependent DNA-protein crosslink repair.

Fábián Z, Kakulidis ES, Hendriks IA, Kühbacher U, Larsen NB, Oliva-Santiago M, Wang J, Leng X, Dirac-Svejstrup AB, Svejstrup JQ, Nielsen ML, Caldecott K, Duxin JP.


???displayArticle.abstract???
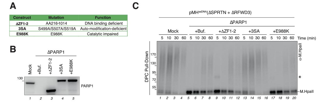
DNA-protein crosslinks (DPCs) are toxic lesions that inhibit DNA related processes. Post-translational modifications (PTMs), including SUMOylation and ubiquitylation, play a central role in DPC resolution, but whether other PTMs are also involved remains elusive. Here, we identify a DPC repair pathway orchestrated by poly-ADP-ribosylation (PARylation). Using Xenopus egg extracts, we show that DPCs on single-stranded DNA gaps can be targeted for degradation via a replication-independent mechanism. During this process, DPCs are initially PARylated by PARP1 and subsequently ubiquitylated and degraded by the proteasome. Notably, PARP1-mediated DPC resolution is required for resolving topoisomerase 1-DNA cleavage complexes (TOP1ccs) induced by camptothecin. Using the Flp-nick system, we further reveal that in the absence of PARP1 activity, the TOP1cc-like lesion persists and induces replisome disassembly when encountered by a DNA replication fork. In summary, our work uncovers a PARP1-mediated DPC repair pathway that may underlie the synergistic toxicity between TOP1 poisons and PARP inhibitors.

???displayArticle.pubmedLink??? 39103378
???displayArticle.pmcLink??? PMC11300803
???displayArticle.link??? Nat Commun
???displayArticle.grants??? [+]

Species referenced: Xenopus laevis
Genes referenced: adrm1 anapc15 aplf atm aunip brca1 btaf1 cab39 ccnc cdc25b chek1 chfr chtf8 ctrl cul1 cul4a cul4b cyb5r4 dbf4 dclre1a ddi2 ddx11 drap1 dscc1 dtx3l eme1 esco1 fancm fbxl12 fen1 foxm1 fzr1 hira hltf hpf1 huwe1 kdm8 lig1 lig3 mus81 naa30 nbn nsfl1c nup42 otud5 parg parp1 parp12.3 parp9 paxip1 pds5b pnkp pold1 pold2 pold3 pole3 pole4 psma1 psma2 psma3 psma5 psma6 psma7 psmc1 psmc2 psmc3 psmc4 psmc5 psmc6 psmd11 psmd12 psmd13 psmd14 psmd2 psmd3 psmd4 psmd6 psmd7 psmd8 rad18 rad51d rad54l rnaseh2a rnf41 rnf8 rprd1b scai sfr1 smarcd1 sprtn stag2 sumo3 tdp1 tiprl top1 trafd1 trip12 uba3 ubb uchl5 ufd1 uhrf1 usp2 usp37 vcp xrcc1 xrcc5 xrcc6
GO keywords: DNA replication [+]


???attribute.lit??? ???displayArticles.show???