Click here to close
Hello! We notice that you are using Internet Explorer, which is not supported by Xenbase and may cause the site to display incorrectly.
We suggest using a current version of Chrome,
FireFox, or Safari.
???displayArticle.abstract??? Bone morphogenetic protein 2 (BMP2) and BMP6 are key regulators of systemic iron homeostasis. All BMPs are generated as inactive precursor proteins that dimerize and are cleaved to generate the bioactive ligand and inactive prodomain fragments, but nothing is known about how BMP2 or BMP6 homodimeric or heterodimeric precursor proteins are proteolytically activated. Here, we conducted in vitro cleavage assays, which revealed that BMP2 is sequentially cleaved by furin at two sites, initially at a site upstream of the mature ligand, and then at a site adjacent to the ligand domain, while BMP6 is cleaved at a single furin motif. Cleavage of both sites of BMP2 is required to generate fully active BMP2 homodimers when expressed in Xenopus embryos or liver endothelial cells, and fully active BMP2/6 heterodimers in Xenopus. We analyzed BMP activity in Xenopus embryos expressing chimeric proteins consisting of the BMP2 prodomain and BMP6 ligand domain, or vice versa. We show that the prodomain of BMP2 is necessary and sufficient to generate active BMP6 homodimers and BMP2/6 heterodimers, whereas the BMP6 prodomain cannot generate active BMP2 homodimers or BMP2/6 heterodimers. We examined BMP2 and BMP6 homodimeric and heterodimeric ligands generated from native and chimeric precursor proteins expressed in Xenopus embryos. Whereas native BMP6 is not cleaved when expressed alone, it is cleaved to generate BMP2/6 heterodimers when co-expressed with BMP2. Furthermore, BMP2-6 chimeras are cleaved to generate BMP6 homodimers. Our findings reveal an important role for the BMP2 prodomain in dimerization and proteolytic activation of BMP6.
Figure 1. BMP2 is sequentially cleaved at two sites while BMP6 is cleaved at one site within the prodomain.A–H, radiolabeled precursor proteins were synthesized using rabbit reticulocyte lysate and incubated with recombinant furin. Aliquots were removed at different time points and analyzed by SDS-PAGE followed by autoradiography. Bands corresponding to the precursor, prodomain and ligand fragments are indicated to the right of the gel. In vitro cleavage of wild-type (A) and mutant forms of BMP2 in which one of the two cleavage sites is mutated to prevent cleavage (B, C) or in which both sites are mutated to optimal (D; BMP2S2K) or minimal (E; BMP2S1I) furin motifs, or in which optimal and minimal furin motifs are switched (F; BMP2S2K/S1I) (illustrated above each panel. In vitro cleavage of wild-type (G) and cleavage mutant (H) BMP6 precursor protein. In A-H, top panels show a short exposure and bottom panels a longer exposure of the same gel. Fig. S1 shows a single long exposure of the intact gel shown in each panel. I–J, schematic illustration of cleavage of BMP2 (I), which is sequentially cleaved at the S2 and then the S1 site and BMP6 (J), which is cleaved at only one site.
Figure 2. Cleavage of both sites of BMP2 is required to generate fully active BMP2 homodimers and BMP2/6 heterodimers in Xenopus embryos.A–D, RNA encoding wild-type or cleavage mutant forms of HA epitope tagged BMP2 alone or together with HA epitope tagged BMP6 was injected near the dorsal midline of four-cell Xenopus embryos. Ventral (VMZ) and dorsal marginal zone (DMZ) explants were collected at stage 10 and pSmad1 levels were analyzed by immunoblot as illustrated. Representative pSmad1 immunoblots in embryos expressing homodimeric (left panel) or heterodimeric (middle and right panel) ligands are shown (A). The relative level of pSmad1, normalized to actin and HA reported relative to that in embryos expressing wild type BMP2 alone (B), the sum of pSmad1 in embryos expressing individual BMP2 and BMP6 divided by 2 (to normalize RNA levels) (C) or wild type BMP2 together with BMP6 (D) is shown. Data are from three independent experiments (mean ± SD) (∗p < 0.05, ∗∗p < 0.01, ∗∗∗p < 0.001 as determined by unpaired t test). (E–H) Two-cell Xenopus embryos were injected with RNA encoding wild-type or cleavage mutant forms of BMP2. Proteins secreted into the blastocoele cavity were extracted from gastrula stage embryos and deglycosylated with PNGaseF. Immunoblots of proteins separated under reducing (Red) or non-reducing (Non-Red) conditions were probed with antibodies specific for the HA epitope in the ligand domain as illustrated (E). Representative immunoblots are shown with bands corresponding to precursor proteins, ligand dimer and monomer indicated to the right of the gel (F). Relative levels of BMP2 monomeric (G) and dimeric (H) ligand reported relative to those in embryos expressing wild type BMP2 is shown. Data are from three independent experiments (mean ± SD) (∗∗p < 0.01 as determined by unpaired t test).
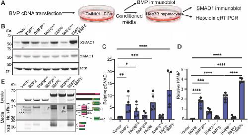
Figure 3. Cleavage of both sites of BMP2 is required to generate fully active BMP2 homodimers in TMNK1 liver endothelial cells. (A-E) TMNK1 cells were transfected with cDNAs encoding wild type or cleavage mutant BMP2 or BMP6 precursors or wild type BMP2 together with BMP6. BMP levels were analyzed 24 h later by probing immunoblots of cell lysates and conditioned media with antibodies specific for the HA tag in each ligand. Conditioned media was applied to Hep3B cells for 6 h, after which cell lysates and RNA were collected, pSMAD1 levels were analyzed by immunoblot, and HAMP levels were analyzed by qPCR as illustrated (A). Representative pSMAD1 immunoblot (B). The relative level of pSMAD1 normalized to actin (C) or HAMP normalized to RPL19 (D) and reported relative to that in cells transfected with empty vector is shown. Data are from a minimum of four independent experiments (mean ± SD) (∗p < 0.05, ∗∗p < 0.01, ∗∗∗p < 0.001, ∗∗∗∗p < 0.0001as determined by ANOVA with Tukey post hoc test). Immunoblots of transfected TMNK1 cell lysates under reducing conditions and media under reducing (Red) or non-reducing (Non-Red) conditions probed with antibodies specific for the HA epitope in the ligand domain. Bands corresponding to precursor proteins, ligand dimers and monomers illustrated to the right of the gel (E).
Figure 4. The prodomain of BMP2 is sufficient to generate active BMP6 homodimers and BMP2/6 heterodimers in Xenopus. (A) Schematic illustration of homodimeric and heterodimeric ligands generated from native BMP2 and BMP6 and chimeric BMP2-6 precursor proteins. (B) BMP RNAs were injected individually or together near the dorsal midline of four-cell embryos. VMZ and DMZ explants were collected at stage 10 and pSmad1 levels were analyzed by immunoblot. Representative pSmad1 immunoblots in embryos expressing homodimeric (left panel) and heterodimeric (right panel) ligands are shown. Actin levels were analyzed in duplicate samples as a loading control. (C-D) The relative level of pSmad1, normalized to actin and reported relative to that in embryos expressing native BMP2 alone (C) or together with native BMP6 (D) is shown. Data are from three independent experiments (mean ± SD) (∗p < 0.05, ∗∗p < 0.01, ∗∗∗p < 0.001 as determined by unpaired t test). (E) BMP RNAs were injected alone or together into one animal pole blastomere of 2-cell Xenopus embryos. Ectoderm was explanted at stage 11 and expression of tbxt was analyzed by semi qRT-PCR in embryos expressing homodimeric (left panel) or heterodimeric (right panel) ligands. All lanes from the same experiment, aligned following removal of an intervening lane (marked by white bar) using photoshop. (F-G) The relative level of tbxt normalized to odc and reported relative to that in embryos expressing native BMP2 alone (F) or together with native BMP6 (G) is shown. Data are from three independent experiments (mean ± SD) (∗p < 0.05, ∗∗∗p < 0.001, ∗∗∗∗p < 0.0001 as determined by unpaired t test).
Figure 5. The prodomain of BMP6 is not sufficient to generate active BMP2 homodimers or BMP2/6 heterodimers in Xenopus. (A) Schematic illustration of homodimeric and heterodimeric ligands generated from native BMP2 and BMP6 and chimeric BMP2-6 precursor proteins. (B) RNA encoding native or chimeric BMPs were injected individually or together near the dorsal midline of four-cell embryos. DMZ and VMZ explants were collected at stage 10 and pSmad1 levels were analyzed by immunoblot. Actin levels were analyzed in duplicate samples as a loading control. Representative pSmad1 immunoblots in embryos expressing homodimeric (left panel) and heterodimeric (right panel) ligands are shown. All lanes are from the same immunoblots, aligned following removal of an intervening lane (marked by white bar) using photoshop. The pSmad1 and actin immunoblots shown in right and left panels of Figures 4B and 5B are from single injection replicates and all samples from each replicate were run on the same gel. Data shown in the first four lanes of the left panel (none, none, BMP2, BMP6) and the first three lanes of the right panel (none, none, BMP2 + BMP6) of Figure 4B are reused in Figure 5B. Only the last lanes of the left panels (BMP2-6 for Fig. 4B, BMP6-2 for Fig. 5B) or the right panels (BMP2 + BMP2-6 for Fig. 4B, BMP6 + BMP6-2 for Fig. 5B) differ between the two Figures. The full original blots shown in Fig. S5, A and B. (C-D) The relative level of pSmad1, normalized to actin and reported relative to that in embryos expressing native BMP2 alone (C) or together with native BMP6 (D) is shown. Data are from three independent experiments (mean ± SD) (∗∗p < 0.01, ∗∗∗p < 0.001∗∗∗∗p < 0.0001, as determined by unpaired t test). (E) BMP RNAs were injected alone or together into one animal pole blastomere of 2-cell embryos. Ectoderm was explanted at stage 11 and expression of tbxt was analyzed by semi qRT-PCR in embryos expressing homodimeric (left panel) or heterodimeric (right panel) ligands. The tbxt and odc gels shown in the left panels of Figures 4E and 5E are from a single injection replicate and samples were run on the same gel. Control data shown in the first three lanes (none, BMP2, BMP6) in the left panel of Figure 4E are reused in Figure 5E. Only the BMP2-6 (Fig. 4E) and BMP6-2 (Fig. 5E) lanes differ between the two. All lanes of the full original gel are shown in Fig. S5C. (F-G) The relative level of tbxt normalized to odc and reported relative to that in embryos expressing native BMP2 alone (F) or together with native BMP6 (G) is shown. Data are from three independent experiments (mean ± SD) (∗∗∗∗p < 0.0001 as determined by unpaired t test).
Figure 6. The BMP2 prodomain facilitates dimerization and cleavage of the BMP6 precursor protein in Xenopus. (A-C) Xenopus embryos were injected with RNA encoding native or chimeric forms of BMPs alone to generate homodimers (A) or in the indicated combinations to generate heterodimers (B, C). Proteins secreted into the blastocoele cavity were extracted from gastrula stage embryos and deglycosylated with PNGaseF. Immunoblots of proteins separated under reducing or non-reducing conditions were probed with antibodies specific for the HA epitope in the ligand domain. Representative immunoblots are shown with bands corresponding to precursor protein or ligand monomers or dimers indicated to the right of each gel. All lanes are from the same experiment, aligned following removal of an intervening lane (marked by white bar in B and C) using photoshop. Results were reproduced in at least three independent experiments.