Click here to close Hello! We notice that you are using Internet Explorer, which is not supported by Xenbase and may cause the site to display incorrectly. We suggest using a current version of Chrome, FireFox, or Safari.
XB-ART-61390
Dev Cell 2025 May 22;6018:2487-2502.e4. doi: 10.1016/j.devcel.2025.04.026.
Show Gene links Show Anatomy links

Disrupted endosomal trafficking of the Vangl-Celsr polarity complex underlies congenital anomalies in Xenopus trachea-esophageal morphogenesis.

Edwards NA, Rankin SA, Kashyap A, Warren A, Agricola ZN, Kenny AP, Kofron M, Shen Y, Chung WK, Zorn AM.


???displayArticle.abstract???
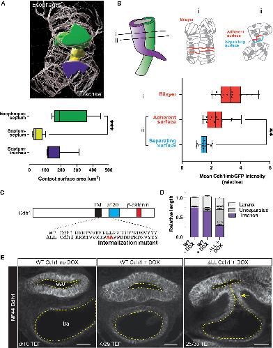
Disruptions in foregut morphogenesis can result in life-threatening conditions where the trachea and esophagus fail to separate, such as esophageal atresia (EA) and tracheoesophageal fistulas (TEFs). The developmental basis of these congenital anomalies is poorly understood, but recent genome sequencing reveals that de novo variants in intracellular trafficking genes are enriched in EA/TEF patients. Here, we confirm that mutation of orthologous genes in Xenopus disrupts trachea-esophageal separation similar to EA/TEF patients. The Rab11a recycling endosome pathway is required to localize Vangl-Celsr polarity complexes at the luminal cell surface where opposite sides of the foregut tube fuse. Partial loss of endosomal trafficking or Vangl-Celsr complexes disrupts epithelial polarity and cell division orientation. Mutant cells accumulate at the fusion point, fail to relocalize cadherin, and do not separate into distinct trachea and esophagus. These data provide insights into the mechanisms of congenital anomalies and general paradigms of tissue fusion during organogenesis.

???displayArticle.pubmedLink??? 40412385
???displayArticle.pmcLink??? PMC12224191
???displayArticle.link??? Dev Cell
???displayArticle.grants??? [+]

Species referenced: Xenopus tropicalis Xenopus laevis
Genes referenced: abra add1 akap13 ap1g2 ap2m1 ap3d1 arhgap17 arhgap21 atp6v1b1 bfar ccdc42 cdh1 celsr1 celsr2 chmp7 cldn10 cltb cltc cog3 dnm2 foxf1 gas2l1 golga2 grip1 hgsnat irf8 itgb4 itpr1 itsn1 lama1 lamb4 nkx2-1 pard3 pcdh1 rab11a rab11b rab3gap2 rab5a rab7a rapgef3 rasa2 rasal2 rnf152 sox2 tecpr1 tjp1 tuba4a usp9x vangl1 vangl2 wdfy3 zdhhc8
GO keywords: recycling endosome [+]
???displayArticle.antibodies??? Cdh1 Ab1 Foxf1 Ab1 H3f3a Ab2 Lama1 Ab1 Nkx2-1 Ab3 Pard3 Ab1 Rab5a Ab1 Sox2 Ab4 Tjp1 Ab1 Tuba4b Ab2 Vangl2 Ab4
Lines/Strains: gRNAs referenced: abra gRNA1 add1 gRNA1 akap13 gRNA1 ap1g2 gRNA1 ap3d1 gRNA2 arhgap17 gRNA2 arhgap21 gRNA1 atp6v1b1 gRNA1 celsr1 gRNA1 celsr2 gRNA1 chmp7 gRNA1 cldn10 gRNA1 cog3 gRNA1 dnm2 gRNA1 golga2 gRNA1 itgb4 gRNA1 itpr1 gRNA1 itsn1 gRNA3 lamb4 gRNA1 pcdh1 gRNA1 rab11a gRNA1 rab3gap2 gRNA1 rab5a gRNA1 rab5a gRNA2 rapgef3 gRNA1 rasa2 gRNA1 rasal2 gRNA1 rnf152 gRNA1 slc45a2 gRNA1 sox2 gRNA1 tyr gRNA1 vangl2 gRNA1 wdfy3 gRNA1

???displayArticle.disOnts??? esophageal atresia/tracheoesophageal fistula [+]
???displayArticle.omims??? TRACHEOESOPHAGEAL FISTULA WITH OR WITHOUT ESOPHAGEAL ATRESIA
Phenotypes: Xtr Wt + ap1g2 CRISPR(Fig. 2c r3c2) [+]

???attribute.lit??? ???displayArticles.show???