|
Fig. 1: Mettl9 is expressed in vertebrate nervous system and is important for X. laevis neural development in vivo.
a Deletions encompassing human METTL9 locus on Chromosome 16 in patients, who display nervous system-related phenotypes (table on the right), from DECIPHER. Deletions also include: the OTOA gene; the IGSF6 gene encoding a predicted transmembrane receptor of the immune system and, in few cases, also the RRN3P1 pseudogene. b METTL9 normalised microarray expression level (log2 intensity) in the three sections of a three-dimensional map of adult human brain (Allen Human Brain Atlas). Coordinates are referred to the Montreal Neurological Institute (MNI) standard spatial template. c Representative anterior and dorsal views images of X. laevis embryos showing mettl9 mRNA expression (purple) by whole-mount RNA in situ hybridisation (WISH). At Niewkoop-Faber stage 14 (NF14), black arrowheads indicate: neural plate (np), neural fold (nf) and cement gland (cg) and at NF18 they show optical vesicles (ov). At tailbud stage (NF26) it is shown the encephalon (en) which, at NF31, is subdivided into prosencephalon (pr), mesencephalon (me) and rhombencenphalon (rh). Branchial arches (ba) are also shown at NF31. N30 embryos. d mett9 knock down (k.d.) strategy at 4-cell stage embryo: microinjection of mettl9 morpholino oligonucleotide (MO) (pink) in the dorsal left blastomere is shown. WISH is then performed at later stages (neurula) to assess potential developmental abnormalities in the injected side of embryos (right side, pink). eg Representative images of ctrl-MO and mett9-MO k.d. embryos at neurula stage (NF14), showing the expression of neural markers neurog2 (ngn) (e), notch (f) and elrC (g) by WISH. Lateral (l), intermediate (i) and medial (m) stria, trigeminal and olfactory placodes (tp, op), neural plate (np) and eye field (ef) are shown. Arrowheads indicate the regions affected in mettl9-MO. Inj.: injected side. Bar graphs on the right show the quantification of ctrl- or mettl9-MO k.d. embryos screened for altered neurog2, notch or elrC expression (2 test). The number of embryos analysed for each group is shown above the respective panels. Error bars are meanSD. |
|
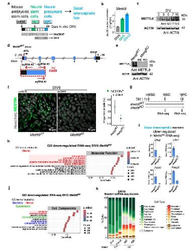
Fig. 2: Constitutive Mettl9 depletion impairs mESCs neural priming and differentiation.
a Neural differential protocol adopted in this study. Shading indicates the acquisition of mESCs/NSC/NPC identity. b Mettl9 mRNA expression normalised on -actin (by qPCR), at DIV0, DIV5, DIV10. Error bars are meanSD; N=3. c METTL9 protein expression shown by Western Blot (WB) from Mettl9WT mESCs DIV0 to DIV10 (anti-METTL9 antibody; kDa: kDalton; N=1). d Mouse Mettl9 locus and strategy to generate Mettl9KO mESCs via CRISPR/Cas9 sgRNAs targeting Exon1 (red). e WB from NSC extracts (DIV7) showing endogenous METTL9 expression with an anti-METTL9 antibody (WT; KO: #88 and #90). Blot representative of N=3, from 3 differentiation experiments. f Representative immunofluorescence (IF) images of Mettl9WT and Mettl9KO NSCs (DIV6) with an anti-NESTIN antibody (green) and Hoechst (grey). Scale bar is 10 m; relative quantification of NESTIN+ cells on the right (t-test, two-sided); error bars are meanSD. Quantified cell numbers (n) are shown above each panel (10 fields of view per condition; N=2 differentiation experiments). g Timepoints of Mettl9KO mESC neural differentiation (DIV5 and DIV10) analysed by RNA-seq. h Top (10) GO Molecular function terms down-regulated in Mettl9KO RNA-seq (DIV5). In red, neural-related terms. Hypergeometric test: colour scale shows adjusted p values (Benjamini-Hochberg (BH) correction). i Normalised transcripts per million (TPM) expression of selected basal telencephalic markers. Error bars represent meanSE of N=4. j Top (10) GO Cellular Component terms down-regulated in Mettl9KO RNA-seq (DIV5; see Methods). Hypergeometric test: colour scale shows adjusted p values (BH correction). k Cell type composition in control WT (E14 or clonal) and Mettl9KO (#88 and #90) lines inferred by SCADEN deconvolution analysis of scRNA-seq data (DIV10). Asterisk (*) is p=0.029 (Wilcoxon test; N=4). |
|
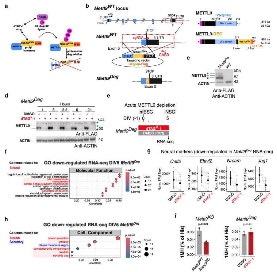
Fig. 3: Acute depletion of METTL9-DEGRON affects the gene expression profile of mNSCs.
a Schematic depicting METTL9-DEGRON system and relative mechanism of degradation upon dTAGV-1 supply. b Mettl9 genomic locus and its genetic targeting via CRISPR/Cas9 for Mettl9Deg generation. On the right, the resulting C-terminally tagged METTL9-DEG protein is shown (aa: amino acid; kDa: kDalton). c Validation of METTL-DEGRON protein expression in Mettl9Degron mESCs by WB (anti-FLAG and anti-ACTIN antibodies). Black, green and dark green asterisks (*) are the lowest, intermediate and top METTL9 bands, respectively. N = 3 WB (and differentiation) experiments. d Time course expression analysis of METTL9-DEG by WB, after supplying dTAGV-1 (or DMSO, Ctrl) to mESCs for 1, 3, 5.5, 9 or 24 hours. Similar timepoints and drug concentrations used in N > 3 experiments. e Schematic of experimental strategy for acute METTL9-DEG depletion (by dTAGV-1) in Mettl9Deg mESCs and molecular analysis at DIV5. f Top 10 Molecular function GO terms down-regulated in Mettl9Deg RNA-seq (DIV5). Hypergeometric test: colour scale shows adjusted p values (Benjamini-Hochberg (BH) correction). g Normalised TPM expression of neural marker genes, from Mettl9Deg RNA-seq (DIV5). Error bars represent mean ± SD of N = 5. h Top down-regulated Cellular Component GO terms in Mettl9Deg. Hypergeometric test: colour scale shows adjusted p values (BH correction). i Relative bulk 1MH levels (% of total histidine) in Mettl9WT and Mettl9KO (left); DMSO- and dTAGV-1-treated Mettl9Deg (right), NSCs (DIV6), quantified by mass spectrometry. P values of the t-test (two-sided) are shown in black (P < 0.05) and grey (P ≥ 0.05), respectively; error bars show mean + SE, N = 3. |
|
Fig. 4: METTL9 catalytic activity only mildly affects neural induction of mESCs.
a METTL9 protein showing two key catalytic residues (D151, G153) of the SAM binding domain. Below, CRISPR/Cas9 targeting strategy to generate Mettl9CatD mESCs harbouring a mutated METTL9 protein with D151K and G153R. b Relative bulk 1MH levels (% of histidine) in Mettl9CatD and Mettl9WT NSCs (DIV6) quantified by mass spectrometry. P value of the t-test (two-sided) is shown; error bars indicate mean + SE, N = 3. c Number of differentially expressed genes found in the RNA-seq (DIV5) in Mettl9KO, Mettl9Deg and Mettl9CatD lines. d Top down-regulated Molecular function GO terms in mettl9-MO-NF22 X. laevis embryos. e Top down-regulated Cellular Component GO terms in mettl9-MO-NF22 embryos. f Neuronal and Cell cycle/Metabolism-related GO terms commonly mis-regulated among Mettl9 depleted NPCs (DIV10) and NF22 embryos. (d–f): hypergeometric test; colour scale shows adjusted p values (Benjamini-Hochberg correction). g Box plots showing examples of key neural marker genes consistently mis-regulated among the different datasets, included in the GO terms in panel (f). WT’ is the clonal WT control for Mettl9CatD. c-MO and m9-MO are ctrl-MO and mettl9-MO respectively. Error bars show the mean ± SE of N = 4 (for Mettl9KO and Ctrl) and N = 3 (for Mettl9CatD, Mettl9Deg and X. laevis and respective Ctrls) experiments. Colour scale in (d–f) represents the Benjamini-Hochberg corrected p values from the hypergeometric test for enrichment of GO terms. |
|
Fig. 5: METTL9 is associated with the secretory pathway and co-localises with the peripheral Golgi.
a Experimental strategy for acute METTL9 depletion in Mettl9Deg mESCs. b Volcano plot of mis-regulated proteins (coloured dots and labels) in dTAGV-1-Mettl9Deg NSCs over Ctrl (DMSO-treated), by mass spectrometry (q value < 0.05). Y axis indicates log10 FDR-adjusted p values; two-tailed moderated t-statistics. c GO terms of the up-regulated proteins (with a q value < 0.2). Clustering showing significantly enriched GO terms with q value < 0.05. Hypergeometric test; colour scale shows adjusted p values (Benjamini-Hochberg correction). d METTL9 protein: signal peptide (magenta), the glycopeptide position53 (grey) within sequon (green) and predicted sequon at N86 (aa is amino acid). e WB showing METTL9-DEG in N- (Endo H and PNGase) or O-glycosydase-treated mESCs extracts. Black, green and dark green asterisks (*) are the lowest, intermediate and top METTL9 bands, respectively. Antibodies: anti-FLAG and anti-ACTIN; N = 2 WB and enzymatic treatments. f WB (anti-FLAG, anti-alpha-TUBULIN) showing WT METTL9-FLAG or mutated METTL9-FLAG: N35Q, N35Q;N86Q, and SP* (mutated signal peptide), expressed in WT ESCs. N-glycosylated residues (green); mutated amino acid residues (red); SP (magenta). Asterisks near blot as in (f). N = 3 independent experiments. g IF images of Mettl9Deg NSCs: anti-FLAG (METTL9) and Hoechst (nuclei). Right: a neural rosette. Scale bar: 10 μm. N = 8 fields of view. h IF images of DMSO- (Ctrl) or dTAGV-1-treated Mettl9Deg NSCs: anti-FLAG antibody showing METTL9. Scale bar: 10 μm. N ≥ 6 fields of view per condition. i IF images of Mettl9Deg NSCs: anti-FLAG antibody (yellow) for METTL9, GM130 (magenta) for cis-Golgi and Hoechst (cyan) for nuclei. Scale bar: 5 μm. On the right, co-localisation between anti-FLAG and: (i) anti-GM130, (ii) anti-GORASP2 (i and ii for Golgi), (iii) anti-CALRE (ER) or (iv) anti-TOM20 (mitochondria). Boxplot: Manders’ coefficient (M2) indicates co-localization (slices analysed in NO FLAG and FLAG tag, respectively: N = 32, N = 31 (CALRE); N = 35, N = 40, (GM130); N = 35, N = 31 (GORASP2); N = 30, N = 30 (TOM20). P values: above each marker; Wilcoxon test, two-sided. j IF images of Mettl9Deg/LCS-HA or WT E14 NSCs (DIV5), after Triton or digitonin permeabilization: anti-FLAG antibody (METTL9, yellow), anti-HA (LCS, trans-Golgi lumen, magenta) and Hoechst (nuclei, gray). Scale bar: 10 μm. IFs in (g–j) were representative of N ≥ 3 differentiation experiments. |
|
Fig. 6: METTL9 interacts with secretory pathway-related proteins in mNSCs.
a Volcano plot showing the proteins enriched upon METTL-IP (anti-FLAG) over the control-IP (IgG) in Mettl9Deg NSCs (q value < 0.01); on the right, zoom-in on the enriched interactors, among which the known METTL9-interactors Faf2 and Canx (in black, italics). Y axis represents the -log10 p value after Benjamini-Hochberg multiple test correction (one-sided moderated t-statistics; P[X > x]). b Network showing the genes belonging to the top GO terms enriched in METTL9 interactors relative to the secretory pathway. c, d WB showing the immunoprecipitation of STMN1-HA (IP) (c) or HA-RAB2a (d) with anti-HA beads (HA) or IgG (ctrl), after co-expression of STMN1-HA or HA-RAB2a and METTL9-FLAG in WT mESCs. WB signal: anti-FLAG and anti-HA. N = 2 co-IP (and differentiation) experiments, run in N = 4 WB. e AlphaFold modelling prediction of STMN1-METTL9 protein complexes (STMN1, in orange; METTL9 in green). f Bar graph showing in vitro METTL9 methyltransferase activity (MTase) of recombinant GST-METTL9-FLAG (GST-METTL9) protein with the SLC30A7163-180 peptide or with GST-STMN1-HA (GST-STMN1) and GST (first, second and third bar, respectively); GST-METTL9 activity was also measured with increasing concentrations (μM) of GST or GST-STMN1. The correlation between MTase activity and concentration of GST or GST-STMN1 is expressed by the R2 and p values (linear regression). Error bars represent mean + SE of N = 3 independent experiments. A.U. is arbitrary unit. |
|
Fig. 7: METTL9 depletion impairs cellular trafficking kinetics and Golgi morphology in mNSCs.
a Schematic showing the RUSH system used to study cellular trafficking in this work. The ER hook here is the Streptavidin protein anchored to the Endoplasmic Reticulum (ER). The reporter includes the streptavidin-binding peptide (SBP) fused to the cargo which is the α-mannosidase II (ManII) enzyme resident in the Golgi and to the fluorescent EGFP protein. Upon Biotin addition to cell media, (T0), the reporter is released from the ER hook and its export from the ER starts. Its trafficking is followed until it reaches the Golgi, where ManII is delivered to. b Normalised ManII-SBP-EGFP signal in the Golgi of Mettl9WT and Mettl9KO NSCs, at different timepoints after Biotin addition (paired t-test, two-sided, p values are shown above each time point); error bars represent mean ± SE of N = 3 independent experiments. On the right, representative close-ups of live microscopy images of MannII-SBP-eGFP signal used for quantification. Scale bar is 5 μm. c Qualitative classification of Golgi (anti-GM130) morphology in mNSCs into 3 categories, used for cell counting. Scale bar is 5 μm. d Representative IF images of Mettl9WT and Mettl9KO NSCs stained with anti-GM130 (Golgi) and Hoechst (nuclei). Scale bar is 5 μm. On the right, corresponding quantifications of Golgi morphology (categorised in compact, mildly fragmented or scattered). Error bars represent mean ± SD; number of cells counted are above each panel. (χ2 test). IF performed from N > 3 differentiation experiments. |
|
Fig. 8: Conserved alteration of the secretory pathway in mettl9-MO X. laevis neuralised animal caps (a.c.).
a Schematic depicting the preparation of neuralised animal caps (a.c.) from mettl9-MO or ctrl-MO embryos in X. laevis. b Most down-regulated GO terms in the mettl-MO a.c. proteome. c, d Most down-regulated Molecular Function (c) and Cellular Component (d) GO terms in mettl9-MO neuralised a.c. RNA-seq data (see Methods). GO terms related to Cytoskeleton and Secretory pathways were highlighted in green and blue, respectively. (b–d): hypergeometric test; colour scale shows adjusted p values, Benjamini-Hochberg correction. e Representative anterior and dorsal views of X. laevis embryos injected with either ctrl-MO or mettl9-MO, or co-injected with mettl9-MO and either mettl9WT or mettl9CatD mRNAs, showing elrC mRNA expression (purple), by whole-mount RNA in situ hybridisation. Arrowheads indicate intermediate (i) neuron precursors and trigeminal placodes (tp) affected in the treated side of mettl9-MO injected embryos. Inj.: Injected side. (m) medial and (l) lateral stria. Embryos numbers are shown above each panel. f Bar graph showing the quantification of embryos: ctrl-MO, mettl9-MO or mettl9-MO co-injected with either mettl9WT or mettl9CatD mRNAs, screened for altered elrC expression (% embryos are reported in the graph; χ2 test). Error bars: mean ± SD. g Schematic depicting our working model: METTL9 has an evolutionary conserved role in vertebrates in sustaining early neural development, mainly through catalytic independent functions (in green). Among these, we identified one related to the maintenance of the secretory pathway. This function is mediated by protein-protein interactions occurring most likely at the peripheral side of the Golgi (magenta), where METTL9 is localised in mNSCs. We envisage that METTL9 binding to STMN1 and RAB2 regulates their functions related to the cytoskeleton, cargo motility and Golgi structure. Therefore, in METTL9-deficient NSCs, cellular trafficking and Golgi morphology are perturbed, and this is detrimental to the establishment of neural polarity, cell signalling, axon development and ultimately to neural differentiation. METTL9 methyltransferase activity may cooperate with the maintenance of the secretory pathway through histidine methylation (and thus, probable regulation) of Golgi-related substrates, like MYO18A or zinc transporters like SLC30A5/7 and SLC39A7 but might be marginal for neural development. |