Click here to close
Hello! We notice that you are using Internet Explorer, which is not supported by Xenbase and may cause the site to display incorrectly.
We suggest using a current version of Chrome,
FireFox, or Safari.
???displayArticle.abstract???
Proteostasis is critical for neuronal function and circuit plasticity. We present here an in vivo bio-orthogonal non-canonical amino acid tagging (BONCAT) protocol optimized to selectively label newly synthesized proteins in Xenopus laevis tadpole brains in live animals. We describe steps for the quantitative analysis of both total nascent proteins and specific nascent proteins of interest, using dot blotting and NeutrAvidin purification followed by western blotting. This approach allows for the quantitative analysis of the nascent proteome in intact neural circuits with high temporal precision. For complete details on the use and execution of this protocol, please refer to He et al.1.
Figure 1. Representative image of pH adjustment for AHA stock solution12 μL of PBS was added to 0.0033 g of AHA. 1.5 μL of 10 N NaOH and 3 drops of 1 μL NaOH (1 N) solution were added to the solution sequentially and mixed well after each addition. ∼0.1 μL of the solution was dotted on a pH strip to test the pH of the solution. The first magenta-colored dot shows the initial pH of AHA solution. After the pH was brought up to 7.0, 0.8 μL of 1× PBS was added to bring the total volume to 18.3 μL for a final concentration of 1 M. The small quantity used here was for demonstration purpose. We do not recommend making AHA solution in less than 50 μL total volume.
Figure 2. Determination of AHA dosage for optimal labeling of nascent proteins in live tadpole brain(A) Representative dot blots and quantified levels of total amount of nascent proteins labeled within 30 min with various concentrations of AHA solution injected into tadpole brains. All injected volumes were 20 nL per animal. Summarized data show maximal labeling at a concentration of 350 mM.(B) Representative dot blots and summary data showing total amount of nascent proteins labeled with various incubation durations with 350 mM AHA (20 nL/animal) injected. Results show linear increase of labeled nascent proteins up to a labeling period of 5 h, suggesting the injected dosage is sufficient to capture changes in nascent protein production in live tadpole brains within the tested incubation durations.(C) Co-injection of a protein synthesis inhibitor, Anisomycin, at increasing concentrations, reduced or ablated the biotin signal, demonstrating that the biotin signal results from newly synthesized proteins. (All data are presented as mean ± SEM, N = 3–4 batches of animals).
Figure 3. Injection setup and brain dissection in Xenopus tadpoles(A) An injection dish is made by creating ridges on an inverted Petri dish using a hot glue gun.(B) The dish is covered with a moist Kimwipe to keep animals moist during the injection. Anesthetized tadpoles are placed in rows in small batches (positioned dorsal side up) and injected with the desired solution using a glass micropipette needle.(C) An outline of the tadpole brain (left) is shown, with the injection site in the midbrain ventricle (indicated by the arrow on the right). The injected solutions contain Fast Green dye for visualization.(D) Depending on the experimental design, either the entire brain (left) or the midbrain region (right) is dissected at the appropriate time point following the injections.
Figure 4. Workflow of the key steps in the biochemical processing of AHA-labeled tissue
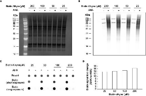
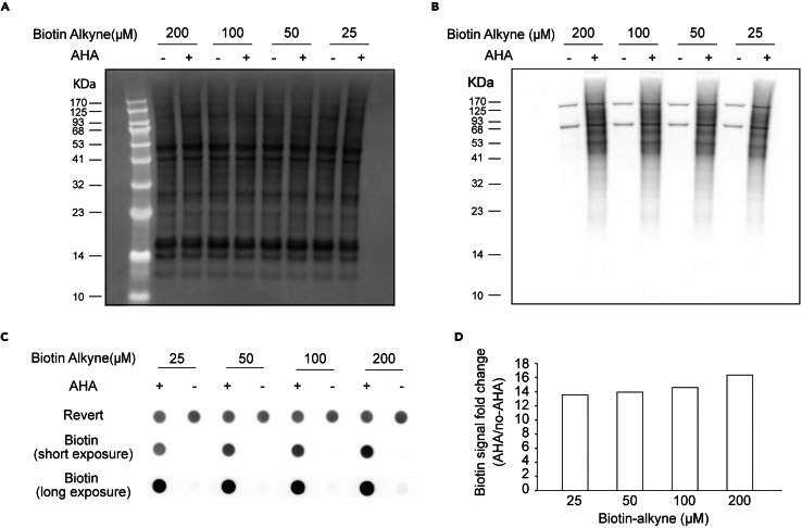
Figure 5. Optimization of the biotin-alkyne dosage for click reaction with AHA-tagged nascent proteins in tadpole brain samplesFour concentrations of biotin-alkyne (25, 50, 100, 200 μM) were used to label AHA-tagged nascent proteins. A non-AHA-injected brain sample was included with each concentration as a control to account for background signal from either endogenous biotin or non-specific click reaction.(A) Revert 520 staining confirming equal total protein loading.(B) Western blot shows abundant biotin labeling in AHA-injected samples and mostly endogenous biotin signal (two bands at higher molecular weight) in no-AHA sample with minimal non-specific click reaction signal.(C) Dot blot of biotinylated samples shows little signal in the non-AHA-injected controls with high biotin signal in the AHA-injected sample.(D) Quantified ratio of the biotin signal in B in AHA over non-AHA control for each biotin-alkyne concentration.
Figure 6. Optimization of total protein loading controls with Ponceau S and Revert 520 dyes(A) Representative Ponceau S-stained blots showing the impact of varying incubation durations (2 min, 6 min, 10 min) on signal intensity. The corresponding quantification and linear range of protein detection are shown on the right.(B) Revert 520-stained blots imaged under three different exposure settings. The linear range of protein detection for each exposure condition is tabulated on the right.
Figure 7. Optimization and validation of NeutrAvidin beads pull-down for biotinylated AHA-labeled nascent proteins(A) Optimization of the volume of high capacity NeutrAvidin agarose beads used for pulldown. Equal amount (equivalent to 80 μg of the AHA-tagged total protein lysates, ∼0.9× click reaction) of the same clicked (biotinylated) sample were incubated with various volume of NeutrAvidin bead slurry. Left: Revert staining shows total proteins pulled down plateaus with 15 μL of bead slurry. Middle/ Right: Immunoblots and quantification for two nascent proteins, CaMKIIα and GAPDH, showing maximum detection at 20 μL bead slurry.(B) Validation of NeutrAvidin bead pull-down specificity. Same amount of AHA-tagged total protein samples (86.5 μg) with or without click reaction were incubated with 25 μL of NeutrAvidin bead slurry and processed for pull-down. Left: Ponceau staining show minimal protein in the non-clicked (non-biotinylated) samples except for co-eluted avidin monomers/dimers (∼15 and 30 kDa). Right: Western blotting of antibodies against different individual proteins showed no signal detected in the non-biotinylated sample. Figure 7B adapted from He et al., 2023.
Figure 8. Example experimental results for dot blotting and western blotting analysis of in vivo BONCAT-labeled tadpole brain samples(A) Representative Dot Blot images of Revert staining and Biotin immunoblotting from the same membrane. The level of total amount of nascent proteins in samples is quantified as the ratio of biotin signal to total protein amount, normalized to the control sample (dotted line).(B) Representative images of nitrocellulose membranes stained with Ponceau once transfer was complete. The membrane is then cut into three strips right above the 75 kDa and 37 kDa ladder standards and each strip was blotted with the antibodies against PSMD2, b-tubulin/BSA, and GAPDH, as shown. The intensity of band for each protein-of-interest is first normalized to the loading control and then normalized to the value of the control sample on the same blot.