Click here to close
Hello! We notice that you are using Internet Explorer, which is not supported by Xenbase and may cause the site to display incorrectly.
We suggest using a current version of Chrome,
FireFox, or Safari.
???displayArticle.abstract???
We have cloned the promoter regions of two Xenopus laevis genes, Prph2 (also called RDS) and red cone opsin (RCO) using a polymerase chain reaction-based gene-walking method. The proteins coded by these genes are expressed exclusively in retinal photoreceptors. Although these promoter sequences are evolutionarily distant from previously described homologues, potentially informative similarities were noted that suggest conserved binding sites of the transcription factors Crx and Rx. The promoters were tested for function in transgenic X. laevis. RCO-driven expression was restricted to cones and pinealocytes, while the Prph2 promoter drove expression of a reporter green fluorescent protein transgene in both rod and cone photoreceptors, as well as low levels of expression in muscletissue. This is the first description of transgene expression driven by a Prph2 promoter homologue from any species. In combination with the previously reported X. laevis opsin and arrestin promoters, these sequences will facilitate the development and analysis of X. laevis models of inherited retinal degeneration.
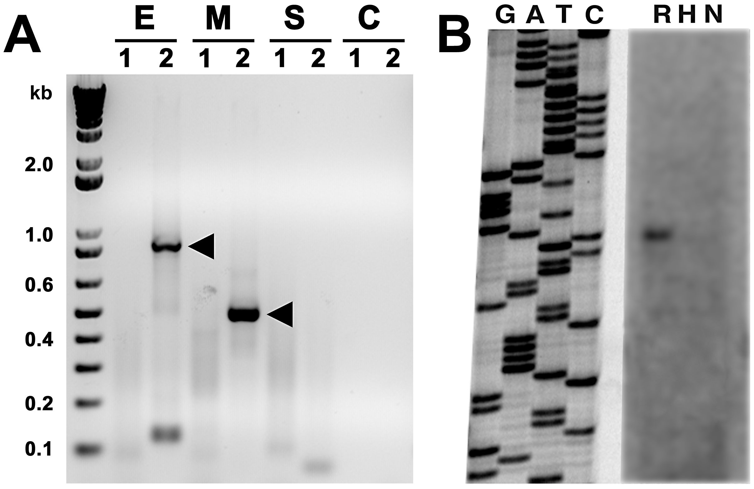
Fig. 1. Gene walking and primer extension results for RCO. (A) Genomic DNA templates prepared using EcoRV (E) MscI (M), or ScaI (S) restriction enzymes were used for 1st and 2nd round PCR reactions (1, 2). Products were analyzed on a 1.5% agarose gel. Control 1st round reactions (C) contained no template, and 2nd round reactions used first round products as templates. Second round products (arrowheads) were obtained using EcoRV and MscI templates, but not in control reactions. Similar results were obtained for Prph2. (B) The transcription initiation site of the RCO gene was mapped by primer extension using total RNA as a template. A specific product of primer extension was seen in X. laevis retina RNA (R) using primer Xrcogsp2. No specific products were obtained from heart RNA (H) or a control reaction containing no RNA (N). DNA sequencing reactions using Xrcogsp2 are shown on the left (GATC). Similar analysis of X. laevisPrph2 failed to give any detectable products.
Fig. 2. Summary of PCR results. The relative sizes and positions of clones obtained by PCR gene walking are summarized above. Gene walking allowed us to obtain 2146 bp of novel sequence from Prph2 and 813 bp of novel sequence from RCO using genomic DNA templates prepared with MscI, EcoRV, and HincII restriction enzymes. Clones obtained by this method terminated with restriction enzyme half-sites, as indicated. Clones tested for promoter activity in transgenic X. laevis are indicated, as is the relative position of the large Prph2 fragment obtained by conventional PCR.
Fig. 3. Promoter alignments. Sequences derived from X. laevisPrph2 and RCO genes aligned with previously cloned homologues. (A) The X. laevisPrph2 product obtained with MscI (see Fig. 2) aligned with human and mouse homologues. (B) The X. laevis RCO product obtained with EcoRV (Figs. 1 and 2) aligned with the A. carolinensis cone opsin promoter (Kawamura and Yokoyama, 1993). Completely conserved bases are highlighted green, identical bases are yellow, and similar bases are blue. Italics indicate regions of overlap with previously cloned cDNAs, used to confirm the specificity of the PCR. Interesting features of the sequences are noted. In the Prph2 alignment, the transcription initiation site of mouse Prph2 (Ma et al., 1995) is indicated by an arrow and numbered +1. A consensus Inr element is found within a conserved region (extended by blue dashed line) previously suggested to function as a TATAA element. A non-conserved TATAA element is also present upstream. For RCO, the transcription start site of the X. laevis gene is indicated by the arrow and numbered +1 (see Fig. 1). Conserved potential binding sites for the retina-specific transcription factors Rx (PCE1 sites) and Crx (OTX sites) were identified, as well as a conserved TATAA box and a glass-like element. The AT-rich sequence indicated by the dashed line immediately follows a conserved PCE1 site, and could be functionally similar to a BAT-1 site. The region that resembles a previously described X. laevis dispersed repeat sequence (Riggs and Taylor, 1987) is underlined.
Fig. 4. PCR products function as promoters in transgenic X. laevis. (A) Ventral view of a transgenic tadpole expressing GFP under control of RCO-0.9 (see Fig. 2). A fluorescence image (green) is superimposed on a bright field image (grayscale). Expression of GFP was seen in the eyes (e). No fluorescence was seen in the heart (arrow). The gut (g) is auto-fluorescent. (B) Similar ventral view of a tadpole expressing GFP under control of Prph2-1.2. Fluorescence was seen in the eyes (e) and the heart (arrow). (C) Dorsal view of a tadpole expressing GFP under control of RCO-0.9, with strong pineal expression (arrow) (eye fluorescence cannot be seen in this view.) (D) Three-quarters view of a tadpole expressing GFP under control of Prph2-1.2. The image is a grayscale representation of green fluorescence without superimposed bright field. Low-level GFP expression was observed in the muscles of the jaw (j) and heart (h). In panels AâD the anterior end of each tadpole is on the right side of the image, marked (a). (E) Section of a tadpoleeye expressing GFP under control of Prph2-1.2. Within the retina, GFP expression was seen in the photoreceptor or outer nuclear layer (onl), but not the inner nuclear layer (inl) or ganglion cell layer (gcl). (red=wheat germ agglutinin, blue=Hoechst 33342 nuclear stain). (F) Similar results were obtained with RCO-0.9, although low-level expression was occasionally observed in lens. At higher magnification, we observed Prph2-1.2-driven expression of GFP in photoreceptors of all rod and cone types (G), while RCO-0.9 drove expression only in cones (H) (red=anti-rhodopsin, which labels rods but not cones). (I) Cones expressing GFP under control of RCO-0.9 were labeled by antibody cos-1 (red), which reacts with the X. laevis long-wavelength cone pigment (Rohlich et al., 1989). (J) In some transgenic retinas RCO-0.9-driven expression varied dramatically among cells, allowing individual cones to be imaged. As previously shown for rods (Moritz et al., 1999) GFP was distributed throughout the cones, but was found at lower concentrations in outer segments (os) and the mitochondria-containing region (m) and was excluded from oil droplets (od). Inner segment=is, synapse=s. AâD bar=100 μm, GâI bar=30 μm, J Bar=10 μm.
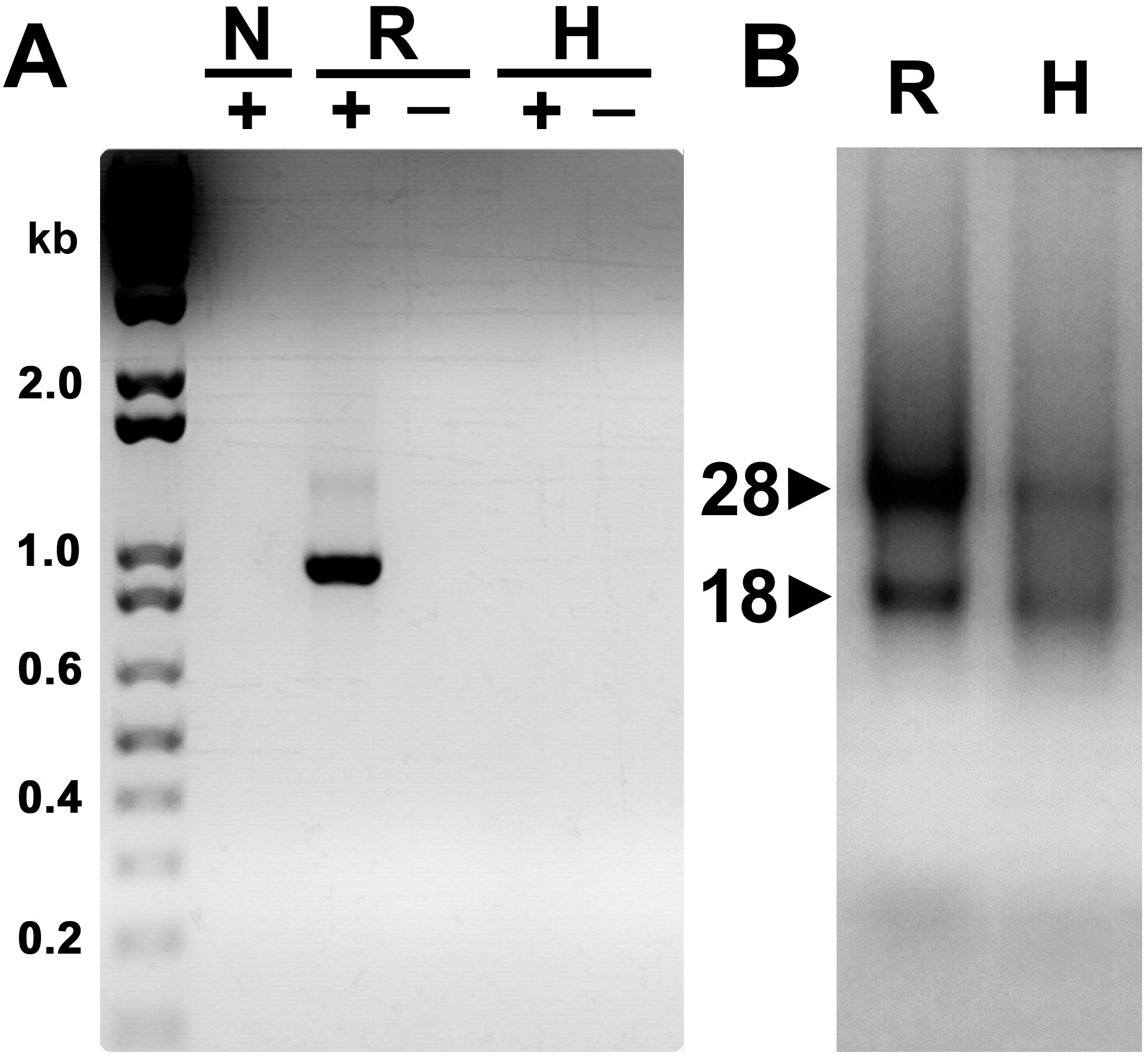
Fig. 5. Endogenous Xrds38 mRNA is not detectable in heart tissue. (A) RT-PCR analysis of retina and heart RNA using primers designed to amplify a 956 bp fragment of the Xrds38 cDNA. RT-PCR was carried out as described in Section 2 using oligo-dT primed cDNA templates, and analyzed on a 1.5% agarose gel. cDNA templates were generated using total RNA from X. laevis retina (R), heart (H), or no RNA (N), and in the presence (+) or absence (−) of RT. RT-dependent products were only obtained from retina. (B) RNA used for cDNA synthesis was checked for integrity on a 1.5% agarose gel. 18S and 28S ribosomal RNA bands are clearly visible, indicating that both RNA samples were of good quality.