Click here to close
Hello! We notice that you are using Internet Explorer, which is not supported by Xenbase and may cause the site to display incorrectly.
We suggest using a current version of Chrome,
FireFox, or Safari.
???displayArticle.abstract???
A Xenopus oocyte expression library was screened for proteins that bind to the 340-nucleotide localization element of Vg1 mRNA. Four different isolates encoded a Xenopus homolog of the human transcription factor, FUSE-binding protein 2 (FBP2). This protein has been independently identified as the splicing regulatory factor KSRP. The only significant difference between the Xenopus protein, designated VgRBP71, and KSRP is the absence of a 58 amino acid segment near the N-terminal of the former. In vivo binding assays show that VgRBP71 is associated with mRNAs localized to either the vegetal or animal hemispheres, but was not found with control mRNAs. Unlike other factors that bind to the localization element of Vg1 mRNA, VgRBP71 does not accumulate at the vegetal cortex with the mRNA; rather, it is present in the nucleus and throughout the cytoplasm at all stages of oogenesis. Cytoplasmic VgRBP71 appears to be most concentrated at the cell cortex. VgRBP71 interacts with Prrp, another protein that binds to the Vg1 localization element; this association does not require the presence of Vg1 mRNA.
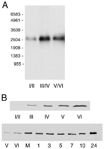
Temporal expression of VgRBP71. (A) Oocytes were separated into three groups according to the designated Dumont stages and total RNA isolated for northern blot analysis. Each lane contains 10 oocyte-equivalents of RNA. The positions of RNA size standards (nt) are indicated. (B) Staged oocytes or embryos were homogenized and two oocyte/embryo equivalents were run per lane in a western blot assay. The numbers below each lane refer to the developmental stage of the oocytes (Dumont, 1972) or embryos (Nieuwkoop and Faber, 1956). M indicates stage VI oocytes matured by treatment with progesterone.
In vivo RNA binding assays. VgRBP71 was immunoprecipitated from whole cell extract. RNA in the precipitate was converted to cDNA by reverse transcription and amplified by PCR using gene-specific primers denoted by the bars above the relevant lanes of the agarose gels. For each mRNA tested, a standard was generated using total oocyte mRNA as the template for RT-PCR (PCR control). Control reactions included precipitation with protein A-Sepharose resin (ntibody) and protein A-Sepharose resin that had been adsorbed with pre-immune serum (Pre-immune serum).
Distribution of VgRBP71 during oogenesis. Staged oocytes were processed for immunocytochemical analysis using affinity purified antibody prepared against VgRBP71 and a secondary antibody conjugated with Alexa Fluor 568. Stage III through V oocytes are oriented with the vegetal pole at the lower left corner. The stage IV oocyte marked with an asterisk (IV*) was bisected along the animal-vegetal axis prior to immunochemical staining. The images marked VI(vg) and VI(an) are the vegetal and animal hemispheres, respectively, of a stage VI oocyte.
Distribution of khsrp / VgRBP71 during oogenesis. Staged oocytes were processed for immunocytochemical analysis using affinity purified antibody prepared against khsrp / VgRBP71 and a secondary antibody conjugated with Alexa Fluor 568. Stage III through V oocytes are oriented with the vegetal pole at the lower left corner. The stage IV oocyte marked with an asterisk (IV*) was bisected along the animal-vegetal axis prior to immunochemical staining. The images marked VI(vg) and VI(an) are the vegetal and animal hemispheres, respectively, of a stage VI oocyte.