Click here to close
Hello! We notice that you are using Internet Explorer, which is not supported by Xenbase and may cause the site to display incorrectly.
We suggest using a current version of Chrome,
FireFox, or Safari.
???displayArticle.abstract???
Developmental cytogenetic analyses of Xenopus tropicalis larvae from two origins were performed on stage 27-34 heads treated with colchicine. Standard G-band karyotyping using trypsin and chromosome mapping of 184 bands were examined. Although the main karyotype was 2n = 20, polyploidy (3n = 30 or 4n = 40) and aneuploidy were detected in each individual treated with colchicine, even those treated for only 1 h. The percentage of polyploid karyotypes was 10-20% across the total of measured metaphases. The mean mitotic index was 0.10. Chromosomal breaks and exchanges were detected at the secondary constriction of chromosomes 5 or 6. Ag-band detection showed clearly positive staining at the secondary constriction of chromosome 5, which corresponds to the nucleolar organizer region. Tandem duplication of negative G-bands at the secondary constriction of chromosome 6 and the short arm of chromosome 10 was suggested by this study. X. tropicalis thus provides a good model to study the mechanism and effects of chromosomal abnormalities, gene mapping and tissue specific gene expression in the developmental process.
Fig. 1. Karyotype of Xenopus
tropicalis stock A (G-band,
2n = 20). (a) Metaphase, (b)
prometaphase.
Fig. 2.
(Continued from pp. 430 and 431.) Chromosome mapping of
Xenopus tropicalis
obtained from Figure 1b. The relative length
of the shortest band is represented as 1.0. The total number of bands is 184. Cen, centromere. Total, summation of length and number
of bands in the short (pt) and long (qt) arms.
Fig. 3. Ag-band positive (arrows)
at the nucleolar organizer region
(NOR) in two chromosomes 5
(5q12; stock A of Xenopus tropicalis).
Fig. 4.
Ag-band staining of interphase cells treated with
colchicine for 4–6 h (stock A). Two large nucleoli (arrows) with
Ag-band staining can be seen.
Fig. 5. Chromosomal abnormalities.
(a) Endoreduplication, (b)
breaks of iso chromosome 5 or
exchange of chromosome 5 in
secondary constriction (arrows),
(c) triploidy (3n = 30) and (d)
tandem association of chromosomes
6, 8 and 1 (arrows).
Fig. 6. (a,b) Triploid metaphases
are detected in cells with
large nuclei. (c,d) Diploid
metaphases are detected in cells
with small nuclei.
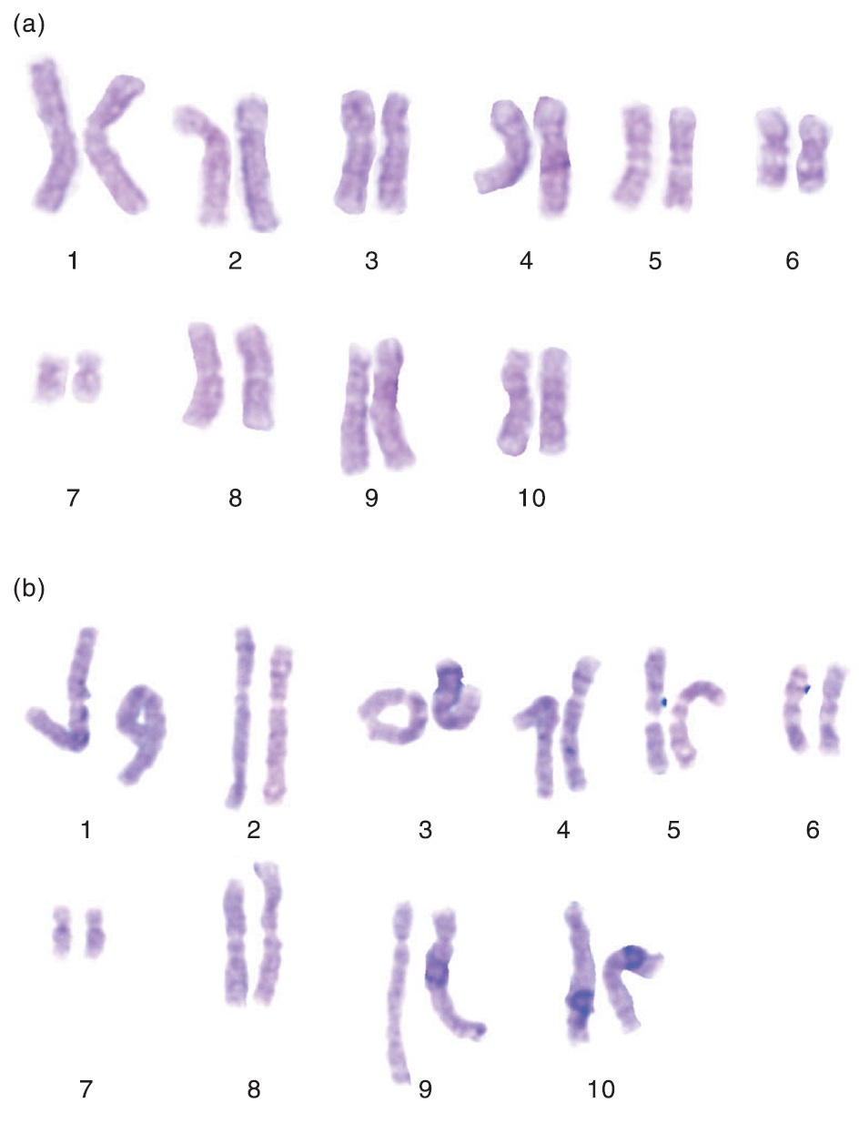
Fig. 7. Karyotype of Xenopus
tropicalis stock B (G-band,
2n = 20, metaphase). Tandem
duplication in the secondary
constriction of chromosome 6
(6q12) and the short arm of
chromosome 10 are suggested.
Fig. 8. Secondary constriction
(arrowhead) of chromosome 5
(5q12) and chromosome 6 (6q12)
in stock B. One is longer than the
other at constriction of chromosome
6 (6q12; heteromorphic,
type I). The length of constrictions
in both chromosomes 6 (6q12)
is similar (homomorphic, long,
type II). Constriction is not detected
in both chromosomes 6 (6q12;
homomorphic, short, type III).