Click here to close
Hello! We notice that you are using Internet Explorer, which is not supported by Xenbase and may cause the site to display incorrectly.
We suggest using a current version of Chrome,
FireFox, or Safari.
???displayArticle.abstract???
The extra sex combs (esc) gene of Drosophila and its mammalian homologue embryonic ectoderm development (eed) play pivotal roles in establishing Polycomb-group (Pc-G) mediated transcriptional silencing of regulatory genes during early development. We have carried out a two-hybrid screen in yeast to identify maternally expressed proteins that interact directly with the product of the Xenopus eed homologue, Xeed. Xeed-interacting proteins that were recovered in this screen included a maternal Xenopus histone deacetylase (HDACm), the Xeed protein itself, and a Xenopus homologue of Enhancer of zeste (XEZ) - a second member of the Pc-G that is closely related by sequence similarity to histone methyltransferases. We have also identified a novel interaction between Xeed and a component of the Xenopus basal transcription machinery, TAF(II)32. We show for the first time that each of these proteins interacts with the Xeed polypeptide, both in the yeast two-hybrid assay and in vitro using purified recombinant proteins. XEZ, HDACm and TAF(II)32 mRNAs are all strongly co-expressed with Xeed mRNA in the fertilized egg, further suggesting that their encoded proteins could interact with Xeed during early embryonic development. Our observations support a multi-step model for the onset of transcriptional silencing in which Xeed binds to and inhibits the function of the transcription initiation complex and also recruits proteins that mediate the acquisition by associated chromatin of epigenetically heritable, post-translational modifications.
Fig. 1. Xeed1.2 encodes a conserved ESC/Eed homologue containing seven WD repeats. Alignment of the protein sequence of ESC/Eed homologues from
Drosophila, mouse and human, with the 438 amino acid sequence derived by conceptual translation of the Xeed1.2 open reading frame, reveals a high degree of
sequence conservation, particularly within theWDrepeat regions. The product encoded by the Xeed1.2 cDNA contains an N-terminal stretch of 12 amino acids
(shaded) that is absent from the open reading frame of an independently isolated 1.3 kb Xeed cDNA (Satijn et al., 2001).
Fig. 2. Xeed and XEZ are co-expressed during Xenopus development. (a) Northern analysis of mRNA extracted from whole X. laevis embryos at the indicated
Nieuwkoop and Faber stages. (b) Whole-mount in situ hybridization analysis of (i) Xeed and (ii) XEZ expression in tailbud stage embryos (stage 30) reveals a
high level of co-expression in anterior neural tissues.
Fig. 3. Xeed protein interacts with XEZ, HDACm, TAFII32 and itself in the yeast two-hybrid assay. (a) Structure of the fusion protein constructs utilized in the
two-hybrid assays. (b) Results of two-hybrid assays for Xeed interactors following simultaneous selection for activation of both HIS3 and ADE2 growth
reporter genes. Colony growth occurs only when yeast co-expresses the appropriate combinations of complete bait and prey fusion proteins. No growth occurs
when either bait or prey constructs contain only an unfused GAL4 DBD or AD domain, indicating that interactions required for growth occur specifically
between Xeed and XEZ, HDACm, Xeed or TAFII32 polypeptides.
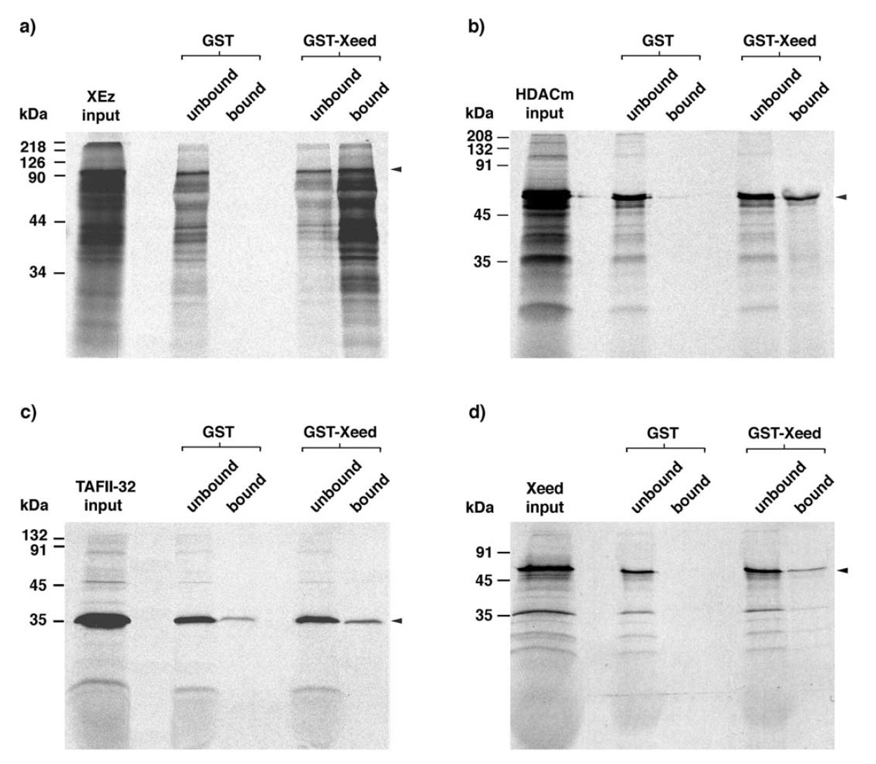
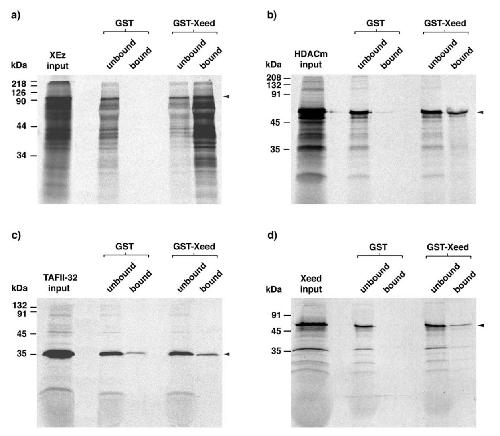
Fig. 4. XEZ, HDACm, TAFII32 and Xeed bind directly to Xeed in vitro. Pre-cleared, in vitro translated XEZ, HDACm, TAFII32 and Xeed proteins (a,b,c,d,
respectively) were incubated with glutathione-sepharose beads coated with either GST or GST-Xeed protein. The input material and that present in the
unbound and bound fractions after pull-down were then analyzed by SDS-PAGE and autoradiography.
Fig. 5. Xeed, HDACm and TAFII32 are co-expressed during Xenopus development.
Semi-quantitative RT-PCR analysis of mRNA extracted from
whole X. laevis embryos at the indicated Nieuwkoop and Faber stages,
using gene-specific primer pairs for Xeed, HDACm and TAFII32 transcripts.