Click here to close
Hello! We notice that you are using Internet Explorer, which is not supported by Xenbase and may cause the site to display incorrectly.
We suggest using a current version of Chrome,
FireFox, or Safari.
???displayArticle.abstract???
RNA-binding proteins are known to play an important role in a number of aspects of development, although in most cases the precise mechanism of action remains unknown. We have previously described the isolation of an RNA-binding protein, hermes, that is expressed at very high levels in the differentiating myocardium. Here, we report experiments aimed at elucidating the functional role of hermes in development. Utilizing the Xenopus oocyte, we show that hermes is localized primarily to the cytoplasm, can associate in a multiprotein complex, and is able to bind to mature RNA transcripts in vivo. Overexpression of hermes in the developing embryo dramatically and specifically inhibits heart development. In particular, transcripts encoding the myocardial differentiation markers, cardiac troponin I and cardiac alpha-actin, are absent, and overall morphological development of the heart is eliminated. Examination of markers of precardiac tissue showed that expression of GATA-4 is normal, while the levels of Nkx2-5 mRNA are strongly reduced. Overall, these studies suggest that hermes plays a role in the regulation of mature transcripts required for myocardial differentiation. To our knowledge, this is the first evidence for an RNA-binding protein playing a direct role in regulation of vertebrate heart development.
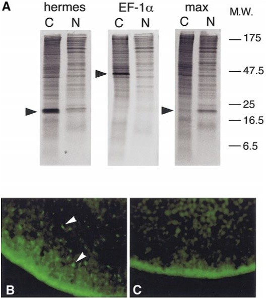
FIG. 2. Subcellular localization of hermes in the oocyte. (A) Hermes is present in both the nuclear and cytoplasmic compartments. Syn- thetic mRNAs encoding either hermes, the cytoplasmic protein EF-1alpha, or the nuclear protein Max were injected into the cytoplasm of Xenopus oocytes, together with [35S]methionine. Oocytes were manu- ally dissected into cytoplasmic (C) and nuclear (N) fractions. Protein extracts equivalent to one-fifth of each fraction from a single oocyte were resolved on SDS-PAGE and visualized by fluorography. Results indicate that the control proteins EF-1alpha and Max localize to the cytoplasmic and nuclear fractions, respectively. hermes is present primarily in the cytoplasm, but a small portion of hermes is found in the nuclear fraction. (B, C) Immunolocalization of epitope-tagged hermes protein in the oocyte. Synthetic mRNAs encoding myc- epitope-tagged proteins were injected into mature oocytes, and the resulting proteins were visualized by immunocytochemistry on sec- tioned oocytes. (B) View of the vegetal region of a MTHermes-injected oocyte. Staining appears as a punctate pattern. (C) View of the vegetal region of an oocyte expressing myc-epitope tag alone. Staining is diffuse and does not show the punctate pattern seen with MThermes.
FIG. 5. Overexpression of hermes inhibits heart and kidney development. Embryos injected with mRNA encoding hermes and lineage tracer GFP, or GFP alone. All embryos are at stage 28/29, unless otherwise specified. Whole-mount in situ hybridizations are photographed as lateral views except for (C), (F), and (I), which are ventral views of the same embryos pictured laterally. (AâC) GFP-injected control embryos showing normal expression of cardiac alpha-actin in the somites (A, B) and paired heartprimordia (C). (DâF) Single-sided injections cause the ablation of the heart-forming region on the injected side (arrow) as assayed by cardiac alpha-actin. (GâI) Double-sided injections showing complete ablation of both heartprimordia, while somite morphology (G, H) is unperturbed as assayed by cardiac alphaactin. (J, K) Transverse sections through stage 32 embryos (linear heart tube stage) injected with GFP mRNA only (J) or bilaterally injected with hermes mRNA (K) and assayed by cardiac alpha-actin. Note the absence of any cardiac alpha-actin staining as well as the absence of a morphologically detectable heart tube in (K), although the heart tube is easily detectable in (J). (L, M) GATA-4 expression in control embryos (L) is indistinguishable from hermes-injected embryos (M). (N, O) By contrast, a hermes-injected embryo (O) has reduced Nkx2â5 expression compared with a control GFP-injected embryo (N). (P, Q) A stage 25 hermes-injected embryo assayed with the kidney marker X-pax2. The uninjected side (P) shows normal kidney expression, while the injected side (Q) shows the absence of all kidney expression.