Click here to close
Hello! We notice that you are using Internet Explorer, which is not supported by Xenbase and may cause the site to display incorrectly.
We suggest using a current version of Chrome,
FireFox, or Safari.
???displayArticle.abstract???
BACKGROUND: Specific cis-elements and the associated trans-acting factors have been implicated in the post-transcriptional regulation of gene expression. In the era of genome wide analyses identifying novel trans-acting factors and cis-regulatory elements is a step towards understanding coordinated gene expression. UV-crosslink analysis is a standard method used to identify RNA-binding proteins. Uridine is traditionally used to radiolabel substrate RNAs, however, proteins binding to cis-elements particularly uridine poor will be weakly or not detected. We evaluate here the possibility of using UV-crosslinking with RNA substrates radiolabeled with each of the four ribonucleotides as an approach for screening for novel sequence specific RNA-binding proteins.
RESULTS: The radiolabeled RNA substrates were derived from the 3'UTRs of the cloned Eg and c-mos Xenopus laevis maternal mRNAs. Specific, but not identical, uv-crosslinking signals were obtained, some of which corresponded to already identified proteins. A signal for a novel 90 kDa protein was observed with the c-mos 3'UTR radiolabeled with both CTP and GTP but not with UTP. The binding site of the 90 kDa RNA-binding protein was localised to a 59-nucleotide portion of the c-mos 3'UTR.
CONCLUSION: That the 90 kDa signal was detected with RNAs radiolabeled with CTP or GTP but not UTP illustrates the advantage of radiolabeling all four nucleotides in a UV-crosslink based screen. This method can be used for both long and short RNAs and does not require knowledge of the cis-acting sequence. It should be amenable to high throughput screening for RNA binding proteins.
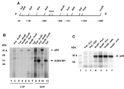
Figure 1. Comparative analysis of proteins that UV crosslink to Eg1, Eg2, Eg5 and c-mos 3'UTRs.32P-labeled transcripts corresponding to the 3' untranslated regions of the RNAs indicated above the lanes were incubated in extracts made from 4 hour (pre-transcription) Xenopus embryos, irradiated with UV light and digested with RNase A. The proteins rendered radioactive by crosslinking to the labeled transcripts were analysed by electrophoresis on 10% polyacrylamide-SDS gels followed by autoradiography. A32P-UTP labeled RNAs; B32P-ATP labeled RNAs; C32P-GTP labeled RNAs; D32P-CTP labeled RNAs. In each panel the sizes of the molecular weight markers are indicated on the left.
Figure 2. p90 is a sequence specific RNA-binding protein.A Restriction map of c-mos 3'UTR. Numbering is from the stop codon which is indicated by a star (*), EDEN represents the EDEN sequence present in the 3'UTR of c-mos. B and C Mapping of the binding sites of p90 in the c-mos 3'UTR. 32P-CTP (panel B: lanes 2–7) and 32P-GTP (panel B: lanes 8–11 and panel C: lanes 2–7) labeled transcripts, that correspond to different regions of the c-mos 3'UTR, were synthesised and used in UV crosslinking analyses as described in the legend to Figure 1. The portions of the c-mos 3'UTR cDNA used as template to synthesise the different RNAs is indicated above the lanes. The positions of p90 and EDEN-BP are indicated on the right of the panels and the sizes of the molecular weight markers (lane 1) are indicated on the left.
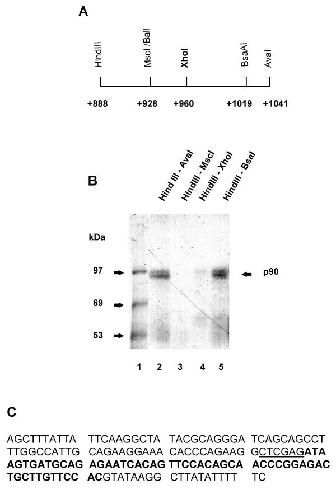
Figure 3. Fine mapping of the p90 binding site.A Restriction map of the HindIII – AvaI region of c-mos 3'UTR cDNA. The position of the XhoI site introduced by mutagenesis is also indicated. Numbering is from the translation stop codon in the complete mRNA. B UV crosslink analysis of 32P-GTP-labeled transcripts that contain sequence information from different portions of the HindIII-AvaI regions of the c-mos 3'UTR cDNA, as indicated above the lanes. The position of the p90 protein is indicated on the right and the sizes of the molecular weight markers (lane 1) are indicated on the left. C The sequence of c-mos 3'UTR contained between the HindIII – AvaI restriction sites in the cDNA. The introduced XhoI site is underlined. The portion required for p90 binding is indicated in bold type.
Audic,
Embryo deadenylation element-dependent deadenylation is enhanced by a cis element containing AUU repeats.
1998, Pubmed,
Xenbase
Audic,
Embryo deadenylation element-dependent deadenylation is enhanced by a cis element containing AUU repeats.
1998,
Pubmed
,
Xenbase Bouvet,
The deadenylation conferred by the 3' untranslated region of a developmentally controlled mRNA in Xenopus embryos is switched to polyadenylation by deletion of a short sequence element.
1994,
Pubmed
,
Xenbase Cormier,
Molecular cloning of Xenopus elongation factor 1 gamma, major M-phase promoting factor substrate.
1991,
Pubmed
,
Xenbase Cormier,
Elongation factor 1 contains two homologous guanine-nucleotide exchange proteins as shown from the molecular cloning of beta and delta subunits.
1993,
Pubmed
,
Xenbase Fox,
Poly(A) addition during maturation of frog oocytes: distinct nuclear and cytoplasmic activities and regulation by the sequence UUUUUAU.
1989,
Pubmed
,
Xenbase Gray,
Control of translation initiation in animals.
1998,
Pubmed Hake,
CPEB is a specificity factor that mediates cytoplasmic polyadenylation during Xenopus oocyte maturation.
1994,
Pubmed
,
Xenbase Henderson,
Interaction between iron-regulatory proteins and their RNA target sequences, iron-responsive elements.
1997,
Pubmed Hockensmith,
Laser cross-linking of proteins to nucleic acids. I. Examining physical parameters of protein-nucleic acid complexes.
1993,
Pubmed Kim-Ha,
Translational regulation of oskar mRNA by bruno, an ovarian RNA-binding protein, is essential.
1995,
Pubmed Legagneux,
Identification of RNA-binding proteins specific to Xenopus Eg maternal mRNAs: association with the portion of Eg2 mRNA that promotes deadenylation in embryos.
1992,
Pubmed
,
Xenbase McGrew,
Poly(A) elongation during Xenopus oocyte maturation is required for translational recruitment and is mediated by a short sequence element.
1989,
Pubmed
,
Xenbase Murata,
Binding of pumilio to maternal hunchback mRNA is required for posterior patterning in Drosophila embryos.
1995,
Pubmed Murray,
Poly(rC) binding proteins mediate poliovirus mRNA stability.
2001,
Pubmed Paillard,
EDEN and EDEN-BP, a cis element and an associated factor that mediate sequence-specific mRNA deadenylation in Xenopus embryos.
1998,
Pubmed
,
Xenbase Paris,
Cloning by differential screening of a Xenopus cDNA coding for a protein highly homologous to cdc2.
1991,
Pubmed
,
Xenbase Peng,
RNA stabilization by the AU-rich element binding protein, HuR, an ELAV protein.
1998,
Pubmed Sagata,
Function of c-mos proto-oncogene product in meiotic maturation in Xenopus oocytes.
1988,
Pubmed
,
Xenbase SenGupta,
A three-hybrid system to detect RNA-protein interactions in vivo.
1996,
Pubmed Thomson,
Optimized RNA gel-shift and UV cross-linking assays for characterization of cytoplasmic RNA-protein interactions.
1999,
Pubmed Voeltz,
A novel embryonic poly(A) binding protein, ePAB, regulates mRNA deadenylation in Xenopus egg extracts.
2001,
Pubmed
,
Xenbase Wang,
HuR regulates cyclin A and cyclin B1 mRNA stability during cell proliferation.
2000,
Pubmed Webster,
Translational repressor bruno plays multiple roles in development and is widely conserved.
1997,
Pubmed Wharton,
RNA regulatory elements mediate control of Drosophila body pattern by the posterior morphogen nanos.
1991,
Pubmed Wilson,
The search for trans-acting factors controlling messenger RNA decay.
1999,
Pubmed