XB-ART-7273
Differentiation
2002 Mar 01;701:46-55. doi: 10.1046/j.1432-0436.2002.700105.x.
Show Gene links
Show Anatomy links
EphA4 catalytic activity causes inhibition of RhoA GTPase in Xenopus laevis embryos.
???displayArticle.abstract???
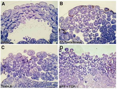
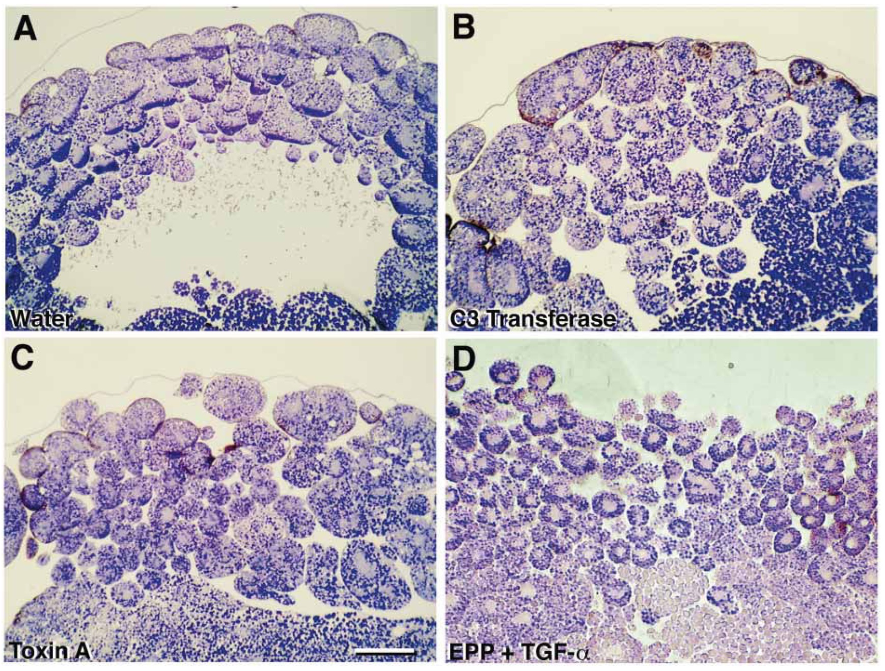
The Eph family of receptor tyrosine kinases is involved in limiting cell and tissue interactions via a repulsive mechanism. The mechanism of repulsion involves reorganizing the actin cytoskeleton, but little is known of the molecular components that connect the receptor to the actin cytoskeleton. Recent studies in retinal ganglion cells have demonstrated that EphA4 activates the small GTPase Rho. We have investigated the involvement of Rho in signaling downstream from EphA4. As a model system, we have used a chimeric receptor called EPP that we express and activate in early Xenopus embryos. Previous studies demonstrated that EPP activation leads to loss of cell-cell adhesion and change in cell shape, plus loss of aspects of cell polarity in epithelial cells, such as apical microvilli and the apical/basolateral boundary. In this study, we show that injecting inhibitors of Rho GTPases into early Xenopus embryos produces a phenotype very similar to that resulting from EPP activation. More importantly, expression of a constitutively active form of Xenopus RhoA (XRhoA) concurrent with activated EPP rescued embryos from the loss of cell-cell adhesion and change in cell shape associated with EPP. These data argue that, in contrast to the case in retinal ganglion cells, EphA4 in early Xenopus embryos acts to inhibit RhoA, suggesting that this receptor may regulate Rho differently (and therefore affect the cytoskeleton differently) in neuronal and non-neuronal cells. Furthermore, overexpression of ephexin, a novel guanine nucleotide exchange factor for Rho family GTPases, also blocks EPP-induced dissociation. This suggests that EphA4, which has been demonstrated to activate ephexin in cultured neuronal cells, may also target Rho GTPase via an ephexin-independent pathway.
???displayArticle.pubmedLink??? 11963655
???displayArticle.link??? Differentiation
Species referenced: Xenopus laevis
Genes referenced: actl6a epha4 rho rho.2 rhoa rhoa.2
???attribute.lit??? ???displayArticles.show???
