Click here to close
Hello! We notice that you are using Internet Explorer, which is not supported by Xenbase and may cause the site to display incorrectly.
We suggest using a current version of Chrome,
FireFox, or Safari.
???displayArticle.abstract??? Angioblasts, the precursor cells that comprise the endothelial layer of blood vessels, arise from a purely mesodermal population. Individual angioblasts coalesce to form the primary vascular plexus through a process called vasculogenesis. A number of reports in the literature suggest that signals from the adjacent endoderm are necessary to induce angioblast specification within the mesoderm. We present evidence, using both embryological and molecular techniques, indicating that endoderm is not necessary for the induction of angioblasts. Xenopus embryos that had endoderm physically removed at the onset of gastrulation still express vascular markers. Furthermore, animal caps stimulated with bFGF form angioblasts in the absence of any detectable endodermal markers. These results show that endoderm is not required for the initial formation of angioblasts. While Xenopus embryos lacking endoderm contain aggregates of angioblasts, these angioblasts fail to assemble into endothelial tubes. Endothelial tube formation can be rescued, however, by implantation of endodermal tissue from sibling embryos. Based on these studies in Xenopus, and corroborating experiments using the quail embryo, we conclude that endoderm is not required for angioblast specification, but does play an essential role in the formation of vascular tubes.
Fig. 1. Endoderm is not necessary for in vivo angioblast specification. (A) Diagram of the dissection used to remove endoderm. The vegetal core (red), comprising future endoderm, was removed from embryos at the onset of gastrulation, and the resulting endoderm-depleted embryos were incubated until stage 34. (B,D,F) Control embryos assayed with X-msr, erg and flk-1 probes, respectively. These show elaborate vascularization, including posterior cardinal veins (pcv; closed arrowheads), intersomitic vessels (is; open arrowheads) and a ventrolateral vascular plexus. (C,E,G) Endoderm-depleted embryos, assayed with X-msr, erg and flk-1 probes, respectively, contain angioblasts (white open arrowheads), but these are not organized into patent blood vessels.
Fig. 2. Endodermless embryos show a marked reduction in expression of endodermal markers but still express endothelial markers. RT-PCR was performed on total RNA from a stage-34 endodermless embryo. Expression levels of the endodermal markers insulin, IFABP and xlhbox8 are either severely reduced or eliminated relative to unmanipulated controls, while the vascular markers flk-1 and erg and the angioblast/hematopoietic cell marker SCL/tal-1, are still present. âRT, RT not performed.
Fig. 3. Embryos depleted of endoderm by treatment with VegT antisense oligonucleotides continue to express vascular markers. RT-PCR analysis of RNA from stage-34 embryos shows a lack of endodermal markers in VegT-treated embryos (labeled VegTâ), while vascular markers are still present. Rescue by coinjection of VegT mRNA (labeled Rescue) restores both endodermal and mesodermal markers to control levels, whereas partial rescue with eFGF (labeled VegT-eFGF) restores mesodermal marker expression but has no effect on endodermal markers (Kofron et al., 1999). âRT, RT not performed.
Fig. 4. Animal caps treated with bFGF form mesoderm containing endothelial markers in the absence of detectable endoderm. (A) Animal caps were incubated in bFGF and cultured until the appropriate stage (either 12.5 or 30). Caps were then assayed for early or late markers of endoderm and for endothelial markers using RT-PCR. While the animal caps show expression of both endothelial and mesodermal markers, there is no detectable expression of endodermal markers at either stage. Note that significant expression of endothelial markers is not expected in the stage-12.5 samples. (B) Stage-30 animal caps treated with bFGF express the vascular marker X-msr in discrete patches when assayed by in situ hybridization.
Fig. 5. Endoderm is required for endothelial tube formation. (A) Wild-type stage-37 embryo showing posterior cardinal vein (closed arrowhead), intersomitic vessels (open arrowhead) and a prominent vascular plexus. (B,C) Stage-37 embryos deprived of endoderm at stage 10 contain thick assemblages of angioblasts (closed arrowheads), but do not contain endothelial tubes. (D) Stage-37 embryo deprived of endoderm at stage 10 and rescued by the addition of a vegetal plug of endoderm from a sibling embryo. Note the presence of posterior cardinal veins (closed arrowhead) and intersomitic vessels (open arrowhead). (E) Cross-section through a wild-type stage-37 embryo showing posterior cardinal vein (closed arrowhead) and dorsal aorta (open arrowhead). (F) Cross-section through a stage-37 endodermless embryo showing presence of angioblasts (closed arrowhead) but no assembly into endothelial tubes. All embryos were assayed by in situ hybridization with the vascular marker X-msr. e, endoderm; n, notochord; nt, neural tube.
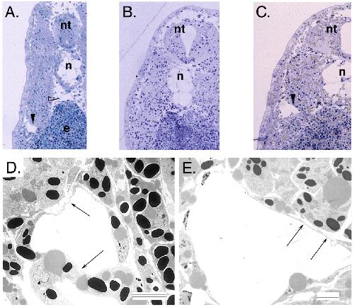
Fig. 6. Embryos without endoderm lack patent blood vessels. (A-C) 1 μm plastic sections stained with Toluidene Blue. (A) Cross-section through a wild-type stage-37 embryo showing endothelial tubes, including a posterior cardinal vein (closed arrowhead) and dorsal aorta (open arrowhead). (B) Endothelial tubes are not present in stage-37 endodermless embryo but are present in stage-37 embryos that have been rescued by the addition of endoderm (C, closed arrowhead). (D,E) Transmission electron microscopy showing transverse sections through the posterior cardinal veins of a wild-type embryo (D) and an endodermless embryo rescued by the addition of endoderm from a sibling donor embryo (E). Arrows indicate the characteristic thin-walled endothelial cell morphology in each section. Scale bars, 1 μm. Black objects in sections are lipid droplets generated during histological preparation. e, endoderm; n, notochord; nt, neural tube.