|
FIG. 1. An amino-terminal truncated b-catenin induces posterior
neural and mesodermal markers in animal caps when coinjected
with noggin. RT-PCR of animal caps injected with 500 pg/embryo
of noggin RNA and 20 pg/embryo (lane 5), 100 pg/embryo (lane 6),
500 pg/embryo (lane 7) of a truncated b-catenin. Truncated
b-catenin (500 pg/embryo) alone induced NCAM and Hoxb9 but
not muscle actin (lane 8). 2RT (lane 1) is a negative control where
no reverse transcriptase was added to embryo RNA during the RT
reaction. Embryo RNA was used as positive control (lane 2). All
samples were analysed at stage 20. Animal caps from uninjected
embryos (lane 3) did not express neural or mesodermal markers.
Animal caps injected only with noggin RNA (lane 4) expressed
NCAM, but not posterior neural or mesodermal markers. eF1a was
used as loading control. |
|
FIG. 2. Xwnt8 induces posterior neural and dorsal mesodermal markers in animal caps when coinjected with noggin and ventral
mesodermal markers when injected alone. (A) RT-PCR of animal caps assayed when sibling embryos reached stage 24. Animal caps from
uninjected embryos (lane 3) did not express neural or mesodermal markers, while explants from embryos injected with noggin RNA (500
pg/embryo; lane 4) expressed NCAM and BF-1 but not posterior neural or mesodermal markers. Posterior neural markers and the dorsal
mesodermal marker muscle actin were induced in explants coinjected with noggin and Xwnt8 (50 pg/embryo; lane 5). Xwnt8 RNA alone
(lane 6) induced the ventral mesoderm marker a-globin and Hoxb9. (B) RT-PCR of animal caps assayed at stage 14 to examine mesodermal
markers. Xwnt8 induced Xhox3 and coinjection of noggin resulted in an increase in the expression of Xbra and a reduction in Xhox3
expression. Embryo RNA was used as a positive control and 2RT is embryo RNA processed without reverse transcriptase and served as a
negative control. eF1a was used as loading control. (C) Morphology of animal caps fixed either at stage 18 (a– d) or stage 38 (e, f). Explants
from uninjected (a), noggin-injected (b), and Xwnt8-injected (c) embryos did not elongate. Animal caps coinjected with noggin and Xwnt8
elongated (d). Animal caps from uninjected embryos (e, g) did not form vesicles, while those injected with Xwnt8 RNA (f, h) formed vesicles
characteristic of ventral mesoderm. |
|
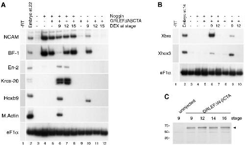
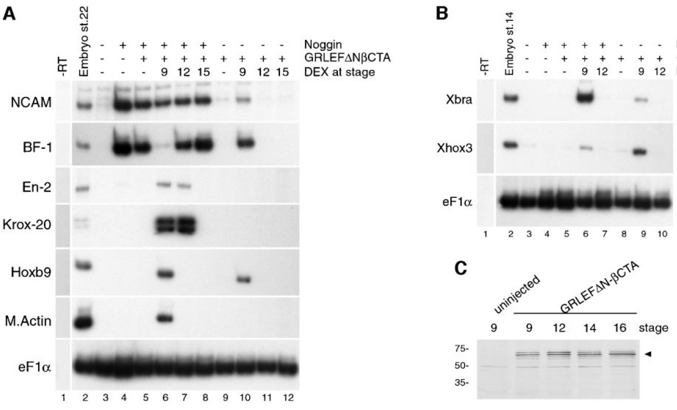
FIG. 3. An inducible form of b-catenin, GR-LEFDNbCTA, results in expression of both posterior neural and mesodermal markers when
activated at stage 9, but only posterior neural markers when activated at stage 12 in coinjections with noggin. (A) RT-PCR of animal caps
analysed at stage 22. Animal caps from uninjected embryos (lane 3) did not express neural or mesodermal markers, while explants from
embryos injected with noggin RNA (500 pg/embryo; lane 4) expressed NCAM and BF-1 but not posterior neural or mesodermal markers.
Posterior neural and mesodermal markers were detected in tissues from embryos coinjected with noggin RNA and GR-LEFDNbCTA RNA
(50 pg/embryo; lanes 5–8) after the addition of DEX at stage 9 (lane 6). Posteriorization occurred in the absence of mesoderm induction when
DEX was applied at stage 12 (lane 7). When DEX was added at stage 15 (lane 8), neither posteriorization nor mesoderm induction occurred.
In the absence of noggin, activation of GR-LEFDNbCTA at stage 9 but not at later stages induced the expression of NCAM, BF-1, and Hoxb9
(lane 10). (B) RT-PCR of animal caps assayed for mesodermal markers at stage 14. Mesodermal markers were detected in caps expressing
GR-LEFDNbCTA when DEX was added at stage 9 (lanes 6 and 9) but not at stage 12 (lanes 7 and 10). Noggin dorsalized the mesoderm
induced by GR-LEFDNbCTA, as the expression of Xbra increased and Xhox3 diminished. 2RT is a negative control, embryo is a positive
control, and eF1a served as loading control. (C) GR-LEFDNbCTA protein levels are similar between blastula and neurula stages. Embryos
were injected with 50 pg/embryo of GR-LEFDNbCTA RNA, ectodermal explants were dissected at stage 8 and collected at the indicated
stages. Two cap equivalents of protein were analysed by Western blotting using the mouse anti-HA monoclonal antibody 12CA5 after
SDS–PAGE. The band corresponding to GR-LEFDNbCTA is indicated by an arrowhead and the positions of molecular mass markers (kDa)
are indicated on the left of the panel. |
|
FIG. 4. Activation of GR-LEFDNbCTA in intact Xenopus embryos results in posteriorization of the neural tube. One animal/dorsal
blastomere of 8-cell stage embryos was injected with 50 pg of GR-LEFDNbCTA RNA and 200 pg of b-gal RNA. Embryos were fixed at stages
18–22, processed for b-gal staining to reveal the injected side (light blue staining) and for whole-mount in situ hybridization with probes
specific for BF-1 (A–D), En-2 (E–H), Krox-20 (I–L), and Hoxb9 (M–P) (purple staining). With no addition of DEX, the markers show an
identical pattern of expression on the injected and uninjected sides (A, 24/25; E, 20/20; I, 20/20; M, 24/24). When DEX was added at stage
9, an anterior shift of the markers resulted (B, 25/30; F, 26/30; J, 25/28; N, 20/32). Addition of DEX at stage 12 affected BF-1 (C, 20/32), En-2
(G, 22/28), and Krox-20 (K, 17/25) but not Hoxb9 (O, 3/29). Addition of DEX at stage 15 did not affect any of the markers (D, 3/28; H, 2/27;
L, 2/28; P, 1/25). The position of the markers is indicated with a white arrowhead on the injected side and a black arrowhead on the control
side. Panels A–D are frontal views (dorsal is up) all other panels are dorsal views (anterior is up). |
|
FIG. 5. Induction of En-2 and Krox-20 by GR-LEFDNbCTA occurs
in a noncell-autonomous manner. One animal blastomere of 16-
cell stage embryos was injected with 500 pg noggin RNA, 50 pg
GR-LEFDNbCTA RNA, and 200 pg b-gal RNA as a lineage tracer.
Animal caps were dissected at stage 8, cultured in the absence or
presence of DEX, fixed at stage 20, stained for b-gal (light blue
staining), and processed for whole-mount in situ hybridization
with probes specific for En-2 (A, C, and E) and Krox-20 (B, D, and F)
(purple staining). When DEX was not added to the culture media,
induction of En-2 (A, 0/25) or Krox-20 (B, 0/30) was not observed.
Addition of DEX at stages 9 and 12 resulted in the induction of En-2
(C, 22/26 and E, 18/24) and Krox-20 (D, 26/32 and F, 22/28) in a
noncell-autonomous manner. Arrowheads indicate patches where
the markers were induced outside the cells expressing the lineage
tracer. |
|
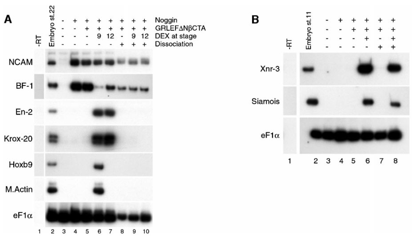
FIG. 6. Induction of posterior neural markers by GR-LEFDNbCTA requires cell-to-cell contact. (A) RT-PCR analysis showing that intact
explants from embryos coinjected with noggin (500 pg/embryo) and GR-LEFDNbCTA (50 pg/embryo) RNA expressed posterior neural and
mesodermal markers when DEX was added at stage 9 (lane 6) and only posterior neural markers when DEX was added at stage 12 (lane 7).
Dissociation of the explants blocked the induction of the posterior neural and mesodermal markers (lanes 9 and 10). As a negative control,
DEX was not added to the culture medium (lanes 5 and 8). (B) Dissociation of animal cap cells did not affect the induction of direct targets
of TCF/b-catenin. Activation of GR-LEFDNbCTA at stage 9 induced Siamois and Xnr3 in both intact (lane 6) and dissociated (lane 8)
explants. As a negative control, DEX was not added to the culture medium (lanes 5 and 7). Animal caps were dissected at stage 8 and
cultured intact (in 75% NAM) or dissociated in calcium- and magnesium-free medium (CMFM) until stage 11 (B) or stage 22 (A). Animal
caps from uninjected embryos (lane 3) did not express neural or mesodermal markers, while noggin-injected explants expressed only
anterior neural markers. eF1a served as loading control, 2RT as a negative control, and embryo RNA as a positive control. |
|
FIG. 7. FGF signalling is required for induction of posterior neural and mesodermal markers by GR-LEFDNbCTA. (A) XFD
suppressed the induction of the posterior neural and mesodermal markers by GR-LEFDNbCTA. RT-PCR detected the induction of
posterior and mesodermal markers in explants coinjected with noggin (500 pg/embryo) and GR-LEFDNbCTA (50 pg/embryo) when
DEX was added at stage 9 (lane 6). Coinjection of XFD RNA (100 pg/embryo) caused a reduction in the expression of En-2, Krox-20,
and Hoxb9, suppressed muscle actin, and reestablished BF-1 expression (lane 7). Coinjection of 500 pg/embryo XFD RNA resulted in
the suppression of all posterior neural markers (lane 8). When DEX was added at stage 12, XFD blocked the induction of En-2 and
Krox-20 (lanes 10 and 11). In the absence of DEX, 500 pg/embryo XFD RNA caused a reduction in the expression of NCAM and BF1
(lane 13) (B) The FGF signalling inhibitor SU5402 blocked the induction of posterior neural markers when added simultaneously with
DEX at stage 9 or stage 12. Both 10 mM (lanes 7 and 10) and 50 mM (lanes 8 and 11) of SU5402 suppressed the induction of posterior
neural and mesodermal markers. Addition of 50 mMof SU5402 at stage 9 in the absence of DEX did not affect the expression of NCAM
or BF-1 (lane 12). (C) FGFs are induced by GR-LEFDNbCTA. RT-PCR of animal caps analysed when sibling embryos reached stage 14
detected the expression of eFGF, FGF3, and FGF8 when DEX was added at stage 9 (lanes 6 and 9). FGF3 and FGF8 expression was also
detected when DEX was added at stage 12 (lane 7). 2RT is a negative control and embryo is a positive control. eF1a served as loading
control. |