XB-ART-7851
J Cell Biol
2002 Jan 07;1561:87-99. doi: 10.1083/jcb.200108088.
Show Gene links
Show Anatomy links
Characterization of Cep135, a novel coiled-coil centrosomal protein involved in microtubule organization in mammalian cells.
Ohta T, Essner R, Ryu JH, Palazzo RE, Uetake Y, Kuriyama R.
???displayArticle.abstract???
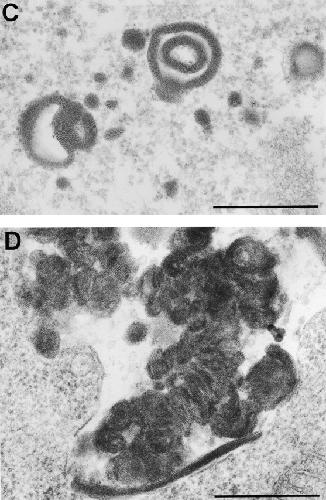
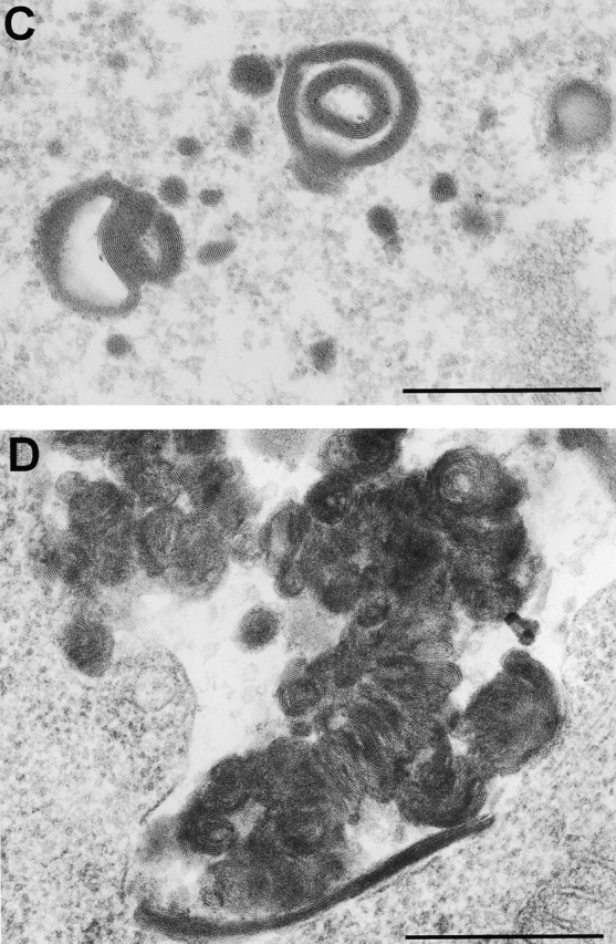
By using monoclonal antibodies raised against isolated clam centrosomes, we have identified a novel 135-kD centrosomal protein (Cep135), present in a wide range of organisms. Cep135 is located at the centrosome throughout the cell cycle, and localization is independent of the microtubule network. It distributes throughout the centrosomal area in association with the electron-dense material surrounding centrioles. Sequence analysis of cDNA isolated from CHO cells predicted a protein of 1,145-amino acid residues with extensive alpha-helical domains. Expression of a series of deletion constructs revealed the presence of three independent centrosome-targeting domains. Overexpression of Cep135 resulted in the accumulation of unique whorl-like particles in both the centrosome and the cytoplasm. Although their size, shape, and number varied according to the level of protein expression, these whorls were composed of parallel dense lines arranged in a 6-nm space. Altered levels of Cep135 by protein overexpression and/or suppression of endogenous Cep135 by RNA interference caused disorganization of interphase and mitotic spindle microtubules. Thus, Cep135 may play an important role in the centrosomal function of organizing microtubules in mammalian cells.
???displayArticle.pubmedLink??? 11781336
???displayArticle.pmcLink??? PMC2173569
???displayArticle.link??? J Cell Biol
???displayArticle.grants??? [+]
Species referenced: Xenopus
Genes referenced: cep135 pcnt tbx2 tp53
???attribute.lit??? ???displayArticles.show???
References [+] :
Andersen,
Molecular characteristics of the centrosome.
1999, Pubmed
Andersen, Molecular characteristics of the centrosome. 1999, Pubmed
Atkinson, Expression in Escherichia coli of fragments of the coiled-coil rod domain of rabbit myosin: influence of different regions of the molecule on aggregation and paracrystal formation. 1991, Pubmed
Bornens, Is the centriole bound to the nuclear membrane? 1977, Pubmed
Buendia, A centrosomal antigen localized on intermediate filaments and mitotic spindle poles. 1990, Pubmed , Xenbase
Dictenberg, Pericentrin and gamma-tubulin form a protein complex and are organized into a novel lattice at the centrosome. 1998, Pubmed , Xenbase
Doxsey, Re-evaluating centrosome function. 2001, Pubmed
Elbashir, Duplexes of 21-nucleotide RNAs mediate RNA interference in cultured mammalian cells. 2001, Pubmed
Francis, The spindle pole body of Saccharomyces cerevisiae: architecture and assembly of the core components. 2000, Pubmed
Fry, C-Nap1, a novel centrosomal coiled-coil protein and candidate substrate of the cell cycle-regulated protein kinase Nek2. 1998, Pubmed
Fukasawa, Abnormal centrosome amplification in the absence of p53. 1996, Pubmed
Heitlinger, Expression of chicken lamin B2 in Escherichia coli: characterization of its structure, assembly, and molecular interactions. 1991, Pubmed
Hobohm, A sequence property approach to searching protein databases. 1995, Pubmed
Ishikawa, Prediction of the coding sequences of unidentified human genes. X. The complete sequences of 100 new cDNA clones from brain which can code for large proteins in vitro. 1998, Pubmed
Kellogg, Identification of microtubule-associated proteins in the centrosome, spindle, and kinetochore of the early Drosophila embryo. 1989, Pubmed
Kilmartin, A spacer protein in the Saccharomyces cerevisiae spindle poly body whose transcript is cell cycle-regulated. 1993, Pubmed
Kimble, Functional components of microtubule-organizing centers. 1992, Pubmed
Kuriyama, 225-Kilodalton phosphoprotein associated with mitotic centrosomes in sea urchin eggs. 1989, Pubmed
Kuriyama, Characterization of a minus end-directed kinesin-like motor protein from cultured mammalian cells. 1995, Pubmed
Kuriyama, Methods for identification of centrosome-associated proteins. 2001, Pubmed
Kuriyama, Centriole cycle in Chinese hamster ovary cells as determined by whole-mount electron microscopy. 1981, Pubmed
Kuriyama, Obtaining antibodies to spindle components. 1999, Pubmed
Lange, A molecular marker for centriole maturation in the mammalian cell cycle. 1995, Pubmed
Lupas, Predicting coiled coils from protein sequences. 1991, Pubmed
Matuliene, Function of a minus-end-directed kinesin-like motor protein in mammalian cells. 1999, Pubmed
Mazia, The chromosome cycle and the centrosome cycle in the mitotic cycle. 1987, Pubmed
Mogensen, Microtubule minus-end anchorage at centrosomal and non-centrosomal sites: the role of ninein. 2000, Pubmed
Nakagawa, Outer dense fiber 2 is a widespread centrosome scaffold component preferentially associated with mother centrioles: its identification from isolated centrosomes. 2001, Pubmed
Nakamura, When overexpressed, a novel centrosomal protein, RanBPM, causes ectopic microtubule nucleation similar to gamma-tubulin. 1998, Pubmed
Oegema, The cell cycle-dependent localization of the CP190 centrosomal protein is determined by the coordinate action of two separable domains. 1995, Pubmed
Paoletti, Most of centrin in animal cells is not centrosome-associated and centrosomal centrin is confined to the distal lumen of centrioles. 1996, Pubmed , Xenbase
Paul, Identification of a 102 kDa protein (cytocentrin) immunologically related to keratin 19, which is a cytoplasmically derived component of the mitotic spindle pole. 1993, Pubmed
Ryu, Filamentous polymers induced by overexpression of a novel centrosomal protein, Cep135. 2000, Pubmed
Saredi, NuMA assembles into an extensive filamentous structure when expressed in the cell cytoplasm. 1996, Pubmed
Schatten, Centrosome detection in sea urchin eggs with a monoclonal antibody against Drosophila intermediate filament proteins: characterization of stages of the division cycle of centrosomes. 1987, Pubmed
Schmidt, AKAP350, a multiply spliced protein kinase A-anchoring protein associated with centrosomes. 1999, Pubmed
Schnackenberg, The disassembly and reassembly of functional centrosomes in vitro. 1998, Pubmed
Sellitto, Heterogeneity of microtubule organizing center components as revealed by monoclonal antibodies to mammalian centrosomes and to nucleus-associated bodies from dictyostelium. 1992, Pubmed
Shu, Gamma-tubulin can both nucleate microtubule assembly and self-assemble into novel tubular structures in mammalian cells. 1995, Pubmed
Stearns, The cell center at 100. 1997, Pubmed
Stewart, Molecular interactions in paracrystals of a fragment corresponding to the alpha-helical coiled-coil rod portion of glial fibrillary acidic protein: evidence for an antiparallel packing of molecules and polymorphism related to intermediate filament structure. 1989, Pubmed
Sym, Zip1-induced changes in synaptonemal complex structure and polycomplex assembly. 1995, Pubmed
Tassin, Identification of an Spc110p-related protein in vertebrates. 1997, Pubmed , Xenbase
Vassilev, Identification of intrinsic dimer and overexpressed monomeric forms of gamma-tubulin in Sf9 cells infected with baculovirus containing the Chlamydomonas gamma-tubulin sequence. 1995, Pubmed
Vogel, Centrosomes isolated from Spisula solidissima oocytes contain rings and an unusual stoichiometric ratio of alpha/beta tubulin. 1997, Pubmed
Wiese, Gamma-tubulin complexes and their interaction with microtubule-organizing centers. 1999, Pubmed
Wigge, Analysis of the Saccharomyces spindle pole by matrix-assisted laser desorption/ionization (MALDI) mass spectrometry. 1998, Pubmed
Xie, Coiled-coil packing in spermine-induced tropomyosin crystals. A comparative study of three forms. 1994, Pubmed
Zhou, Tumour amplified kinase STK15/BTAK induces centrosome amplification, aneuploidy and transformation. 1998, Pubmed
