Click here to close
Hello! We notice that you are using Internet Explorer, which is not supported by Xenbase and may cause the site to display incorrectly.
We suggest using a current version of Chrome,
FireFox, or Safari.
Mesoderm-independent regulation of gastrulation movements by the src tyrosine kinase in Xenopus embryo.
Denoyelle M, Vallés AM, Lentz D, Thiery JP, Boyer B.
???displayArticle.abstract???
In vitro studies have demonstrated the involvement of Src kinases in several aspects of cell scattering, including cell dissociation and motility. We have therefore sought to explore their functions in the context of the whole organism. Loss-of-function microinjection studies indicate that the ubiquitous Src, Fyn, and Yes tyrosine kinases are specifically implicated in Xenopus gastrulation movements. Injection of mRNAs coding for dominant negative forms of the ubiquitous members of the Src family, namely Fyn, Src, and Yes, perturbs gastrulation movements, resulting in the inability to close the blastopore. Injection of mRNA coding for Csk, a natural inhibitor of Src kinase activity, produces the same phenotypic alterations. The ubiquitous Src kinases have redundant functions in gastrulation movements since overexpression of one member of the family can compensate for the inhibition of another. Interfering mutants of the Src family also inhibit activin-induced morphogenetic movements of animal cap explants isolated from injected embryos. In contrast, these mutants do not interfere with mesoderm induction, as inferred from the presence of mesoderm derivatives and from the expression of early mesodermal markers in injected embryos. In addition, Src kinase activity measured by an in vitro kinase assay is elevated in gastrulating embryos and in FGF- and activin-treated animal caps, confirming the implication of Src enzymatic activity during gastrulation. Altogether, our results demonstrate that Src kinases are essential components of the machinery that drives gastrulation movements independent of mesoderm induction and suggest that Src activity is primarily implicated in cellular movements that take place during the process of cell intercalation.
Fig. 1 Src inhibition causes defects in Xenopus gastrulation. Xenopus
embryos were injected with 0.5â1 ng of mRNA encoding
b-Gal (a, c, h), SrcKª (b, d, i), FynKª (e), YesKª (f, j), or Csk (g)
in the lateral region of one blastomere at the 2-cell stage. They
were then fixed at stage 17 (a, b) or 33 (câg). Note the failure
of blastopore closure in b as compared with a. The b-gal-injected
embryos look normal (lateral view, anterior to right), while the
SrcKª-, FynKª-, YesKª-, and Csk-injected embryos exhibit
shortened anterior âposterior axis, bent or split tails, and occasional
open neural tubes. Examples of b-gal staining on control
embryo (h), SrcKª (i) and YesKª (j) embryos show that the injected
transcripts are expressed in one half of the embryos.
Fig. 2 Activin-induced morphogenetic movements of ectodermal
explants are regulated by Src activity. aâf Xenopus animal caps
were harvested from blastula-stage embryos that were non-injected
(a, b) or injected at the 2-cell stage with constitutively active XLSrc
(c), SrcKª (d), SrcKª Ï XLSrc (e, f). Caps were incubated in 1X
MMR without (a, c, e) or with activin (10 ng/ml) (b, d, f) overnight
at 15 æC and then photographed. Note that constitutively active
XLSrc induces explant elongation in the absence of activin (c),
while wild-type XLSrc restores the elongation movements inhibited
by SrcKª only if activin is added (compare e and f). g, h Ectodermal
explants were cut at stage 8 and incubated until sibling embryos
reached the neurula stage with 20 mM (g) or 10 mM (h) of
PP1 in 1X MMR containing activin (10 ng/ml). Note that decreasing
the concentration of PP1 weakens the inhibitory effect of PP1
on cap elongation.
Fig. 3 SrcK can compensate for the inhibition of Fyn activity induced
by FynKª expression in ectodermal explants. Xenopus animal
caps were harvested from blastula-stage embryos that were
non-injected (a, b) or injected at the 2-cell stage with FynKª (c),
FynKª Ï XLFyn (d), or FynKªÏXLSrc (e). Caps were incubated
without (a) or with (bâe) activin overnight at 15 æC and photographed.
FynKª abolishes activin-induced cap elongation (c) that
is restored by co-expression of either XLFyn (d) or XLSrc (e).
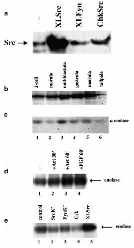
Fig. 4 Src is expressed and active during gastrulation and in activin
and FGF-stimulated animal caps. a The antibodies recognize
specifically Xenopus Src. Gastrulae harvested from embryos that
were non-injected or injected at the 2-cell stage with Xenopus Src
(XLSrc), Xenopus Fyn (XLFyn) and chicken Src (ChkSrc) were
lysed, and equal amounts of extracts were immunoblotted with
anti-Src antibodies. b, c Batches of embryos were harvested at various
times after fertilisation (lane 1: 2-cell stage; 2: morula; 3: midblastula;
4: gastrula; 5: neurula; 6: tadpole). Equal amounts of
proteins extracted as described in Methods were subjected to
immunoblot analysis using mouse polyclonal anti-Xenopus Src
antibodies (b) or immunoprecipitated with the anti-Src antibodies
prior to kinase assay using enolase as an exogenous substrate (c).
Note the parallel increase in Src levels and activity during blastula
and gastrula stages. d Animal caps dissected at the blastula stage
were cultured for 1 h without growth factor (1) or with activin
(10 ng/ml) for 30 min (2) or 1 h (3) or with FGF (100 ng/ml) for 1
h (4). They were subsequently lysed and equal amounts of proteins
were subjected to a kinase assay with enolase as an exogenous substrate.
e Batches of embryos were injected at the 2-cell stage with mRNAs
coding for b-gal as a negative control (1), SrcKª (2),
FynKª (3), Csk (4), or Xenopus Src as a positive control (5) and
cultured until the gastrula stage. Equal amounts of proteins extracted
from the embryos were used in a kinase assay. Note that
overexpression of Xenopus Src results in a significant increase in
enolase phosphorylation.
Fig. 5 Inhibition of Src does not alter the expression of early mesodermal
markers in whole embryos. Whole-mount in situ hybridisation
using antisense Xbra (a, b), Xwnt8 (c, d), and chordin (e, f)
mRNAs and control b-gal staining (g, h) were performed on stage
11 embryos that were injected with b-gal mRNA (a, c, e, g) or coinjected
with SrcKª and b-gal transcripts (b, d, f, h) at the 2-cell
stage. Xbra mRNA is expressed throughout the mesoderm at stage
11, while Xwnt8 is expressed in ventro-lateralmesoderm and
chordin is found in dorsal mesoderm. Staining of the embryos with
X-gal (g, h) reveals that mesodermal cells around the blastopore
have inherited the injected RNA.
Fig. 6a Activin-mediated induction of Xbra and Gsc in animal cap
explants does not depend on Src function. 1 ng of SrcKª (3, 4)
and 0.5 ng of constitutively active XLSrc (5, 6) were injected in
both blastomeres at the 2-cell stage. Animal caps of control embryos
(1, 2), of embryos injected with SrcKª (3, 4), or constitutively
active Src (5, 6) were cut at mid-blastula stage and cultured until
late blastula (Xbra) or neurula stages (Gsc) in the absence (1, 3, 5)
or presence (2, 4, 6) of activin. After reverse transcription of
5 mg of total RNA, the resulting cDNAs were used for PCR with
oligonucleotides specific for Xbra or EF-1a as an internal control
and Gsc or EF-1a. b Hyperactive Src induces neural markers in
ectodermal explants. Half nanogram of constitutively active Xenopus
Src was injected in both blastomeres at the 2-cell stage. Animal
caps of control non-injected embryos (1) and of embryos injected
with hyperactive Src (2) were cut at mid-blastula stage and cultured
until stage 26. After reverse transcription of 5 mg of total RNA
purified from animal caps, the resulting cDNAs were used for PCR
with oligonucleotides specific for N-CAM, N-tubulin, or EF-1a as
a loading control (sibling control at stage 26).