Click here to close Hello! We notice that you are using Internet Explorer, which is not supported by Xenbase and may cause the site to display incorrectly. We suggest using a current version of Chrome, FireFox, or Safari.
XB-ART-8040
J Gen Physiol 2001 Dec 01;1186:679-92. doi: 10.1085/jgp.118.6.679.
Show Gene links Show Anatomy links

Permeability properties of ENaC selectivity filter mutants.

Kellenberger S, Auberson M, Gautschi I, Schneeberger E, Schild L.


???displayArticle.abstract???
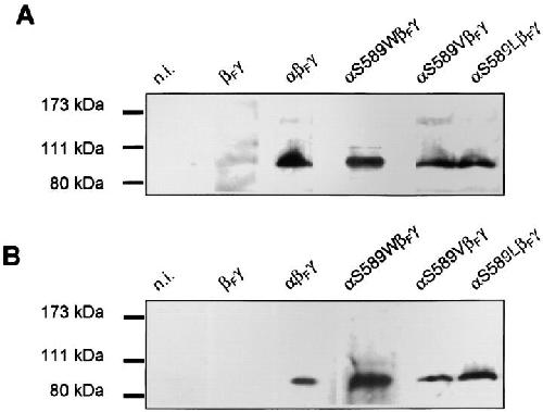
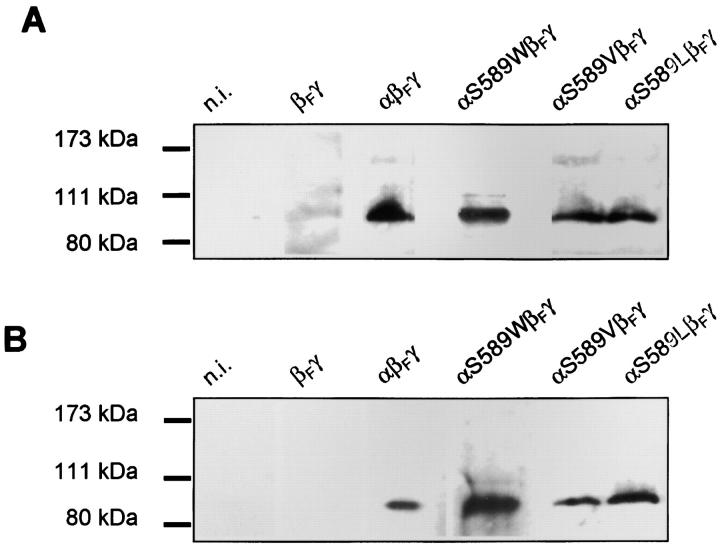
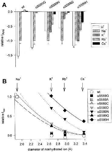
The epithelial Na(+) channel (ENaC), located in the apical membrane of tight epithelia, allows vectorial Na(+) absorption. The amiloride-sensitive ENaC is highly selective for Na(+) and Li(+) ions. There is growing evidence that the short stretch of amino acid residues (preM2) preceding the putative second transmembrane domain M2 forms the outer channel pore with the amiloride binding site and the narrow ion-selective region of the pore. We have shown previously that mutations of the alphaS589 residue in the preM2 segment change the ion selectivity, making the channel permeant to K(+) ions. To understand the molecular basis of this important change in ionic selectivity, we have substituted alphaS589 with amino acids of different sizes and physicochemical properties. Here, we show that the molecular cutoff of the channel pore for inorganic and organic cations increases with the size of the amino acid residue at position alpha589, indicating that alphaS589 mutations enlarge the pore at the selectivity filter. Mutants with an increased permeability to large cations show a decrease in the ENaC unitary conductance of small cations such as Na(+) and Li(+). These findings demonstrate the critical role of the pore size at the alphaS589 residue for the selectivity properties of ENaC. Our data are consistent with the main chain carbonyl oxygens of the alphaS589 residues lining the channel pore at the selectivity filter with their side chain pointing away from the pore lumen. We propose that the alphaS589 side chain is oriented toward the subunit-subunit interface and that substitution of alphaS589 by larger residues increases the pore diameter by adding extra volume at the subunit-subunit interface.

???displayArticle.pubmedLink??? 11723161
???displayArticle.pmcLink??? PMC2229513
???displayArticle.link??? J Gen Physiol


Species referenced: Xenopus laevis
Genes referenced: acta4 mhc2-dma tbx2


???attribute.lit??? ???displayArticles.show???
References [+] :
Adams, The permeability of endplate channels to monovalent and divalent metal cations. 1980, Pubmed